TOPLUMDAN KAZANILMI PNMON TANI DR MNEVVER M AYDIN












































- Slides: 44
TOPLUMDAN KAZANILMIŞ PNÖMONİ: TANI DR. MÜNEVVER M. AYDIN
Toplum Kökenli Pnömoni ( TKP ) • Sık karşılan ciddi bir hastalık • ABD’de infeksiyonlardan ölümler sırasında 1 nci sırada • Olguların % 50’sinde etken saptanamıyor • Tedavisinde geç kalınmış olgularda mortalite yüksek • Empirik antibiyotik tedavisi zorunluluğu • Ülkemizde morbidite ve mortalitesine ait sağlıklı epidemiyolojik veriler yok • Ancak tanı ve tedavisinde bazı temel yanlışlıklar yapıldığı biliniyor
Tanım • Toplum Kökenli Pnömoni; Kişide günlük yaşamı sırasında ortaya çıkan pnömonidir. TİPİK PNÖMONİ akut ateş, titreme produktif öksürük plevra ağrısı fizik muayene ( + ) lober infiltrat ATİPİK PNÖMONİ subakut, prodromal dönem subfebril ateş kuru öksürük akciğer dışı semptomlar fizik muayene ( - ) non-lober infiltrat
Sınıflama • Pnömoninin oluştuğu yere ve hastanın bağışıklık durumuna göre: • Anatomik Bulgulara Göre: 1) Toplum kökenli pnömoni 2) Hastane kökenli pnömoni 1) Lober pnömoni 3) Aspirasyon pnömonisi 2) Lobüler pnömoni 4) Yaşlılık pnömonisi 5) Bağışıklığı baskılanmış hastalarda gelişen pnömoni 3) İnterstitiyel pnömoni
Tipik Pnömoni - Klinik • • Akut başlangıç Titreme ve ateş, terleme Prodüktif öksürük - Pürülan balgam Plevra tutulumu Lober infiltrat Lökositoz Başağrısı, bulantı-kusma, karınağrısı, diare, artralji, artrit eklenebilir.
Tipik Pnömoni - Klinik • Yaygın pnömoni; takipne, nefes darlığı • > 65 yaş öksürük, ateş, pürülan balgam olmadan; Konfüzyon, bilinç bulanıklığı, takipne, hipotermi, derin halsizlik + radyolojik bulgu
Fizik Muayene Bulguları Lober pnömoni • Eksudasyon dönemi; inspiryum sonu ince raller • Konsolidasyon dönemi; vibrasyon torasik artar, perküsyonda matite, oskültasyonda ince raller azalır / kaybolur, solunum sesleri şiddetlenir (bronşiyal solunum) • Rezolüsyon dönemi; konsolidasyon bulguları kaybolur, inspiryum sonu ince raller artar.
Tanı Yöntemleri Akciğer Filmi Gram Boyama Kültür İncelemesi Serolojik Testler Rutin Laboratuvar İncelemeleri
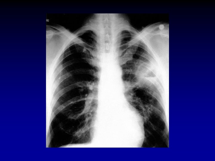
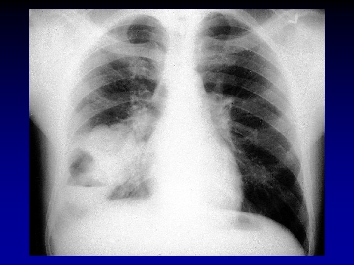
Akciğer Grafisi • Posteroanterior grafi Pnömoninin • Yerini • Komplikasyonlarını • Pnömoniyi taklit eden durumları saptar.
Pnömoniyi Taklit Eden Durumlar • Akciğer ödemi • Akc embolisi • İnterstitiyel fibrosiz • Atelektazi • Akc Ca,
Akciğer Filmi • Pnömoni düşünülen her hastada PA akciğer filmi çekilmelidir • Radyolojik görünümle etyolojik tanıya varmak mümkün değildir • Antibiyotik tedavisine yanıt alınıyorsa bir kontrol filmi yeterlidir • Bazı pnömonili olgularda akciğer filmi normal görünümde olabilir (Pnömoninin ilk 24 saatinde, dehidratasyon, yaşlı, pnömosistis karini, ciddi nötropenik hastalarda)
Akciğer Grafisi • Pnömokok, Klebsiella • Lober tutulum • S. aureus, P. aeruginosa • Bronkopnömonik görünüm • S. aureus • Legionella • Pnömatosel, yeri değişen nodüler infiltrasyonlar, apse • Zaman içinde değişebilir veya baştan itibaren lober
Kan Kültürü • % 10 -30 pozitiftir. • Hastaneye yatırılan hastalarda ateşli dönemde kan kültürü alınmalıdır.
Gram Boyama • Balgam veya alt solunum yolundan alınan sekresyon örneğinde yapılabilir • İncelemeye değer bir balgam olmalıdır ( PNL > 25, epitel hücresi < 10 ) • İnceleme yapan kişinin de belli bir deneyiminin olması gerekir
Balgam İncelemesi • Balgam alma tekniği • Ağız önce su ile çalkalanmalı – Orofaringeal kontaminasyonu azaltma • Derin nefes alınır • Öksürük ile balgam çıkarılır. • En pürülan kısım seçilir.
Balgam Kültürü • Değeri düşüktür. • Sonuçlar 24 -48 saatte gelir. • Önceden antibiyotik alınması • Pömokok pnömonisinde % 50 • Balgam alma – Noninvazif ve invazif yöntemler
Serolojik Testler • Eğer imkan varsa yapılabilir • Solunum yolu virüsleri için IFA Yöntemi ile antijen tayini • Mycoplasma infeksiyonlarında soğuk aglutinasyon testi pozitif, ELISA kitleri ile serumda spesifik Ig. M, Ig. G tayini • Chlamydia infeksiyonlarında MIF ile antikor tayini • Legionella için DFA yöntemi ile boyama ve antijen tayini, IFA ve ELISA yöntemleri ile spesifik Ig. M ve Ig. G tayini • Legionella tanısında idrarda antijen tayini
Rutin Laboratuvar İncelemeleri v Tanıda katkıları sınırlı – Tam kan sayımı, serum elektrolitleri, karaciğer fonksiyon testleri, BUN, kreatinin • Hastalığın prognozunun tayininde, hastane tedavisine karar vermede, tedavi seçiminde ve antibiyotik dozunun belirlenmesinde yararlıdır Ø Hastaneye yatırılanlarda kan gazları tayini de yapılmalı
TKP Tanısında Labaratuvar İncelemelerin Yeri 1. Basamak Hastane • • • Akciğer grafisi Kan sayımı Biyokimya Gram boyama Kültür Seroloji Acil + ± ± ± + + + + _ _
Pnömoni Hastaların Gruplandırılması • Hekimin bir pnömoni olgusu karşısında vermesi gereken ilk karar; tedavinin nerde yapılacağıdır PNÖMONİ Ayaktan mı ? Hastanede mi ? YBÜ’de mi ?
• • CRB 65 şiddet skoru Konfüzyon Solunum sayısı≥ 30/min • Kan basıncı (Sistolik < 90 veya diastolik ≤ 60 mm. Hg) • Yaş≥ 65 • Yukarıdaki bulguların her biri 1 puan olarak eklenir • Puanlama • 1 -2 orta şiddetli infeksiyon • 3 -4 yüksek şiddetli
Pnömoni Etkene Ait Risk Faktörleri • Penisiline dirençli pnömokok – Yaş – – Eşlik neden hastalık son 3 ayda betalaktam kullanımı alkolizm bağışıklığı baskılayan hastalıklar • Pseudomonas aeruginosa – – Kortikosteroid tedavi Akciğer hastalığı bronşektazi, kistik fibroz Malnutrisyon geniş spektrumlu antibiyotik
Etkene Ait Risk Faktörleri • Gram negatif enterik bakteri – Huzurevinde kalanlar – Kardiyopulmoner hastalık varlığı – Eşlik eden hastalıklar – Öyküde antibiyotik kullanımı • Haemophilus influenzae – KOAH tanısı – Sigara kullanımı
Etkene Ait Risk Faktörleri • Anaerob bakteriler • • • aspirasyon şüphesi periodontal hastalık i. v ilaç kullanımı, hava yolu obstrüksiyonu radyografik segmenter lokalizasyon, abse görünümü • Legionella pneumophila • • İleri yaş, malignansi sigara kulanımı seyahat, otelde konaklama altta yatan hastalık
Etkene Ait Risk Faktörleri • S aureus • • • huzurevinde yaşama diğer infeksiyon odağı varlığı bir süre önce influenza geçirilmesi i. v ilaç bağımlılığı hızlı ilerleme, toksik tablo, bilateral infiltrasyon radyografide plevral effüzyon, pnömotosel, abse varlığı
TKP Risk Faktörleri • 65 yaş üzeri • Eşlik eden hastalık • KOAH, bronşektazi, kistik fibrozis, diyabet, böbrek hastalığı, konj kalp yetmezliği, karaciğer hastalığı, malignensi, SVH, • Bir yıl içerisinde pnömoni nedeni ile hastaneye yatış • aspirasyon • splenektomi • alkolizm • malnutrisyon • bakımevinde yaşama
Pnömoni Etkene Ait Risk Faktörleri • Penisiline dirençli pnömokok – – – Yaş Eşlik neden hastalık son 3 ayda betalaktam kullanımı alkolizm bağışıklığı baskılayan hastalıklar • Pseudomonas aeruginosa – – Kortikosteroid tedavi Akciğer hastalığı bronşektazi, kistik fibroz Malnutrisyon geniş spektrumlu antibiyotik
TKP Ağırlık Faktörleri • • • Fizik muayene Şuur değişikliği Ateş <35 C ya da->40 C Kan basıncı<90 mm. Hg Solunum sayısı>30/dak Siyanoz • • Laboratuvar BK< 4000 mm 3, >30. 000 mm 3 Nötrofil < 1000/mm 3 Pa. O 2<60 mm. Hg Sa. O 2<%92, p. H<7. 35 BUN>30 mg/dl Na<130 m. Eq/L Akciğer filminde multilober tutulum, kavite, plevral effüzyon, hızlı ilerleme • Sepsis ya da MODS
TKP Yoğun Bakıma Yatırılma Kriterleri • • • Mekanik ventilasyon ihtiyacı Septik şok tablosu Konfüzyon Kan basıncı < 90 mm/Hg Solunum sayısı > 30/dak, idrar miktarı < 20 ml/saat • Akut böbrek yetmezliği • Akciğer filminde multilober tutulum, 48 saate opasitede %50’den fazla artış
Gruplandırma RİSK VE/VEYA AĞIRLIK KRİTERLERİ YOK VAR AĞIRLIK KRİTERLERİ YOK GRUP 1 AYAKTAN GRUP 2 POLİKLİNİK VAR GRUP 3 A/B KLİNİK GRUP 4 A/B YBÜ
Grup I • Etkenler – S pneumoniae, M pneumoniae, – C pneumoniae, H influenzae – virüsler, miks infeksiyon • • Risk ve ağırlık faktörü yok Ayaktan tedavi Makrolid veya doksisiklin ya da Penisilin – (amoksisilin, prokain penisilin)
Grup 2 • Etkenler – S pneumoniae, M pneumoniae, – C pneumoniae, Miks enf, – H influenzae, enterik gram negatif basiller, virüsler, – Risk faktörü var-ağırlık faktörü yok – tedavi – 2. kuşak sefalosporin veya betalaktamaz komb – Makrolid yada doksisiklinle birlikte yada değil
Grup 3 Etkenler • • Grup 3 a S pneumoniae H influenzae M pneumoniae C pneumoniae Miks infeksiyon Legionella Virüsler • • • Grup 3 b S pneumoniae H influenzae M pneumoniae C pneumoniae Miks infeksiyon Enterik gram negatif basiller Anaeroblar Virüsler Legionella Diğerleri
Grup 3 Ağırlık Faktörü var • Grup 3 b • Grup 3 a • risk faktörü var • risk faktörü yok • Makrolid yada penisilin • 2. veya 3. kuşak nonpsödomonal sefalosporin • yada betalaktam, betalaktamaz enzim inhibitör komb • +makrolid ya dadoksisiklin • tek başına yeni kinolonlar
Grup 4 Etkenler • • • Grup 4 a • Grup 4 b S pneumoniae (PDP dahil) • P aeruginosa+grup a’daki patojenler Legionella spp H influenzae Enterik gram negatif basiller S aureus M pneumoniae Virüsler diğerleri
Grup 4 YBÜ’ne Yatırılma Ölçütleri • Grup 4 a • Grup 4 b • Psödomonas riski var • psödomonas riski yok • 3. kuşak nonpsödomonal • Antipsödomonal sefalosporin yada betalaktam+makrolid* • betalaktam-betalaktamaz • +siprofloksasin, inhibitörü ofloksasin • +makrolid veya doksisiklin • veya aminoglikozid • tek başına yeni kinolonlar