Transcervical migration of a broken dental needle a
Transcervical migration of a broken dental needle: a case report and literature review Mehmet Ali Altay, DDS, Ph. D, Diana Jee-Hyun Lyu, DMD, David Collette, DMD, Dale A. Baur, DDS, MD, Faisal A. Quereshy, MD, DDS, Sorin T. Teich, DMD, MBA, Ariadne E. Gonzalez, BS Oral Surgery, Oral Medicine, Oral Pathology and Oral Radiology Volume 118 Issue 6 Pages e 161 -e 165 (December 2014) DOI: 10. 1016/j. oooo. 2014. 001 Copyright © 2014 Elsevier Inc. Terms and Conditions
Fig. 1 Oral Surgery, Oral Medicine, Oral Pathology and Oral Radiology 2014 118 e 161 -e 165 DOI: (10. 1016/j. oooo. 2014. 001) Copyright © 2014 Elsevier Inc. Terms and Conditions
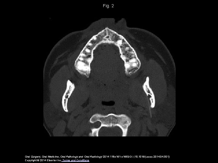
Fig. 2 Oral Surgery, Oral Medicine, Oral Pathology and Oral Radiology 2014 118 e 161 -e 165 DOI: (10. 1016/j. oooo. 2014. 001) Copyright © 2014 Elsevier Inc. Terms and Conditions
Fig. 3 Oral Surgery, Oral Medicine, Oral Pathology and Oral Radiology 2014 118 e 161 -e 165 DOI: (10. 1016/j. oooo. 2014. 001) Copyright © 2014 Elsevier Inc. Terms and Conditions
Fig. 4 Oral Surgery, Oral Medicine, Oral Pathology and Oral Radiology 2014 118 e 161 -e 165 DOI: (10. 1016/j. oooo. 2014. 001) Copyright © 2014 Elsevier Inc. Terms and Conditions
Fig. 5 Oral Surgery, Oral Medicine, Oral Pathology and Oral Radiology 2014 118 e 161 -e 165 DOI: (10. 1016/j. oooo. 2014. 001) Copyright © 2014 Elsevier Inc. Terms and Conditions
Fig. 6 Oral Surgery, Oral Medicine, Oral Pathology and Oral Radiology 2014 118 e 161 -e 165 DOI: (10. 1016/j. oooo. 2014. 001) Copyright © 2014 Elsevier Inc. Terms and Conditions
- Slides: 7