TORAKS TRAVMALARI Do Dr aatay TEZEL Ders Toraks














































- Slides: 46
TORAKS TRAVMALARI Doç. Dr. Çağatay TEZEL
Ders: Toraks Travmaları II Öğrenim hedefleri 1. Toraks travması ile karşılaşıldığında ilk uygulanması gereken prosedürleri sıralayabilmeli ve yaşamı kesin tehdit eden durumları anımsayabilmeli 2. Toraks travması sonrası gelişebilen pnömotoraks ve hemotoraks kliniğini ve radyolojisini tanımlayabilmeli 3. Travmaya bağlı gelişen pnömotoraks ve hemotoraks tedavisini tanımlayabilmeli 4. Tansiyonlu pnömotoraks ve kalp tamponadı ayırıcı tanısını sayabilmeli
Mediastinal flatter hangisinde görülür? Eylül 99 A) Mitral stenoz B) Mitral kapak replasmanı C) Hiatal hemi D) Kaburga kırığı E) Hiçbiri
Trakeasında yerleşmiş yabancı cisim bulunan bir kişide en sık görülen bulgu aşağıdakilerden hangisidir? Eylül 2002 A) Hırıltılı solunum (Wheezing) B) Sağ akciğerde dinlemekle akciğer seslerinde azalma C) Sağ akciğerde atelektazi D) Ses kısıklığı E) Hemoptizi
Daha önce hiçbir şikayeti olmayan 20 yaşında zayıf bir erkek hastada ani gelişen göğüs ağrısı, ilerleyen nefes darlığı, soğuk terleme, hipotansiyon, taşikardi saptanıyor ve ağrı olan hemitoraksta solunum sesleri alınamıyor. Perküsyonda hipersonarite tespit edilen hastaya ilk yapılması gereken aşağıdakilerden hangisidir? Nisan 2010 A) Gözlem B) Tüp torakostomi C) Acil torakotomi D) Mediastinoskopi E) Tomografi eşliğinde elektif torasentez
Otuz yaşındaki erkek hasta geçirdiği trafik kazası sonrası acil servise getirilmiştir. Şiddetli solunum sıkıntısı, boyun venlerinde dolgunluk, hipotansiyon saptanan hastanın göğsünün sağ tarafında solunum sesleri duyulmamaktadır. Bu hasta için en olası tanı aşağıdakilerden hangisidir? Aralık 2010 A) Akciğer kontüzyonu B) Hemotoraks C) Tansiyon pnömotoraks D) Akciğer hematomu E) Şilotoraks
• Travma sonucu ölümlerin %25’inden fazlası toraks travması sonucudur. – 1/3’ü hemen olay yerinde – 1/3’ü ilk birkaç saatte (kanama, yetersiz havayolu) – 1/3’ü tanıda geç kalınması (pulmoner kompl. , enfeksiyon, miyokard hasarı, pulmoner emboli vb. )
• Ciddi cerrahi tedavi, – künt travmaların %10 – penetran travmaların %15 -30
Amaç • İlk muayene sırasında yaşamı kesin tehdit edici yaralanmaların saptanması ve tedavisi • İkincil muayene sırasında gözlenen ve potansiyel olarak yaşamı tehdit edici yaralanmaların saptanması ve tedavisi • Torasentez, toraks tüpü, perikardiyosentez işlemlerinin yapılabilmesi ve komplikasyonlarının öğrenilmesidir.
İlk muayene sırasında saptanacak yaşamı kesin tehdit edici yaralanmalar • Havayolu Obstrüksüyonu • Tansiyon Pnömotoraks • Açık Pnömotoraks • Masif Hemotoraks • Flail Chest (=Yelken Göğüs) • Kalp Tamponadı
• Hipovolemik hastada kardiyak arrest veya elektromekanik disosiyasyon varsa kapalı kalp masajı etkisizdir. • ACİL SERVİS TORAKOTOMİSİ
Torasik Travmada Acil Servis Torakotomisi Endikasyonları • Penetran Yaralanmalar Hızla genel durum bozulması Kontrol edilemeyen kanama Kardiyak arrest Büyük damar yaralanması şüphesi Hava embolisi (hiler yaralanma) • Künt Yaralanmalar Hızla genel durum bozulması veya kardiyak arrest Hayati fonksiyonların hastaneye varışta mevcudiyeti
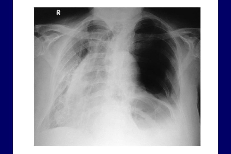
Tansiyon pnömotoraks • Aynı taraftaki akciğerin kollabe olması • Mediyasten ve trakeanın karşı tarafa itilmesi • Venöz dönüşün bozulması • Karşı akciğere bası 4 Akciğer veya göğüs duvarından tek yönlü valv şeklinde hava kaçağı 4 Tanısı kesinlikle klinik olarak konulur (radyolojik değil)
Tension Pneumothorax
Tansiyon pnömotoraks en sık nedenler • PEEP ile mekanik ventilasyon • Spontan pnömotoraks (bül) • Travmatik akciğer parankim yaralanmaları • Subklavyen / internal juguler venöz kateter uygulamaları
Tansiyon pnömotoraks klinik tablo • • Respiratuvar distres Taşikardi Hipotansiyon Trakeal deviasyon Solunum seslerinin tek taraflı kaybı Boyun venlerinin distansiyonu Siyanoz (geç dönemde) Perküsyonla hiperrezonans* (kalp tamponadından ayırmada önemli)
Tansiyon pnömotoraks ayırıcı tanı kalp tamponadı
Tansiyon pnömotoraks tedavisi • Acil toraks dekompresyonu (geçici olarak midklavikular 2. interkostal aralığa iğne batırılarak uygulanan bu işlem olayı basit pnömotoraksa çevirir) • Toraks tüpü takılması (kesin tedavi, 5. interkostal aralıktan midaksiller hattın anterioruna takılır)
Açık pnömotoraks (emici göğüs yarası = sucking chest wound) • Göğüs duvarında açık kalan büyük defekt • İntratorasik ve atmosferik basınç dengelenir. • Defekt trakea çapının 2/3’ü ise hava bu yolu tercih edecektir (en az direnç) • Ventilasyon bozulur, hipoksi gelişir.
Masif Hemotoraks • 1500 ml’den fazla kan birikimi ile oluşur • Hipovolemi / hipoksi • Boyun venleri kollabe veya distandü! • Volüm replasmanı + toraks tüpü • Torakotomi gerekli mi ?
Yelken göğüs (flail chest) • Birden fazla kotun çift taraflı fraktürü sonucu belirli bir segmentin diğer kısımlarla kemiksel bütünlüğünü yitirmesi • Paradoksal hareket oluşur • Morbidite ve mortalite den asıl sorumlu olan akciğer parankim hasarıdır! • Alveolo-kapiller membran yaralanması! • Tanı kesinlikle klinik (radyolojik değil)
Yelken göğüs • Kan gazı değerleri gerek tanı, gerekse tedavinin takibi açısından çok önemli • Nemli oksijen • Sıvı resüsitasyonu (altta yatan hasarlı akciğer parankimi nedeni ile aşırı sıvıdan kaçın !) • Analjezinin sağlanması • Gerekiyorsa entübasyon+ventilatör (PEEP)
Kalp tamponadı • Genellikle penetran yaralanmalardan sonra • Kalp büyük damar ve perikardiyal yaralanmalara bağlı • Perikard fikse fibröz bir yapı 15 -20 cc kan bile klinik açıdan önemli • Klasik Beck triadı 1 - arteryel basınç düşmesi 2 -derinden ve azalmış gelen kalp sesleri 3 -venöz basıncın artışı • Pulsus paradoksus (insp. Sistolik b. 10 mm. Hg ) • Kussmaul belirtisi (paradoksal venöz basınç anomalisi)
Kalp tamponadı • iv sıvı replasmanı • Perikardiyosentez ! ? • Subksifoidal pencere ! • Ekokardiyografi (acil serviste !) • Transözofajiyal ekokardiyografi ! ? • Tedavi acil torakotomi
İkincil değerlendirme ve potansiyel ölümcül toraks yaralanmaları • Daha detaylı bir fizik muayene • Ayakta direkt toraks grafisi • Arteryel kan gazı • EKG
Büyük Yaralanma Göstergeleri • • • 1. ve 2. kosta fraktürleri Sternal fraktür Mediyasten genişlemesi Yelken göğüs Masif hava kaçağı Hemoptizi Masif hemotoraks Boyun ven distansiyonu Künt diyafragma yaralanması
İkincil muayene sırasında saptanacak yaşamı potansiyel tehdit edici yaralanmalar • Pulmoner Kontüzyon • Miyokard Kontüzyonu • Aort Yaralanması • Diyafragma Rüptürü • Trakeobronşyial Ayrışma • Özofagus Yaralanması
Pulmoner kontüzyon • Tek başına veya flail chest ile birlikte • Sinsi potansiyel ölümcül • Ciddi hipokside erken entübasyon ! • Eşlik eden KOAH / böbrek yetersizliği varsa erken entübasyon • Yakın takip pulse oksimetre kan gazı ölçümleri EKG monitörizasyonu
Toraksda majör yaralanma olduğunu düşündüren radyolojik işaretler • Genişlemiş mediyasten (en sık ve anlamlı bulgu)! • 1. ve 2. kot fraktürleri NG trakeada sağa devie • Aort topuzunun silinmesi Geniş mediasten • Trakea’nın sağa deviasyonu • Sağ ana bronş’un yükselmesi / sağa deviasyonu • Sol ana bronş’un depresyonu • Pulmoner arter ve aorta arasındaki boşluğun silinmesi • Özofagus’un (NG sonda) sağa deviasyonu Belirsiz aort sınırı
Travmatik diyafragma rüptürü • Penetran travmada küçük / künt travmada ise geniş radyal yarıklar oluşur • Sağ taraftaki defektleri KC kapatır • Solda daha sık • Tanı Direkt grafi BT Toraks tüpü (periton lavaj mayii gelmesi) 18 y, E, 7 yıl önce trafik Pnömoperituan kazası ve laparotomi Laparoskopi
Trakeobronşial ağaç yaralanmaları • LARİNKS YARALANMASI Ses kalınlaşması Subkutan anfizem Krepitasyon palpasyonu • TRAKEA YARALANMASI Penetran travma aşikar / Künt travma sinsi Boyun damar ve özofagus yaralanmaları eşlik edebilir Bronkoskopik inceleme ve BT tanıya yardımcı
Trakeobronşial ağaç yaralanmaları • BRONŞ YARALANMASI Çoğu künt travma sonrası karinanın 2 -3 cm yakınında Subkutan anfizem/ Tansiyon Pnömotoraks / Persistan Pnömotoraks / Bronkoskopi
Özofagus travması • Sıklıkla penetrandır • İyatrojenik de olabilir (endoskop/dilatatör) • Mediyastinit / ampiyem • Bu hastalarda mutlaka şüphelenilmeli • Kot fraktürü olmadan sol pnömohemotoraks, alt sternum veya epigastriuma ağır künt travma + şok, toraks tüpünden partiküllü içerik gelmesi, mediyastinal hava varlığı • Kontrastlı grafi / özofagoskopi • Torakotomi ile direkt onarım / drenaj
Diğer toraks yaralanmaları • Subkutan amfizem SA • Toraks’ın crush yaralanması (travmatik asfiksi) superior vena cava obstrüksiyonu TA • Basit pnömotoraks P • Hemotoraks (en sık interkostal/internal mammariyan arter ve akciğer parankim yaralanması ile) H • Skapula ve kot fraktürleri KF
Subkutan anfizem 1
Travmatik Asfiksi • Travmatik asfiksinin fizyopatolojik mekanizması tartışmalı ve tam olarak belirlenmemiş olmakla birlikte akut sıkışmaya neden olan travmanın mediasten ve kalbe yaptığı basınçtır
Travmatik Asfiksi • Travma sırasında dört faktör devreye girerek bu tabloyu oluşturmaktadır. – derin inspirasyon, – kapalı glottis, – torakoabdominal efor – kanın servikofasiyal alana yönlenmesine neden olacak torakoabdominal kompresyon
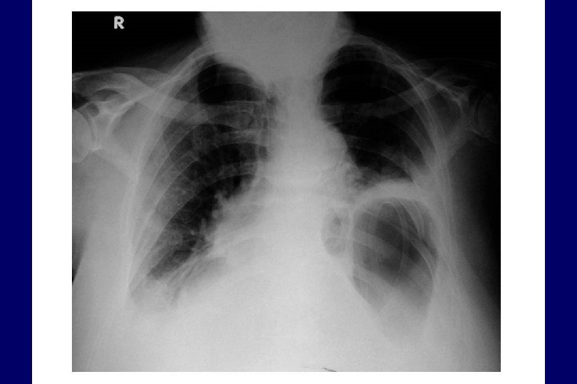
Basit Pnömotoraks Mediasten orta hatta Plevral sınır Eşit yükseklikte diafragmlar 1
Kot Fraktürü
Toraks Tüpü Yerleştirilmesi
Özet • Toraks travması politravmatize hastalarda sık rastlanılan ve yaşamı tehdit eden bir travma türüdür. • Bu hastalar genellikle havayolu açıklığının sağlanması ve tüp torakostomi gibi nisbeten basit girişimlerle tedavi edilebilir. • Bu tür yaralanmaları tanıyabilmek ve gerekli işlemleri uygulayabilecek eğitime sahip olmak yaşam kurtarıcı olabilir.