The Optic Neuritis Treatment Trial ONTT R R





















![Ancillary Tests • neurologic examination • MRI • glucose, antinuclear antibody [ANA], and fluorescent Ancillary Tests • neurologic examination • MRI • glucose, antinuclear antibody [ANA], and fluorescent](https://slidetodoc.com/presentation_image/252dd1396a91aa98bc09c48f7245827c/image-22.jpg)











![Protective factors • Male gender • Optic nerve head swelling [ papillitis ] • Protective factors • Male gender • Optic nerve head swelling [ papillitis ] •](https://slidetodoc.com/presentation_image/252dd1396a91aa98bc09c48f7245827c/image-34.jpg)


- Slides: 36
The Optic Neuritis Treatment Trial ( ONTT ) R. R. Battu Narayana Nethralaya Bangalore
Classical Demyelinating Optic Neuritis • Young adults between 20 and 45 years • F: M = 3: 1 • Monocular retro ocular pain particularly on eye movement (? Upward) • Followed several hours or a few days later by rapid visual loss occurring over a few days to a week • Clinical examination : Dyschromatopsia (mostly red/green) and loss of contrast out of proportion to visual acuity loss. • Afferent pupillary defect/RAPD • Fundus shows either normal fundus or mild/moderate disc edema • About 3 weeks later, visual acuity starts improving and continues to improve over the next 6 months.
Typical Demyelinating Optic Neuritis • Acute to subacute onset – progressive over a few days to 2 weeks • Young adult patient, typically less than 45 years of age, but may be of any age • Periocular pain (90%), especially with eye movement – preceding or coinciding with visual loss • Unilateral loss of visual acuity – variable severity • Reduced contrast and colour vision – out of proportion to loss of visual acuity • Exacerbation of symptoms with increased body temperature (Uhthoff’s phenomenon) • Normal (65%) or swollen (35%) optic nerve head MS
Typical Demyelinating Optic Neuritis • Ipsilateral relative afferent pupillary defect • Mild periphlebitis (venous sheathing) • Visual field defect – almost any type • Spontaneous visual improvement in >90% starting within 2– 3 weeks regardless of treatment • No deterioration in vision when corticosteroids are withdrawn • Pallor of the optic disc is seen within 4– 6 weeks from onset of visual loss • Ancillary investigations suggestive of MS
Atypical Optic Neuritis • Age >50 or <12 years • Bilateral simultaneous or rapidly sequential ON and chiasmitis • Severe visual loss – no light perception • Progressive visual loss for >2 weeks from onset • Painless visual loss • Pain following onset of visual loss or persistent pain for >2 weeks from onset • Severe pain that restricts eye movements or wakes patient from sleep • Unusual ocular findings: Marked anterior and/or posterior segment inflammation / Marked periphlebitis (venous sheathing) /Markedly swollen optic nerve head / Marked optic disc haemorrhages /Macular star
Atypical Optic Neuritis • Lack of any visual recovery within 5 weeks or continued deterioration in visual function • Symptoms or signs of a systemic disorder other than MS • African or Asian race • Family history • Corticosteroid-dependent optic neuropathy/ deterioration in vision when corticosteroids are withdrawn • Previous history of neoplasia • Ancillary investigations suggestive of a diagnosis other than MS (NMO, sarcoidosis, Behçet syndrome)
Differential Diagnosis of Optic Neuritis • Corticosteroid-responsive optic neuropathies – Sarcoidosis, systemic lupus erythematosus, Behçet syndrome, autoimmune ON, NMO, chronic relapsing inflammatory optic neuropathy • Other inflammatory conditions – Post-infection, post-vaccination, neuroretinitis, acute disseminated encephalomyelitis • Compressive optic neuropathies – Primary tumours, gliomas, meningioma, pituitary tumours – particularly craniopharyngioma in children, metastases, sinus mucocoeles, arterial aneurysms • Ischaemic optic neuropathies – Anterior and posterior ischaemic optic neuropathy, giant cell arteritis, diabetic papillopathy
Differential Diagnosis of Optic Neuritis • Infective conditions – • Toxic and nutritional optic neuropathy – • Posterior scleritis, maculopathy, retinopathy, big blind spot syndrome Periorbital infection – • Leber hereditary optic neuropathy Ocular causes – • Vitamin B 12 deficiency, tobacco-ethanol amblyopia, methanol intoxication, ethambutol toxicity Inherited conditions – • Tuberculosis, syphilis, Lyme disease, viral ON, toxocariasis or helminthitis (usually visible retinal/optic head lesion) Cellulitis, severe suppurative sinusitis Factitious visual loss – Intentional or ‘hysterical’
Multiple Sclerosis ( MS ) • Schumacher Criteria – 1965 – clinical • Poser Criteria – 1983 – MRI and spinal taps • Mc. Donald’s Criteria – 2001 – MRI and clinical
Multiple Sclerosis Relapsing / Remitting Multiple Sclerosis ( RRMS) ---- 55% Primary Progressive Multiple Sclerosis (PPMS) --- 15% Secondary Progressive Multiple Sclerosis (SPMS) ---- 30% Progressive Relapsing Multiple Sclerosis (PRMS) --- 5%
The Optic Neuritis Treatment Trial Interventional (drug), randomised single blind placebo controlled trial • To determine the natural history of vision in patients who suffer optic neuritis. • To assess the beneficial and adverse effects of corticosteroid treatment for optic neuritis. • To identify risk factors for the development of multiple sclerosis in patients with optic neuritis.
Questions asked (1) Does treatment with either oral prednisone or intravenous methylprednisolone followed by oral prednisone improve the visual outcome of acute optic neuritis? (2) Does either treatment speed recovery of vision? and (3) Are the complications of treatment insignificant in relation to the magnitude of the treatment effect?
• Treatment phase ( ONTT ) • Long term follow up phase ( Longitudinal optic neuritis study [LONS] )
• Oral prednisone (1 mg/kg/day) for 14 days – 156 patients randomised • Intravenous methylprednisolone (250 mg every 6 hours) for 3 days, followed by oral prednisone (1 mg/kg/day) for 11 days – 151 patients randomised • Oral placebo for 14 days – 150 patients randomised
Follow up • 7 follow up visits during the first 6 months – Primary outcome at 6 months • • At one year Yearly upto 1997 2001 – 2002 2006
Baseline and Follow up tests • • • Neurological evaluation Visual Acuity Contrast Colour Fields Vision specific quality of life questionnaire
• Parameters assessed – Visual acuity ( BCVA ) --- Logmar for analysis – Colour vision --- Ishihara and FM-100 Hue – Visual fields --- Humphrey 30 -2 and Goldman – Contrast Sensitivity --- Pelli – Robson Chart
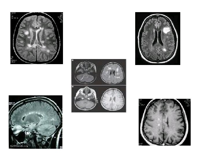
Classification of Changes on Brain Magnetic Resonance Images Graded 0 to 4 based on the following criteria – Number of lesions – Size and shape of lesions: • <3 mm, > 20 mm – Location of lesions: • periventricular, peripheral white matter, grey matter, brainstem, cerebellum and corpus callosum
Baseline characteristics • Eligibility criteria: – 8 to 45 years – unilateral optic neuritis, with visual symptoms of 8 days' duration or less – relative afferent pupillary defect – field defect in the affected eye
Ancillary Tests • neurologic examination • MRI • glucose, antinuclear antibody [ANA], and fluorescent treponemal antibody absorption [FTAABS 1] tests • CXR • MS classification by Poser’s classification
CSF evaluation and MRI • The presence of oligoclonal bands in the CSF strongly correlated with the future development of MS • However, the presence of oligoclonal bands strongly correlated with an MRI positive for one or more lesions • THERE IS NO NEED TO DO A CSF ANALYSIS IN CLASSICAL DEMYELINATING ON, HOWEVER, AN MRI WOULD BE MANDATORY TO ASSESS PROGNOSIS
Results • 448 patients at entry …… 300 at 15 year f. u. • M: F = 22. 8% : 77. 2% [ 1: 3 ] • Age : 31. 8 +/- 6. 7 years
The Clinical Profile of Optic Neuritis Experience of the Optic Neuritis Treatment Trial Optic Neuritis Study Group (Arch Ophthalmol. 1991; 109: 1673 -1678)
Visual Acuity in ON • Course of VA recovery – – 79% start recovering in 3 weeks and 96% start recovery in 5 weeks At 1 year: 93% had VA ≥ 20/40 and 69% had achieved 20/20 At 15 years: 92% had VA ≥ 20/40 and 72% had achieved ≥ 20/20 85% of patients with VA ≤ 20/200 at presentation had EVENTUAL VA of ≥ 20/40 In classical monocular demyelinating ON, VA recovery occurs soon and most patients achieve normal or near normal vision. This is across all treatment groups with no statistical difference between groups The best predictor of EVENTUAL acuity was initial acuity Final VA was worse in patients EVENTUALLY diagnosed as MS
The role of steroid • THERE IS NO ROLE OF ORAL STEROID – In the 5 year outcome studies, oral steroid use was significantly associated with recurrent optic neuritis • THERE IS A ROLE FOR IV METHYLPREDNISOLONE AND THIS IS TO SHORTEN THE PERIOD OF RECOVERY • THIS DOES NOT AFFECT FINAL VISUAL ACUITY • THE INDICATIONS FOR IVMP IN CLASSICAL DEMYELINATING ON – MONOCULAR PATIENTS – SEVERE BILATERAL VISUAL LOSS – OCCUPATIONAL REQUIREMENTS • ** REVIEW VA AFTER A MONTH – LACK OF IMPROVEMENT MANDATES EVALUATION FOR OTHER CAUSES OF ON
Recurrence of ON • 28% develop recurrence in 5 years, 35% develop recurrence in 10 years • At 5 (10) years, higher in the oral pred group 41% (44%), than in the placebo/IVMP group 25% (29%) • More likely in patients who subsequently diagnosed as MS
Risk of MS • OVERALL – – AT 10 YEARS ------ 38% – AT 15 YEARS ------ 50% • The influence of gender – 35% of males and 75% of females ultimately develop MS ( a non ONTT observation ) • The 2 year follow up study showed that IVMP has a protective role in the development of MS, but this was not significant after the 3 rd year
MRI and risk of developing MS • CIS – Clinically isolated event [ monocular optic neuritis ] • CDMS – Clinically definite MS
Without MRI findings • At 5 years ----- 16% • At 10 years ----- 22% Only 3% increased risk after 10 years • At 15 years ------ 25%
With MRI findings • At 5 years ----- 37% with 1 -2 lesions 51% with ≥ 3 lesions • At 10 years ------ 56% with ≥ 1 lesion 20% increased risk after 10 years • At 15 years ------ 75% with ≥ 1 lesion
Protective factors • Male gender • Optic nerve head swelling [ papillitis ] • Atypical presentation – severe optic disc swelling – Disc or peripapillary haemorrhages – Retinal exudates – Absent pain – Vision no PL
Brief Bibliography • PN Shams, GT Plant. Optic Neuritis: A Review The International MS Journal 2009; 16: 82– 89 • Multiple Sclerosis Risk after Optic Neuritis: Final Optic Neuritis Treatment Trial Follow-Up. The Optic Neuritis Study Group*. Arch Neurol. 2008 June ; 65(6): 727– 732 . • The Clinical Profile of Optic Neuritis. Experience of the Optic Neuritis Treatment Trial. Optic Neuritis Study Group. Arch Ophthalmol. 1991; 109: 1673 -1678 • Roy W. Beck, Robin L. Gal, Treatment of Acute Optic Neuritis. A Summary of Findings From the Optic Neuritis Treatment Trial. ARCH OPHTHALMOL/VOL 126 (NO. 7), JULY 2008 • Long-term Brain Magnetic Resonance Imaging Changes After Optic Neuritis in Patients Without Clinically Definite Multiple Sclerosis Optic Neuritis Study Group. Arch Neurol. 2004; 61: 1538 -1541
ONTT • The results of the ONTT are applicable to monocular demyelinating typical optic neuritis • Beware of applying these results to all cases presenting with “optic neuritis” • In general, the visual outcome is usually good irrespective of treatment • The MRI (T-2 weighted 1. 5 Tesla ) is an extremely important prognosticator future MS