Trileaflet aortic valve reconstruction with a decellularized pericardial








- Slides: 8
Trileaflet aortic valve reconstruction with a decellularized pericardial patch in a sheep model Bart Meuris, MD, Ph. D, Shigeyuki Ozaki, MD, Ph. D, William Neethling, MD, Ph. D, Stephanie De Vleeschauwer, Ph. D, Eric Verbeken, MD, Ph. D, David Rhodes, Ph. D, Peter Verbrugghe, MD, Geoff Strange, MD, Ph. D The Journal of Thoracic and Cardiovascular Surgery Volume 152 Issue 4 Pages 1167 -1174 (October 2016) DOI: 10. 1016/j. jtcvs. 2016. 05. 024 Copyright © 2016 The American Association for Thoracic Surgery Terms and Conditions
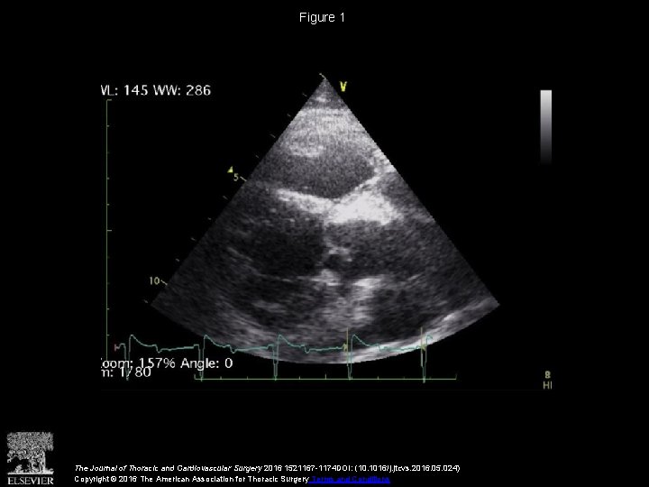
Figure 1 The Journal of Thoracic and Cardiovascular Surgery 2016 1521167 -1174 DOI: (10. 1016/j. jtcvs. 2016. 05. 024) Copyright © 2016 The American Association for Thoracic Surgery Terms and Conditions
Figure 2 The Journal of Thoracic and Cardiovascular Surgery 2016 1521167 -1174 DOI: (10. 1016/j. jtcvs. 2016. 05. 024) Copyright © 2016 The American Association for Thoracic Surgery Terms and Conditions
Figure 3 The Journal of Thoracic and Cardiovascular Surgery 2016 1521167 -1174 DOI: (10. 1016/j. jtcvs. 2016. 05. 024) Copyright © 2016 The American Association for Thoracic Surgery Terms and Conditions
The Journal of Thoracic and Cardiovascular Surgery 2016 1521167 -1174 DOI: (10. 1016/j. jtcvs. 2016. 05. 024) Copyright © 2016 The American Association for Thoracic Surgery Terms and Conditions
Video 1 The Journal of Thoracic and Cardiovascular Surgery 2016 1521167 -1174 DOI: (10. 1016/j. jtcvs. 2016. 05. 024) Copyright © 2016 The American Association for Thoracic Surgery Terms and Conditions
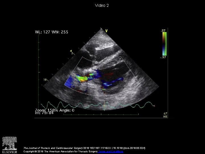
Video 2 The Journal of Thoracic and Cardiovascular Surgery 2016 1521167 -1174 DOI: (10. 1016/j. jtcvs. 2016. 05. 024) Copyright © 2016 The American Association for Thoracic Surgery Terms and Conditions
Video 3 The Journal of Thoracic and Cardiovascular Surgery 2016 1521167 -1174 DOI: (10. 1016/j. jtcvs. 2016. 05. 024) Copyright © 2016 The American Association for Thoracic Surgery Terms and Conditions