Trauma Cranienceflico Suporte Avanado de Vida no Trauma










































































































- Slides: 106
Trauma Craniencefálico Suporte Avançado de Vida no Trauma ATLS Apresentação: Paulo Nogueira Cirurgia Geral/Cirurgia Pediatrica
Definição o Trauma craniano aberto ou fechado, com evidência de envolvimento cerebral demonstrado por alteração do nível de consciência ou sinais de déficit neurológico focal
Introdução � EPIDEMIOLOGIA: � Aproximadamente 1, 6 milhão atendimentos por TCE ocorrem por ano; Desses cerca de 500. 000 são de Lesões Cerebrais Traumáticas; � Quase 90% das mortes pré-hospitalares relacionadas ao trauma envolvem lesão cerebral. � 70% são de lesões leves e 15% de lesões moderadas e 15% de graves; � A taxa de mortalidade das lesões moderadas e graves são de 10% e 30% respectivamente; � Dos pacientes que sobrevivem, entre 50% a 90% apresentam algum tipo de lesão neurológica permanente;
Introdução LESÃO CEREBRAL PRIMÁRIA: ◦ Ocorre no momento do trauma (trauma direto no encéfalo associado com lesões vasculares). ◦ Ex. : contusões, lacerações e lesão axonal difusa (LAD). LESÃO CEREBRAL SECUNDÁRIA: ◦ É determinada por processos complicadores, que se iniciam no momento do trauma. ◦ Hipotensão, hipóxia, hipocapnia
Introdução � Atenção primária : Prevenir lesão cerebral Secundária � Medidas: ◦ Fornecer oxigenação adequada ◦ Manutenção da pressão arterial Após aplicação do ABCDE: Identificar lesões de massa que necessitam de intervenção cirúrgica imediata A triagem do doente portador TCE depende da gravidade da lesão e dos recursos disponíveis A transferência do doente não deve ser retardada para realização de tomografia computadorizada ou outros exames de imagem
Neuroanatomia Frontal Parietal Temporal Occipital • Couro cabeludo • 5 camadas • Irrigação abundante • Hematomas subgaleais • Crânio • Calota: fina nas temporais • Base: irregular
Neuroanatomia: Particularidades CR NIO - Grande determinador do efeito sobre o cérebro -“escudo” ou “arma” - fossas anterior, média e posterior
Neuroanatomia: Particularidades EFEITO DO TCE DEPENDE: ◦ Forma do objeto traumatizante ◦ Força do impacto Cabeça em movimento ou não LEMBRAR QUE PODE EXISTIR : - Dano cerebral grave sem lesão externa detectável - Lesão externa grave sem injúria do tecido cerebral
Neuroanatomia
Neuroanatomia • Meninges • Revestem o cérebro • Dura-máter: membrana resistente e fibrosa • Aracnóide • Pia-máter
Neuroanatomia • Encéfalo • Cérebro/cerebelo/tronco • Líquido cefalorraquiadiano • Tenda do cerebelo
FISIOPATOLOGIA Pressão intracraniana (PIC): Diferentes processos patológicos que acometem o cérebro podem produzir elevação da PIC - PIC nl: 10 mm Hg - Doutrina de Monro-Kellie PIC elevada: ◦ Reduz Perfusão cerebral ◦ Exacerba a isquemia Crânio é uma caixa rígida não expansível!!!
Sg para circulação sistêmica Líquor para espaço subaracnóide
FISIOPATOLOGIA * Lesões Secundárias à HIC Hérnias encefálicas HIC focal – hérnias temporais HIC difusa – hérnias centrais
FISIOPATOLOGIA * Lesões Secundárias à HIC Hérnias Temporais: DILATAÇÃO DA PUPILA IPSILATERAL ASSOCIADO À HEMIPLEGIA CONTRALATERAL
FISIOPATOLOGIA * Lesões Secundárias à HIC Hérnias Centrais
Fisiopatologia • Em adultos : Fluxo sanguíneo cerebral (FSC) : 50 ml/100 gr de tecido cerebral/min • Em crianças: FSC: 90 ml/100 gr tecido cerebral/min • A lesão cerebral suficiente para produzir COMA pode causar redução de 50% do FSC durante as primeiras 6 a 12 h após o trauma • Há evidências que tais níveis tão baixos de FSC são inadequados para satisfazer a demanda metabólica do cérebro
Fisiopatologia • Mecanismo de auto-regulação cerebral: • Vasos cerebrais pré-capilares tem normalmente a capacidade de contrair ou dilatar reflexamente em resposta a pressões sanguíneas sistólicas para manter FSC • Também se contraem ou dilatam em resposta a alterações de PO 2 ou PCO 2 • Cérebro traumatizado é vulnerável a isquemia e enfarte: • Hipotensão, hipóxia, hipocapnia Hipotensão ↓ FSC=PPC RVC ↓ PPC = PAM - PIC Isquemia Infarto cerebral
CLASSIFICAÇÃO Tipos: A) Mecanismo: ◦ Fechado (colisões automobilísticas, quedas e agressões) ◦ Penetrante (FAF e FAB) integridade ou não da dura-máter B) Gravidade: Escore da Escala de Glasgow ◦ Leve ◦ Moderada ◦ Grave C) Morfologia: ◦ Fraturas de Crânio ◦ Lesões intracranianas
CLASSIFICAÇÃO Mecanismo * Fechado * Dependem do contato de crânio x objeto x crânio Provocam lesões focais • crânio – ex: fraturas calota / base crânio • meninges – ex: fístulas de LCR • encéfalo – ex: contusão / laceração encefálica
CLASSIFICAÇÃO Mecanismo Projétil de arma de fogo • M reduzida e V alta (PAF) penetra o crânio lacerações e lesões pelo deslocamento do objeto, associada a um fenômeno aspirativo.
TCE
CLASSIFICAÇÃO B) Gravidade da lesão Escala de Coma de Glasgow
Escala de Coma de Glasgow • AVALIAÇÃO QUANTITATIVA DO NÍVEL DE CONSCIÊNCIA • PROCESSO DIN MICO • AVALIAÇÃO EM SEQUÊNCIA
Escala de Coma de Glasgow
Escala de Coma de Glasgow
Escala de Coma de Glasgow Em que ano estamos? Solta!Almoço!Não Hugh! Ahrr! 2010 1972
Escala de Coma de Glasgow Prof. Fernando Ramos Gonçalves
Escala de Coma de Glasgow
CLASSIFICAÇÃO C) Morfologia da lesão: fraturas de crânio e lesões intracranianas.
Fraturas de crânio Fratura linear sem afundamento Afundamento craniano Fratura aberta de crânio
CLASSIFICAÇÃO Lineares: ◦ lesão cerebral 400 vezes a possibilidade de hematoma intracraniano em paciente consciente.
FRATURA LINEAR
Prof. Fernando Ramos Gonçalves
Fraturas de crânio Fratura linear sem afundamento Afundamento craniano Fratura de crânio aberta
Fratura com afundamento
CLASSIFICAÇÃO Afundamento maior que a espessura cirurgia.
CLASSIFICAÇÃO Abertas: LCR ou cérebro cx precoce.
Fraturas de crânio Fraturas da base do crânio Otoliquorréia, rinoliquorréia Equimose na região da mastoide (sinal de Battle) Sangue na membrana timpanica (hemotimpano) Equimose periorbitária (olhos de guaxinin) Fratura de assoalho de órbita Esfenóide Porção da mastóide do osso temporal
Fraturas de crânio Fratura da base do crânio
Equimose peri-orbitária
CLASSIFICAÇÃO Fraturas de base: exame físico.
Prof. Fernando Ramos Gonçalves
CLASSIFICAÇÃO Lesões intracranianas: 1) Contusões Focais 2) Hematoma epidural (HED) 3) Hematoma subdural (HSD) 4) Hematomas Intracerebrais (HSA) Difusas 5) concussão leve 6) concussão clássica 7) lesão axonal difusa
CLASSIFICAÇÃO LESÃO DIFUSA Lesões difusas aceleração e desaceleração. É a mais comum no TCE. Difusas concussão leve concussão clássica lesão axonal difusa
CLASSIFICAÇÃO Concussão • • leve Consciência preservada, Disfunção temporária. Freqüentemente passam despercebidas. Paciente confuso, desorientado, mas sem amnésia • Totalmente reversível.
CLASSIFICAÇÃO � Concussão cerebral clássica • Perda de consciência e amnésia pós-traumática • Sua duração determina a gravidade da lesão. ◦ Recupera consciência completa após 6 horas ou menos. ◦ Geralmente não há seqüelas. ◦ CT normal ◦ Pacientes podem ter leve sonolência ou confusão ◦ Tratamento – Observação e evitar novos TCE principalmente nos esportes
CLASSIFICAÇÃO Lesão axonal difusa � Coma pós-traumático prolongado (dias a semanas) • Não resultante de lesão de massa ou lesões isquêmicas. • Lesões de alta velocidade com estiramento ou chacoalhamento do tecido cerebral � Evidências de decorticação ou descerebração � Caso sobrevivam gravemente incapazes. � Lesões microscópicas: Mini hemorragias (petéquias) em substancia branca � Geralmente exibem disfunção autonômica, como HAS, hiperhidrose e hiperpirexia. � Edema cerebral e aumento da PIC � Mortalidade em 30 a 40 %
Prof. Fernando Ramos Gonçalves
Prof. Fernando Ramos Gonçalves
CLASSIFICAÇÃO LESÃO FOCAL Lesões intracranianas: 1) Contusões Hemorragias 2) Hematoma epidural 3) Hematoma subdural 4) Hematomas Intracerebrais
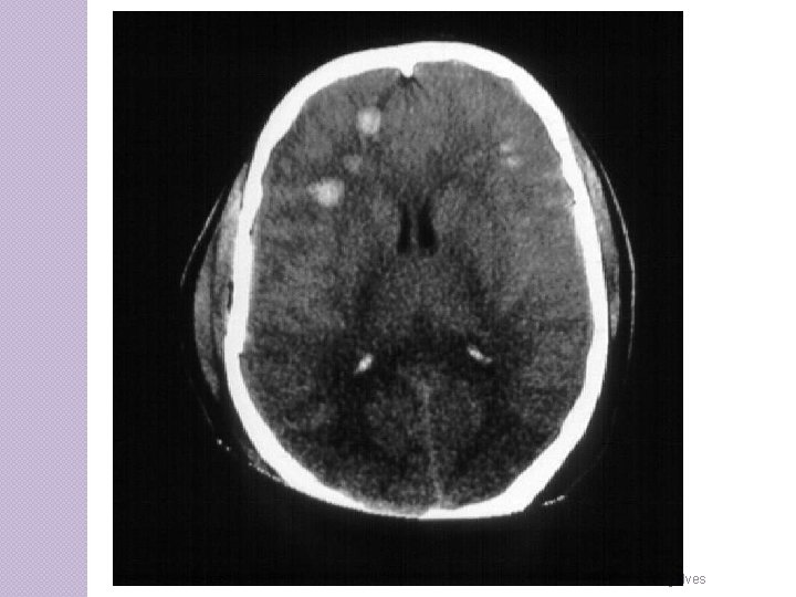
CLASSIFICAÇÃO Contusões: ◦ Associadas concussões graves, ◦ Coma prolongado, obnubilação e confusão mental. ◦ Golpe X contragolpe. ◦ Única ou múltiplas ◦ Área de impacto ou contragolpe. ◦ Efeito massa.
CLASSIFICAÇÃO CONTUSÕES ◦ Manifestações dependem da área lesada ◦ Lesões golpecontragolpe principalmente frontal e occipital ◦ 20 % evoluem para hematomas cirúrgicos
CLASSIFICAÇÃO CONTUSÃO CEREBRAL
CLASSIFICAÇÃO HEMORRAGIAS Hematomas: Subdural Epidural Intracerebral
CLASSIFICAÇÃO Hemorragia Subaracnóide Irritação meníngea – sangue no LCR, geralmente interhemisferica, supraselar Causada por ruptura de veias ou artérias da base do crânio Cefaléia e/ou fotofobia Náusea e vômitos Tratamento é clinico
CLASSIFICAÇÃO Hemorragia Subaracnóide Os hematomas intracerebrais são comuns Geralmente ocorrem nos lobos frontal e temporal. É difícil diferenciar contusão cerebral de hematoma intracerebral.
Hemorragia subaracnoidea Traumática
Prof. Fernando Ramos Gonçalves
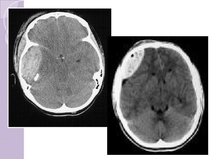
CLASSIFICAÇÃO Hematomas epidurais ◦ Osso e dura-máter ◦ Lente biconvexa, temporal ou têmporo-parietal, ◦ Ruptura da artéria meníngea média, causada por uma fratura. ◦ Tto precoce melhor prognóstico. ◦ Sintomático, > 1 cm, fossa posterior ◦ Clínica: intervalo lúcido seguido de “fala e morre”.
Hematomas Epidurais Ou extradurais ocorrem mais comumente por fratura da porção escamosa do osso temporal, em cuja face interna corre (em um sulco) a artéria meníngea média. Uma lesão desta causa um hematoma entre o osso e a dura-máter, de formação rápida, porque a pressão no vaso é arterial. Como a dura é aderida ao osso, os hematomas epidurais são circunscritos e arredondados. Forçam o lobo temporal em direção medial e provocam hérnia de uncus.
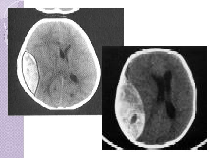
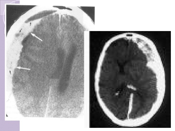
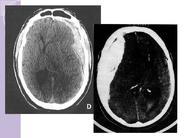
CLASSIFICAÇÃO Hematoma ◦ ◦ ◦ ◦ subdural: Mais freqüente que hematoma epidural Veia entre o córtex cerebral e o seio venoso. Recobrem toda a superfície do hemisfério. Comprometimento cerebral mais grave Prognóstico mais reservado que epidural Tto precoce, se sintomático Atraso maior que 4 hs: Mortalidade 59 69%;
Hematoma subdural A velocidade de formação do hematoma é variável de horas a dias. Inicialmente o sangue se coagula, mas vai lentamente se fluidificando por ação de fibrinolisinas. Os hematomas subdurais agudos podem causar hipertensão intracraniana elevada e hérnias. Além do tipo agudo, os hematomas subdurais podem ser crônicos, isto é, desenvolver-se lentamente, ao longo de semanas, após traumas pequenos esquecidos pelo paciente e desconhecidos familiares. São comuns em idosos e podem ser bilaterais
Hematoma subdural O quadro clínico é de deterioração gradual das funções mentais e da consciência, chegando ao coma, devido à compressão cerebral. Hematomas subdurais também podem ocorrer na infância por trauma obstétrico ou quedas.
FISIOPATOLOGIA DOS TCE * Hematomas Subdurais Agudos
Hematoma subdural
CLASSIFICAÇÃO LESÕES EXTRACRANIANAS: Lesões couro cabeludo, Empalamento PAF
Lesões de couro cabeludo Abrasão Laceração Contusão Hematoma subgaleal – Bossa sanguinea Em criança pode ter perda significativa de sangue
CLASSIFICAÇÃO Couro cabeludo: • Inspeção cuidadosa, • Sinais de fratura, corpos estranhos e LCR (fx de base e lesão da dura-máter). • Evitar exploração digital ou com material cirúrgico. • Se sinais de afundamento ou fratura aberta deve-se consultar o neurocirurgião antes da sutura.
CLASSIFICAÇÃO Empalamento: Corpo estranho encravado no crânio deve ser deixado até que o neurocirurgião possa removê-lo. RX para determinar o ângulo e a profundidade de penetração.
Prof. Fernando Ramos Gonçalves
CLASSIFICAÇÃO Ferimento por Arma de Fogo � Mistura de todos os tipo de lesão, fratura, hemorragia, hematomas etc. . . � Quanto maior o calibre e a velocidade do projétil, maior a probabilidade de lesões graves e a até letais. � Cobrir a entrada e saída do projétil compressa esterilizada até o tratamento neurocirúrgico ser providenciado.
PAF
Prof. Fernando Ramos Gonçalves
AVALIAÇÃO DO TCE 1) História: queda 4 X mais hematomas que automóvel. 2) Avaliação inicial: crucial para comparações posteriores. ABCDE PS < 60, hipóxia, álcool, depressores. 3) Avaliação dos sinais vitais: “Jamais assuma o TCE como causa de hipotensão” Tríade de Cushing: bradicardia, hipertensão e bradipnéia cirurgia imediata.
TCE - AVALIAÇÃO PRIMARIA · ABCDEs – · VIAS AÉREAS, RESPIRAÇÃO E CIRCULAÇÃO · IMOBILIZAÇAO DA COLUNA CERVICAL · REALIZAÇAO DE EXAME NEUROLÓGICO RÁPIDO:
Avaliação do Trauma Cranioencefálico ◦ EXAME NEUROLÓGICO Dirigido · Escala de coma de Gasglow · AVDI: alerta, resposta verbal, resposta à dor, sem resposta · Avaliação pupilar: simetria e reação a luz · Simetria motora de extremidades
Avaliação do Trauma Cranioencefálico Avaliação das Pupilas ◦ Simetria ◦ Resposta a luz Prof. Fernando Ramos Gonçalves
Avaliação do Trauma Cranioencefálico Sinais de gravidade Assimetria de pupilas Assimetria motora Fratura de crânio com perda de liquor ou exposição do tecido cerebral Deterioração neurológica ◦ ◦ Queda de 2 ou mais pontos na escala de Glasgow ou Cefaléia intensa ou Aumento do diâmetro de 1 pupila ou Diminuição de força muscular em um lado do corpo Fratura com afundamento craniano Prof. Fernando Ramos Gonçalves
Tratamento TCE leve • Definido por História de desorientação amnésica ou perda transitória da consciência em um doente que está consciente e falando • O doente encontra-se acordado e pode estar orientado • Exame Geral para excluir lesões sistêmicas • Exame neurológico sumário • TC é o exame de imagem de escolha, deve ser realizada em:
Indicações de TC no TCE leve Alto risco ◦ Escore ECG menor que 15 até 2 h após o trauma ◦ Suspeita de fratura ◦ Sinal de fratura de base de crânio ◦ Vômitos (mais de 2 episódeos) ◦ Idade superior a 65 anos Risco moderado: ◦ Amnésia para fatos anteriores ao impacto (mais de 30 min) ◦ Mecanismo perigoso ◦ Cefaléia grave ◦ Déficit neurológico focal
TCE LEVE ◦ Repouso ◦ Cabeceira elevada ◦ Jejum – ◦ Líquidos IV ◦ Analgesia leve Alta do Hospital ◦ Anti-eméticos RX cervical • O doente não apresenta nenhum dos critérios para internação • Discuta a necessidade de retorno caso apareça qualquer problema
Tratamento TCE Moderado • Definição: O doente pode estar confuso ou sonolento, mas ainda é capaz de obedecer ordens simples • Escore Glasgow: 9 -13 • Exame Inicial: • O mesmo que para TCE leve, mais exames rotineiros de sangue • A CT de crânio é realizada em todos os casos • Depois da internação: • Avaliações neurológicas frequentes • Seguimento com CT crânio se as condições piorarem ou antes da alta: • Se o doente melhora (90%): • Alta quando adequado • Seguimento ambulatorial • Se o doente piora: • Se o doente não obedece a ordens simples, repita a CT e trate como TCE grave
Tratamento TCE Grave • Definição: O doente não é capaz de obedecer ordens simples por alteração da consciência • Escore Glasgow 3 -8 • Avaliação e tratamento: • ABCDEs • Exame primário e reanimação • Exame secundário e História AMPLA • Reavalição neurológica
TCE GRAVE Observação UTI Intubação orotraqueal Sedação contínua Monitor PIC Anticonvulsivantes p. CO 2 próx 30 Cirurgia
Tratamento- Geral Controle e prevenção dos episódios convulsivos ◦ Podem ocorrer em 10% das vítimas de TCE grave ◦ Risco de convulsões precoces 20 -39% ◦ Difenil-hidantoína – HIDANTAL: dose de ataque e mantido de 8/8 h reduz incidência de Crises convulsivas precoces
Tratamento- Geral Normotermia Suporte nutricional Antibioticoterapia profilática em soluções de continuidade ou feridas contaminadas Profilaxia antitetânica Controle de coagulação CIVD em 1/3 dos casos de TCE grave
Tratamento da Hipertensão Intracraniana Objetivos ◦ oferecer oxigenação e substrato metabólico adequados ◦ otimizar a pressão de perfusão cerebral ◦ evitar herniações Drenagem Liquórica – DVE Descartar lesões de massa Corticóides não são indicados ◦ Indicação quando há edema cerebral vasogênico como ao redor de tumores ou abscessos e trauma medular
Tratamento da HIC Hiperventilação Manitol (manualmente máx 2 min) 0, 5 a 1 g/kg da solução a 20% ◦ Não de modo continuado - a cada 6 horas ◦ Uso limitado pela hiperosmolaridade e pelos distúrbios hidroeletrolíticos induzidos Furosemida ◦ Não usar se. Tríade houver hipotensão de Cushing ◦ 1 mg/kg/dose 15 Bradicardia minutos após o manitol reduzir produção líquor Alt. Respiratórias HAS
Tratamento da HIC Craniotomia descompressiva ◦ Estudos mostram melhora na PIC nas primeiras 24 horas e melhor prognóstico após 6 meses ** Taylor, Child’s Nerv Syst, 2001; 17: 154 -162, Bethine, Crit Care Med, 2003; 7(6): 133 -138 e Reithemeier, Childs Nerv Syst, 2005; 21: 249 ◦ Mais apropriada em pacientes com um ou mais dos seguintes critérios: edema cerebral difuso dentro das primeiras 24 horas da lesão sem episódios de PIC > 40 mm. Hg mantida antes da cirurgia Glasgow > 3 deterioração clínica secundária hemorragia cerebral para drenagem
Considere os parâmetros abaixo: ◦ Abertura ocular ◦ Resposta Verbal ◦ Melhor resposta motora Na avaliação neurológica deste paciente, utilizando-se a escala de Glasgow, quais devem ser considerados: a) b) c) d) e) Apenas II e III I, III
Qual a pontuação para definirmos coma pela escala de coma de Glasgow? a) b) c) d) e) Menor ou igual a 8 Maior ou igual a 8 De 5 a 11 pontos De 5 a 9 pontos De 3 a 5 pontos
Um homem de 22 anos foi atingido por uma pedra na região lateral esquerda da cabeça quando estava passando por um canteiro de obras. È levado ao pronto-socorro com imobilização completa da coluna e dá entrada inconsciente, reagindo à dor em movimento de descerebração. Não abre os olhos. Seus sinais vitais são PA: 160 X 90 mm. Hg, pulso: 88 bpm, FR: 20 ipm. Há lacerações em couro cabeludo e equimose em face, mas não se observam sinais de outras lesões externas. Antes de fazer uma tomografia de crânio, o médico deve: 1. Radiografar a bacia e excluir outras causas de sangramento 2. Garantir uma via aérea definitiva 3. Fazer um lavado peritoneal diagnóstico 4. Radiografar toda a coluna e garantir que não há lesões raquimedulares 5. Solicitar hemograma e prova cruzada
Paciente jovem, vítima de atropelamento é trazido ao pronto socorro: a avaliação neurológica demonstrou retirada do membro mediante estímulo álgico (reage à dor, mas não localiza), emissão de sons incompreensíveis e abertura ocular aos estímulos dolorosos. De acordo com a classificação pela escala de coma de Glasgow, o valor que corresponde a este paciente, neste caso, é: A)6 B)7 C)8 D)9 E)10
OBRIGADO!!!!!!