TRAUMATOLOGA Y ORTOPEDIA Exposicin de un caso clnico























- Slides: 23
TRAUMATOLOGÍA Y ORTOPEDIA Exposición de un caso clínico Grupo 7 Diego García Rodríguez María Dolors García Pons
Presentación del caso • Nombre: Cuca • Nº Caso: 09/1470 • Especie: Perro • Raza: Mestizo • Sexo: Hembra • Edad: 7 meses • Peso: 6 kg El paciente no apoya el miembro anterior izquierdo. 2
3
Resolución de la fractura Se decide resolver la fractura con un fijador externo bilateral, con una reducción abierta limitada o mínima. 4
Resolución de la fractura Al no lograr una reducción de la fractura, se decide aumentar la incisión y realizar una reducción anatómica, quitando las esquirlas del radio y escisión de un trozo de cúbito. 5
6
7
Control post-quirúrgico A los días de evolución: • La perra tiene un buen aspecto general. El apoyo de la pata es escaso o nulo, y presenta inflamación. • Tratamiento: cefalexina + rimadyl + omeprazol. 8
Control post-quirúrgico Tras 15 días de evolución: • Buen aspecto general con apoyo parcial de la pata, casi exclusivo de estación. • Realización de Rx y cura de la herida. 9
10
Control post-quirúrgico Un mes después de la intervención: • Evaluamos el fijador externo y observamos que la aguja superior cercana a la articulación supura y presenta movimiento. Además, la 4ª aguja está demasiado cerca del foco de fractura; cosa de la que, anteriormente ya nos habíamos dado cuenta pero fue este día cuando se decidió intervenir quirúrgicamente de nuevo a la paciente. • Redireccionamos las 2 agujas y quitamos el fijador lateral. 11
12
13
Control post-quirúrgico Pasadas 3 semanas desde la segunda intervención realizada: • Evolución favorable pero más lenta de lo deseado. No hay osificación completa pero sí tejido fibroso. Observamos apoyo en todos los pasos. • Continuación del tratamiento y posible retirada del resto de fijador en la próxima revisión. 14
15
Control post-quirúrgico El vídeo que le pudimos hacer ese mismo día en la revisión nos demuestra el apoyo que presentaba. 16
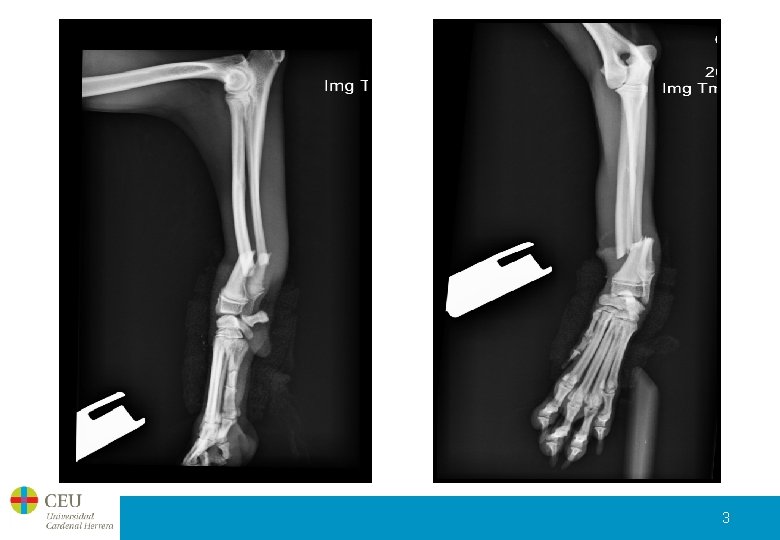
Control post-quirúrgico El pasado jueves 14 de enero, tras dos meses de evolución desde la segunda intervención que se realizó se le retiraron todos los implantes a Cuca. Presenta una evolución muy favorable, la perra está perfectamente y el hueso más que consolidado. A continuación podemos ver las radiografías que se le hicieron antes de quitar los implantes del fijador externo y una vez quitados. 17
18
19
Discusión del caso El principal problema en el tipo de resolución que se utilizó fue la lentitud con la que se recuperaba el paciente. Esto principalmente pudo deberse a dos causas: • La reducción anatómica fue demasiado amplia, es decir, el abordaje que se realizó no fue el más adecuado para este tipo de perro. • La colocación de las agujas. Las 2 agujas que posteriormente dieron problemas, ya desde el principio se podía ver que su posición no era la idónea. 20
Posibles alternativas: Colocación de un fijador externo unilateral, medial con 4 agujas hemifixiantes, 2 a cada lado del foco de fractura, unidas con una barra conectora. Colocación de 2 clavos de Rush cruzados desde la epífisis distal hacia la diáfisis por encima del foco de fractura. 21
Bibliografía • Donald L. Piermattei, Gretchen L. Flo y Charles E. de. Camp. Manual de ortopedia y reparación de fracturas en pequeños animales. Buenos Aires, República Argentina. Inter-médica Editorial, XXI – 2007. • Douglas Slatter. Manual de cirugía en pequeñas especies. México. Mc. Graw – Hill Interamericana, 1997. • Theresa Welch Fossum, DVM, MS, Ph. D. Cirugía en pequeños animales. Buenos Aires, Argentina. Inter-médica Editorial, 1999. 22
23