Todo paciente vtima de infarto do miocrdio tem











































- Slides: 43
Todo paciente vítima de infarto do miocárdio, tem vários questionamentos que deverão ser esclarecidos pelo seu médico
Da mesma maneira, o médico diante do paciente pós infarto do miocárdio, tem vários questionamentos, que de imediato devem ser esclarecidos
Tratamento Clínico Angioplastia Stent Cirugia Revascularização Risc o eve novo nto
Estes questionamentos exigem tomada de decisões que evitem ou venham minimizar o remodelamento ventricular esquerdo, evitando a perda definitiva da função de bomba. Assim alguns conceitos e dados observacionais devem ser relembrados.
Isquemia aguda Endotélio (inst. Placa) (trombose) Necrose miócito Destruição colágeno Isquemia crônica Glicólise x Ac. Graxos ATP Prótons AMPc (PKA) Alt. Síntese Proteica Fat. der. Endotélio Fat. Neuro-humorais RSP Tp. I-Ca 2+ Remodelamento (miócitos) (matriz extracelular) Remodelamento Ventricular Perda definitiva da função Bomba Neuro-humorais Alt. Sint. Proteica
12/1989 a 09/1992 estudamos 114 pacientes com IAM, >60% trombolisados (IC e IV). Observamos não haver estenose coronária (14%), obstruções entre 40% e 60% (38%) e em 12% havia circulação colateral (TIMI II/III). Assim então propusemos melhor investigar estes pacientes quanto a melhor estratégia de tratamento e prognóstico. A este procdimento futuramente passamos a chamar “Estratificação de risco pós IM”.
Angiografia pós Infarto do Miocárdio (% estenose residual artéria culpada) Coronária NL / < 30% 14% Estenose residual 40% - 60% Estenose residual 70% / total TIMI 0 -1 / Circ. Colateral Estenose vaso único 38% ** 36% 12% 57% Trombolítico 57% - 65% Barros RA - 1992
Melhora Contrátil & Trombólise pós PTCA/CABG (49) Barros RA - Arq Bras Cardiol 1993; 61(supl II): II-71
IAM ÁREA DE RISCO > < RECUPERÁVEL NECROSE DISCINERGIA NÃO RECUPERÁVEL ATORDOADO > < RECUPERÁVEL
Complicações ESTRATIFICAÇÃO RISCO PÓS IM Extensão Área de risco Viabilidade Melhora a função ventricular /GF Estenose residual (AC) Estenose único vaso
Estratificação de Risco pós IM risco para novos eventos /estratégias de tratamento / predizer melhora contrátil / áreas de risco / grupo funcional Bioquímicas (troponina T) & TE / Holter Radioisotópicas Metabólica / Imagem (PET- tom. emis. Positron) * Ecocardiografia de Estresse ** * Vaskes Dilsizian and Robert Bonow- Circulation 1993; 87(1): 1 -20 **John R Levinson- Rev of Med (Harvard Med School) (1991)
* Metabólica/Imagem – Tomografia por emissão de positrom que é tida como “gold stander” (padrão ouro) superestima viabilidade (Vasques et al, Circulation 1993; 87) ** John R Livenson – Rev of Med Harvard Medical School; 1991: “Podemos considerar que todas as metodologias que avaliam áreas de risco e presença de viabiliade, apresentam resultados (sensibilidade, especificidade e acurácia) similares, cabendo a cada grupo utilizar a que tenham maior experiência e melhores resultados.
Isquemia aguda Ação agonista Necrose miócito Destruição colágeno Isquemia crônica Glicólise x Ac. Graxos ATP Prótons - adrenérgica AMPc RSP Ativação Reserva Coronária Tp. I-Ca 2+ Remodelamento (miócitos) (matriz extracelular) Remodelamento Ventricular Perda definitiva da função Bomba
Ecocardiografia de Estresse (Dipiridamol ) Resposta Isquêmica com baixa dose - Estenose crítica. Resposta Isquêmica com alta dose - Estenose >70%. Melhora discinergia com baixa e piora com alta - Viabilidade + estenose residual >70%. Piora com dose alta - viabilidade + estenose 750%. Melhora com dose baixa/alta - viabilidade + estenose <70%.
Ecocardiografia de Estresse (Dobutamina) Resposta Isquêmica c/ baixa dose - estenose crítica Resposta isquêmica c/ alta dose - estenose >50%. Melhora c/ baixa/piora c/ alta dose - Viabilidade + estenose > 50%. Melhora c/ dose alta - viabilidade c/ estenose <50% * Piora c/ dose alta/sem melhora c/ baixa - estenose>50% Viabilidade ? ? Reserva contratil / disfunções globais severas - qualidade de vida e sobrevida (fila de transplante).
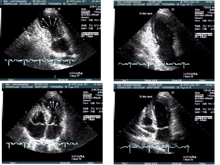
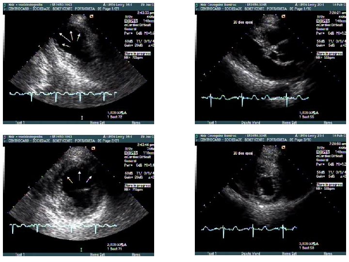
Nair C. Rodrigues Sexo - feminino Idade – 63 anos HAS Hipercolesterolemia Unidade Coronária 10/02/2003 IAM não Q - anterior
Viabilidade? Estenose residual é limiante de fluxo? Um ou mais vasos? Risco de novo evento?
Repouso 4 c diástole Dipiridamol 4 c 2 c diástole 4 c sístole 2 c sístole
r e p o u s o 4 c diastole 2 c diastole 4 c sístole 2 c sístole D I P t o t al antes cirurgia 30 dias cirurgia 4 c diastole 2 c sístole
Piora da Discinergia Basal - Pós IAM (Dip. SE) & Melhora da Contratilidade (Viabilidade) Melhora 10 dias - 23 % Melhora 30 dias - 53 % Melhora 60 dias - 14 % Sensibilidade - 96 % Especificidade - 84 % Valor Pred. + - 76 % Valor Pred. - - 97 % Acurácia - 88 % Barros RA - Arq Bras Cardiol 1993; 61(supl II): II-71
Após descrevermos (1993) que a melhora após o tratamento intervencionista (pós IAM) ocorria na maioria das vezes após 30 dias (apenas 14% com 60 dias), estes dados vieram a ser confirmados por Castidini D (1998). Embora Castidini tenha observado melhora em 54% com três meses, isto justifica-se por ter reestudado os pacientes apenas com dez dias e três meses, e em nosso estudo os pacientes foram estudados com dez dias, um mês e 2 meses, apresentando melhora de 23%, 14% e 53% respectivamente.
Melhora Contratil Pós IAM - Dob. SE (48 hs pós IM) (10 dias - 3 meses pós ATCP/RM-11 Clínico-8) 19 pac. IM anterior 159 seg. Melhora expontânea DSE baixa dose 3 meses - 51% (resposta monofásica) 10 dias - 26% Sensibilidade - 52% Especificidade - 87% Sensibilidade - 86% Especificidade - 80% (todas as áreas) (área relacionada IM) Castini D - G Ital Cardiol 1998; 28(11): 1215 -24
Melhora Contratil pós IAM- Dip x Dob (49 pac. ATCP/RM)(seguidos 2 meses) Barros RA - Rev Bras Ecocard 1995;
Viabiliadade Miocárdica Pós IAM Dipiridamol & Dobutamina (34 pac. ) (145 seg DSE dose baixa (5 -10 mcg/Kg - 3 min) DET dose baixa (0, 28 mg/Kg - 4 min) Dip. dose baixa 4 min & Dob. 5 -10 mcg/Kg 3 min Picano E - J Am. Coll Cadiol 1996; 27(6): 1422 -8
Viabilidade / Melhora Contratil - Dob. SE Tomografia Emissão de Positron X Bobutamina dose baixa 17 pac. IAM anterior - Tratamento Trombolítico PET mioc. viável 11 pac. perfusão normal - 5 DES WMSI - 12 7, 8 (P<0, 001) melhora contrátil Hipoperfusão (glicose/perfusão)- 6 DES = WMSI - 14 12 (P=0, 05) melhora contrátil - 1 pac. Resultados Concordantes 79% PET mioc. não viável - 6 DES - WMSI 15 14, 7 (P = NS) melhora contrátil - 00 pac. Piérard LA - Lam Coll Cardiol 1990; 15(5): 1021 -31
Viabilidade miocárdica Pós IAM - DSE (FE- 27% 13%) 110 pac. 1 373 seg discinérgicos Segmentos viáveis 282 (21%) bifásica 63 (5%) piora 47 (3%) melhora sustentada 172 (13%) DES Resposta bifásica DES piora com altas doses DES melhora sustentada Rambaldi R - Am J Cadiol 1999; 84(2): 130 -4
ECOCARDIOGRAFIA “Discinergia” Respostas & Viabilidade Melhora sustentada Dipiridamol ou Dobutamina Melhora com baixa dose Dipiridamol (0, 30 mg/Kg) Melhora com baixa dose Dobutamina (10 mcg/Kg/3) Piora com alta dose Dipiridamol (0, 84 mg/Kg) Melhora com baixa / piora com alta dose Dipiridamol Melhora com baixa / piora com alta dose Dobutamina Melhora com baixas doses Dipiridamol & Dobutamina * Engrossamento pós ejeção (fim ejeção - abertura VM) (98% & melhora com dose baixa de dobutamina) Barletta G - Basic Res Cardiol 1998; 93(4): 313 -24
Estratificação de Risco para Novos Eventos Pós IAM - Dip. SE (altas doses) 3 anos 539 pac. 118 eventos morte - 11 reinfarto - 12 RM - 95 DET + precoce (204) eventos (83) 41% DET + tardio (082) eventos (21) 26% DET (253) eventos (14) 06% Picano E- Circulation 1989; 80(3): 450 -7
Valor Prognóstico Pós IAM -WMSI (12 6 dias) (seguidos 7 meses) (EDIC) 314 pac. - WMSI > 1, 6 Resposta (mono/bifásica) Morte 12 (3, 8%) WMSI mort. 0, 8 (P<0, 03) WMSI mort. 14, 8 (P<0, 0018) DES + (dose baixa) - Viabilidade - 130 pac. WMSI DES + (alta dose) - Isquemia 148 pac. WMSI DES - Viabilidade e Isquemia 166 pac. Picano E- Circulation 1998; 98(11): 1078 -84
Valor Prognóstico do Dip. SE Pós IAM (10 dias IM) (seguidos 14 meses) (EPIC) 925 pac. (dip 0, 84 - 10 min) morte - 34 reinfarto -37 angina classe III/IV- 104 recascularização- 149 Preditores Eventos Piora/ext. discinergia Novas áreas discinergia Morte DET - 2 % DET + tardio - 4 % DET + precoce - 7 % Sicari R - J Am Coll Cardiol 1997; 29(2): 254 -60
Eventos Pós IAM - Dob. ES (12 5 dias) (EDIC) 778 pac. IAM morte - 14 (exp) reinfarto - 24 (exp) angina Inst/hosp - 63 (exp) revascularização- 174 * Viabilidade Preditor Eventos Expontâneos DASE + (isquemia)- 262 pac. *- Eventos expontâneos- 61 DASE - (isquemia)- 342 pac. - Eventos expontâneos- 40 Sicari R - J Am Coll Cardiol 1997; 29(2): 254 -60
Estratificação de Risco Pós IAM - Dob. ES (7, 4 4, 6 meses) 125 pac. 47 eventos Morte - 09 Reinfarto - 05 Rev. mioc. - 10 ICC - 02 Piora da discinergia & Eventos (P<0, 0001) DSE negativo Melhora da discinergia sustentada Melhora com baixa / piora com alta dose Piora da discinergia homo e/ou heterozonal de la Torre M del M - Vev Esp Cardiol 1999; 52(4): 237 -44
Estratificação de Risco Pós IAM - Dob. SE (FE < 0, 40% - 18 meses) 350 pac. 76 eventos Morte - 59 Reinfarto - 11 Morte/reanimação - 6 FE< 0, 40 c/ Resp. isquêmica & > Mortalidade /Trat. Clínico Resposta bifásica & Morte Melhora sustentada (clínico) - (04/83) 05% Fibrose /cicatriz (clínico) - (13/99) 13% Resposta isquêmica (clínico) - (53/90) 59% Resposta isquêmica (Revasc) - (06/78) 08% bifásica - 104 pac piora discinergia - 64 Smart SC - J Am Coll Cardiol 1999; 33(2): 512 -21
Melhora Qualidade de vida / GF- Dob. ES (pós RM) (FE 0, 28 0, 07) 63 pac. ICC VE/isq. - 83% 18% seg. Melhora baixa dose Piora/extensão com alta dose Qualiddade vida GF/cap. Exercício & DES - Piora / extensão Viabilidade DES - 43 18% & Qual. Vida/GF (r= 0, 23) Marwick TH- J Am Coll Cardiol 1999; 33(3): 750 -8
Resumo • Ecocardiografia de estresse PET (< sensib. ), • Dip. SE (> esp) e Dob. SE (> sensib)- resultados , • Piora da discinergia- pred. melhora contratil e estenose residual limitante de fluxo da AC, • Melhora contrátil não pode ser observada em significativo número de pacientes, na fase precoce, pós IAM. • Piora/extensão/novas áreas/WMSI- preditores de eventos, • Melhora sustentada/estresse negativo - < eventos *, • FE baixas- resposta isquêmica & > mortalidade e WMSI & melhora da capac. funcional pós RM.
Patência da Microcirculação >Sensibilidade Viabiliadade Miocárdica Melhora a identificação Endocárdio e Miocárdio Contraste Microbolhas Fração de ejeção Score de parede Resposta isquêmica
>Sensibilidade Resposta Isquêmica Viabiliadade Miocárdica TSI (tissue sinc. image) VVI (vector velocity image) avaliação temporal da contração e do relaxamamento avaliação da fração de ejeção regional melhora avaliação da fração de ejeção global e do escore de parede
Ecocardiografia de Estresse Pós IAM Disfunções Isquêmicas do VE Risco novos eventos Definir estratégias de tratamento Melhora do prognóstico Cardiopatia Isquêmica