The SPLEEN HHHoldorf Normal Anatomy Accessory Spleen Splenic






































































- Slides: 70
The SPLEEN HHHoldorf Normal Anatomy Accessory Spleen Splenic Calcifications Splenic Cysts Benign Splenic tumors Splenic abscess Splenic Infarct Splenomegaly Splenic Artery Aneurysm Visceral Heterotaxy (polysplenia /Asplenia Splenic Trauma
Ultrasound Technique �The normal spleen is difficult to image, as it is almost totally surrounded by ribs and gascontaining organs. �The recommended technique is to place the patient in a right lateral Decubitus position and scan with a 3. 5 to 5 MHz, medium focus transducer through the lower inter-costal spacers. �Coronal long axis and transverse are routine views.
Right Lateral Decubitus Position for imaging the spleen
Anatomy and Normal ultrasound appearance �The spleen is an important organ located in the left upper quadrant (LUQ). It is located posterior to the stomach and superior and lateral to the left kidney. In its normal position, it is usually not clinically palpable. Vessels, lymphatics and nerves enter and leave the splenic hilum, which is located medially. The tail of the pancreas also sits in the region of the splenic hilum just anterior to the kidney.
Anatomy and Normal ultrasound appearance, cont… �The spleen is seen as a structure with uniform echo texture and moderate echogenicity and no visible parenchymal vessels. �Splenic vessels may be seen in the splenic hilum. �The spleen is considered to be slightly more echogenic than the liver. �The normal spleen measures less than 12 cm in length in the carnio-caudal (long axis) dimension. �The appearance of the spleen has been known to be called Crescent.
Crescent moon
Normal Anatomy �The spleen is a peritoneal organ located in the left upper quadrant between the stomach and the diaphragm. It is the largest lymphoid organ that filters damaged cells, microorganisms and particulate mater. It also delivers antigens to the immune system.
�The parenchymal echogenicity of the spleen varies. The average adult spleen measures: 12 cm – longitudinal 8 cm – transverse 4 cm – thickness
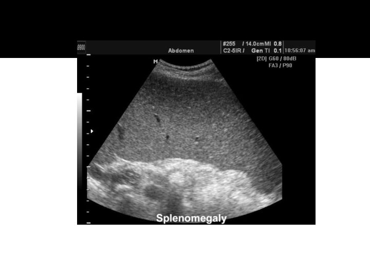
Splenomegaly �Splenomegaly is indicated with a longitudinal measurement > 12 cm or if the spleen is inferior to the lower pole of the left kidney.
Splenomegaly �Portal hypertension, due to cirrhosis, is the most common cause of congestive splenomegaly in adults. Other reasons include: Viral infections Bacterial infections Rheumatoid arthritis Hemolytic anemia Leukemia Lymphoma Congestive heart failure Sickle cell anemia
Splenomegaly cont… �The spleen is located in the LUQ, so when it enlarges, it extends in the anterior, medial and inferior directions. �Polycythemia Vera- blood disorder resulting in uncontrolled RBC production causing hyperviscosity and hypercoagulation. Polycythemia vera may be the cause of Splenomegaly Budd-Chiari Syndrome Portal vein Thrombosis Splenic Infarcts
Splenomegaly �Diffuse splenomegaly is the most common feature and manifestation of splenic disease. �The spleen may be enlarged in a variety of conditions including liver disease, blood disorders, infections, and neoplastic involvement. �With diffuse disease, the spleen may be less echogenic, more echoic, or have the same echogenicity as normal.
Splenomegaly cont… �Portal hypertension secondary to alcoholic cirrhosis is the most common cause of splenomegaly in adults. �In certain conditions, such as malignant lymphoma and polycythemia vera (a blood disorder in which the bone marrow makes too many red blood cells), the spleen may be massively enlarged and even extend into the pelvis.
Splenomegaly
Splenomegaly
Splenomegaly: 14. 3 cm
Normal Anatomy �The normal liver usually does not touch the spleen. If the left lobe is enlarged, it may extend into the left upper quadrant anterior to the spleen. The left lobe of the liver is also seen anterior to the spleen during the third trimester of pregnancy.
�The stomach, left kidney, pancreas and splenic flexure of the colon is located on the visceral surface of the spleen. �The fundus of the stomach and lesser sac are medial and anterior to the splenic hilum. The tail of the pancrease is located posterior to the stomach and lesser sac as it approaches the splenic hilum.
�The left kidney lies anterior an medial to the spleen. The pancreatic tail is located anterior to the upper pole of the left kidney in the splenic hilum.
Sagittal Image of a normal Spleen
Crescent shaped Trans Spleen
Sagittal measurement of a normal spleen
Splenic Hilum
Accessory Spleen �Developed in embryology, an accessory spleen is a small nodule of splenic tissue found apart form the main body of the spleen. �Found in approximately 10% of the population, it is most commonly found in the splenic hilum and adjacent to the tail of the pancreas. �May be mistaken for Splenomegaly or a focal mass.
�An accessory spleen is a normal variant that is commonly found. It may be confused with enlarged lymph nodes around the spleen, or a mass in the tail of the pancreas. �The majority of accessory spleens are easy to recognize sonographically as small rounded masses, less than 5 cm in diameter. They are located near the splenic hilum and have identical echogenicity to the adjacent spleen.
Accessory Spleen
Accessory Spleen
Accessory Spleen
Splenic Calcifications �Granulomas are focal lesions resulting from previous infections. They are seen as focal bright echogenic lesions, with or without shadowing. �Histoplasmosis and tuberculosis are the most common causes of granulomas. �Granulomas are also found in the liver and lungs. �Other splenic calcifications can be associated with Splenic artery or splenic artery aneurysms Splenic infarct (as they evolve)
Pathology �Sonography is useful to evaluate both focal and diffuse diseases of the spleen. Nuclear Medicine imaging may be useful in specific situations and ultrasound is often requested to characterize a focal defect seen on the radio-isotope liver-spleen scan.
Loculated Splenic Cyst
Splenic Abscess � ABSCESS- Splenic abscesses are most commonly caused by spread of adjacent infections (subphrenic, pancreatic, or perinephric abscesses). Immunocompromised patients are susceptible to splenic abscesses. Sonographically, the abscess is often a mixed lesion similar to a hematoma. Others may be anechoic or have low levels of internal echoes.
Splenic Abscess cont… �Splenic infection is associated with general abdominal sepsis. �Damaged splenic tissue is a good culture medium, susceptible to infection, with filtered bacteria available in the spleen. �Sonographically, splenic abscesses are seen as complex cystic lesions. The presence of gas may produce echogenic foci with an associated reverberation (comet-tail) artifact.
Splenic Abscess
Splenic Abscess
Pathology cont… �Infarcts: IV narcotic drug abuse leading to bacterial endodcarditis is a major cause of splenic infarction and its complication: Splenic abscess. �Embolic fragments from infected heart valves are carried in the bloodstream and lodge in the spleen causing an infarct which may heal or progress to an abscess. Infarcts may also be caused by leukemia and pancreatic cancer.
Splenic Infarct �Splenic infarcts are common in patients with bacterial endocarditis and splenic artery aneurysms. �They present as a peripheral wedge-shaped hypoechoic lesion. �The sonographic appearance of an infarct will change over time, as do hematomas. The initial ischemia and edema will appear as a hypoechoic wedge of tissue. With necrosis and liquification, the area will appear anechoic and ultimately will calcify.
Pathology – infarcts- cont… �Sonographically, fresh infarcts are well defined, hypoechoic wedge-shaped focal lesions. The base of the wedge is towards the capsule and the apex towards the hilum. With time, the lesion shrinks and becomes more echogenic. �Complete healing may occur.
Infarct
Splenic Infarct
Trauma � Splenic trauma may result in a parenchymal or subcapsular hematoma or splenic laceration with associated hemoperitoneum. � Clinical symptoms depend on the extent of blood loss. � If the splenic capsule is intact, a subcapsular hematoma may be seen as a peripheral crescentshaped collection. � If the spleen is lacerated, a hemoperitoneum will occur which may be located in the LUQ or extend into the other peritoneal compartments, including the paracolic gutters, pelvis, and right side. Conservative management is preferred to spenectomy if the patient is clinically stable.
Lacerated Spleen
Intraperitoneal bleed Ruptured Splenic capsule
Ruptured Splenic Capsule
Wandering Spleen �A condition in which the ligaments that hold the spleen in place weaken, causing the spleen to be misplaced, sometimes even into the pelvis. �Symptoms include an enlargement in the size of the spleen.
Wandering spleen found in the pelvis
Splenic artery aneurysm �Typically, a calcified circle is seen in the left upper quadrant on an x-ray and a splenic artery aneurysm is suspected. �Sonographically, a splenic artery aneurysm may appear as a cystic mass, or if calcified, a hyperechoic shadowing foci in the area of the splenic artery. The artery should be traced from the celiac axis along the anterior aspect of the pancreatic tail to the splenic hilum. Filling the stomach with water may aid in visualizing the pancreatic tail.
Visceral Heterotaxy (Polysplenia/Asplenia) �Heterotaxia: or situs ambiguous, is the disruption in the development of the normal asymmetric arrangement of abdominal organs and vessels. �Heterotaxia is a generic term defining the mis -arrangement of abdominal structures. �Polysplenia and asplenia are two classifications of heterotaxia.
�Sonographers encounter heterotaxia in the neonate patient. �The initial presentation is with symptoms of congenital heart disease or jaundice due to biliary tract abnormalities. �Polysplenia: defined as bilateral left-sidedness, is associated with the following abnormalities: Multiple LUQ spleens Biliary atresia / absent gallbladder Intestinal malrotation Azygous continuation of interrupted IVC Cardiac defects
�Asplenia, defined as bilateral right-sidedness, is associated abnormalities: with the Absent spleen Midline liver and gallbladder Intestinal malroatation Reversed positions of aorta and IVC Cardiac defects following
Liver spleen scan Nuclear Medicine
Liver Spleen Scan Nuclear Medicine
Homework: � 1. Submit an image of a normal spleen in Longitudinal and Transverse views. � 2. Submit an image of a splenic abscess. � 3. Submit an image of a splenic infarct. � 4. Submit an image of a splenic laceration with associated hemoperitoneum. � 5. Submit an image of a wandering spleen. � 6. Submit an image of an accessory spleen.
What are four functions of the spleen �A. breakdown of hemoglobin �B. Formation of bile pigments �C. Formation of antibodies �D. A reservoir for blood ?
Name five structures that appear as cystic splenic masses. � 1. Cystic degeneration of infarcts of hematomas. � 2. Cysts associated with adult polycystic kidney disease. � 3. Parasitic cysts of the spleen (echinococcal cysts) � 4. Epidermoid cysts of the spleen. � 5. Pancreatic pseudocysts
Describe the sonographic appearance of a splenic infarct. �The typical appearance of a splenic infarct is a peripheral wedge-shaped hypoechoic lesion
What type of hematoma is the result of splenic trauma in which the splenic capsule remains intact? �An intra-parenchymical or sub-capsular hematoma occurs with splenic trauma in which the splenic capsule remains intact.
What type of hematoma is the result of splenic trauma in which the splenic capsule ruptures? �A peri-splenic or intra-peritoneal hematoma occurs with splenic trauma in which the splenic capsule ruptures.
Splenic Trauma �Intraparenchymal or subcapsular hematomas result when the splenic capsule remains intact (DOES NOT RUPTURE).
Splenic Trauma cont… �Perisplenic or intraperitoneal hematomas results with capsule RUPTURE. After capsule rupture, fluid is typically demonstrated to be loculated around the spleen, although blood may spread within the peritoneal cavity.
FAST �Focused Assessment with Sonography for Trauma (FAST) is utilized in the emergency department to document the presence of free fluid in the peritoneal cavity. �The FAST exam also allows analysis for possible hemopericardium, hemothorax, solid organ damage, and retroperitoneal injury. 2007 AIUM
�The ultrasound appearance of intraperitoneal blood depends on the age, amount an physical state of the clot. �The timing of blood coagulation is not fully understood and acute bleeds may have various sonographic appearances. �Most medical professionals assume that hemoperitoneum will appear anechoic, although, one may see an irregular marginated, echogenic mass that may mimic that of an enlarged spleen.
�In a patient with a history of splenic rupture or surgery, splenic cells may implant throughout the peritoneal cavity (autotransplanatation) resulting in a ectopic spleen. �This occurrence is called POSTTRAUMATIC SPENOSIS. Spenosis is often asymptomatic and may mimic other pathologies.