THE SYNAPSE WHERE NERVE IMPULSES CONVERT TO NEUROTRANSMITTERS


















- Slides: 18
 
	THE SYNAPSE WHERE NERVE IMPULSES CONVERT TO NEUROTRANSMITTERS BY A S VISHWAKARMA www. sanger. ac. uk/. . . /gfx/070305_synapse_300. jpg
	The synapse A gap (about 20 nm) Where the nerve impulse passes from one cell to the next The electrical signal (the action potential) a chemical signal to cross the gap between the cells Neurotransmitter The neurotransmitter crosses by diffusion This creates a small delay.
	Designer signals Neurotransmitters give the nerve signal more specificity Neurotransmitters also control the operation of the nervous system by inhibition or excitation Many drugs that try to cure problems in the nervous system operate at synapses.
	Neurotransmitters and hormones Neurotransmitters are hormones working over a very short distance Some of them work both at synapses and in the circulatory system E. g. Adrenalin (epinephrin).
	1. Action potential arrives at terminal button Vesicle storing neurotransmitter Ca 2+ channel Membrane receptor for neurotransmitter
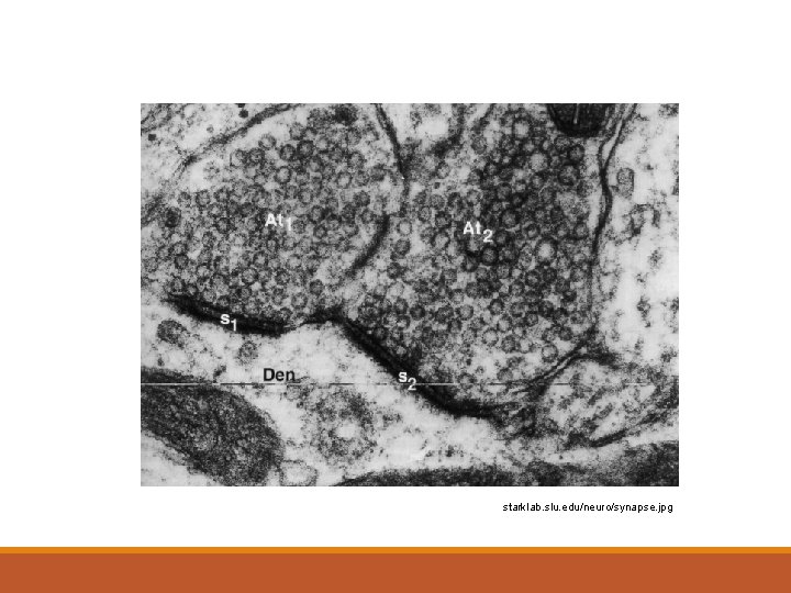
	starklab. slu. edu/neuro/synapse. jpg
	3. Ca 2+ stimulates vesicles to fuse with membrane 2. Depolarisation opens Ca 2+ channels Ca 2+ enters terminal button Ca 2+ © 2016 Paul Billiet ODWS Ca 2+ 4. Exocytosis of neurotransmitter It diffuses 20 nm across the synaptic cleft
	The passage across the synapse An action potential travels down an axon to the terminal buttons The membrane of a terminal button depolarises Voltage-gated Ca 2+ channels to open Ca 2+ ions flood into the terminal button This stimulates hundreds of synaptic vesicles, packed with neurotransmitter, to fuse with the membrane of the terminal button Exocytosis The Ca 2+ ions are then pumped out again.
	5. Neurotransmitter receptor sites on the postsynaptic membrane are ion channels. They open when the neurotransmitter binds 6. Localised depolarisation as ions leak in or out of membrane.
	The passage across the synapse Neurotransmitter diffuses across cleft to postsynaptic membrane Neurotransmitter molecules bind with specific receptor sites on postsynaptic membrane The receptor sites are ligand-gated ion channels These channels let Na+ ions in or K+ ions out causing localised depolarisation of the membrane.
	7. Action potential generated which travels down the postsynaptic cell. 8. Neurotransmitter destroyed by enzymes in the cleft. Stops signal being perpetuated.
	A new action potential If the localised depolarisations build up to the nerve cell threshold, a full action potential will be produced This will travel away, down the postsynaptic neuron The action of the neurotransmitters stops: (i) as they dilute by diffusion in the synaptic cleft (ii) by hydrolysis through the action of enzymes there Important: The signal must not be perpetuated indefinitely
	The neuromuscular junction is a synapse The motor end plate is the terminal button of a motor neuron that makes contact with a muscle cell The motor end plate releases the neurotransmitter acetylcholine that ultimately causes the muscle cell to contract
	biology. clc. uc. edu/fankhauser/Labs/Anatomy_. . .
	education. vetmed. vt. edu/Curriculum/VM 8054/Lab. . .
	Blocking synapses ¢Poisons ¢Psychotic drugs ¢Medication ¢Botox
	Nip & tuck Botox = a neurotoxin produced by a bacterium Chlostridium botuninum It causes food poisoning (botulism) The toxin blocks the release of acetyl choline neurotransmitter to muscles Causes muscle paralysis Cosmetically used to smooth lines and creases Medically used to relax muscles that causing illnesses such as spasms and strabismus (cross-eyed).
	Neuro-active pesticides Neonicotinoids mimic the neurotransmitter acetylcholine Nicotinoids cannot be broken by the enzyme in the synapse So the signal continues Causing paralysis These pesticides have been associated with honey bee deaths in many countries.