Tubulointerstitial Diseases of the Kidney Pelvis Cortex medulla
Tubulointerstitial Diseases of the Kidney
• Pelvis, Cortex, medulla, calyces • Renal Artery
1700 L of blood filtered 180 L of Glomerul filtrate 1. 5 L of urine / day.
Diseases affecting tubules & interstitium: 1 -Ischemic or toxic tubular injury leading to acute tubular necrosis (ATN) and Acute Renal Failure (ARF) 2 -Inflammatory reactions of tubules and interstitium (tubulointerstitial nephritis) Ø Infections (Acute & Chronic pyelonephritis. . . ) Ø Toxins (Drugs, analgesic nephritis, Heavy metals, lead, cadmium) Ø Physical Factors (Chronic urinary tract obstruction, radiation nephritis) Ø Neoplasms (Multiple myeloma) Ø Immunologic reactions (Transplant rejection, Sjögren Syndrome) Ø Metabolic diseases (Urate & oxalate nephropathy, nephrocalcinosis, hypokalemic nephropathy. . . ) Ø Vascular diseases Ø Miscellaneous (Balkan nephropathy, idiopathic interstitial nephritis. . . )
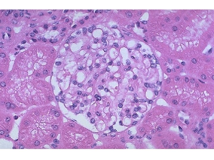
ACUTE TUBULAR NECROSIS ATN; acute renal failure, renal shutdown ATN is a clinicopathologic entity characterized by destruction of tubular epithelial cells and clinically by acute supression of renal functions. It is the most common cause of renal failure. Acute supression of renal function and urine flow falling within 24 hours to less than 400 ml.
Causes of ATN: 1 -Organic vascular obstruction. 2 -Severe glomerular disease 3 -Acute tubulointerstitial nephritis. 4 -Massive infection 5 -DIC 6 -Urinary obstruction by tumors, BPH, or blood-cloths
Ischemic ATN • Hypovolemic shock, – massive hemorrhage, – septic shock, – burns, – prolonged surgical operations. • • New transplants, Contrast media (radiology), Non-steroidal anti-inflammatory agents, ACE-inhibitor drugs.
Nephrotoxic ATN • Renal poisons (nephrotoxins) – heavy metals (mercury), – toxic chemicals (carbon tetrachloride, ethylene glycol), – drugs (cisplatin) – poisons (Amanita phalloides). • Viral hemorrhagic fevers – often cause temporary renal shutdown. • Heme proteins (Pigment nephropathy) – Myoglobin (rhabdomyolysis) – Hemoglobin (hemolysis)
(Pigment nephropathy) Massive hemolysis (red cell stroma plugs the tubules) – ABO mismatch, – falciparum malaria, – Snake bite. • Massive rhabdomyolysis (myoglobin and other muscle debris plugs the tubules) – crush injury, – lightning, – cocaine, – torture
The pathophysiology of ATN is complex • Ischemia and nephrotoxins directly damage tubules (Free radical and endothelin as mediators). • Systemic hypotension and severe poisoning also cause intrarenal vasoconstriction, which compounds ischemic damage and lowers GFR (Glomerular Filtration Rate). • Damaged tubules become obstructed by casts and crud, which further lowers GFR. • Direct glomerular damage may occur (especially in DIC) • Tubular backleak contributes to oliguria.
Clinical Aspects of ATN The most common cause of acute renal failure “Dirty” brown casts in urine Oliguria anuria polyuria • Azotemia • Acidosis, K • Fluid retention Recovery 1 -2 weeks
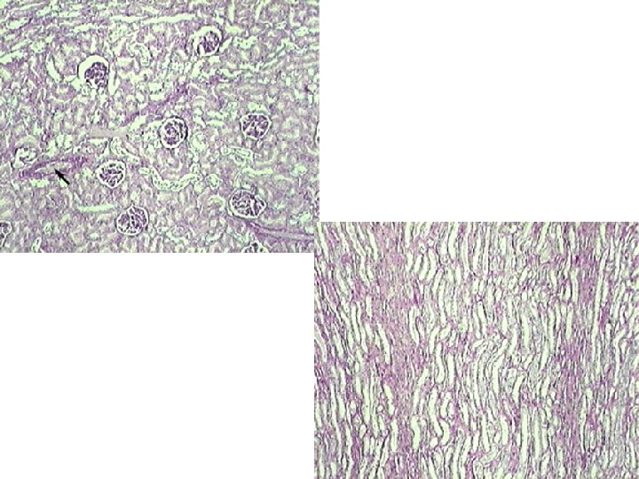
• The histology (reflects the pathophysiology): • Ischemic ATN: – A few necrotic cells or denuded basement membrane, – Dilated tubules – Interstitial edema – Regeneration of proximal tubular cells (basophilic cytoplasm, active nuclei, maybe even a mitosis or two). – Electron micrographs show disruption of the brush borders. • Nephrotoxic ATN: – frank necrosis (usually limited to the proximal tubules) – without rupture of basement membranes.
ATN
• Other causes of acute renal shutdown, other than ATN: • Renal causes – – – atheroembolization (very common) drug hypersensitivity (very common) hepatorenal syndrome (very common) severe rapidly-progressive glomerulonephritis vasculopathies (polyarteritis nodosa, malignant hypertension, scleroderma, hemolytic-uremic syndrome) – severe pyelonephritis (especially with papillary necrosis) – DIC-diffuse renal cortical necrosis – acute urate nephropathy • Prerenal causes – dehydration, – shock, – congestive heart failure. • Postrenal causes – urinary tract obstruction (tumors, blood clots, prostate trouble).
HEPATORENAL SYNDROME • Kidney failure that develops in patients with liver failure, without anatomic changes in the kidney – except perhaps bile-staining of hyaline casts • Common cause: administration of highpowered diuretics (Lasix) to a cirrhotic. • Liver failure from any cause produces hypotension, and "hepatorenal syndrome" may also have a component of "shock kidney" (acute tubular necrosis).
UPPER URINARY TRACT INFECTIONS
• An extremely common, serious problem in clinical medicine. • Causes: • Ascending infection (80%) – E. coli and other gram-negatives, swimming upstream from bladder infections, common • Hematogenous infection – especially staph. and Tbc. , uncommon
Acute pyelonephritis • Predisposing conditions • bacterial virulence • patient's sex and age (up to 40, females predominant; over 40, males predominant) • urinary obstruction and/or stasis (Prostatic hyperplasia) • vesicoureteral reflux (malformed or damaged ureterovesical "valve") • mechanical factors (iatrogenic instrumentation, "honeymoon cystitis"); pregnancy (ureteral dilatation due to hormones) • asymptomatic bacteriuria (small % of females of any age) • pre-existing renal diseases (especially kidney stones) • diabetes mellitus • not being circumcised (little boys; impressive risk) • public bathroom • not drinking enough water.
• Histological: – PMNL's infiltrate the interstitium and tubules (even 1 -2 PMNLs in tubules), – Abscesses with tissue destruction. • Clinical: – fever, – pain at costovertebral angle, – PMN's and white cell casts in the urine. • Papillary necrosis is a dreaded complication of pyelonephritis that occurs mostly in diabetics. – Beethoven had papillary necrosis for some reason?
Acute pyelonephritis
Other forms of Acute interstitial nephritis • Autoimmune dieseases – anti-TBM antibody • Polyomavirus infection – in the immunosuppressed – especially kidney transplant patients – decoy cells (with huge basophilic inclusions)
Polyomavirus infection
Chronic pyelonephritis and reflux nephropathy • Pyelonephritis always produces some renal scarring around the calyces and pelvis and among the tubules. • Destruction of renal tissue and fibrosis – – Cortical scars Loss of papillae Ectasia of calices Hydronephrosis. Irregularly shrunken small kidney.
• Microscopically: – Patchy process with periglomerular fibrosis (outside Bowman's capsule) – Interstitial scarring – Scar retraction produces dilatation of castfilled tubules, or "thyroidization").
Chronic pyelonephritis
End-stage kidney
• The clinical picture varies: • acute recurrent pyelonephritis – probably the patient has a urinary tract malformation • insidious onset of renal insufficiency and hypertension • Note that chronic pyelonephritis is an extremely important cause of morbidity and mortality in the wheelchair-bound.
Xanthogranulomatous pyelonephritis • a special, common type of chronic pyelonephritis • older women who have had several episodes of acute pyelonephritis. • Lipid-laden macrophages form large yellow nodules that look very much like renal cell carcinoma, both grossly and microscopically. • Causes: – Proteus infection – a stone • Located mostly around the pelvis – the process tends to spread, and it can grow out around the kidney and may erode into the area around the kidney – produce fistulas to the groin, back, or gut.
CHRONIC INTERSTITIAL NEPHRITIS • CIN is scarring of the kidney from some process that is primarily interstitial – not some glomerular or vascular disease • Causes: – Lupus (peritubular immune deposits) – Sjögren's syndrome (often include an acute or chronic interstitial nephritis) – AIDS • Granulomatous CIN is due to drugs or sarcoid.
(DRUG INDUCED RENAL DISEASES) 1. Acute tubulointerstitial nephritis (allergic) 2. Analgesic nepropathy (phenacetin) 3. Acute tubular necrosis (toxic).
1. Acute tubulointerstitial nephritis • Hypersensitivity • Within a month after drug exposure, the victim develops fever, skin rash eosinophilia, hematuria, proteinuria, sterile pyuria and eosinophiliuria. Withdrawal of drugs makes things better. • Histology: – edema, and interstitial mononuclear cell infiltration, – eosinophils and neutrophils may be found. • Causes: – Methicillin (best-known), Sulfa drugs, rifampin, cyclosporine, penicillin, furosemide ("Lasix"), thiazides.
2. Analgesic nephritis • Analgesic abuse nephropathy • Phenacetin-containing combinations for pain. • Chronic interstitial inflammation is characteristic, and many patients develop papillary necrosis. • Transitional cell carcinoma of renal pelvis may also result from patients who overdid phenacetin (10% of abusers).
Analgesic nephropathy
Classic non-steroidal anti-inflammatory agents • This very useful class of drugs (arthritis, menstrual cramps, etc. ) is also today's most common cause of renal shutdown in outpatients. • The prognosis is generally excellent when the drug is withdrawn. • Examples: – Fenprofen nephropathy: a combination of minimalchange glomerulopathy ("foot process disease") histology with nephritic and/or nephrotic syndrome, plus marked chronic interstitial nephritis.
3. Acute tubular necrosis (toxic) Poisons (Nephrotoxic agents) • Lead, • Cadmium (the Japanese pollution nightmare) • Bismuth (interstitial nephritis, acid-fast "Cowdry A" inclusions in the proximal tubules, Fanconi syndrome), • Amanita phalloides, • Carbon tetrachloride (fatty change).
METABOLIC TUBULAR INJURY • Hypercalcemia – uric acid stones • Hypercalciuria – Nephrocalcinosis – Calcium stones. • Hyperuricemia (gout) – urate nephropathy
HYPERCALCEMIC NEPHROPATHY • Extensive metastatic calcification of the kidney tubules (nephrocalcinosis) • chronic inflammation or obstruction – because the ascending limb of Henle's loop is damaged first, one early problem is inability to concentrate urine. • Even in the absence of tubular calcification, hypercalcemia produces a prerenal azotemia by causing constriction of the small renal arteries.
CAUSES of HYPERCALCEMIA & HYPERCALCIURIA • Primary (increased intestinal absorption of Calcium) – Idiopathic (common) – Milk-alkali syndrome – Vitamin D excess – Sarcoidosis • Secondary (release of Calcium from bones) – Renal osteodystrophy – Hyperparathyroidism – Osteolytic metastases (e. g. breast cancer) – Paraneoplastic syndromes (PTr. P)
Nephrocalcinosis
HYPOKALEMIC NEPHROPATHY • When serum potassium is low, the kidney cannot concentrate urine. • Coarse vacuolization of tubular cells, dilatation of intercellular spaces.
PLASMA CELL MYELOMA KIDNEY • Precipitation of Bence-Jones protein within the tubules causing renal shutdown. • Patients experience the acute or insidious onset of renal failure. • Amorphous pink casts, often surrounded by a foreign-body reaction with multinucleated giant cells. – Light-chain nephropathy can also include tubular casts. • Plasma cell myeloma patients often get amyloidosis B.
OXALATE NEPHROPATHY • Antifreeze drinkers (ethylene glycol), inborn errors, extreme ascorbic acid abusers, Aspergillus niger (produces oxalate). • The anesthetic gas methoxyflurane was banned for causing oxalate nephropathy. • Sharp oxalic acid crystals ruin the kidney.
GOUT • Uric acid is the catabolic end-product of purines from food and from broken-down cells. – It is excreted in the urine. • Gout is the disease resulting from precipitation of monosodium urate crystals in the body. • All patients with too-high serum uric acid (i. e. , urate) levels from any cause are said to have hyperuricemia.
• Repeated, transient, severe inflammation of one or a few joints (most commonly the coldest ones, i. e. , the big toe). – This is "acute gouty arthritis". • Longstanding gout results in deposition of crystals of monosodium urate surrounded by a chronic inflammatory reaction with a foreign body reaction and fibrosis. • The whole thing is called a “tophus”. • Tophi are common in the helices of the ears, in the joints and their bursae (chronic tophaceous arthritis), and in the kidneys.
• Etiology: – Primary idiopathic gout – Secondary Hyperuricemia and Gout: increased cell turnover or widespread cell destruction increase uric acid production. • • • lymphoma, leukemia, other malignant tumors, psoriasis, obesity, lead poisoning, thiazide diuretics, ethanol, acetoacetic acid, Glycogen Storage Disease (von Gierke), Lesch-Nyhan Syndrome.
Tophus
• Pathogenesis of Acute attack: – Precipitation of insoluble monosodium urate crystal in relatively avascular tissue (cartilage, epiphyseal bone, periarticular bone, extraskeletal) – acute attack begins when some crystals effectively activate the plasma proteases – monosodium urate crystals can also adsorb whatever opsonins – polys and monos soon arrive and start trying to eat the crystals. – crystals then rupture the lysosomes and lyse the phagocytes – enzymes from the dead phagocytes enter the synovial fluid and damage tissue, activate complement, etc. same thing happens again.
• The Chronic Disease – Although the acute attack is the most dramatic aspect of gout, the enduring lesion of gout is the tophus. – Repeated acute attacks, or uric acid buildup, wrecks the cartilage and underlying bones, which may become fused. – One fourth of gout patients develop uric acid kidney stones. – Tophi in medulla and pyramids ("chronic urate nephropathy") cause acute and chronic kidney problems. – Finally, patients with hyperuricemia tend to develop high blood pressure.
RADIATION NEPHRITIS • Following therapeutic radiation involving the kidney, the interlobular arteries narrow. • This eventually causes high blood pressure and sometimes renal failure.
BALKAN NEPHROPATHY • A rapidly-progressive interstitial nephritis • Rumania, Yugoslavia, and Bulgaria • in farm workers, and struck whole families at the same time • the cause was probably ochratoxin A from moldy grain stored in the upper stories of houses. • Pathology – Tubular loss, interstitial fibrosis, and myxoid thickening of the intima of small arteries. – The subcapsular cortex is most severely involved. – Renal failure develops in a few months or years.
- Slides: 62