THE SKELETAL SYSTEM I BONE STRUCTURE FUNCTION A
THE SKELETAL SYSTEM
I. BONE STRUCTURE & FUNCTION A. FUNCTION 1. 2. 3. 4. 5. 6. Support Protection Movement Blood formation Electrolyte Balance Acid Base Balance
I. BONE STRUCTURE & FUNCTION B. Structure 1. Shape – – Long bones Short bones Flat bones Irregular bones
Long bones Short bones
Flat bones Irregular bones
Classify the bone types to the left
B. Structure 2. Parts of Bone – Epiphyses • Contains red bone marrow • Spongy bone and compact bone
B. Structure 2. Parts of Bone – Diaphysis • Shaft of bone • Contains yellow bone marrow (stores fat) • Spongy and compact bone
B. Structure 2. Parts of Bone – Periosteum – Epiphyseal plate § Allows for growth in bone § Found only in children
B. Structure 3. Mature Bone Osseous Tissue
3. Mature Bone • Called Lamellar bone • Two kinds § Compact § Spongy (cancellous)
3. Mature Bone • Spongy (cancellous) • contains trabeculae • contains spaces
3. Mature Bone Compact Bone • • • Dense, few spaces Haversian canals Concentric Lamellae
I. BONE STRUCTURE & FUNCTION C. Histology Background minerals 1. Matrix
C. Histology 2. Bone cells
Osteoblasts
Osteocytes Osteoclasts
Osteoclasts Osteoblasts Osteocytes
Name C, D & E C = Osteoclast D = Osteoblast E = Osteocytes
D. Membranes 1. Periosteum: Periosteum a. The external covering of bone
D. Membranes 2. endosteum: a. Found on internal bone surface b. covers trabeculae of spongy bone c. in marrow cavities
II. BONE GROWTH & DEVELOPMENT A. Two Patterns of Bone Formation 1. Intramembranous bones – originate between sheet-like layers of connective tissues
II. BONE GROWTH & DEVELOPMENT A. Two Patterns of Bone Formation 2. Endochondral bones – begin as masses of hyaline cartilage that bone tissue later replaces.
II. BONE GROWTH & DEVELOPMENT B. Growth in Long Bones 1. grow by interstitial growth at epiphyseal plates a. rate of cartilage growth is balanced by replacement with bone b. end of growth as cartilage cells slow down division
II. BONE GROWTH & DEVELOPMENT B. Growth in Long Bones 2. bones grow in width by appositional growth a. Osteoblasts in periosteum: secretes bone matrix b. Osteoclasts in endosteum: removes bone matrix (a little slower)
Appositional Growth – New bone forms at ridges around blood vessels – Periosteum becomes endosteum
Appositional Growth – New lamella formed – More bone added forming osteon
II. BONE GROWTH & DEVELOPMENT C. Hormones 1. growth hormone from pituitary: stimulates growth in childhood a. Gigantism: excessive growth hormone b. dwarfism: not enough growth hormone or thyroid hormones
II. BONE GROWTH & DEVELOPMENT C. Hormones 2. thyroid: regulates activity of growth hormone 3. sex hormones: promote growth spurt, induce epiphyseal plate closure estrogen: maintains bone density
III. Bone Maintenance & Repair A. Bone remodeling: 1. Life long process 2. Local areas of bone are destroyed and rebuilt 3. Repairs microdamage caused by normal wear and tear
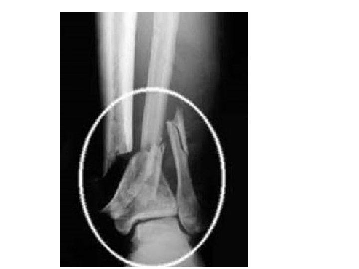
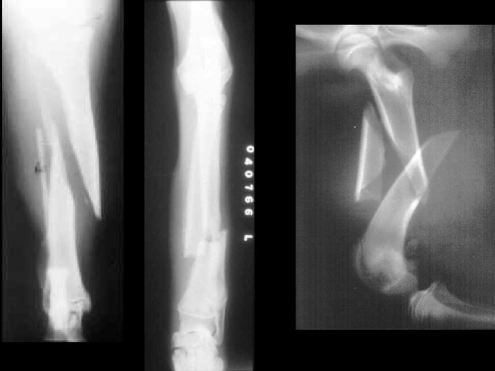
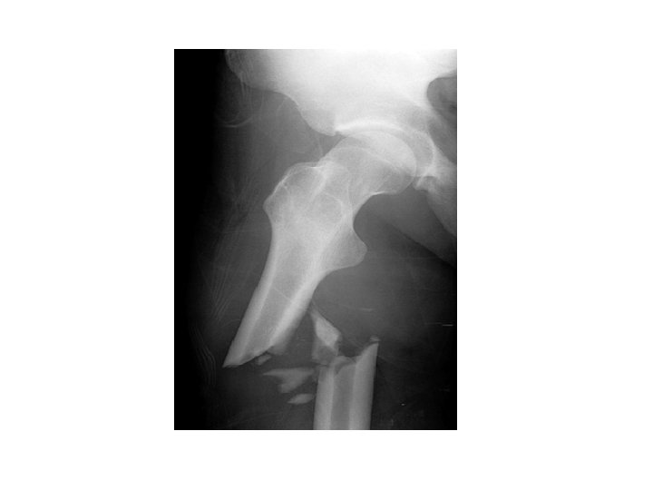
B. Fractures 1. Simple bone breaks cleanly, does not break through skin
B. Fractures 2. Compound broken ends protrude through the skin, risk of bone infection
B. Fractures 3. Greenstick Does not break completely Greenstick: (children)
III. Remodeling and Repair C. Repair 1. Hematoma forms 2. Spongy bone forms in area of hematoma
C. Repair 3. Osteoblasts lay down new bone matrix 4. Remodeling
III. Calcium Homeostasis A. Blood Ca 2+ Level 1. Has a very narrow range 2. Ca 2+ Required for – For normal muscle contraction – Nerve impulses
III. Calcium Homeostasis A. Blood Ca 2+ Level 3. Abnormal levels – Hypocalcemia causes marked jitteriness and convulsive seizures
III. Calcium Homeostasis A. Blood Ca 2+ Level 3. Abnormal levels – Hypercalcemia the most common lifethreatening metabolic disorder associated with cancer
III. Calcium Homeostasis B. Bone’s Role 1. Major storage site for calcium 2. Calcium moves – Into bone as osteoblasts build new bone – Out of bone as osteoclasts break down bone
III. Calcium Homeostasis C. Bone, Calcium and Hormones 1. Parathyroid Hormone – Increases blood Ca 2+ levels 2. Calcitonin Decreases blood Ca 2+ levels
III. Calcium Homeostasis D. Homeostatic Imbalances • Osteopenia – Inadequate ossification • Osteoporosis – Bone absorption outpaces deposition – Fractures common – More common in elderly women
D. Homeostatic Imbalances • Rickets – Lack of vitamin D or calcium during growth – Bowed legs – Deformed pelvis Rickets
D. Homeostatic Imbalances • Osteosarcoma – Bone cancer – Usually between ages 10 -25 – Survival rate is about 50% with amputation
D. Homeostatic Imbalances • Bone spur – Abnormal projection at one site of bone due to overgrowth – Common in aging bones
IV. The Skeleton There are 206 bone
IV. The Skeleton A. Organization 1. Axial Skeleton – Skull – Vertebral Column – Vertebrae – Ribs 2. Appendicular Skeleton – limbs – girdles
B. Male vs. Female Skeleton - Pelvis a. spines farther apart in male b. hole in ischium: smaller and triangular in female c. angle across pubic symphysis = pubic arch: less than 90° and d. distance between more sharply ischia larger in angled in male female
C. Bone Markings – 1. Kinds
1. Kinds • Articulating Surfaces For formation of a joint • Openings • Depressions & Enlargements For muscle attachment To allow blood vessels or nerves to pass through
C. Bone Markings – 2. Articulating surfaces Head A rounded projection set off from the body of a bone by a constriction (the neck) ex. head of femur
C. Bone Markings – 2. Articulating surfaces Any large articulating surface, may be concave or convex Condyle
C. Bone Markings – 2. Articulating surfaces A smooth, flat surface, generally small Facet
C. Bone Markings – 2. Articulating surfaces Fossa A shallow depression
C. Bone Markings – 3. Enlargements & Processes Process generic term for bone projection that serves as a point for attachment of other structures
C. Bone Markings – 3. Enlargements Epicondyle projection or swelling to the side of or above a condyle
C. Bone Markings – 3. Enlargements a sharp, slender projecting process Spine
C. Bone Markings – 3. Enlargements a small rounded projection Tubercle
C. Bone Markings – 3. Enlargements Turberosity a large rounded roughened projection
C. Bone Markings – 3. Enlargements a large blunt projection Trochanter
C. Bone Markings – 3. Enlargements a prominent border or ridge Crest
C. Bone Markings – A major 3. Enlargements branch or division off of the main body of a bone Ramus
C. Bone Markings – 4. Openings
C. Bone Markings – 4. Openings Meatus Canal like opening
C. Bone Markings – 5. Depressions Sulcus A shallow groove
C. Bone Markings – 5. Depressions Fovea A very shallow groove
C. Bone Markings – 5. Depressions Fissure A deep groove
That’s All Folks!
- Slides: 77