THE TISSUE LEVEL OF ORGANIZATION TISSUE a group



































- Slides: 35
• • THE TISSUE LEVEL OF ORGANIZATION TISSUE — a group of similar cells performing a common function 4 MAJOR TYPES : 1. EPITHELIAL TISSUES — tissues which cover or line the body’s internal/internal surfaces • • 2. CONNECTIVE TISSUES — support, protect, bind together the other tissue types • • 3. MUSCLE TISSUE — consists of specialized cells (muscle fibers) capable of shortening in length (contraction) and thus producing movement. • • 4. NERVOUS TISSUE — consists of specialized cells (neurons) capable of generating and transmitting electrochemical signals (impulses) and thus coordinating the functions of the other tissue types.
Nervous Tisue • Location: brain and spinal cord • Function: nerve impulse conduction
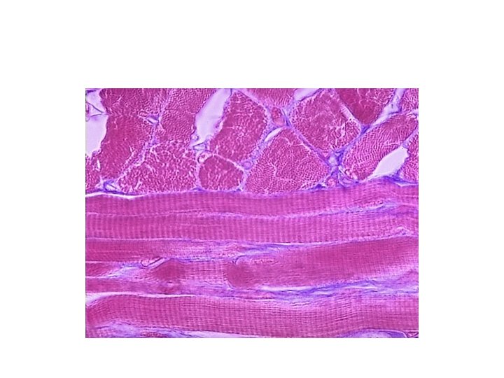
Skeletal (Striated) Muscle • Location: skeletal muscles • Function: movement; stabilize position of skeleton
Smooth Muscle • Location: walls of blood vessels; internal organs • Function: movement (food, urine, regulates blood vessel diameter)
Cardiac Muscle • Location: heart • Function: circulates blood and maintains blood pressure
Simple columnar • Location: inner surface of respiratory tract and intestine • Function: diffusion, absorption, secretion
Simple Cuboidal • Location: kidney tubules • Function: diffusion, absorption, secretion
Simple Squamous • Location: capillaries, air sacs of lungs, Bowman’s capsule • Function: diffusion, absorption, secretion
Stratified Squamous • Location: skin • Function: protection against abrasion, pathogens, and chemical atttack
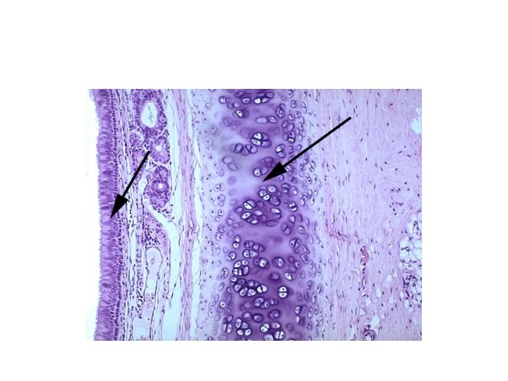
Ciliated Pseudostratified Columnar Epithelium • Location: trachea, bronchi • Function: protection and secretion
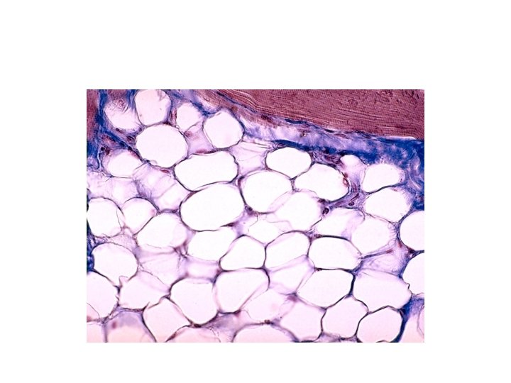
Adipose • Location: deep to skin especially at sides, buttocks, breasts, around eyes, and kidneys • Function: padding, cushion, insulation, energy storage
Dense (white) Fibrous Connective Tissue • Location: tendons, ligaments, covers muscles • Function: attachment, support
Elastic Cartilage • Location: external ear, epiglottis • Function: support
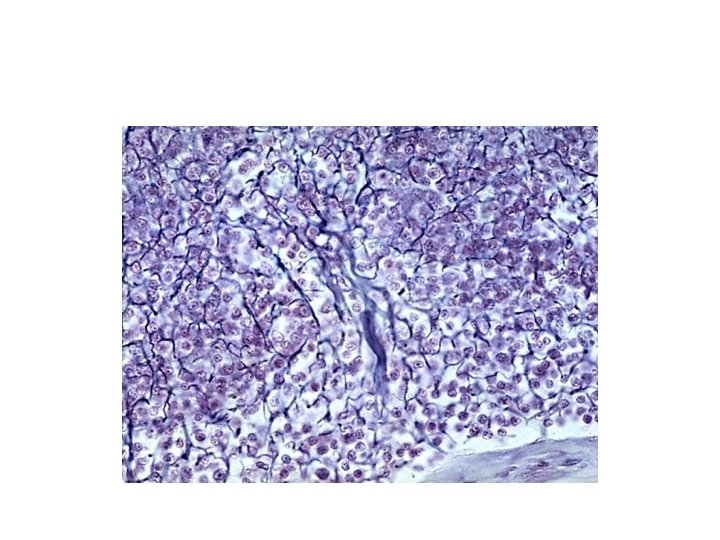
Reticular Connective Tissue • Location: liver, kidney, spleen, lymph node, bone marrow • Function: supporting framework
Areolar Connective Tissue • Location: deep to dermis of skin, between muscles, around blood vessels, joints, and nerves • Function: cushions organs, provides support
Hyaline Cartilage • Location: between the ribs and sternum, trachea, bronchi, nasal septum • Function: support and friction
Elastic Cartilage • Location: external ear, epiglottis • Function: support
Bone • Location: skeletal system • Function: structure and support