Tissues 1 Tissues and tissue types l Tissues







































































- Slides: 71
Tissues 1
Tissues and tissue types l Tissues are: ¡Group of cells similar in structure an function ¡Tissues are organized into organs ¡Histology = study of tissues l The four tissue types are: ¡Epithelial ¡Connective ¡Muscular ¡Nervous 2
Functions of epithelium l Physical protection l Secretion l Sensory perception l Absorption l Filtration l Excretion 3
Epithelial tissue l Includes glands and epithelium ¡Glands are secretory l Avascular l Polarity l Regeneration l Cellularity l Supported by connective tissue ¡Attached to a basement membrane 4
5
Specializations of epithelium ¡Ciliated ¡Microvilli ¡Stereocilia ¡Flagella 6
Classification of epithelia l Number of cell layers ¡Simple ¡Stratified l Shape of apical surface cells ¡Squamous ¡Cuboidal ¡Columnar 7
8
9
10
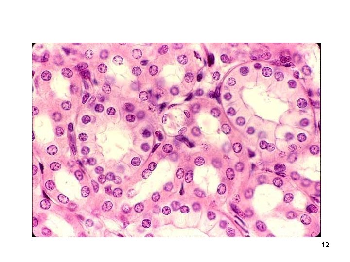
Cuboidal Epithelia 11
12
Cuboidal Epithelia 13 Figure 4. 4 b
Transitional Epithelium 14 Figure 4. 4 c
15
Columnar Epithelia 16 Figure 4. 5 a
17
Columnar Epithelia 18 Figure 4. 5 b
19
Columnar Epithelia 20 Figure 4. 5 c
Glandular epithelia l Epithelium that secrete substances l Exocrine glands ¡Secrete through ducts onto the surface of the gland l Endocrine glands ¡Release hormones into surrounding fluid. Ductless glands. 21
22
Part 2 23
Connective Tissues 24
Connective tissue functions and classification: l Protects l Supports l Bind tissues together l Classification: l Embryonic ¡Mesenchyme ¡Loose connective tissue, mucous l Adult 25
A Classification of Adult Connective Tissues 26
Connective tissues characteristics l No free surface l Vascular ¡Scanty in tendons ¡Except cartilage l Supports the body l Maintain body form 27
Components of the connective tissue 1)Extracellular matrix ¡Ground substance l. Amorphous l. Binds cells to fibers l. Colorless l. Homogeneous l. Liquid, semisolid, gel-like, or hard 28
Matrix l Fibers ¡Collagen (white) l. Most abundant l. Brings flexibility and strength to the tissue l. Thicker one ¡Elastic (yellow) l. Brings elasticity to the tissues l. Can stretch and recoil 29
Fibers l Reticular ¡Thinnest one ¡Found in smooth muscle and framework of the organs ¡Brings flexibility to organs that need changes in volume 30
31
32
Components of the connective tissue 2) Cells ¡Fibroblast lmost abundant l. Synthesis of fibers and ground substance ¡Macrophage l. Phagocytic capacity 33
Components of the connective tissue ¡Adipocytes l. Closely packed l. Signet ring cell l. Nucleus eccentric and flat l. Mesenchymal cells ¡Mast cells l. Releases histamin l. Responsible for allergic reactions ¡Lymphocytes, etc 34
The Cells and Fibers of Connective Tissue Proper 35
Connective tissue proper l Classified as loose or dense l Loose l Areolar tissue l Adipose tissue l Reticular tissue l Rich blood supply 36
Connective tissue proper l Dense ¡Dense regular ¡Dense irregular ¡Elastic ¡Poor blood supply 37
Connective Tissue in Embryos 38
39
40
41
42
Dense Connective Tissues 43 Figure 4. 12 a
Dense Connective Tissues 44 Figure 4. 12 b
Dense Connective Tissues 45 Figure 4. 12 c
46
47
48
Bone, or osseous tissue l Has osteocytes and osteoblasts l Lacuna l Little ground substance l Dense mineralized matrix l Richly Vascularized 49
Bone 50
Part 3 51
Supporting connective tissues: Cartilage ¡Cells called chondrocytes or chondroblasts ¡Cells found in lacunae ¡Firm matrix ¡Avascular ¡Three types: hyaline, elastic, fibrocartilage 52
Types of Cartilage 53
54
Types of Cartilage 55
56
Types of Cartilage 57
58
Fluid connective tissues • Blood – Red blood cells, white blood cells and platelets – Plasma is the fluid matrix 59
Formed Elements of the Blood 60
61
Muscle tissue l Specialized for contraction l Three types ¡Skeletal ¡Cardiac ¡Smooth 62
Skeletal muscle l Cells are multinucleate, long, cylindrical l Presence of striation l Voluntary muscle 63
Muscle Tissue - Skeletal 64
65
Cardiac muscle l Cells: ¡Long, ¡ 1 or 2 nucleus ¡Branching cells l Intercalated discs l Presence of striation l Involuntary muscle 66
Muscle Tissue - Cardiac 67
68
Smooth muscle tissue l Cells ¡Fusiform ¡One central nucleus l Non-striated l Involuntary muscle l Forms the wall of hollow organs 69
Muscle Tissue - Smooth 70
71