Thymoma By L Jamal The Thymus The thymus
Thymoma By L. Jamal
The Thymus The thymus is a specialized organ of the immune system. It is located in the ant. mediastinum. Production of T- Lymphocytes.
The Thymus A pyramid shaped organ , pinkish grey in colour with a soft and lobulated surface. 5 cm in length , 4 cm in breadth and 6 mm in thickness. Wieghs 20 -35 grams during puberty and regresses to 6 gr in adulthood.
Structure 2 lobes , each lobe is composed of multiple lobules and sorrounded in a capsule. Each lobule consists of multiple follicle. Each follicle is divided into a capsule and medulla.
Cortex : contains thymocytes → T- lymphocytes. Medulla : contains corpuscles (area of maturation).
Vasculature Internal mammary , superior and inferior thyroid arteries. The veins end in the left brachiocephalic vein (innominate vein), and in the thyroid veins.
Mediastinal Masses Thymoma. Lymphoma. Germ cell tumor. Thyroid an Parathyroid tumors.
Thymoma A neoplasm of the Thymic epithelial cells. Results from dysregualtion of the proliferation and maturation of T- lymphocytes. This process results in either Autoimmunity or Immune defeciency.
As a result , thymomas are associated with autoimmune diseases in 70% of the patients during diagnosis. Thymomas are ussually encapsulated and spread by local extension.
Epidemiology Primary tumors of the mediastinum represent 3% of all chest tumors. Primary anterior mediastinal masses account for 50 %. 45% are thymomas.
F: M → 1 : 1. Thymomas in the pediatric age group tend to run an aggressive course.
Clinical Presentation 30 % local symptoms. 30 % abnormal chest radiographs. 30 % Myasthenia Gravis (paraneoplastic syndrome).
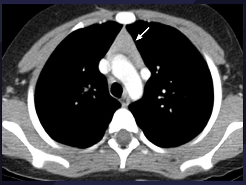
Local symptoms : Dyspnea. Dyspahgea. Cough. SVC obstruction. Thymomas tend to be highly vascular → bleeding and necrosis.
Paraneoplastic : MG. Hypogammaglobulenemia. Good syndrome. Oppurtunistic infections.
Work up Blood : CBC : Anaemia , thrombocytopenia , agranulocytosis. Quantitative Ig studies → Panhypogammaobulinenmia. CD 4 T-cell count. Pre an post vaccination antibody levels.
Radiology : Chest x ray. CT or MRI. Nuclear imaging ( octreotide scan )
Tissue sampling : Core biopsies. FNA. Limited sternotomy Mediastinoscopy.
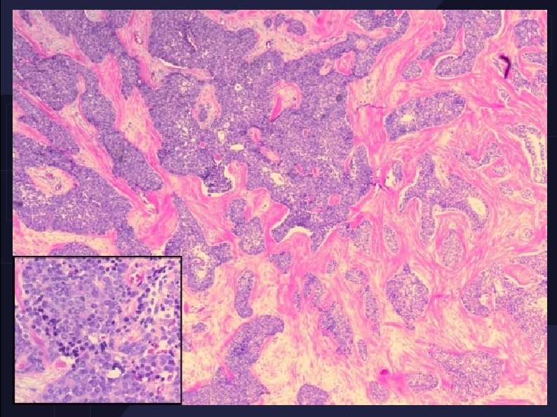
Histologic Findings Mixed epithelial and lymphoid cells. 4 categories : Spindle cell predominant. Lymphocyte predominant. Mixed. Epithelial predominant.
WHO classification : A : Spindle or Oval cells. B : dendredtic or epitheloid. AB: mixed. C : resembles other organs. Types A , AB → benign. Type B , C → malignant.
Staging Masaoka Staging system. I : Macrospcopically encapsulate , no capsular invasion. II: Macroscopic invasion to surrounding tissue or microscopic capsular invasion. III : Macroscopic invasion into neighboring organs. IVa : Pleural or pericardial dissemination. IVb : Lymphogenous or hematogenous metastases
TTT Surgical and medical. Thymectomy is curative in the early stages. It can be challenging. Thymectomy releaves obstructive symptoms and improves paraneoplastic symptoms.
Hypogammaglobulinemia shows no improvement after thymectomy and requires monthly Ig infusions. MG patients show a 25 % improvement in mw after thymectomy.
Radiotherapy : unresectable tumors & post sugical resection. Primary radiotherapy for stages III & IVa improved the 5 y survival 40 -50 %. Chemotherapy : for stages IV a , b using Cisplatin , Vincristine & Doxyrubicin.
Prognosis Adverse predictive factors : Invasive tumor. Tracheal compression. Young age. Tumor more than 8 cm.
5 & 10 year survival Type A - 100% and 95%, respectively Type AB - 93% and 90%, respectively Type B 1 - 89% and 85%, respectively Type B 2 - 82% and 71%, respectively Type B 3 - 71% and 40%, respectively Type C - 23% (5 -year survival rate)
Thymic Hyperplasia Increase in the size of the gland with normal microscopic arrangement. Rare intety. Presentation is similar to a thymoma.
3 subtypes : Massive thymic hyperplasia. Common in infancy presents with compressive symptoms. Thymic hyperplasia assocaited with endocrine abnormalities.
Rebound thymic hyperplasia : The thymus gland regresses in size during times of severe stress then enlargres beyond normal. Seen following , severe burns , pneumonia , tuberculosis and malignancies.
Management : Close monitoring for 2 years. If thymic hyperplasia doesn't regress by 2 years , biopsies and resection are warranted.
Thymic rebound hyperplasia in an 11 -year-old girl with Hodgkin lymphoma.
- Slides: 41