The left frame shows marked narrowing as seen























- Slides: 23
• The left frame shows marked narrowing as seen by angiography. The right frame shows the histology of the narrowed area. There is marked thickening of the wall due to fibrosis of the intima. This results from coronary atherosclerosis, The red mass in the narrowed lumen is a postmortem clot. • What is the difference between a postmortem clot and a thrombus?
What is the difference between a postmortem clot and a thrombus? • Postmortem clots are not attached to endothelium; they are gelatinous, rubbery, dark red at the ends and yellowish elsewhere. Thrombi are attached to endothelium and are traversed by pale grey fibrin strands that can be seen on cut section; they are more firm but fragile.
DESCRIBE THE LESION
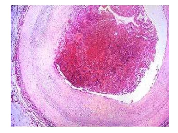
• The lumen of the coronary artery is completely occluded by a dark red thrombus. • What are the most common and the most important cause of arterial thrombosis ?
• What are the components of thrombus? Fibrin, platelets, and red cells. • What are the various fates of thrombi? Propagation, embolism, dissolution, and organization with recanalization.
Which of these fates is clinically most significant in the arterial circulation vs. the venous circulation? • The most significant problem with arterial thrombi is propagation leading to luminal obstruction, resulting in infarction of the tissue supplied. Important examples include myocardial and cerebral infarction. • In contrast, the most significant problem with venous thrombi is the possibility of potentially fatal embolization into the pulmonary circulation
• What are the major similarities between a myocardial and a cerebral infarct? • The major similarity is in the etiology. Both types of infarcts are commonly caused by thrombotic occlusion of the arteries supplying them. Thrombi usually form on the same underlying disease process (ie, atherosclerotic arterial disease). • What are the major differences between a myocardial and a cerebral infarct? • A myocardial infarct typically features coagulative necrosis, which heals by fibrosis and leaves behind a fibrous scar. In contrast, a cerebral infarct is typically liquefactive necrosis, in which dead tissue is digested without being replaced by fibrosis, leaving behind a cystic, cavitary lesion. • What is the mechanism of formation of hemorrhagic infarcts in brain? • Brain infarcts can be pale or hemorrhagic. Hemorrhagic infarcts are due to arterial occlusion followed by reperfusion. Examples are embolic occlusion followed by fragmentation of emboli or occlusive vasospasm that later is relieved.
Liver, chronic passive venous congestion Ø This condition is caused by resistance or obstruction to the outflow of venous blood from the liver, as may occur in chronic right heart failure (congestive heart failure). Ø The area surrounding the central veins (centrizonal) becomes intensely congested, and the hepatocytes in the central zone may even become necrotic due to hypoxia. Ø These centrilobular areas are seen as the dark red spots on the cut surface. Ø The alternating pale areas represent the periportal hepatocytes, which have sustained a lesser degree of hypoxia. This gross appearance is also called nutmeg liver. Ø Remember that in the hepatic lobules, blood flows from the periportal to the central zones, and hence the centrilobular areas are more vulnerable to hypoxia than are the peripheral hepatocytes.
What caused enlargement of the liver, edema, and fullness of the neck veins in this patient? This patient had ischemic heart disease due to coronary thrombosis. This led to failure of the left ventricle and, eventually, of the right ventricle, giving rise to congestive heart failure. Because of impaired venous return to the heart, the neck veins become distended, the liver becomes enlarged, and fluid collects in interstitial spaces (edema).
Gross cut surface Lung acute pulmonary congestion and edema s e d h y d r o s t a t i c p r e s s u r e ,
Lung, chronic passive venous congestion - Gross • This is caused by any chronic condition that retards the outflow of pulmonary venous blood from the lungs to the left side of the heart • (----- name some causes-------). • Pooling of blood in the lung capillaries and associated microhemorrhages produce a dark brown discoloration, noted here. • In addition, septal fibrosis causes the lung to become stiff. The fibrosis causes the lung to feel firm to the touch; also, the fibrosis causes the cut edges to be raised or to stand up. This gross appearance is also called brown induration of the lung.
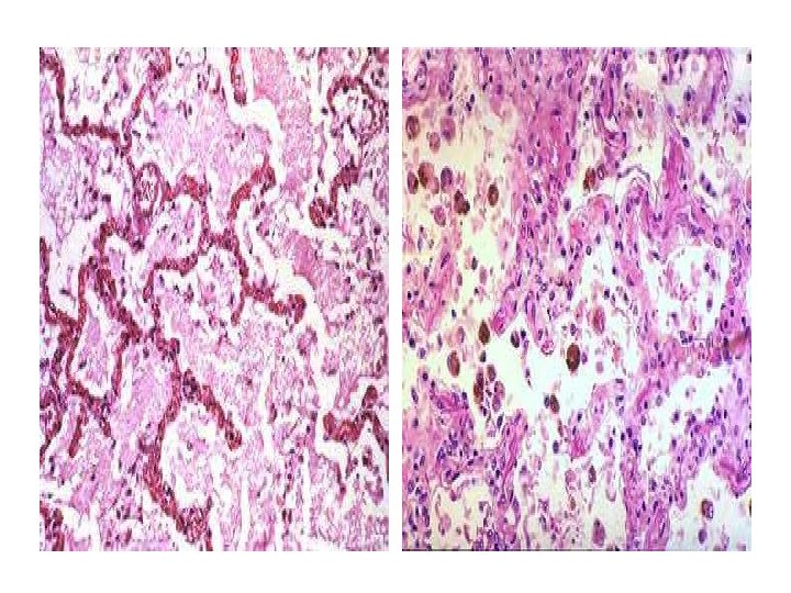
• What is the brown pigment that is derived from hemoglobin? • Hemosiderin. • What is the pathogenesis of pulmonary edema? • Left ventricular failure (eg, caused by a myocardial infarct) causes pump failure, and secondarily there is impaired flow of blood from the lung to the left atrium. This causes increased hydrostatic pressure in pulmonary alveolar capillaries and subsequent transudation of fluid into alveoli.
• How does this type of edema differ from that seen in acute inflammation? • The fluid in pulmonary edema is a transudate (ie, it is protein poor, has low specific gravity, and does not contain inflammatory cells). Edema in inflammation is an exudate. • What effect would such a histologic picture have on gaseous exchange in the lung? • It would be markedly impaired • What might the symptoms be? • Dyspnea, orthopnea, paroxysmal nocturnal dyspnea, and cough.
• What are the major morphologic changes in multiple organ failure in a patient who dies of shock? • Kidneys: Acute tubular necrosis. • Brain: Laminar cortical necrosis. • Lungs: Shock lung (diffuse alveolar damage) with hyaline membranes (seen mainly in septic shock). • Heart: Foci of necrosis, hemorrhage, contraction band necrosis. GI: Hemorrhages. • Liver: Central hemorrhagic necrosis, fatty change.
• • What is the name of that type of thrombi? Vegetations. What complications may arise from this lesion? Infected vegetations on the mitral valve may embolize systemically and cause infarcts, abscesses, or septicemia. • Could this person develop a cerebral infarct? What would be the appearance of such an infarct of the brain? • This patient could develop a cerebral infarct from embolization. The infarct would be an area of liquefactive necrosis along with an acute inflammatory response to the bacteria in the embolus, resulting in brain abscess formation.