Tips en trics over diagnose en behandeling PMR
Tips en trics over diagnose en behandeling PMR en jicht. En over welke patiënten wel door te sturen naar de reumatoloog. dr. Saskia ten Wolde, reumatoloog in Spaarne Gasthuis, Haarlem
Disclosures Geen
Opbouw workshop 1. PMR (25 min) • 3 vragen over PMR • NHG Standaard PMR. Wat is goed? En wat kan beter? • Tips en trics reumatoloog; wanneer doorsturen? 2. Jicht (25 min) • 3 vragen over jicht • NHG Standaard Artritis (jicht). Wat is goed? En wat kan beter? • Tips en trics reumatoloog; wanneer doorsturen?
PMR vraag 1 Wat is PMR voor ziekte? • • • Oorzaak bekend? Hoe vaak komt het voor? Welke leeftijd? Mannen: vrouwen? Relatie met arteriitis temporalis (AT)?
PMR: oorzaak onbekend • Zeker een autoimmuunziekte • Relatie PMR - AT: beiden vasculitis? • In circulatie geactiveerde monocyten/macrofagen die IL-1 en IL-6 produceren • PMR: Mechanisme en plaats van activatie is onbekend • AT: geactiveerde dendritische cellen in vaatwand • Genetische factoren: HLA-DR 4, disease associated sequence 4 amino acids (DRYF). AIOS Inerne onderwijs 5 november 2010
PMR: Epidemiologie • Zelden < 50 jaar (gemiddeld 70 jaar) • Vrouwen > mannen • Incidentie Noord Europa > 50 jr: 20 -53/100. 000 • AT vooral bij blanken VS en Noord Europa • PMR 2 -3 x frequenter dan AT AIOS Inerne onderwijs 5 november 2010
PMR vraag 2 Bij welke patiënten met welke klachten overweeg je de diagnose PMR? Wat is je DD?
PMR: diagnose • Leeftijd: ≥ 50 jaar • Anamnese: subacute progressieve symmetrische pijn en stijfheid spieren nek, schouders (bovenarmen) en heupen (zijkant en achterzijde bovenbenen). Algehele malaise, subfebriele temp, soms AT-klachten. • Lichamelijk onderzoek: aspecifieke pijn en stijfheid schouders en heupen afhankelijk van tijdstip op de dag. Soms polyartritis (mn handen), soms AT. • Lab: verhoogde BSE/CRP AIOS Inerne onderwijs 5 november 2010
EULAR/ACR voorlopige classificatie criteria voor PMR (2012)
PMR: differentiaal diagnose • Schouderproblematiek (cuff leasies, bursitis) • Myopathie, polymyositis • Hypothyroïdie • Parkinson • Maligniteiten; o. a. lymfomen, leukemie, M. Kahler • Infectieus; b. v. subacute bacteriële endocarditis (SBE) • Reumatoïde artritis (bij polyartritis) • Artrose; m. n. nek AIOS Inerne onderwijs 5 november 2010
PMR vraag 3 Hoe behandel je PMR?
Behandeling PMR: prednisolon • Start direct prednisolon 15 -20 mg/dag (4 weken) • Afbouwen met 2, 5 mg per 2 -4 weken tot 10 mg/dag • Daarna voorzichtiger afbouwen naar 5 mg/dag (stop bij 7, 5 mg als symptomen terugkomen) • 5 -7, 5 mg/dag gedurende 6 -12 maanden • Na 1 -2 jaar proberen heel langzaam af te bouwen en te stoppen. Eventueel NSAID toevoegen. Meestal 3 -4 jaar behandeling noodzakelijk! • Soms chronisch lage dosis noodzakelijk AIOS Inerne onderwijs 5 november 2010
Andere medicatie dan prednisolon? Methotrexaat als prednison-spaarder Nieuw: tociluzimab (IL-6 remmer) i. v. of s. c. (nog niet geregistreerd voor deze indicatie) Cave osteoporose > altijd alendroninezuur en Ca/D 3 bijgeven bij postmenopauzale vrouwen en mannen > 70 jaar. Afh van DEXA bij overige patienten. Cave GI-ulcera alleen indien tevens andere risicofactoren > PPI AIOS Inerne onderwijs 5 november 2010
NHG-standaard PMR en AT: wat is goed? • Waarschuwing voor AT > risico blindheid > met spoed doorsturen naar reumatoloog/internist en bij al visusklachten oogarts. • Startdosering prednisolon 15 mg gedurende 4 weken; daarna geleidelijk afbouwen in 1 -2 jaar • Co-medicatie osteoporose en GI-ulcera worden genoemd
NHG-standaard PMR: wat kan beter? • Focus bij diagnose op BSE > 40 mm/uur, OS > 60 min en klachten > 4 weken. Tip: aan begin ziekte BSE vaak nog normaal; duurt even voor BSE stijgt. Prik daarom ook CRP. Soms PMR zonder verhoogde BSE/CRP. • Geen verhoging naar 20 mg initieel bij onvoldoende respons. Tip: Twijfel aan diagnose indien initieel geen of weinig effect prednisolon 15 mg < paar dagen. Verhoog bij onvoldoende effect (maar wel > 50% verbetering) naar 20 mg. Geef nooit initieel 30 mg!
NHG-standaard PMR: wat kan beter? • Methotrexaat pas bij ernstige bijwerkingen of contra-indicaties voor langdurig gebruik glucocorticosteroiden. Tip: Verwijs patiënten eerder bij moeizaam afbouwen prednisolon voor MTX als prednisolon -spaarder naar reumatoloog. Voorkom Cushing en ernstige osteoporose! • Duur behandeling zelden > 1 -2 jaar. Tip: Vaak langer. Wel 90 % < 4 jaar van prednisolon af. Bij steeds recidief lage dosis levenslang.
Jicht
Jicht vraag 1 Wat is jicht voor ziekte? • • • Welvaartsziekte (voeding, alcohol)? Ernstig? Mannen: vrouwen? Leeftijd? Genetisch?
Algemene denkbeelden over jicht • Oorzaken: alcohol, purinerijk voedsel, overgewicht > “disease of the kings” • Geen ernstige ziekte; jichtaanval is even heel pijnlijk, maar gaat snel over (< 1 week) • Alleen tijdens aanval medicatie nodig
Topheuze jicht: wel ernstig!
Jicht: oorzaak Te hoge urinezuurspiegel (uraat) > kristallen 1. Verminderde uitscheiding urinezuur via nier • • • Genetisch (mannen, Aziatisch ras, mutaties) Nierinsufficiëntie (ouderen, CVD, DM) Medicamenteus (diuretica, lage dosis acetylsalicylzuur) 2. Verhoogde productie urinezuur • • Verhoogde celafbraak (b. v door chemokuur) Overmatig alcoholgebruik m. n. bier, consumptie veel vlees, vis, softdrinks, fructose (+ genetische aanleg)
Genetische achtergrond jicht • in Miocene (> 23 miljoen jaar geleden) 2 mutaties in erfelijk materiaal waardoor uricasegen niet werkzaam • hoger urinezuur bij mensen en mensapen • urinezuur als anti-oxidant geeft voordeel van langer leven
Jicht: epidemiologie • Prevalentie 1 -2% volwassenen Europa (US 3. 9%) • Stijgt met leeftijd: 7% mannen 65+ • Incidentie 0. 6 -2/1000 • Man: vrouw = 10: 1 • Leeftijd mannen >30 jaar • Vrouwen uitsluitend postmenopauzaal
Jicht vraag 2 Wanneer denk je aan diagnose jicht? • Aanvullend onderzoek? • DD?
Podagra verhaal (“voetklem”) Acute monoartritis MTP 1 • Roodheid, zwelling, warm, zeer pijnlijk • Kan er geen laken op verdragen • Kan geen schoen aan, kan er niet op staan
Neerslag uraatkristallen geeft: • Acute mono/oligo/polyartritis met roodheid, soms koorts, stijging BSE en CRP. • Uraatneerslag in huid en rondom pezen (tophi) • Soms uraat nierstenen en uraatnefropathie
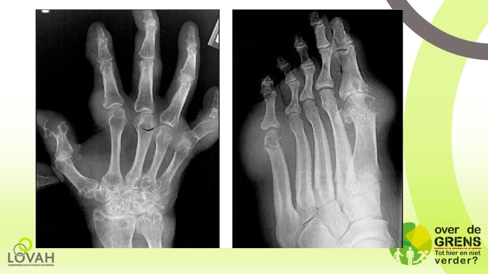
Dit is ook jicht! Tophi
Jicht: diagnose = kristalbewijs • Punctie gewricht > uraat kristallen aantonen • Punctie tophus > wit materiaal = puur uraatkristallen
Geen kristallen > jichtcalculator
Jicht vraag 3 Hoe behandel je jicht? • Behandeling acute jichtaanval? • Wanneer urinezuurverlagers? Welke? Hoe instellen?
Behandeling acute jichtaanval Acute jichtaanvallen < 3 x per jaar Bij aanval 3 - 7 dagen: • NSAID: b. v. diclofenac 3 dd 50 mg • Colchicine 2 -4 dd 0. 5 mg (hoe hoger > vaker diarree) • Zo nodig prednisolon 30 mg 3 -5 dagen, corticosteroïden injectie in gewricht of i. m. • (IL-1 antagonisten)
Niet medicamenteuze behandeling acute jichtaanval • Rust, ijspakking op gewricht • Alcoholbeperking/stoppen • Beperken overmatig purinerijk voedsel • Ruime diurese • Geleidelijke gewichtsreductie bij obesitas • Zo mogelijk urinezuur verhogende medicatie zoals diuretica stoppen/ vervangen (Losartan) • Vit C 500 mg/dag
Toxiciteit Colchicine • Dosisafhankelijke bijwerkingen (1 -10%): buikpijn, misselijkheid, braken, diarree = eerste symptoom toxiciteit. • Zelden en alleen bij hogere dosis beenmergdepressie, perifere neuropathie, huiduitslag, myopathie. • Bij nierinsufficiëntie max 1 - 2 dd 0. 5 mg wegens smalle therapeutische breedte. COLCHICINE GEEFT GEEN VERSLECHTERING NIERFUNCTIE!!! • Combinatie met statines: verhoogd risico spierpijnen, rhabdomyolyse. Risicofactoren: hoge dosis colchicine en nierinsufficiëntie.
Urinezuurverlagers Indicatie voor urinezuurverlagende therapie • • > 3 acute aanvallen per jaar Tophi huid of rond gewrichten Erosieve gewrichtsbeschadigingen Overwegen bij serum uraat > 0. 60 • Nooit starten tijdens acute aanval! • Altijd starten in combinatie met lage dosis colchicine of NSAID, desnoods prednisolon eerste weken-maanden.
Urinezuurverlagende therapie = levenslang • Doel: urinezuur verlagen naar 0. 30 - 0. 36 mmol/l > preventie jichtaanvallen, gewrichtsschade en langzaam oplossen uraatdeposities (tophi)
3 soorten urinezuurverlagers: 1. Xanthine-oxidase-remmers (allopurinol, febuxostat) 2. Uricosurica (benzbromaron); bij 75% jichpatiënten (undersecretors) eigenlijk 1 e keus… 3. Uricase-derivaten (Rasburicase) > alleen bij chemotherapie bij hematologische maligniteiten
Urinezuur metabolisme
Allopurinol 1 e keus • Xanthine-oxidase-remmer • Dosis ophogen van 100 > max 900 mg/dag per 2 -4 weken op geleide urinezuurspiegel. • Meestal 300 – 400 mg/dag voldoende. • Dosis aanpassen aan kreatinineklaring: • • 20 -30 ml/min: 200 – 300 mg/dag 10 -20 ml/min: 100 – 200 mg/dag <10 ml/min: 100 mg/dag of om de dag Dialyse: eventueel alleen 300 -400 mg direct na dialyse
Toxiciteit Allopurinol 1 -10% milde (jeukende) huiduitslag 0, 1 -1% misselijkheid, braken, diarree Zelden hematologische reacties, gestoorde leverfunctie Zelden hypersensitiviteits syndroom (0, 01 -0, 1%): risicofactor bij nierinsufficiëntie 3 -4 verhoogd • ALLOPURINOL GEEFT ZELF GEEN VERSLECHTERING VAN NIERFUNCTIE!! • Interacties: azathioprine, mercaptopurine, didanosine, ciclosporine, theofylline, orale anticoagulantia (dosisaanpassing). Meer kans huiduitslag bij amoxicilline en captopril. • •
NHG-Standaard Artritis over jicht: wat is goed • Hyperuricemie = geen bewijs jicht • Bij jicht meestal wel hyperuricemie (niet meten tijdens aanval) • Familiaire belasting (genetisch), echter geen uitleg dat dit niet voor alle jichtpatiënten van toepassing is. Ø 50% jicht in combinatie met hypertensie en CVD > controle! • Relatie tussen jicht en nierinsufficiëntie • Geen causale relatie tussen jicht en voeding/alcohol • Bij LO: waar te zoeken naar tophi • Bij aanvullend onderzoek: BSE, CRP, uraat, bij twijfel punctie via reumatoloog • Behandeling: levenslang urinezuurverlagers bij frequente aanvallen of tophi.
NHG-Standaard Artritis (jicht): wat kan beter? • Percentage podagra 90%. Tip: geldt alleen voor “genetische jicht” • Percentage 20% jichtpatiënten heeft nierinsufficiëntie. Tip: onjuist. Vaak direct topheuze jicht en geen acute artritis in begin. • Tip: Jichtcalculator gebruiken voor 80% zekerheid jicht en beslissen wel/geen punctie nodig. • Tip: Stigmatisering ECHT wegnemen door niet bij causale relatie tussen voedsel/drank te zetten “nog niet bewezen”. • X-foto’s zijn niet nodig. Tip: maak bij frequente aanvallen/verdenking tophi wel X-voeten/handen om erosies op te sporen.
NHG-Standaard Artritis (jicht): wat kan beter? • Behandeling: bij acute aanval colchicine 2 e keus na NSAIDs/corticosteroïden. Tip: samen met NSAID als 1 e keus. • Prednisolon 30 -50 mg gedurende 5 dagen en bij onvoldoende herstel verlengen naar 10 dagen! Tip: te lang om zonder afbouw te stoppen, vaak rebound effect, ontregeling DM. NIET NODIG bij tevens gebruik colchicine! • Stop colchicine bij GI-klachten zoals diarree. Tip: dosisaanpassing • Stop colchicine bij geen verbetering < 2 -3 dagen. Tip: langer doorgaan, corticosteroiden zonodig bijgeven. • Geef colchicine bij kreatklaring < 50 ml/min max 0. 5 mg per dag. Info: te voorzichtig en daardoor niet effectief.
NHG-Standaard Artritis (jicht): wat kan beter? • Urinezuurverlagende therapie “is een optie wanneer de patiënt de aanvalsfrequentie onaanvaardbaar vindt”. Tip: Actiever informeren over consequenties jicht en wegnemen angst voor bijwerkingen allopurinol en colchicine. • ER STAAT NERGENS DAT ER BIJ START ALLOPURINOL EEN VERHOOGDE KANS IS OP JICHTAANVALLEN EN DAT ER PREVENTIEF COLCHICINE/NSAID MOET WORDEN BIJGEGEVEN !!!! • Instellen allopurinol op geleide aanvalsfrequentie of verdwijnen tophi. Tip: instellen op serum uraat < 0. 36 • Tip: bij tophi doorgaan colchicine tot tophi vrijwel verdwenen zijn.
Vragen? ? ? ?
- Slides: 46