THROMBOSES VEINEUSES CEREBRALES Serge BRACARD 2009 1 Plan
THROMBOSES VEINEUSES CEREBRALES Serge BRACARD 2009 1
Plan • Généralités. Épidémiologie • Étiologies • Clinique • Diagnostic. Imagerie • Évolution. Pronostic 2
Généralités • Incidence plus importante que communément admis • Etiologie rarement infectieuse • Expression clinique très variée • Evolution le plus souvent favorable • Héparinothérapie 3
Anatomopathologie • Thrombus – frais (hématies, fibrine) – ancien (tissu fibreux +/- recanalisé) • Atteinte parenchymateuse – œdème cérébral isolé – « infarctus » veineux ( infarctus artériel) 4
Infarctus veineux • Œdème • Hémorragie fréquente (hématome) • Territoire non systématisé (≠ infarctus artériel) • Souvent bilatéral 5
Incidence • Mal connue • « International study on cerebral vein thrombosis » Canhao et al. Cerebrovascular Disease 2001 : 630 patients en 3 ans • Légère prépondérance chez les femmes jeunes • Rare chez l ’enfant 6
Etiologies Étiologie des thromboses veineuses + causes locales • Causes infectieuses : – <10% dans les pays développés – sinus caverneux (staphylococcie de la face, sinusite ethmoïdale ou sphénoïdale) • Causes non infectieuses +++ 7
Thrombophlébite du sinus caverneux 8
Thrombose sinus sigmoide et veine jugulaire interne gauche sur mastoidite 9
Etiologies non infectieuses • Causes locales (traumatismes) • Post-partum immédiat et prise de contraceptifs oraux • Maladies générales – cancers et hémopathies – Lupus érythémateux systémique – Maladie de Behcet. . . • Thrombophilies congénitales … 10
Thrombophilies congénitales • A recher dans le cadre du bilan de toute TVC – Mutation du facteur V Leiden ou du facteur II – Déficits en antithrombine, protéine C ou protéine S • Thrombophilie et grossesse – prévention des risques thrombotiques maternels et placentaires (Conférence de consensus, ANAES 2003) 11
Etiologie indéterminée • 20 à 35% des cas malgré un bilan poussé • Nécessité d ’un suivi au long cours – Manifestation tardive d’un cancer, d’une maladie de Behcet … 12
Etiologies des TVC des enfants et des nouveaux-nés • Nouveaux-nés (69) – 84% pathologie systémique (complication périnatale) – 16% pathologie de la tête ou du cou – 20% état préthrombotique • Enfants plus âgés (91) – âge préscolaire : infections ORL – plus âgés : maladies systémiques • Etiologie indéterminée = 3% De. Veber et Andrew. Canadian pediatric ischemic stroke study 13 group. Cerebral sinovenous thrombosis in children. N Engl J Med 2001
Clinique Mode de survenue très variable ( accidents vasculaires artériels) • subaigu (2 -30 jours) • aigu (<48 h) • Chronique 50% 30% 20% 14
Symptômes cliniques non spécifiques • Céphalées – dans 80% des cas • Œdème papillaire – % variable selon les séries • Déficits focaux – inauguraux dans 15% des cas – au cours de l ’évolution dans environ 50% des cas • Crises convulsives – inaugurales dans 15% des cas – au cours de l ’évolution dans environ 40% des cas – fréquentes chez l ’enfant et le nouveau né • Troubles de la conscience – rarement inauguraux 15
Tableaux cliniques 1. Signes focaux +/- HIC – très variables – diag AVC artériel, tumeur, encéphalite 2. Hypertension intracrânienne (HIC) isolée – céphalées, œdème papillaire, +/- paralysie du VI – diag HIC idiopathique (ou « bénigne » ) 3. Encéphalopathie diffuse – 4. troubles psychiques, confusion, coma, déficits, crises comitiales Thrombose du sinus caverneux – chémosis, ptosis, ophtalmoplégie douloureuse 16
Formes cliniques • 4 grands tableaux cliniques • mais formes trompeuses • parfois découvertes fortuites … y penser 17
Topographie des TVC • Sinus sagittal supérieur • Sinus latéraux • Veines corticales rarement isolément • Système veineux profond • Localisations multiples fréquentes 18
Imagerie des TVC • Scanner cérébral – Examen de « débrouillage » , signes évocateurs à connaître – Angioscanner +++ • IRM et ARM – Méthode d ’imagerie la plus performante pour le diagnostic et le suivi, parfois pour l ’étiologie • Angiographie – Indications limitées 19
Imagerie des TVC • Signes directs : le thrombus – dans les sinus – dans les veines • Signes indirects : le retentissement de la thrombose – stase veineuse – œdème cérébral – ischémie veineuse 20
Scanner cérébral 21
Scanner cérébral • Hyperdensité spontanée • signe très précoce (< 5 jours) et rare • « signe de la corde » (veine) ou du « triangle dense » (sinus) • faux positifs 22
Signes du cordon 23
Thromboses veines profondes 24
Thrombose veines profondes 25
Scanner cérébral • Signe du delta ou du triangle vide ++ • après 5 jours • Prise de contraste anormalement intense de la faux du cerveau et de la tente du cervelet 26
Signes du delta 27
Faux signe du delta • Partie postérieure du SLS • Hématome sousdural 28
Scanner cérébral • Œdème cérébral – diffus ou localisé – seul ou associé • Discret effet de masse • Souvent décrit mais non spécifique – difficile à affirmer chez le sujet jeune – difficile à différencier d ’un infarctus veineux 29
Scanner cérébral • Infarctus veineux – hypodensité – effet de masse – prises de contraste • Infarctus hémorragiques – pétéchies … – Hématomes – HSA 30
31
Scanner cérébral • Peut être évocateur – y penser – scanner sans et avec injection IV (+ angioscanner) – connaître les signes évocateurs • Peut être trompeur – HSA pure (Oppenheim et al, AJNR 05) –… • Peut être normal (10 à 20% des cas) 32
G. Michèle, 54 ans; Malaise suivi de trouble phasiques 33
34
G. Sylviane. Troubles phasiques fluctuants depuis la veille. Céphalées depuis 5 jours 35
36
Angio scanner Casey et al. Radiology 96; 198: 163 -70 37
38
39
40
41
IRM • Diagnostic: – Sagittales T 1 en SE +++ – Coronales T 2 ou Flair – Axiales T 2 EG ++ +/- Coronales T 1 sans et avec Gado • Extension (et suivi) : ARM veineuse – – Contraste de phase 3 D PC Temps de vol 2 D TOF veineux Acquisition volumique +Gd ARM dynamique 42
Le thrombus en IRM T 2 EG : thrombus = artefacts hyposignal 43
44
• B. Julie, 18 ans • 7/01/05 – Céphalées – Sd pyramidal – 38° – OP 45
diagnostic J 7 46
47
3 mois 48
Veines corticales 49
50
Femme de 43 ans ; crise généralisée inaugurale 51
52
53
54
Contrôle à 3 mois 55
Signes indirects • Prise de contraste de la tente du cervelet • Œdème • Infarctus veineux (souvent hémorragique) 56
IRM de diffusion • Infarctus veineux – valeurs d ’ADC hétérogènes – œdème vasogénique ( AVC artériel) • +/- Thrombus en hypersignal Intérêt pronostic ? Favrolle et al, Stroke 03 57
Angio IRM (ARM) 3 D PC 2 D TOF veineux 3 D Gd+ 58
Contraste de phase 3 D PC • Choix de la vitesse V<20 cm/s • Séquence longue 59
• 2 D TOF veineux – Rapide – C– Faux + • 3 D Gd + – Rapide ++ – Sinus et veines corticales 60
61
Evaluation de la séquence d’ARM dynamique 3 D dans le diagnostic et le suivi des thrombophlébites cérébrales Tisserand M (1), Rodrigo S (2), Foscolo S (1), Naggara O (2), Schmitt E (1), Anxionnat R (1), Meder JF (2) et Bracard S (1) CHU Nancy, Service de Neuroradiologie Diagnostique et Thérapeutique (2) CH Sainte Anne Paris, Département d’Imagerie Morphologique et Fonctionnelle 62
Etude rétrospective : janvier 2006 à février 2007 Bi-centrique CHU Nancy CH Sainte-Anne 2 groupes de patients : – Suspicion de TVC – Suivi de TVC + TVC - Diagnostic 11 26 37 Suivi 9 10 19 Séquence ECTRICKS (GE): ARM dynamique 3 D Séquences classiques non angiographiques Lecture en aveugle : étude de la concordance 63
ECTRICKS Elliptic Centric Time resolved Imaging Contrast Kinetic. S ARM dynamique 3 D (GE) Imagerie parallèle ASSET Acquisition d’un masque - soustraction Segmentation de l’espace K en 4 régions ABCD Injection : 10 cc Ky 1 2 3 4 5 6 7 8 9 10 11 12 13 14… A B C D A B A C A D A B A C… A Kx D C B Kz TRICKS 64
65
tricks Femme, 19 ans Diagnostic : LEAD, céphalées depuis un mois 66
Tricks 2 Femme, 17 ans Céphalées, acouphènes 67
suivi Suivi : juillet 2006 et janvier 2007 68
69
Résultats Concordance ECTRIKS et séquences classiques DIAGNOSTIC SUIVI TRICKS Autres séquences TVC + 11 11 TVC - 26 26 TRICKS Autres séquences TVC + 9 9 TVC - 10 10 Diagnostic positif - localisation Veines corticales 70
Conclusion La séquence d’ARM 3 D dynamique Fournit des images de bonne qualité Imagerie parallèle : résolutions temporelle et spatiale Permet une évaluation du système veineux cérébral Acquisition rapide ( 2 minutes ) En concordance avec les autres séquences Informations dynamiques Séquence ARM de référence au diagnostic La seule au suivi ? 71
Limites et pièges en IRM • Contre-indications de l ’IRM, agitation du malade • Faux – – en phase aigue : thrombus iso intense (ARM) – Thromboses isolées de veines corticales ± (T 2*) • Faux + – Flux lent en hypersignal (ARM avec injection) • Variantes anatomiques – hypoplasie d’un sinus latéral – Granulations arachnoïdiennes (jonction sinus transverse-sinus sigmoïde) 72
Angiographie • Indications très limitées : – contre-indications et insuffisances de l ’IRM (et de l’angioscanner) • injections globale et sélectives • vues de face, de profil et obliques • temps tardifs 73
Angiographie • Occlusions veineuses (absence d ’opacification) • Retard circulatoire (stagnation) • Circulation de suppléance – veines corticales en « tire-bouchon » – veines trans-cérébrales – veines extra-cérébrales 74
Angiographie • Faux positifs • Flux de lavage (étudier l ’injection globale et les autres axes) • Hypoplasie ou agénésie du sinus latérale (recher la gouttière osseuse, analyser le type d ’arrêt d ’opacification) 75
76
77
Autres examens diagnostiques • Examens sanguins – D-dimères (taux élevé dans les TVC récentes) • D-dimères normaux n’excluent pas le diagnostic – bilan étiologique – bilan de l ’hémostase • LCS – association fréquente: • hyperprotéïnorachie (rarement > 1 g/l) • hématies • pléiocytose à prédominance lymphocytaire – étiologies infectieuses • EEG : anomalies diffuses non spécifiques • Doppler veineux : intérêt limité 78
Evolution • Plutôt bonne • Séquelles dans environ 20% des cas – déficits focaux ou visuels • Rares cas mortels • Facteurs de mauvais pronostic: – – âge (extrêmes) signes focaux ou coma atteinte du système veineux profond étiologie sous-jacentes (infections) 79
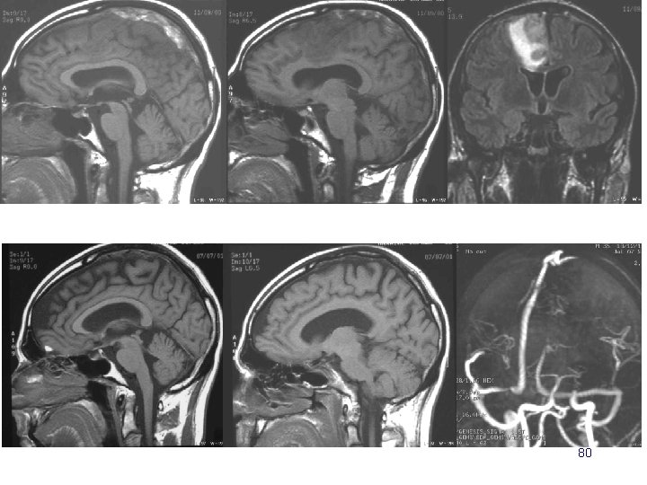
80
Hen. 18 ans RCH décès 81
Evolution à long terme • Mal connue, variable • 86% sans séquelle: étude rétrospective sur 77 patients avec un suivi de 6. 5 ans (Preter et al. Stroke 1996) • 82% de récupération quasi complète à 1 an dans une étude prospective de 91 patients (Ferro et al. Cerebrovasc Dis 2002) • 44% de handicap et/ou troubles cognitifs dans une série prospective de 59 patients après 1 à 4 ans d ’évolution (De Bruijn et al. Neurology 2000) … 82
Evolution à long terme • Risque de récidive faible : 11. 7% sur 77 patients avec un suivi moyen à 6. 5 ans (Preter et al. Stroke 1996; 27: 243 -46) • Développement d ’une fistule durale – Souffle intracrânien (auscultation ++) – Diagnostic en IRM (3 DTOF) – Angiographie pré-thérapeutique • type de drainage • embolisations 83
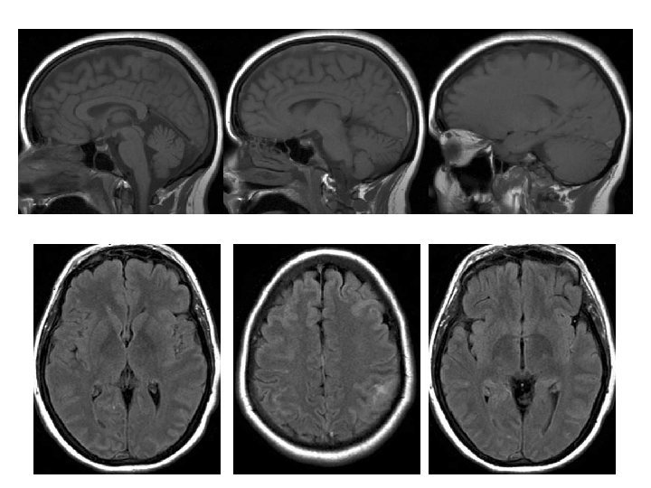
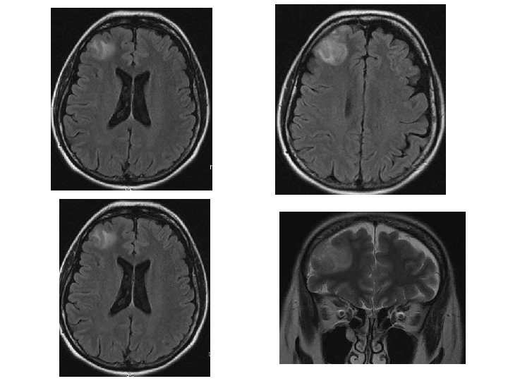
20 ans coma d’installation rapidement progressive 84
6 mois plus tard… mais la patiente se plaint d’acouphènes. Que faut il évoquer? Que proposer? 85
86
87
Traitement • Traitement étiologique – antibiotiques dans les formes septiques –… • Traitement symptomatique – antiépileptiques – Antioedémateux • Traitement antithrombotique – héparine ++ – fibrinolytiques (rt-PA) : rares indications • Résistance au traitement par héparine 88
Références • Thromboses veineuses cérébrales. I. Crassard, A. Ameri, D. Rougemont, MG. Bousser. Encycl Med Chir, Neurologie, 17 -046 -R-10, 2003, 12 p. • Imagerie radiologique des thrombophlébites cérébrales. J Chiras. http: //www. imagemed. org/cerf/cnr/edicerf/NR/NR 011. html 89
- Slides: 89