The Small Intestine The start of the small

  • Slides: 17
Download presentation
The Small Intestine

The Small Intestine

The start of the small intestine 2 Liver 3 Gall bladder Stomach 1 4

The start of the small intestine 2 Liver 3 Gall bladder Stomach 1 4 Pancreas Small intestine 5

Milk and Food Colouring Demo

Milk and Food Colouring Demo

Bile works like washing up liquid… it splits big fat globules up into small

Bile works like washing up liquid… it splits big fat globules up into small fat globules.

The Liver and the Gall Bladder • The liver produces bile • The gall

The Liver and the Gall Bladder • The liver produces bile • The gall bladder stores bile • Bile splits big blobs of fat into smaller blobs which are easier for enzymes to digest

The Pancreas • The pancreas produces and releases the enzyme lipase • Lipase breaks

The Pancreas • The pancreas produces and releases the enzyme lipase • Lipase breaks down fats into fatty acids and glycerol Fat Lipase Fatty acids + glycerol

Now large insoluble food molecules have been broken down into small soluble molecules Carbohydrate

Now large insoluble food molecules have been broken down into small soluble molecules Carbohydrate Fat Protein e. g. starch Amylase Lipase Pepsin

Now large insoluble food molecules have been broken down into small soluble molecules Carbohydrate

Now large insoluble food molecules have been broken down into small soluble molecules Carbohydrate Protein Fat e. g. starch Amylase Lipase Pepsin

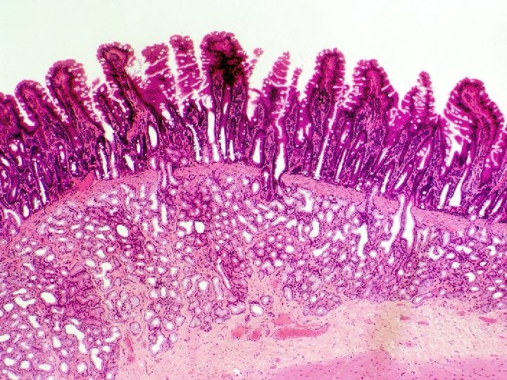
The Small Intestine • All the nutrients from digestion are absorbed by the small

The Small Intestine • All the nutrients from digestion are absorbed by the small intestine • The surface of the small intestine is covered in villi The Villi • Villi increase the surface area of the small intestine. This means that more nutrients can be absorbed and faster.

Features of the villi Thin epithelium The skin of each villus is only one

Features of the villi Thin epithelium The skin of each villus is only one cell thick, this allows absorption to happen very fast. Lacteal The lacteal absorbs fatty acids and glycerol Good Blood Supply The blood capillaries absorb simple sugars and amino acids

The Large Intestine

The Large Intestine

Large Intestine Large intestine Appendix Rectum All that enters the large intestine is waste

Large Intestine Large intestine Appendix Rectum All that enters the large intestine is waste material and water.

The Large Intestine • The large intestine absorbs excess water from the waste material

The Large Intestine • The large intestine absorbs excess water from the waste material The Rectum • The rectum stores faeces until it is convenient to expel it