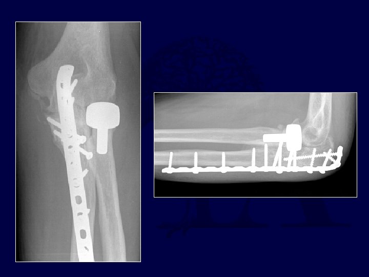
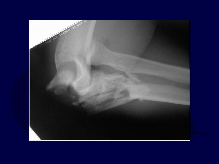
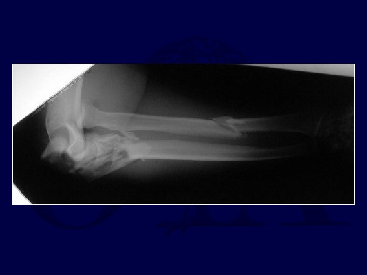
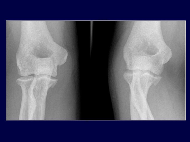
Traumatic Elbow Instability David Ring MD Ph D

Sign up to view full document!
SIGN UP
  • Slides: 66
Download presentation