Today is a great day to learn about
Today is a great day to learn about your BRAIN!!! Growing New Brain Cells?
How do we know about the brain? Brain Scans
Electroencephalogram (EEG) • Electrodes are placed on the scalp that amplify recordings of the waves of electrical activity across the brain’s surface
Computed Tomography (CT or CAT Scan) • A series of X-ray photographs taken from different angles and combined by computer into a composite representation of the brain
Position Emission Tomography (PET Scan) • A visual display of brain activity that detects where a radioactive form of glucose goes while the brain performs a given task Language Development and PET Scans
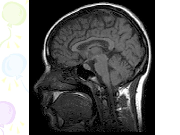
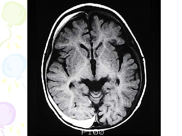
Magnetic Resonance Imaging (MRI) • A technique that uses magnetic fields and radio waves to produce computer-generated images that allow us to see structures within the brain
• Accidents • Case study analysis of victims of suffer from a brain injury, resulting in variations in normal behavior • Phineas Gage
Lesions • Lesioning is the removal or destruction of part of the brain. • IE. Lobotomy
Parts of the Brain
Cerebral Cortex • The body’s ultimate control and information processing center • Covers the brain’s lower level structures • Contains an estimated 30 billion nerve cells • Divided into two hemispheres and four lobes, connected by a thick band of nerve fibers called the corpus callosum
Top View of the Right and Left Hemispheres of the Brain Born With Only Half of a Brain
Right Side - Left Side • The right side of the brain controls muscles on the left side of the body • The left side of the brain controls muscles on the right side of the body. • Damage to one side of the brain will affect the opposite side of the body.
Hemispheric Differences
Hemispheric Differences • Both sides continually communicate via the corpus callosum.
Hemispheric Differences: Language and Spatial Abilities
The Brain’s Left Hemisphere • Language • Math • Logic • Analytic Thought • Scientific Thought • Reasoning
The Brain’s Right Hemisphere • Spatial abilities • Face recognition • Visual imagery • Music • Creativity • Emotional Instincts
Side View of the Left Hemisphere
Right and Left Frontal Lobes • The portion of the cerebral cortex lying just behind the forehead • Mostly involved in abstract thought, speaking, muscle movements, making plans, and judgments The Frontal Lobes Where is Morality? Pre-Frontal Lobe Development of Children
• The motor cortex controls voluntary movements
• The motor cortex receives messages from the rest of the brain and then sends messages back to the muscles of the body in order to control voluntary movements.
Right and Left Parietal Lobes • Regions available for general processing, including mathematical reasoning • The parietal lobes play important roles in integrating sensory touch information, and in the handling and manipulation of objects. Sensory Motor Integration
• The sensory cortex registers and processes touch sensations.
Right and Left Occipital Lobes • The primary visual processing area • Located in the back of the head
Right and Left Temporal Lobes • Includes the auditory cortex where sound information is processed • Located roughly above the ears
The Inner Brain
Cerebellum • Latin for the “little brain” • Located in the rear of the brain • Helps coordinate voluntary movements and balance • If damaged, the person could perform basic movements but would lose fine coordination skills.
Brainstem • The oldest part of the brain – The Midbrain – Pons – Medulla • Is responsible for automatic survival functions • Located where the spinal cord swells and the brain just begins
Midbrain • The MIDBRAIN is also responsible for behaviors associated with hearing and sight • Pupil dilation and eyeball movement
PONS • The PONS is responsible for helping to regulate breathing, to help with sleep and wake cycles, and controls facial expressions
Medulla • The base of the brainstem • Controls life-supporting functions like heartbeat and breathing • Damage to this area can lead to death.
Thalamus • Sits atop the brainstem • The brain’s sensory switchboard – receives input and directs messages to the sensory processing areas in the cortex
Limbic System • A ring of structures around the thalamus; at the border of the brainstem and cerebral cortex • Includes: – Hypothalamus – Hippocampus – Amygdala
Hypothalamus • Located directly under the front of the thalamus • Regulates eating, drinking, body temperature, and the fight or flight reactions to stress • Plays a role in emotions, pleasure, and sexual function
Hippocampus • Wraps around the back of the thalamus • Plays a role in processing new memories for permanent storage • Looks something like a seahorse – Hippo is Greek for “horse. ”
Amygdala • Two almond shaped structures • Controls emotional responses such as fear and anger
Module 8: The Brain Plasticity
Plasticity • The ability of the brain tissue to take on new functions • Greatest in childhood • Important if parts of the brain are damaged or destroyed
The Brain • Basic Brain Functions
- Slides: 71