Trauma heptico Trauma heptico Melhor exame TC S





































- Slides: 37
Trauma hepático
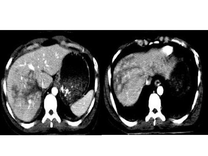
Trauma hepático Melhor exame: TC - S = 100% - E = 94% • Pista diagnóstica: evidência de lesão parenquimatosa irregular associada a hemorragia intra e perihepática • Lobo direito: 75% • 2ª víscera mais afetada no trauma * Maioria dos hematomas subcapsulares são iatrogênicos pós-biópsias • Suspeitar: dor, sensibilidade, rebote +, defesa, hipotensão, hematêmese/melena (hemobilia), icterícia. Lab: de Br e FA
Trauma hepático – achados na TC • Lacerações: – Simples: lesão hipodensa linear solitária; – “Estrelada”: lesões hipodensas lineares ramificadas (paralela aos ramos da veia porta ou hepática) – Superficial: < 3 cm; profunda: > 3 cm • Hematoma: parenquimatoso x sucapsular (formato lenticular) – Não coagulado (menos tempo): hiperdenso em relação ao parênquima hepático não contrastado e hipodenso em relação ao contrastado – Coagulado: mais denso que o não coagulado
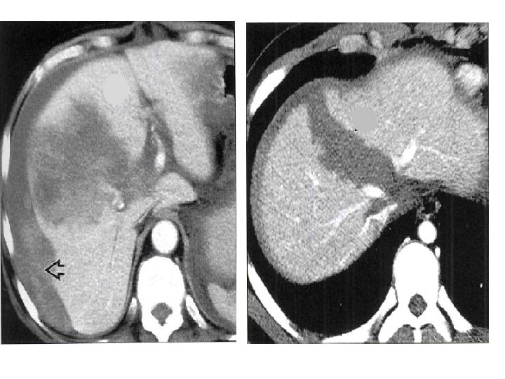
Hemorragia ativa: área focal de atenuação de contraste em fase arterial. Se persistir: falha no tratamento conservador
Tratamento • Graus I – III – Geralmente é clínico (monitorar com hematócrito) • Grau IV – VI (avulsão hepática) – Intervenção cirúrgica no caso de choque e peritonite – Embolização para extravasamento ativo
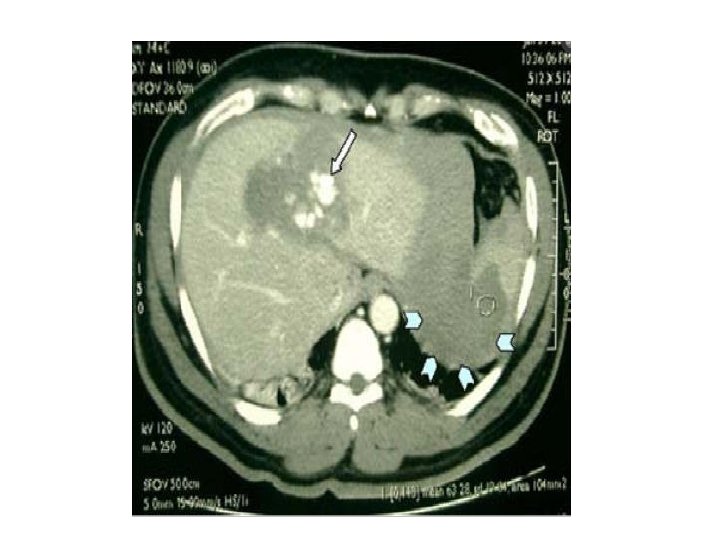
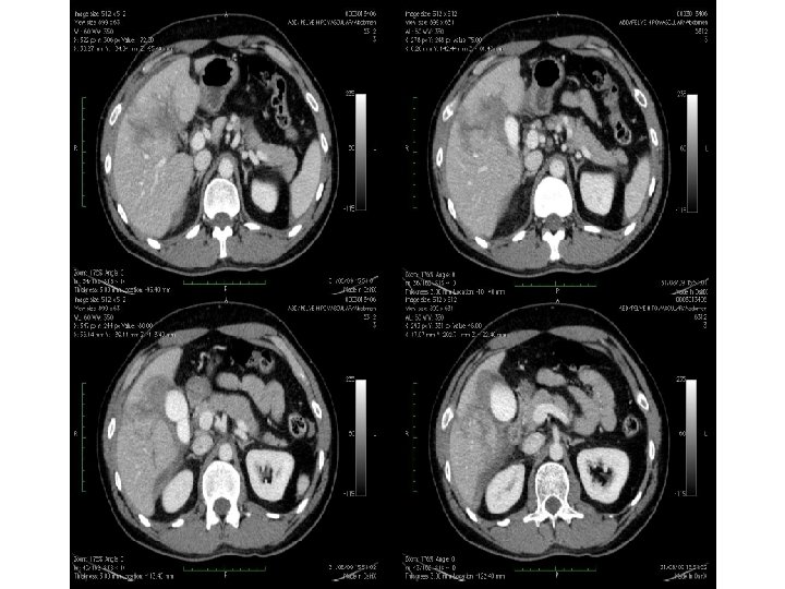
Caso clínico • - JCC, sexo masculino. • - Vítima de acidente automobilístico • - Dor Abdominal
• Conduta clínica: Optado por tratamento conservador das lesões hepáticas, com acompanhamento clínico e controle de hematócrito. • 06 dias após o trauma: • Paciente evolui estável, porém apresentando pico febris. • Solicitado exame para controle das lesões hepáticas e pesquisa de coleções
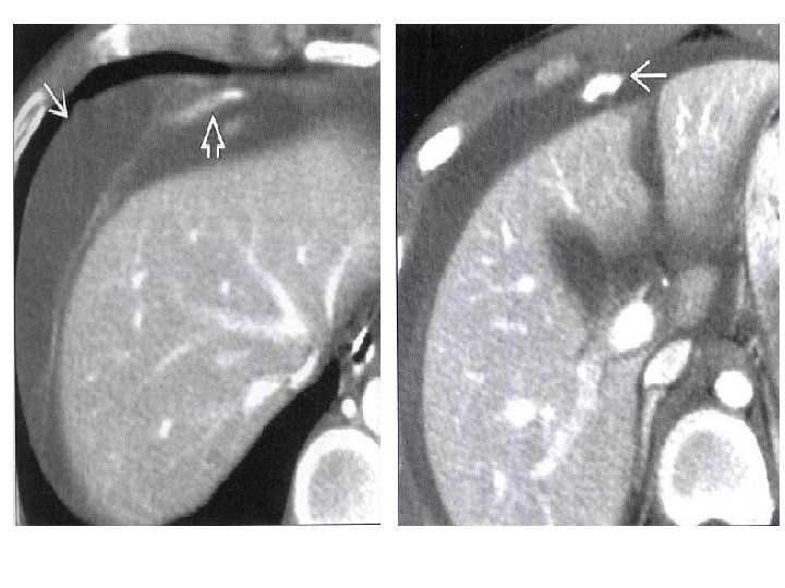
Trauma hepático – outros achados
TRAUMA PANCREÁTICO • ANATOMIA DO P NCREAS
TRAUMA PANCREÁTICO • Características Gerais: • Alargamento da glândula, parênquima heterogêneo, coleção de fluido peripancreático, história de trauma; • • • Tipos de lesão: Pancreatite aguda Lacerações profundas Contusões Fratura com ruptura do ducto História de trauma, dor no abdome superior, vômito pósprandial, distensão abdominal;
TRAUMA PANCREÁTICO • Trauma penetrante- Tiro (45%), Contuso (37%), Facada (18%); • Epidemiologia- Trauma pancreático é incomum – 3 a 12% de todas as lesões abdominais; • Mais frequentemente ocorre em homens (69%)!!! • Crianças- maior transmissão de energia, e menor quantidade de gordura peripancreática; • Mortalidade (20%), Morbidade 42%, principalmente se associação com lesões no fígado ou no intestino (>80%);
TRAUMA PANCREÁTICO • • • ERCP- QUANDO INDICAR? TC ou RM indicaram lesão pancreática; Forte suspeição clínica de lesão ductal; Vantagens: Direcionar reparo cirúrgico apropriado; Colocação de stents;
TRAUMA PANCREÁTICO • ACHADOS RADIOGRÁFICOS - ERCP
TRAUMA PANCREÁTICO - TC • Exame de imagem de primeira linha em pacientes com trauma agudo; • É mais acurada para detectar coleções fluidas extrapancreáticas, lacerações pancreáticas ou fraturas • Trauma abdominal contuso- imagens geralmente obtidas na fase portal (60 -70 s após a injeção do contraste iodado), idealmente com secções de 5 mm;
TRAUMA PANCREÁTICO
TRAUMA PANCREÁTICO
TRAUMA PANCREÁTICO
TRAUMA PANCREÁTICO
TRAUMA PANCREÁTICO
TRAUMA PANCREÁTICO • ACHADOS US- Achados da US e TC na pancreatite traumática podem ser similares ao de uma pancreatite não traumática, não é tão sensível quanto a TC no diagnóstico de lesão aguda;
TRAUMA PANCREÁTICO • DIAGNÓSTICOS DIFERENCIAIS • Choque Pancreático; • Hematoma duodenal intramural com ou sem ruptura duodenal.
TRAUMA PANCREÁTICO • TRATAMENTO • Graus 1 e 2 - conservativo- nutrição parenteral, somatostatina ou octreotide, endoscopia com stent pancreático; • Graus 3 e 4 - Cirurgia dentro de 24 h, trauma penetrante geralmente requer laparotomia exploradora, drenagem cirúrgia, pancreatectomia parcial, elevação dos níveis séricos de amilase e aumento do tamanho do cisto são indicações de cirurgia.
TRAUMA DUODENAL • ANATOMIA DO DUODENO:
TRAUMA DUODENAL • EPIDEMIOLOGIA: Quarta injúria orgânica mais comum em crianças, representa de 2 a 10% de todas as injúrias sangrantes; • Mecanismos de lesão- desaceleração, grave compressão anteroposterior contra a coluna, menos comuns: lesões por esporte, quedas; • QUANDO PENSAR? • Criança com trauma contuso em região mesogástrica, adultos em acidentes automobilísticos; • CLÍNICA – Sinais e sintomas mais comuns – náuseas, vômitos, dor abdominal; • TRAUMA PANCREÁTICO E DUODENAL – COEXISTÊNCIA É COMUM: 50 -98%
TRAUMA DUODENAL • CONTUSÃO- Edema ou hematoma na parede duodenal, gás intramural, espessamento focal da parede duodenal (>4 mm); • PERFURAÇÃO- Extravazamento do contraste na região retroperitoneal, gás extraluminal, descontinuidade da parede duodenal; • EM AMBOS- Possíveis achados: Fluido ou hematoma na região retroperitonial, infiltração do tecido gorduroso retroperitonial, transecção pancreática.
TRAUMA DUODENAL • Exames recomendados: • CETC • UGI
TRAUMA DUODENAL
TRAUMA DUODENAL
TRAUMA DUODENAL • ACHADOS NA TC: • NECT: Aumento da densidade no hematoma intramural, pneumoperitôneo e presença de fluido/ar no espaço pararrenal anterior;
TRAUMA DUODENAL • UGI: Upper Gastrointestinal Series
TRAUMA DUODENAL