Today is a great day to learn about
Today is a great day to learn about your BRAIN!!!
Human Brain
How do we know about the brain? • EEG- electrical activity • CAT- 3 D images • MRI- radio waves/Hydrogen atom energy • PET- chemical activity after injection of radioactive substance
Electroencephalogram (EEG) • Works by amplifying the waves of electrical activity across the brain’s surface • Poor spatial resolution BUT faster
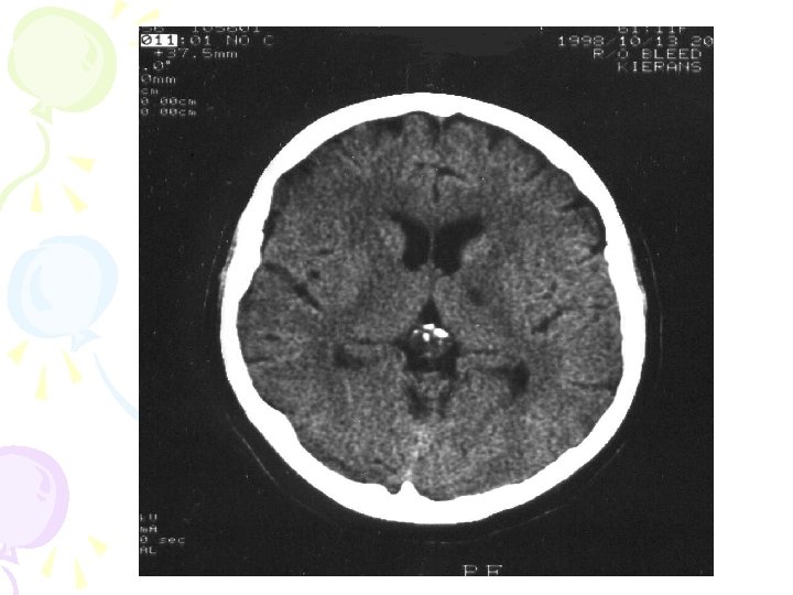
Computed Tomography (CT or CAT Scan) • X-ray photographs 3 D representation of the brain • More widely available, faster, easier, less expensive than MRI
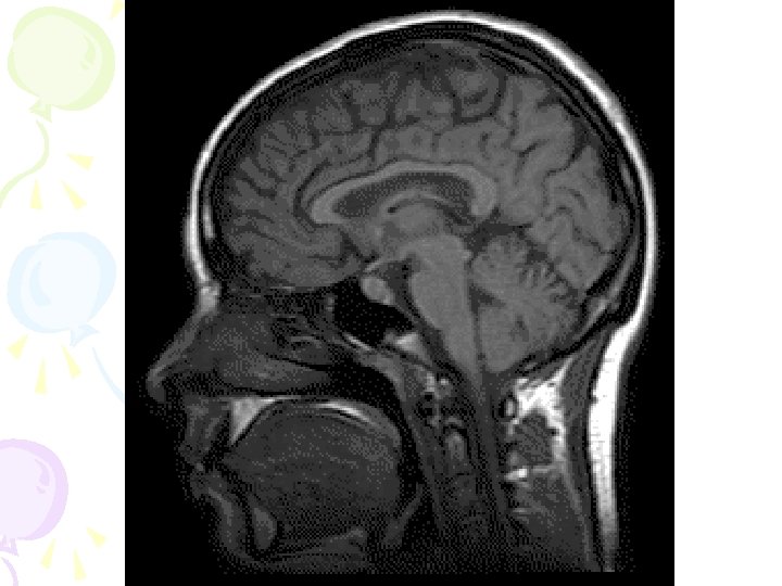
Magnetic Resonance Imaging (MRI) • magnetic fields and radio waves images that allow us to see structures within the brain • More expensive, slower, BUT better at soft tissue and less harmful
Position Emission Tomography (PET Scan) • detects where a radioactive form of glucose goes during a given task • Usually used in combination • Also expensive BUT great for determining activity
Accidents • Case study analysis of brain injuries • IE. Phineas Gage
Lesions • Lesioning is the removal or destruction of part of the brain. • IE. Lobotomy
How do we study the brain? • Get the most important idea worksheet • At your tables come up with what you think is the most important idea and then 5 supporting ideas
THE BRAIN AND ITS FUNCTIONS
Essential Questions • What are the key functions of the brain? • What are the parts for responsible?
Just a friendly reminder: Check out the Psych Files (www. psychfiles. com) for an easy way to remember the parts of the brain
Divisions of the Brain
I. The Hindbrain
Hindbrain • basic biological functions • 3 main parts: –Medulla –Cerebellum –Pons
Hindbrain parts • There are three brain areas associated with the Hindbrain (some parts are associated with Brain Stem): –Medulla –Cerebellum –Pons
Hindbrain parts • Medulla: breathing, heart rate and blood pressure…vomiting? yuck • Cerebellum: coordinates voluntary movements and balance (along with the BASIL GANGLIA) • Pons: sleep center (among many other things)
Partner Up • Get a simile summary for the group of two • You may pick any part of the hindbrain and make up a simile • Have fun with this!
II. The Midbrain
Midbrain • located between the hindbrain and the forebrain • simple muscle movements with changes in sensory information • hearing and sight • pupil dilation and eyeball movement
III. The Forebrain
Forebrain • thoughts and reason • 5 main regions: – Thalamus – Hypothalamus – Hippocampus – Amygdala – The Cerebral Cortex
Limbic System
Limbic System • includes the thalamus, hypothalamus, hippocampus, and amygdala • “emotional brain” –helps regulate memory, aggression, fear, hunger, and thirst
Thalamus • receives sensory input from all of the senses except smell • routes input to the proper area of the brain for processing –“relay center” • controls the electrical currents in the brain
Hypothalamus • maintenance activities: eating, drinking, body temperature, and sexual arousal • Controls the pituitary gland
Hippocampus • memory processing
Amygdala • emotions, especially those of aggression, rage, and fear • In stressful situations, where teens make some of their decisions
Cerebral Cortex • intricate, wrinkled covering of the brain (FISSURES), Covers the brain’s lower level structures • ultimate control and information processing center • ~ 30 billion nerve cells
Cerebral Cortex • In addition to interneurons, it contains GLIAL CELLS – guide neural connections, provide nutrients to myelin, and mop up neurotransmitters
Partner Up • Get a simile summary for the group of two • You may pick any part of the forebrain and make up a simile • Have fun with this!
Cerebral Cortex • split into two halves or Hemispheres: –Right Hemisphere –Left Hemisphere • The two hemispheres of the brain are connected by the CORPUS CALLOSUM
Hemispheres of the Brain
Contralateral Control
Hemispheres of the Brain • Each hemisphere of the brain has different functions. This is called hemispheric specialization.
Hemispheric Differences • “Left-brained” and “rightbrained” debunked • Brain is divided into two hemispheres but works as a single entity • Both sides continually communicate via the corpus callosum
Plasticity • The ability of the brain tissue to take on new functions • Greatest in childhood • Important if parts of the brain are damaged or destroyed • The Story of Jodie
Split Brain Procedures • What is the role of the corpus callosum? • What happens if we cut the corpus callosum?
LET’S LOOK AT THE LOBES!!!!
• The Cerebral Cortex is split into four LOBES: –The FRONTAL LOBE –The TEMPORAL LOBE –The PARIETAL LOBE –The OCCIPITAL LOBE
Frontal Lobes • just behind the forehead • involved in making plans and judgments • abstract thought, speaking, muscle movements • “Broca’s area”
Temporal Lobes • Found near the ears • Involved in hearing • Memory retrieval
Parietal Lobes • behind the frontal lobes • general processing, including mathematical reasoning • association lobes – synesthesia • sensation and motor control
Occipital Lobes • Located in the back of the head • The primary visual processing area
Freud Tore (his) Pants Off
Motor Cortex • At the rear of the frontal lobes • Controls voluntary movement –receives messages from the rest of the brain and then sends messages to muscles –contralateral
Somatosensory Cortex • Located in the front of the parietal lobes • Registers and processes body senses • Soma is Greek for “body”
- Slides: 81