Traitement endoluminal des stnoses ou occlusions des artres








































- Slides: 40
Traitement endoluminal des sténoses ou occlusions des artères digestives Frédéric GIGOU */** Bruno TREMBLAY * Sepideh ANGHA */*** CH Meaux * Fondation Hopital St Joseph ** La Pitié Salpêtrière *** College Chir Vasc 29 Mai 2010
REVASCULARISATION DES ARTERES DIGESTIVES CONTEXTE • Indications assez rares • Contexte clinique très varié • Pronostic vital engagé • Alternative CHIR vs ATL College Chir Vasc 29 Mai 2010
Fréquence: audits annuels St Joseph DC=1*1994: 3 indic electives (1 IA grele) DC=0 *1995: 3 occl. Mutiple, 1 avec ATA DC=1 *1996: 1 pont Ao thor hépatique *1997: pas de data DC=0*1998: 2 doubles pont TC-MS DC=1*1999: 1 pont Ao-TC, 1 retro ilio. MS, 1 bifurqué TC-MS, 1 redux ilio. MS College Chir Vasc 29 Mai 2010
Historique • 1964: 1 ere angioplastie par Dotter • 1980: 1 ere publication par Furrer et al. d’ATL de l’artere Mésentérique sup • Fin 80’: 1 ere série >10 patients • 1992: Stent de Palmaz dans l’AMS Comparaison et émulation Endo vs Chir College Chir Vasc 29 Mai 2010
CONTEXTE CLINIQUE ET ETIOLOGIQUE • Clinique (excluant chir. AMI au cours chir aorto-iliaque et TT des a digestives au cours des int. pour AAA ou ATA) *lésions isolées asympto des a. digestives *occlusions et sténoses asympto Tt au cours d’une chir. Aortique *ischémie intestinale chronique (IIC) *ischémie intestinale aigüe (IIA) , nécrose intestinale et péritonite • Etiologique: *embolie *sténose athéromateuse *anévrysme aortique associé à des lésions des a. digestives *dissections aortques *Takayashu *anévrysme isolé d’une artère digestive *dissection isolée (AMS) College Chir Vasc 29 Mai 2010
Clinique I • Homme de 66 ans • Fd. R: – Diabète type 2 depuis 1986, ID depuis 1999 – HTA – Tabac 25 Px. A sevré • ATCD -pontage F-pop 2005 -14 Jan 2010: TE carotide droite: suites simples College Chir Vasc 29 Mai 2010
Clinique II • Fev 2010: déséquilibre du diabète -Hospi diabéto, introduction de la Metformine; mauvaise tolérance avec douleurs abdo, arret, persistance douleurs abdo, amaigrissement de 15 kg • CS Dr Angha 09/03/2010: angor mésentérique? • Réhospi diabéto du 10 au 16/03/2010 -fibroscopie oeso gastro duodénale normale • Scan et Staff vasculaire le 15/03: décision de pontage Aorto mésentérique sup pour le 18/03 College Chir Vasc 29 Mai 2010
Scanner du 15/03/2010 College Chir Vasc 29 Mai 2010
Clinique III • Le 17/03 dans le service: choc contrôlé par Noradrénaline • Nouveau scan: pneumopéritoine=complication ischémique aigüe=intervention d’urgence, pronostic très sombre College Chir Vasc 29 Mai 2010
Intervention en urgence le 17/03/2010 • Explo A Mes Sup : non thrombosée, pas de pouls • Possibilté technique de réimplantation directe dans l’aorte sous rénale ( pas de prothèse, milieu septique++) • Ischémie globale grêle et colon, plusieurs zones perforées =>Pas de tentative de revascularisation, DC sur table dès la fermeture (arrêt noradrénaline) College Chir Vasc 29 Mai 2010
Discussion • Responsabilité de la Metformine? • Mauvaise évaluation de l’importance des lésions digestives au scanner du 15/03 • Quand était-il encore temps de le revasculariser? • Pas de revascularisation digestive au stade chronique = DC College Chir Vasc 29 Mai 2010 Scan contrôle PFP 2005
Mr Z…, 77 ans ATCD: ACFA, HTA, IDM 95, SAS Traitement: Simtrom, Spironolactone, Aprovel, Omix LP Adressé aux urgences par SOS Médecin pour syndrome occlusif le 22/03/10 College Chir Vasc 29 Mai 2010
BILAN INITIAL Abdomen distendu ++, arret des matières et des gaz, apyretique, pas de défense Bio: GB 13780 /mm 3, Hb 13. 7 g/dl, INR 4. 6, Créat 78 µmol/l TDM: occlusion colique sur probable lésion tumorale sigmoidienne College Chir Vasc 29 Mai 2010
Scan initial College Chir Vasc 29 Mai 2010
AMS College Chir Vasc 29 Mai 2010
CONDUITE INITIALE Pose endoprothèse colique métallique non couverte de 11 cm Life, le 23/03/10 → reprise transit Biopsies: Adénocarcinome de type lieberkhunien bien différencié Intervention le 25/03/10: colectomie subtotale + iléostomie terminale pour perforation diastatique du caecum College Chir Vasc 29 Mai 2010
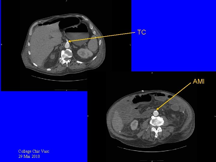
Suites opératoires difficiles Iléostomie productive mais d’aspect ischémique TDM 29/04: sténose très serrée de l’AMS, TC avec plaque, AMI perméable, pas de souffrance intestinale College Chir Vasc 29 Mai 2010
TC AMI College Chir Vasc 29 Mai 2010
ARTERIOGRAPHIE 01/04/10 Ponction fémorale droit Aorte infiltrée TC avec sténose ostiale, bénéficiant d’une ATL + stent de type Herculink 7. 15 Occlusion complète de l’AMS à son origine avec reprise médiocre Perméabilité de l’AMI avec une occlusion de l’arcade de Riolan College Chir Vasc 29 Mai 2010
Décision d’angioplastie de l’AMS devant la chirurgie abdominale récente et le risque chirurgical. College Chir Vasc 29 Mai 2010
College Chir Vasc AMS 29 Mai 2010 AMI
Aggravation clinique avec sepsis sévère Laparotomie exploratrice avec resection totale du grele le 05/04/10 Décès du patient le 06/04/10 College Chir Vasc 29 Mai 2010
1 ere conclusion • La mortalité de la prise en charge au stade d’ischémie aigue du grele reste de pronostic catastrophique College Chir Vasc 29 Mai 2010
Attitude thérapeutique lésions asymptomatiques • Série de 32 revasc chir de l ’AMS publiée par J. M. Cormier en 1991 contexte asymptomatique indic élective ou au cours chir aorto-iliaque mortalité post op 6% perméabilité 5 ans 94%, 10 ans 78% Non disponibilité de séries récentes comparant Tt endo et chir en contexte asymptomatique College Chir Vasc 29 Mai 2010
Dépistage des lésions occlusives asymptomatiques College Chir Vasc 29 Mai 2010
Dépistage echo-doppler Sténose ostiale du tronc coeliaque College Chir Vasc 29 Mai 2010 Occlusion proximale de l’AMS
Dépistage au scanner College Chir Vasc 29 Mai 2010
Aortographie globale de profil • Sténose Tronc coeliaque • Oblitération AMS et AMI College Chir Vasc 29 Mai 2010
Revascularisations digestives: Place de l’angioplastie transluminale • A. Mésentérique Supérieure -- possibilité de dilatation ou de recanalisation -- voie rétrograde ou humérale ( per-op. . ) -- Stent ou non • Tronc coeliaque -- atl plus que stent -- Inefficacité si stenose par ligament arqué • A. Mésentérique inférieure --rares indications; ischémie colique G si dissection Discussion en fonction du tableau College Chir Vasc 29 Mai 2010
ATL : VOIE RETROGRADE ET ANTEROGRADE College Chir Vasc 29 Mai 2010
• Stent tronc coeliaque College Chir Vasc 29 Mai 2010
ANGIOPLASTIE AMS SUR STENOSE BI TRONCULAIRE College Chir Vasc 29 Mai 2010
Revascularisations digestives: Chir vs ATL Kasijaran, Ouriel (Cleveland) JVS 2001 Vaisseaux traités Chir n=85 ATL n=28 AMS 1 (1%) 23 (82%) TC 39 (46%) 1 (4%) AMI 1 (1%) TC, AMS 29 (34%) 3 (11%) AMS, AMI 11 (13%) 1 (4%) TC, AMS, AMI 3 (4%) College Chir Vasc 29 Mai 2010
Chir vs Dilat Kasirajan 2001 • Complications Chir n=85 Dilat n=28 cardiaque 12(14%) 1(4%) pulmonaire 14(16%) 1(4%) nécrose grêle 2(2%) 2 (7%) ileus 25(29%) 0 rénale 7(8%) 0 DC 7(8%) 3(11%) College Chir Vasc 29 Mai 2010
Chir vs Dilat Kasirajan 2001 • Follow-up: Chir: -> 13 ans (moy=5) ATL-> 5 ans (moy=2) • Survie : pas de différence • Perméabilité: pas de différence • Indemnité de symptomes douloureux: récurrence de symptômes + grde ds ATL (p=0. 001) College Chir Vasc 29 Mai 2010
Chir vs Endo pour ischemie digestive chronique • Oderich…Glovickzi, JVS, 2006 chir: 146 pat, 265 vaisseaux revasc endo: 83 patients, 105 vaisseaux (plus agés, plus de Fd. R) Résultats: Mortalité: idem 2, 4% Chir: 36% compl vs 18% Endo Asympto dig long terme: chir 96% vs 92% Endo (NS) College Chir Vasc 29 Mai 2010
SUITES • Post chirurgicales *chir majeure, clampage supra-coeliaque, ischémie viscérale *syndrome général et digestif post- revascularisation++ • Post ATL *absence d’évaluation intestinale pré et post procédure *dg et conséquences d’une resténose ou occlusion post procédure? College Chir Vasc 29 Mai 2010
REVASCULARISATIONS DIGESTIVES ITERATIVES • St Joseph 1979 -1999 67 revasc TC et/ou MS 31 chir préventives 4 réinterventions (délai moy. 108 mois, 1 DC (3 mois) 36 chir pour IIC 13 réinterventions (uni ou multi) dont 8 pontages rétrogrades délai moy. 32 mois, 4 DC post op d’une des réinterv, un seul avec pont perméable Conclusion: gravité des revasc. pour IIC initiale, intérêt du pontage rétrograde dans les reprises, rentabilité des réinterventions College Chir Vasc 29 Mai 2010
ATL vs CHIR ATL CHIR Légèreté Revasc multiples Pas de clampage Ao Long term patency Pas de T du Transit Contrôle de l ’intestin Ne vérifie pas intestin Chir majeure Embolies cholest. Clampage supracoel. Résultats moins durables Syndrome revasc. College Chir Vasc 29 Mai 2010
College Chir Vasc 29 Mai 2010