This is a double contrast BE barium enema
This is a double contrast BE (barium enema). For this test we put a small amount of contrast in the colon to coat the surface and then distend the colon with air. Can you identify the sigmoid colon? What are these small saculations in the sigmoid colon? These are sigmoid diverticula.
What is the main reason we perform a double contrast BE? To look for colon cancer. This an oblique view. The patient is lying on his left side. Do you seen all of the contrast on the dependent side of the colon? What do we have to do to make sure that there is no polyps or cancers hiding in the dense contrast? Flip the patient on to his right side. See next slide.
Can you find the splenic and hepatic flexures on this image? Hepatic flexure Splenic flexure You could see how a lesion would be difficult to see in one of these flexures due to overlap of the colon. How could we clear this up? If we did more films with some obliquity we could eliminate this overlap.
This is a single contrast BE (no air only contrast). Can you see the narrowing in the transverse colon? (Large circle) Do you know what this is? This is an adenocarcinoma. This is what is classically described as an apple core lesion. Do you see the resemblance?
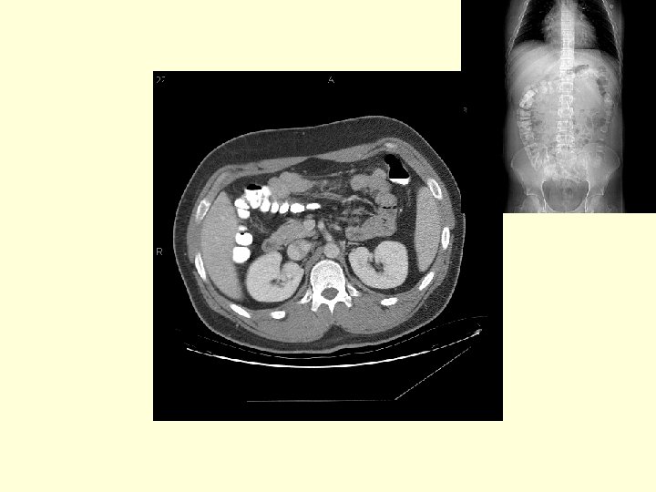
This is the preliminary image from an abdominal CT. Can you see the contrast filling the colon?
The image on the right shows the level at which the axial CT slice was taken. What is this high attenuation structure in the liver? This is the left portal vein. Do the portal veins divide the liver into segments? No, the hepatic veins do.
What is this black line that runs through the liver? This is the fissure for the ligamentum teres. What structure ran through this region? The umbilical vein What is this fissure anterior to the caudate lobe? This is the fissure for the ligamentum venosum
What part of the colon is this? This is the distal transverse extending to the splenic flexure. Why does the colon look white? The patient was give oral contrast.
What portion of the pancreas is this? This is the tail
What portion of the colon is this? Hepatic flexure
What is this venous structure extending from the left kidney to the IVC? This is the left renal vein
What portion of the colon is labeled by this arrows? Ascending colon Descending colon
What is this vessel coming of the aorta? Hint, it is colonic supply and below the level of the SMA. Inferior mesenteric artery
Look at the small bowel without contrast (white arrows) and the colon (black arrows) with contrast and note that the bowel wall is extremely thin. Normally approximately 3 mm.
What is this small tubular structure partially filled with contrast on this and the subsequent image. (see next slide for answer)
This is the appendix. Note this is normal; thin walled, filled with contrast and no inflammatory changes in the adjacent fat.
What portion of the colon is labeled with arrows? Sigmoid colon
What vascular structures are marked by the arrows? The external iliac arteries and veins
What is this fluid filled structure? The bladder What portion of bowel is this located posterior to the bladder and anterior to the sacrum? The rectum What is the significance of the space between the bladder and the sacrum? This is the most dependent portion of the peritoneal cavity in a male.
This is the first of sequential, coronal images illustrating branches of the SMA. This is aorta (black arrows) and proximal SMA (white arrows)
Which branch off the SMA is marked with the black arrow? Hint, it comes off anteriorly Middle colic artery Which branch is this? ileocolic
Which branch is this? (kind of subtle in this patient) Right colic artery Which vessel is this coming off the aorta? IMA
This is a 3 D image showing the branches of the SMA.
This is another 3 D image showing the vasculature of the SMA. Click through the next 20 frames to rotate the image.
Awaiting SMA angiogram for Dr. Aruny
This is a clip from a virtual colonoscopy. This is reconstructed data from a CT scan. The holes at the bottom of the image are diverticula.
This is another image from reconstructed data from a CT scan. Do you see the cancer. Hint, remember the apple core.
This is a patient with diverticulitis. Trace the sigmoid colon (white arrows) over the next 6 images and noted the wall thickening and the mesenteric fat stranding (circle).
- Slides: 73