Tissues Tissues o Groups of cells that share































































- Slides: 63
Tissues
Tissues o Groups of cells that share a similar function are called tissues. There are many types of tissues that are designed to perform a variety of functions.
Epithelial Tissues o Characteristics: n n Sheets of cells that line the body’s surface or a body cavity. Surface of cell exhibits polar properties. Exposed surface called apical surface. Anchored surface is called basal surface. Most apical surfaces have microvilli.
n Designed to fit close together. Includes tight junctions and desmosomes. Tight junctions keep proteins in the apical region from diffusing to the basal region, thus maintaining polarity.
n n n Epithelial sheets are usually supported by connective tissues. Avascular (no blood vessels) but innervated (infused with nerve tissues). Highly regenerative.
Types of Epithelium o Simple: Single cell layer. o Stratified: more than one cell layer.
Squamous o Flattened scale-like cells.
Cuboidal o Cube shaped, as wide as it is tall.
Columnar o Long Column shaped cells.
Simple Squamous Epithelium o Structure: o Single layer of flattened cells with disc shaped central nucleus and sparse cytoplasm. o Function: o Allows passage of materials by diffusion and filtration in sites where protection is not important, secretes lubricating substances into serosae.
Simple Squamous Epithelium
Simple Cuboidal Epithelium o Structure: o Single layer of cube like cells with large spherical central nucleus. o Function: o Secretion and absorption.
Simple Cuboidal Epithelium
Simple Columnar Epithelium o Structure: o Single layer of tall cells with round and oval nuclei; some cells bear cilia; layer may contain mucus-secreting unicellular glands. o Function: o Absorption; secretion of mucus, enzymes, and other substances, ciliated types propel muscles and sometimes reproductive cells, through ciliary action.
Simple Columnar Epithelium
Pseudostratified Columnar Epithelium o Structure: o Single layer of cells of differing heights. Some not reaching the surface. Nuclei seen at different levels; may contain mucus-secreting cells and bear cilia. o Function: o Secretion, particularly of mucus; propulsion of mucus by ciliary action.
Stratified Squamous Epithelium o Structure: o Thick membrane composed of several cell layers; basal cells are cuboidal or columnar and metabolically active; surface cells are flattened (squamous). Squamous cells shouldn’t just be found, usually always anchored to other cell types. o Function: o Protects underlying tissue areas subject to abrasion.
Stratified columnar & stratified cuboidal epithelium o Structure: o Thick multi-layered tissues. Usually junctions between other epithelium. Rare in the human body. o Function: o supports for other tissues. Usually found in ducts or glands.
o Columnar Cuboidal
Transitional Epithelium o Structure: o Looks like stratified squamous and stratified cuboidal. Basal cells cuboidal or columnar; surface cells dome shaped or squamous like. o Function: o Stretches readily and permits distension of urinary organ by contained urine.
Glandular Epithelia o Glands- one or more cells that secrete or make a particular product. Things secreted are called secretions. Usually always aqueous.
Endocrine Glands o Endocrine glands produce hormones. o There are too many to go into detail on right now because they all vary in size, shape, and function. o (whole chapter devoted to this later on)
Exocrine glands o Numerous and vary in function. o All secrete on the surface of the skin or in a body cavity. o We will discuss these more when we cover integument.
Connective tissue o Most abundant of the tissues. o Four main classes of connective tissues: n n Blood Connective tissue proper Cartilage Bone tissue
Characteristics of Connective Tissue o Common origin: all come from mesinchyme (an embryonic tissue) o Degrees of vascularity: range from avascular (cartiladge), to highly vascularized (bone) o Extracellular matrix: nonliving tissues form the extracellular matrix. Can bear pressure, withstand tension, and handle abuse.
Functions of connective tissue o Functions: n n Binding and support Protection Insulation Transportation (blood)
Structural Elements of Connective tissue o Ground substance: fills gaps b/w cells and contains fibers. Made of interstitial fluid, cell adhesion proteins and proteoglycans.
o Fibers: provide support. n Collagen fibers- made of collagen, provide strength. n Elastic Fibers: made of protein elastin, rubbery, and allows connective tissues to snap back to place after tension is relieved in the tissue. n Reticular fibers: collagen like fibers that form networks that then form around blood vessels.
o Cells: n n Fibroblasts-forms connective tissue proper Chondroblasts- cartilage Osteoblasts- forms bone cells Hematopeotic stem cells- undifferentiated blood blast cell.
Connective tissue proper: loose connective tissue, areolar o Structure: o Gel-like matrix with all three fiber types; cells: fibroblasts, macrophages, mast cells, and some white blood cells. o Function: o Wraps and cushions organs; its macrophages phagocytize bacteria; plays important role in inflammation; holds and conveys tissue fluid.
Connective tissue proper: loose connective tissue, adipose o Structure: o Matrix as in areolar, but very sparse; closely packed adipocytes, or fat cells, have nucleus pushed to the side by large fat droplet. o Function: o Provides reserve food fuel; insulates against heat loss; supports and protects organs.
Connective tissue proper: loose connective tissue, reticular o Structure: o Network of reticular fibers in a typical loose ground substance; reticular cells lie on the network. o Function: o Fibers form a soft internal skeleton (stroma) that supports other cell types including white blood cells, mast cells, and macrophages.
Connective tissue proper: dense connective tissue, dense regular o Structure: o Primarily parallel collagen fibers; a few elastic fibers; major cell type is the fibroblast. o Function: o Attaches muscles to bones or to muscles; attaches bones to bones; withstands great tensile strength when pulling force applied in one direction.
Connective tissue proper: dense connective tissue, dense irregular o Structure: o Primarily irregularly arranged collagen fibers; some elastic fibers; major cell type is the fibroblast. o Function: o Able to withstand tension exerted in many directions; provide structural strength.
Connective tissue proper: dense connective tissue, elastic o Structure o Dense irregular connective tissue containing a high proportion of elastic fibers. o Function o Allows recoil of tissue following stretching; maintains pulsatile flow of blood through arteries; aids passive recoil of lungs following respiration.
Hyaline Cartilage o Structure: o Amorphus but firm matrix; collagen fibers form an imperceptible (hard to perceive) network; chondroblasts produce the matrix and when mature, will lie in lacunae. o Function: o Support and reinforce, resist compression.
Elastic Cartilage o Structure: o Like hyaline cartilage, but more elastic. o Function: o Maintains structure while allowing great flexibility. (like your ear)
Fibrocartilage o Structure: o Matrix similar to but less firm than hyaline cartilage. Has thick collagen fibers. o Function: o Tensile strength with the ability to absorb compressive shock.
Bone o Structure: o Hard calcified matrix containing many collagen fibers; osteocytes lie in lacunae. Very well vascularized. o Function: Support Protection Movement Storage Blood cell formation
Blood o Structure: o Red and white blood cells in a plasma. o Function: o Transport of respiratory gases, wastes, and nutrients.
Nervous tissue o Structure: o Contains a cell body with a nucleus core, with a tail called a dendrite. o Function: o Transmit electrical signals from sensory receptors and to effectors which control their activity.
Skeletal Muscle o Structure: o Long cyllindrical, multinucleate cells, obvious striations. o Function: o Voluntary movement; facial expressions
Cardiac muscle o Structure: o Branching striated, generally uninucleate that lock at special junctions. o Function: o As it contracts, it propels blood into the circulation; involuntary control.
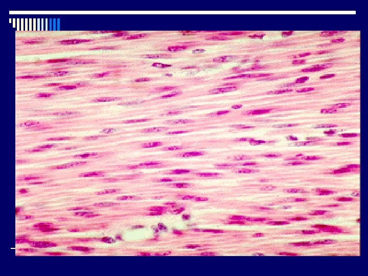
Smooth muscle o Structure: o Spindle shaped cells w/central nuclei. No striations; cells arranged closely to form sheets. o Function: o Propels substances or objects along internal passageways; Involuntary control.