TUMEURS DU PANCREAS TUMEURS SOLIDES exocrines adnocarcinome canalaire







































































- Slides: 71
TUMEURS DU PANCREAS
TUMEURS SOLIDES: - exocrines (adénocarcinome canalaire) - endocrines (insulinome, gastrinome) TUMEURS KYSTIQUES: - le pseudo-kyste - le kyste bénin (cystadénome) L’adénocarcinome canalaire représente à lui seul plus de 90% des tumeurs du pancréas
Nous étudierons séparément: 1. Le cancer du pancréas exocrine 2. L’ampullome Vatérien 3. Les tumeurs endocrines 4. Le pseudo-kyste pancréatique
LE CANCER DU PANCREAS EXOCRINE
Il représente 10% des cancers digestifs Age moyen 60 à 8 O ans, concerne 2 fois plu l’homme que la femme 3 facteurs favorisants: - la pancréatite chronique - le tabac - l’hérédité
MODE DE DIFFUSION
Extension locale, régionale et lymphatique
L’adénocarcinome canalaire est la forme histologique la plus fréquente (90%) L’extension de la lésion se fait de 3 façons: - loco-régionale: par envahissement de la voie biliaire principale +++, du tronc porte, estomac, duodénum et mésocolon - lymphatique: péri-pancréatique, hépatique, coeliaque et mésentérique supérieur - métastatique: foie, péritoine, poumons, os
LOCALISATION
Tête: 60% = ICTERE Corps: 15% = DOULEUR Queue: 5% = MASSE …mais il est diffus dans 2 O% des cas
CLINIQUE
1. Cancer de la tête: - ictère « nu » +++: rétentionnel progressif, sans rémission, accompagné de prurit (qui précède parfois l’ictère) - amaigrissement ++: avec baisse de l’EG - grosse vésicule palpable +++, hépatomégalie 2. Cancer de corps: - douleur intense de type solaire +++, épigastrique, transfixante calmée par une position antalgique en « chien de fusil » , évoluant par crises, - amaigrissement 3. Cancer de la queue du pancréas: - masse irrégulière et fixe de l’HG, amaigrissement
…vu tardivement les choses sont dépassées: - sténose duodénale - hémorragie digestive - métastases … y penser devant: - fièvre au long cours inexpliquée - thrombose veineuse profonde - syndrome dépressif …c’est le syndrome paranéoplasique
En résumé: TÊTE: ictère, prurit, amaigrissement CORPS: douleur solaire, amaigrissement QUEUE: masse, amaigrissement
LA BIOLOGIE
1. Augmentation des marqueurs digestifs: - CA 19 -9, ACE 2. Dans le formes ictériques: la cholestase: - phosphatases alcalines, bilirubine,
LE BILAN MORPHOLOGIQUE
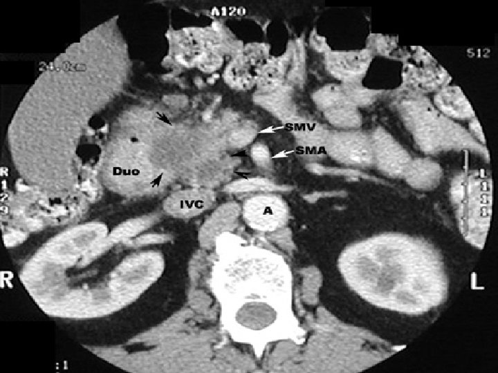
1. l’échographie abdominale: - peut déceler une tumeur pancréatique hypoéchogène supérieure à 2 cm - peut montrer une dilatation des voies biliaires, de la vésicule ou une dilatation du Wirsung - déceler: ascite, ganglions, métastases 2. L’écho-endoscopie: - détecte des lésions inférieures à 2 cm - précise l’extension loco-régionale: envahissement des vaisseaux porte ou mésentérique - permet une cyto-ponction (qui n’a de valeur que si positive) 3. TDM et IRM +++: - détecte les masses hypodenses focales ou diffuses - et les signes indirects +++: dilatation biliaire, du Wirsung, atrophie parenchymateuse d’amont
Cancer tête pancréas: ADP + obstruction VBP ADP VBP Tumeur
Tumeur de la tête du pancréas: obstruction VBP
Cancer de la tête du pancréas
Cancer tête, corps queue du pancréas
DIAGNOSTIC DIFFERENTIEL
Devant un ictère par rétention: - un calcul cholédocien enclavé - un cancer des voies biliaires Devant une douleur épigastrique: - pancréatite chronique - ulcère ou cancer gastrique Devant un syndrome de masse de l’hypochondre gauche: - tumeur colique gauche - tumeur rénale gauche
TRAITEMENT
Le traitement curatif est chirurgical, mais seulement 15% des cancers du pancréas sont résécables. Les principales contre-indications sont: - âge physiologique avancé - cachexie - carcinose, métastases hépatiques, Troisier - envahissement veineux (tronc porte, veine mésentérique supérieure) ou artériel - métastases ganglionnaires
Duodéno-pancréatectomie céphalique
Spléno-pancréatectomie gauche
TUMEUR RESECABLE: - à droite: duodéno-pancréatectomie céphalique - à gauche: spléno-pancréatectomie gauche TUMEUR NON RESECABLE: - prévoir la double dérivation bilio-digestive ou, - prothèse endoscopique et/ou - radiothérapie externe, chimiothérapie
L’ AMPULLOME VATERIEN
Ampullome Vatérien
Son diagnostic est en général plus précoce: c’est une tumeur développée à partir du canal de Wirsung, du canal commun bilio-pancréatique et du versant intra-luminal de la papille Clinique: - l’ictère est variable, avec parfois des épisodes d’angiocholite - hémorragie digestive: méléna, anémie Examens complémentaires: - FOGD avec biopsies +++ - écho-endoscopie +++, TDM ou IRM - TOGD: image en « 3 » renversé au bord interne de D 2 Traitement: - l’extirpabilité étant accrue: DPC+++ - si contre-indication chirurgicale: sphinctérotomie endoscopique avec pose d’une prothèse biliaire Pronostic: Si l’exérèse est possible: survie à 5 ans = 35%
Ampullome avec dilatation cholédocienne
T
Ampullome avec dilatation du Wirsung et bourrelet duodénal
Bili IRM: Ampullome Vatérien
LES TUMEURS ENDOCRINES
Association d’un syndrome tumoral +/- un syndrome hormonal 1. L’insulinome: - rarement malin, il est du à la sécrétion tumorale excessive et non régulée d’insuline - le diagnostic est confirmé par le dosage simultané de la glycémie (hypo) et de l’insulinémie 2. Le gastrinome: (Zollinger-Ellison) - du à une sécrétion tumorale de gastrine, augmentant la sécrétion acide gastrique, malin dans 1/3 des cas - c’est l’association maladie ulcéreuse + diarrhée - le diagnostic est porté par le test à la sécrétine mesurant les variations du débit acide et de la gastrinémie 3. Beaucoup plus rare: le glucaconome et le vipome (Verner. Morrison)
Syndrome de ZOLLINGER-ELLISON: volumineux ulcère gastrique de la petite courbure avec déformation du cadre duodénal par la tumeur
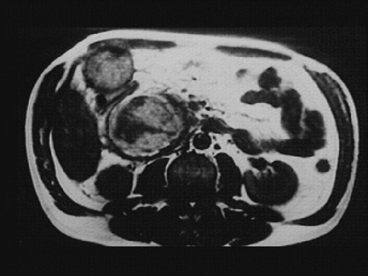
LES PSEUDO-KYSTES DU PANCREAS
Un pseudo-kyste du pancréas est une collection liquidienne organisée intra ou extra-pancréatique qui contient du suc pancréatique pur ou de la nécrose liquéfiée. Le pseudo-kyste n’a pas d’épithélium propre: il est limité par une paroi fibreuse et granuleuse plus ou moins épaisse. C’est une complication fréquente (40%) de la pancréatite chronique Selon leur mécanisme on distingue: - pseudo-kystes nécrotiques: 1/3 - pseudo-kyste rétentionnels: 2/3
PK tête PK queue PK Queue PK corps
Les pseudo-kystes nécrotiques compliquent les poussées de PA (avec nécrose) sur PC: ils résultent d’une coulée de nécrose Les pseudo-kystes rétentionels résultent de la distension puis de la rupture canalaire en amont d’un obstacle (amas protéique)
La gravité des pseudo-kystes est liée à leurs complications Les petits kystes intra-pancréatiques peuvent régresser dans 25% des cas Les kystes extra-pancréatiques, volumineux (+ 4 cm), évoluant depuis plus de 6 semaines risquent de se compliquer et doivent être traités
- les compressions . De la voie biliaire principale: ictère . Du duodénum: sténose . Veineuse: HTP segmentaire - la rupture . Dans un organe creux . Dans la cavité péritonéale - l’hémorragie intra-kystique - l’infection - la douleur
CLINIQUE
1. La compression de la voie biliaire: - ictère rétentionnel progressif, sans fièvre - tests biologique de cholestase - l’écho + TDM montre une dilatation de la voie biliaire principale et intra-hépatique, ainsi que le pseudo-kyste - l’écho-endoscopie précise la sténose régulière du bas cholédoque - la CPRE réalisée en pré-opératoire montre la hauteur de la sténose
Apparition d’un pseudo -kyste du pancréas
2. La compression duodénale: - vomissements alimentaires et bilieux - la fibroscopie montre une sténose duodénale extrinsèque, sans lésion muqueuse (ulcère ou cancer) - le TOGD montre la sténose duodénale avec stase et dilatation d’amont
Pseudo-kyste de la tête
3. l’hypertension portale segmentaire: correspond à la compression de la veine mésentérique supérieure de la splénique ou de la veine porte: - splénomégalie avec circulation collatérale - hémorragie digestive par rupture de VO - la fibroscopie confirme le diagnostic
4. La rupture: - réalise un tableau de péritonite mortelle dans 20% des cas. - la ponction du liquide séro-fibrineux montre un taux élevé d’amylase 5. L’hémorragie: - complication rare mais gravissime due à l’érosion vasculaire par le pseudo-kyste - intérêt diagnostic et thérapeutique de l’artériographie (embolisation), sinon = chirurgie 6. L’infection: mortelle dans 20% des cas - syndrome de suppuration profonde = Drainage + ATB
TRAITEMENT
Il s’adresse aux pseudo-kystes douloureux ou compliqués: 1. Traitement endoscopique: = c’est la kysto-gastrostomie 2. Traitement chirurgical: = lorsque les autres thérapeutiques sont inefficaces: dérivation kysto-gastrique ou kystojéjunale