THE SPECIALIZED YOUTH ATHLETE AND AVOIDING BURNOUT George
THE SPECIALIZED YOUTH ATHLETE AND AVOIDING BURNOUT George Friedhoff D. O. St. Vincent Charity Spine and Ortho Group
19 y/o lacrosse player p/w with 3 days of persistent axillary pain and swelling especially with weight-lifting. Pain remains despite reduction in overhead training but still practices lacrosse. PElocalized swelling with tenderness and firmness over left axilla. Supine there is prominent venous structures with left UE > right. Which of the following is the presumed diagnosis? a) b) c) d) e) Superficial phlebitis Pectoralis major tear Labral tear Effort induced thrombosis Lymphangitis
Objectives I. Define Sports Specialization II. Recognize and Interpret Overuse Syndrome III. Identify High Risk Injuries IV. Develop Prevention Plan
D. O. ’s Do It Better Osteopaths(D. O. s) Allopaths(M. D. ’s) • 60% Primary Care • 35% Primary Care • Back Pain • 84% of providers • Back Pain • 31% of providers • Foot Pain • 41% of providers • Foot Pain • 10% of providers
Youth Participation • 27 million youth between 6 to 18 y/o in team sports • National Council of Youth Sports • 60 million participate in some form of organized sports • Less than 6 y/o in organized sports • 1997: 6% • 2008: 12%
Defining Sport Specialization • Intense year round training with exclusion of other sports? • Hours spent in Sport A > Sport B & Sport C • Not a “single focus” but also training time • Starting sooner & sooner(Age Limit) • Multiple teams during single season
Introduction To Overuse • Centers For Disease Control and Prevention • > 5 million children suffer sport-related injury annually • Year-Round Specialized Training • Safe Kids Survey • 9 out 10 parents underestimate length of recovery • 25% of adult athletes
Burnout & Overtraining Syndrome • Open Access Journal of Sports • 80% of youths quit by age 15 • Non-functional overreaching • Overtraining Syndrome • Series of psychological, physiological and hormonal changes that result in decreased performance • Fatigue • Lack of Enthusiasm
Preventing Overtraining/Burnout • 1) Keep practice fun • 2) Take 1 -2 days off per week • 3) Permit longer scheduled breaks from training & competition focusing on cross-training • 4) Be in tune with their bodies • Organizations • National Youth Sports & Safety Institute( www. NYHSI. org)
Who Is Responsible? • 1 -Coaches • 2 -Parents 10 -Child
Clinical Presentation • VAGUE MSK COMPLAINTS • Pain • Decreased Performance • Limping • Swelling • Physical Exam • Stature • Strength • Flexibility
Trends In Sports Specialization • Children 6 Years Or Younger • 9% in 1997 • 12% in 2008 • 77% of HS AD’s Notice Trend • ↑ USTA (70% by 14 & 95% by 18) • Growing Number of Travel Leagues
Risk Factors For Overuse Injury
Physes Vs. Apophyses
Classification of Overuse Injuries 1) Pain In Affected Area After Physical Activity 2) Pain Without Restricting Performance 3) Pain With Restricting Performance 4) Chronic Pain Even At Rest
Overuse Injuries: Predisposing Factors Extrinsic Factors • Training Errors • Excessive Volume • Excessive Intensity • Rapid Increase • Sudden Change in Type • Inadequate Recovery • Faulty Technique • Equipment • Psychological Factors • Environmental Conditions • Inadequate Nutrition Intrinsic Factors • Malalignment • Muscle Weakness • Muscle Imbalance • Lack of Flexibility • Sex • Size • Body Composition • Other • Genetic Factors • Endocrine Factors • Metabolic Conditions
Thoracic Outlet Syndrome • Costoclavicular space-clavicle and 1 st rib • Hyperabduction syndrome • Overhead sportspeople • Poor posture-scapular protraction • Scapular dyskinesis • Anterior tilt
Thoracic Outlet Syndrome Presentation • Symptoms-pain, numbness & weakness • Venous engorgement • Clinical tests • Adson’s test-enhances sensitivity with doppler flow • Roos test-most sensitive
Thoracic Outlet Syndrome Management • Physical Therapy • Pectoral and scalene stretching • Joint mobilization of 1 st rib • Scapular and scapulothoracic mobilization • Thoracic extension and brachial plexus exercises • 3 to 6 months • Anticoagulation & thrombolysis • Thoracic outlet decompression • Unresponsive neurogenic • Vascular compromise
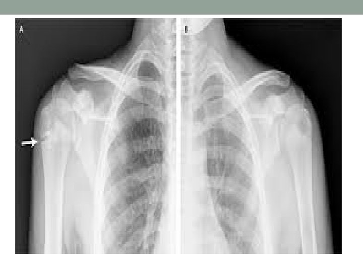
Axillary Vein Thrombosis “effort thrombosis” • Paget-von Schrotter Syndrome • Compression • Costoclavicular Space • Clavicle & 1 st rib • Subclavian Muscle & 1 st rib • Presentation-fatigue & heaviness • Physical Exam • Superficial veins prominent • Venography • Rest and Anticoagulation
Little Leaguer’s Shoulder • Olsen et al. • 6 innings with 7. 9 months versus 4 innings with 5. 5 months • 11 -13 years of age • Proximal humeral physis • Repetitive rotational stress
Little Leaguer’s Shoulder Management • Radiographs-Gasser & Carson • Widening • Sclerosis • Cystic changes • Treatment • Progressive throwing program • Proper mechanics • 3 months
Little League Elbow • Humeral origin of UCL • 8 -15 years of age • Medial elbow pain with throwing • Widening of apophysis • Rest & biomechanical assessment
Shoulder Overuse Prevention
Pars Interarticularis • Insidious Onset • 48. 5% youth athletes with back pain • Progression to non-union-14 -70% • Oblique plain films • Scotty Dog
Management Imaging of Choice • MRI • No radiation • 85% & 95% • SPECT scan • Radiation • 85% • MRI vs. SPECT Treatment Plan • Goal-Pain Free • Rest-3 months • 57 youth soccer players(optimal results) • Physical Therapy • Bracing ?
Endurance Athletes • American Academy of Pediatrics • Triathlons Are Safe • Marathons • 10% Rule • Heat Stress • Nutrition • Total Caloric Intake • Iron • Calcium
Growth And Development • Menarche • Amenorrhea • Pre-Selection • Female Triad • Boys vs. Girls
Will Early Specialization Get Me To the Pros? • With the exception of: • Swimming, diving, gymnastics and figure skating
What is the Goal? • Pie In The Sky? • Professional Pie • Area of Specialization • 0. 2%-0. 5% make it pro • Promote Lifelong Physical Activity • Unfulfilled Childhood Dreams
American Dream
Social Risks- “I Just Want To Have Fun” • Overdependence • Social Isolation • Problem Solving Skills • Maladaptive Behaviors
Money Is The Root Of All Evil • Youth Sports Movement • $7 Billion Industry • Youth Sports Tourism • Fastest Growing Segment in Travel • Columbus Dispatch • Non-profit Groups-$5 Billion/Year in 2010
Odds of Going Pro Odds of a high school football player making it to the NFL 1 in 6, 000 Odds of a hgh school baseball player making it to 1 in 4, 000 MLB Odds of a high school basketball player making it to the NBA 1 in 10, 000 Odds of a high school soccer player receiving a full ride to a Div I or II School 1 in 90 The above is taken from a study on youth sports by Michigan State University. It surveyed 10, 000 children ages 5 -14 nationwide.
A Parent’s Influence • YOUTH FOOTBALL PARENT OUT OF CONTROL - You. Tube
What To Tell Parents? 1) Well-Rounded Individual Leads To Success Ø Late Specialization Works 2) Enjoyment/Intrinsic Motivation 3) Supportive Not Authoritative 4) No Penalty For Starting Late
Summary 1) Specialization in a single sport before adolescence is discouraged 2) Clinicians should work with parents and coaches to strive for early recognition of overuse injuries 3) Be alert for signs and symptoms of overtraining including decline in performance, weight loss, apathy and fatigue 4) High risk injuries can lead to nonunion, result in chronic pain, and/or lead to the development of degenerative joint disease
19 y/o lacrosse player p/w with 3 days of persistent axillary pain and swelling especially with weight-lifting. Pain remains despite reduction in overhead training but still practices lacrosse. PElocalized swelling with tenderness and firmness over left axilla. Supine there is prominent venous structures with left UE > right. Which of the following is the presumed diagnosis? a) b) c) d) e) Superficial phlebitis Pectoralis major tear Labral tear Effort induced thrombosis Lymphangitis
Questions
References • 1. Mostafavifar AM, Best TM, Myer GD. Early sports specialization, does it lead to long term • • • problems? BJSM. 47: 1060 -1061, 2013. 2. Difiori JP, et al. Overuse injuries and burnout in Youth Sports: AMSSM. Clin J Sports Med. 24: 3 -20, 2014. 3. Malina RM. Early Sports Specialization: roots effectiveness, risks. Curent Sports Med Rep. 9: 364 -371, 2010. 4. Jayanthi N. et al. Sports Specialization in young athletes: evidence based recommendations. Sports Health. 251 -257. 2013 5. Hecimovich, M, et al. Sports Specialization in youth: a literature review. JACA. 41: 32 -41, 2004. 6. Kaleth AS, Mikesky AE. Impact of early sports specialization. J Phys ED Rec Dance 81: 2938, 2013. 7. Brenner JS. Overuse injuries, overtraining and burnout in child and adolescent athletes. Pediatrics. 119: 1242 -1245, 2007 8. Baker J, Cobley S, Frasier-Thomas J. What we know about early sport specialization? Not Much! High Ability Studies. 20. 77 -89, 2009. 9. Thompson, Dixie. ACSM Society Fit Page. ACSM. 15: 1 -7. 10. Committe on Sports Medicine. Intensive Training and Sports Specialization in Young Athletes. Pediatrics 106: 154 -159. 200 11. Tamara, C, et al. NATA Position Statement: Prevention of Pediatric Overuse Injuries. Journel of Athletic Training. 46(2): 206 -220. 2011.
- Slides: 50