THE INTEGUMENT YOUR WATERPROOF COAT FUNCTIONS Maintains homeostasis







































- Slides: 39
THE INTEGUMENT YOUR WATERPROOF COAT
FUNCTIONS • Maintains homeostasis • Protection (keratinization) • Synthesis of chemicals and hormones • Excretion of water, wastes, salts • Absorption of fat soluble vitamins (A, D, E, K) • Sense organ • Production of melanin
STRUCTURE • 2 LAYERS: – EPIDERMIS – OUTER, THINNER LAYER (. 1 mm); keratinized, stratified squamous epithelial tissue – DERMIS – inner thicker layer; connective tissue – DERMAL/EPIDERMAL JUNCTION (basement membrane)
STRUCTURE • Beneath the dermis, loose, subcutaneous layer rich in adipose and areolar tissue – HYPODERMIS or SUPERFICIAL FASCIA
EPIDERMIS • 4 types of cells: – Keratinocytes – 90% of all epidermal cells, arranged in layers – Melanocytes – 5% - skin color and UV light filter – Langerhans – immunity – Merkel - sensory
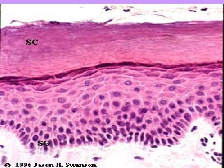
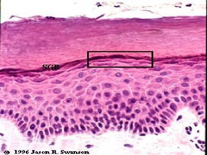
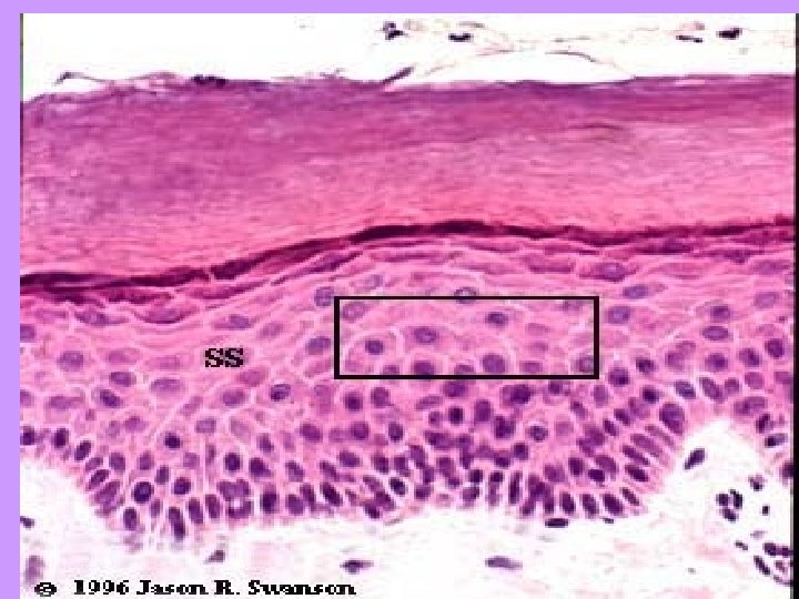
LAYERS OF EPIDERMIS 1. Stratum basale – single layer of columnar cells – mitosis here 2. Stratum spinosum – 8 – 10 layers of irregularly shaped cells with prominent desmosomes – cells rich in RNA to make keratin 3. Stratum granulosum – 2 – 4 layers deep – filled with keratohyalin granules
LAYERS OF EPIDERMIS 4. Stratum lucidum – clear – only in thick skin – cells filled with eleiden that becomes keratin 5. Stratum corneum – horny layer – 25 – 30 rows of dead cells – cytoplasm of cells filled with keratin – membranes thick
DERMIS • AKA = corium – 2 layers 1. Papillary – areolar - fine collagenous and elastic fibers – dermal papillae 2. Reticular – dense, interlacing collagen and elastin – dense irregular connective tissue
DERMIS • “True” skin; strength, reservoir storage area for water, electrolytes, specialized sensory receptors. Muscle fibers, hair follicles, sweat and sebaceous glands, bvs • At each hair follicle, arrector pili muscles
SURFACE MARKINGS • Dense fibers of white collagenous fibers in reticular layer of dermis oriented in patterns – LANGER’S LINES (cleavage lines) • Thin epidermis conforms tightly to dermal papillae – gives characteristic ridges
SKIN COLOR • Melanocytes • Tyrosine -> melanin (tyrosinase is the enzyme!!) • With age, decreasing tyrosinase • THE DREADED GRAY HAIR
SKIN COLOR • Carotene (yellowish pigment) also adds to skin color • BVs dilate, blush • BVs constrict, pale • Pigmentation?
APPENDAGES OF THE SKIN 1. HAIR 2. NAILS 3. GLANDS
1. HAIR • • • COVERS MOST OF BODY… EYELASHES, NOSE AND EAR HAIR LANUGO TERMINAL HAIR OF EPIDERMAL ORIGIN HAIR PAPILLA PROTRUDES INTO BOTOM OF FOLLICLE (GERMINAL MATRIX)
1. HAIR (cont’d) • As cells of germinal matrix divide and move up, become keratinized • Shaft – visible part • Medulla – inner core • Cortex – outer core • Each follicle -> 2 or more sebaceous glands (sebum) • Growth ~ 1/2 “/ month
2. NAILS • • Heavily keratinized epidermal cells Nail body = visible part Root hidden by cuticle Nail body nearest root = LUNULA
3. GLANDS A. Sweat ( sudoriferous) 1. Eccrine • most numerous • produce sweat (water, salt, ammonia, urea and uric acid) • eliminate waste 2. Apocrine • Deep in subcutaneous layer in armpit, areola, + pigmented perianal areas
3. GLANDS B. • • • C. • • • SEBACEOUS Oil or sebum Everywhere but palms and soles Lipids have antifungal acivity CERUMINOUS Modified apocrine sweat glands Secret cerumin Protects ear canal from dehydration
SURFACE FILM
HOMEOSTASIS • Set point = 37 o. C • Heat loss by radiation, evaporation, conduction, convection • 80% through skin • Rest is respiratory, urinary, digestive
OTHER STUFF… • • • BURNS SKIN CANCER AGING FINGERPRINTS VERNIX CASEOSA
BURNS • • • 1 o 2 o 3 o First 24 hours, dehydration After 24 hours, infection
SKIN CANCER • Basal cell carcinoma • Squamous cell carcinoma • Malignant melanoma