TOOLS OF LIFE SCIENTISTS Class Notes Unit 1

  • Slides: 54
Download presentation
TOOLS OF LIFE SCIENTISTS Class Notes Unit 1 Lesson 2

TOOLS OF LIFE SCIENTISTS Class Notes Unit 1 Lesson 2

Compound Light Microscope

Compound Light Microscope

 • Magnifies up to 1000 x • Tube w/ lenses – magnify the

• Magnifies up to 1000 x • Tube w/ lenses – magnify the object • Stage – holds the specimen • Light – passes through the specimen

Electron Microscopes • Two types: • (1) Transmission electron microscope – magnifies up to

Electron Microscopes • Two types: • (1) Transmission electron microscope – magnifies up to 200, 000 x • e- pass through specimen • Flat (2 -D) image • (2) Scanning electron microscope – magnifies up to 100, 000 x • 3 -D image • e- bounce off surface of specimen • Preparation for viewing kills the specimen

Transmission Electron Microscope (TEM)

Transmission Electron Microscope (TEM)

TEM images – flat (2 -D) MYELINSHEATHED NERVE CELL

TEM images – flat (2 -D) MYELINSHEATHED NERVE CELL

BACTERIA

BACTERIA

CELL ORGANELLES

CELL ORGANELLES

ORGANELLES IN TOBACCO POLLEN GRAIN

ORGANELLES IN TOBACCO POLLEN GRAIN

H 1 N 1 (swine) flu virus (Center for Disease Control & Prevention)

H 1 N 1 (swine) flu virus (Center for Disease Control & Prevention)

Scanning Electron Microscope (SEM)

Scanning Electron Microscope (SEM)

SEM images – 3 -Dimensional! ANTARCTIC MITE (1500 x)

SEM images – 3 -Dimensional! ANTARCTIC MITE (1500 x)

DUST MITE

DUST MITE

DUST MITE

DUST MITE

FLEA

FLEA

SNAIL RADULA

SNAIL RADULA

PENGUIN FEATHER (1500 x)

PENGUIN FEATHER (1500 x)

POLLEN

POLLEN

MICROBES

MICROBES

RED FIRE ANT

RED FIRE ANT

FLY FOOT

FLY FOOT

MOSQUITO (FALSE COLOR)

MOSQUITO (FALSE COLOR)

BAMBOO MITE

BAMBOO MITE

SPIDER

SPIDER

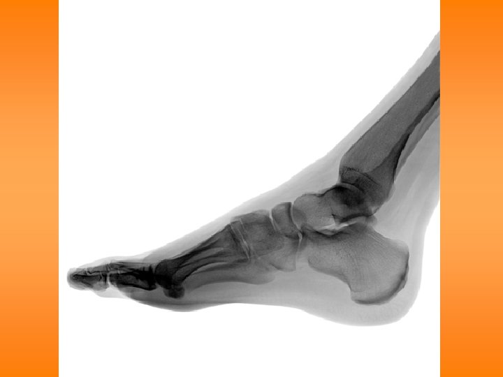
X-ray Machines • X-rays go through soft tissue • Blocked by bones, masses –

X-ray Machines • X-rays go through soft tissue • Blocked by bones, masses – leave shadows • Detect breaks, abnormalities, tumors, etc.

NORMAL LUNGS

NORMAL LUNGS

NODULE IN LUNG

NODULE IN LUNG

AORTIC RUPTURE (BLOOD IS CLOUDINESS ON LEFT SIDE)

AORTIC RUPTURE (BLOOD IS CLOUDINESS ON LEFT SIDE)

A SWORD SWALLOWER’S X-RAY

A SWORD SWALLOWER’S X-RAY

WRIST REPAIR

WRIST REPAIR

OOPS!

OOPS!

OUCH

OUCH

OUCH

OUCH

PARTIAL HIP REPLACEMENTS

PARTIAL HIP REPLACEMENTS

CAT Scan Machine

CAT Scan Machine

 • Use X-rays • Clearer image than regular X-rays

• Use X-rays • Clearer image than regular X-rays

CAT SCAN OF BRAIN

CAT SCAN OF BRAIN

DO-ITYOURSELF CAT SCAN

DO-ITYOURSELF CAT SCAN

Magnetic Resonance Imaging (MRI) Machines

Magnetic Resonance Imaging (MRI) Machines

 • Use magnetism, computers to make images

• Use magnetism, computers to make images

MRI Machine

MRI Machine

THE END

THE END