Thymus spleen tonsils Dora Mali Medical English 201314















- Slides: 15
Thymus, spleen, tonsils Dora Malić Medical English, 2013/14 Mentor: A. Žmegač Horvat
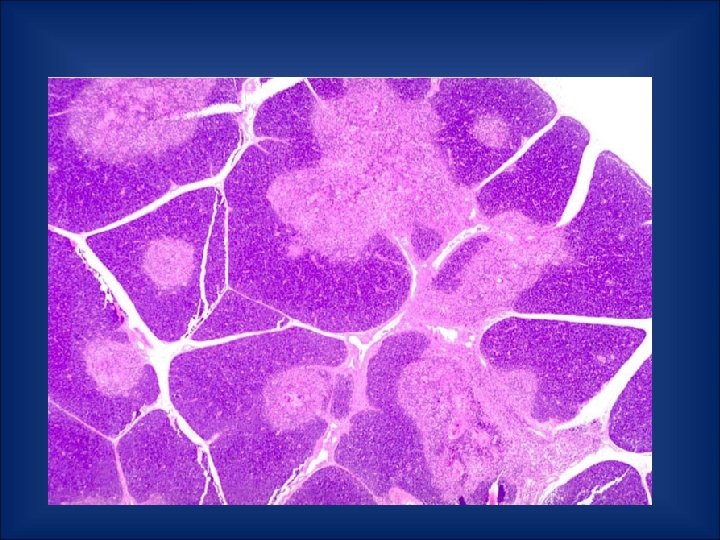
Thymus • Anterior superior mediastinum • Two asymmetrical lobes • Each lobe composed of lobules • Lobule – outer cortex and inner medulla
• Two types of cells 1. stromal cells - cortical epithelial cells, thymic medullary epithelial cells, dendritic cells - selection of functional and self -tolerant T-cell receptors 2. cells of hematopoietic origin – derived from bone marrow hematopoietic stem cells
Function of thymus • Maturation of T-cells • Migration of hematpoietic progenitor cells from bone marrow • Thymocytes undergo: 1. positive selection – those with no affinity for self-MHC on stromal cells are destroyed 2. negative selection – those with high affinity for thymic antigens are destroyed – central tolerance
Involution of thymus • largest and most active during the neonatal and preadolescent periods
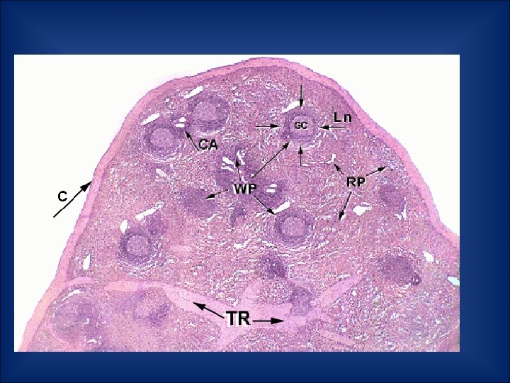
Spleen • Upper left quadrant of the abdomen • Not a vital organ • Surrounded by a fibrous capsule • Composed of red and white pulp
Structure of spleen • Red pulp 1. sinuses – vessel-like spaces filled with blood 2. splenic cords – reticular fibers 3. marginal zone bordering on white pulp • White pulp - nodules - Malpighian corpuscles 1. follicles - rich in B-lymphocytes 2. periarteriolar lymphoid sheath - T-lymphocytes
Functions of spleen • Removes old red blood cells from circulation • Reserve of blood • Storage of red blood cells, platelets, and lymphocytes • Metabolizes hemoglobin • Recycles iron • Part of mononuclear phagocyte system • Active immune response to antigens
Tonsils • Collections of lymphoid tissue in aerodigestive tract • Waldayer’s tonsillar ring - adenoid tonsil, two tubal tonsils, two palatine tonsils, lingual tonsil • First line of defense against ingested or inhaled foreign pathogens
Palatine tonsil • • Non-keratinized stratified squamous Incompletely encapsulated Long, branched crypts Sides of oropharynx - between palatoglossal and palatopharyngeal arches • Tonsillectomy
References • http: //en. wikipedia. org/wiki/Tonsil • http: //en. wikipedia. org/wiki/Lymph_node • http: //www. webmd. com/digestive-disorders/picture -of-the-spleen • http: //en. wikipedia. org/wiki/Thymus