THE FLAP TECHNIQUE FOR POCKET THERAPY Dr Malek


































- Slides: 34
THE FLAP TECHNIQUE FOR POCKET THERAPY Dr. Malek Abdulmatlob
• Describe Techniques for Access and Pocket Depth • Reduction/Elimination • Incisions • Reconstructive Techniques • Describe Modified Widman Flap • Describe Undisplaced Flap • Describe Apically Displaced Flap • Define Flaps for Reconstructive Surgery • A-Papilla Preservation Flap • B-Conventional Flap
• several techniques can be used for the treatment of periodontal pockets. • The periodontal flap is one of the most commonly used procedures.
Flaps are used to accomplish the following: 1. Increase accessibility to root deposits. 2. Eliminate or reduce pocket depth by resection of the pocket wall. 3. Expose the area to perform regenerative methods.
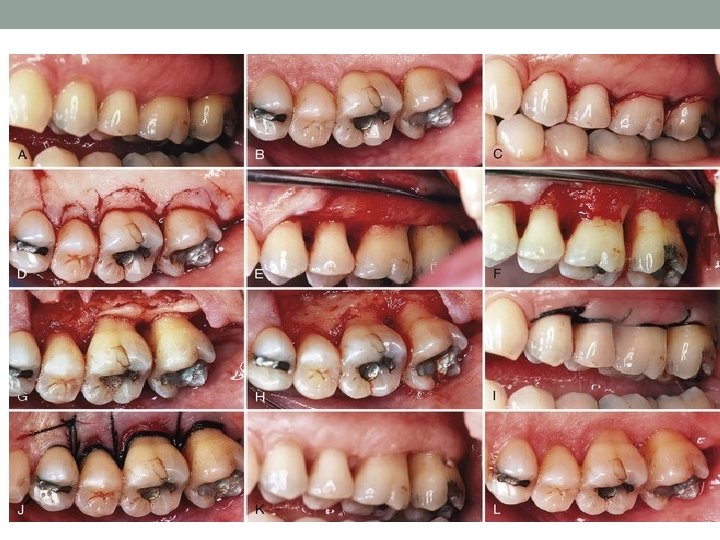
Flaps for Access and Pocket Depth reduction / elemination 1 - The modified Widman flap (access only). 2 -The undisplaced flap (access + elimination). 3 - The apically displaced flap (access + elimination). The decision of whether to perform one or the other depends on two important anatomical landmarks: pocket depth and the location of the mucogingival junction. (Presence & width of attached gingiva)
Modified Widman Flap : • Its purpose is to expose the root surface to facilitates instrumentation but does not attempt to reduce pocket depth. • It also remove the pocket lining. • Its purpose is NOT to eliminate or reduce pocket depth • Only some reduction of pocket depth that occurs during healing by tissue shrinkage
Modified Widman Flap : • The flap utilizes 3 incisions: 1 - internal bevel incision starts close (0. 5 - 1 mm away from the gingival margin). 2 - crevicular incision. 3 - interdental incision.
• Granulation tissue is removed, and the exposed root surfaces are scaled and planed. • Bone architecture is corrected if needed. • Flaps are sutured by interrupted suture.
Horizontal Incisions: Pocket epithelium & granulation tissue First (internal bevel) incision Second (crevicular) incision Third (interdental) incision.
Locations of the internal bevel incisions for the different types of flaps.
Scallopings required for the different types of flaps
Undisplaced flap: • The purpose is to eliminate pocket depth. • It does this by removal of the entire pocket wall. • Similar to gingivectomy in this respect. (considered an internal bevel gingivectomy).
• Not preferred in esthetic zone. • Before starting, the operator should determine that sufficient attached gingiva will remain after the procedure. • Otherwise, it may create a mucogingival problem.
• The flap utilizes 3 incisions: 1 - internal bevel incision starts just below the bleeding points created by using a pocket marker. 2 - crevicular incision. 3 - interdental incision.
• The internal bevel incision in an undisplaced flap procedure is started at the same point where an external bevel incision is started in a gingivectomy procedure. • This type of incision, starting just below the bleeding points, removes the pocket wall completely. • The undisplaced flap is therefore considered an internal bevel gingivectomy.
• After removal of granulation tissue, SRP is performed. • Osseous recontouring if needed • The flap is returned; it should rest at the tooth-bone junction. • The flap margin may be trimmed to that level • A continuous sling suture is used to secure the facial and the lingual or palatal flaps
Examples of two methods for eliminating a palatal pocket. One incision is an internal bevel incision made at the area of the apical extent of the pocket. The other procedure uses a gingivectomy incision, which is followed by an internal bevel incision.
Apically displaced flap: • An apically displaced flap can be performed for 2 purposes: 1 - for pocket elimination. (full-thickness flap) 2 - to increase the width of attached gingiva- mucogingival surgical procedure. ( partial thickness flap)
• The flap utilizes 4 incisions: 1 - internal bevel incision starts (0. 5 -1 mm away from the gingival margin). Same as modified widman flap 2 - crevicular incision. 3 - interdental incision. 4 - bilateral vertical releasing incisions extending into the alveolar mucosa.
• After removal of all granulation tissue, scaling and root planing, and osseous surgery if needed, the flap is displaced apically. • a sling suture around the tooth prevents the flap from sliding to a position more apically • The vertical incisions are closed by interupted sutures, holding the flap at the new apical position.
FLAPS FOR REGENERATIVE SURGERY • currently regenerative therapy includes the use of bone grafts and membranes. • The flap design should therefore be such that the maximum amount of gingival tissue and papilla are retained to cover the material(s) placed in the pocket.
Two flap designs are available for regenerative surgery: 1 - papilla preservation flap 2 - the conventional flap with only crevicular incisions.
The Papilla Preservation Flap: • The flap design of choice for regenerative procedures. • It retains the entire papilla which covers the lesion. • It is impossible to perform a papilla preservation flap when the interdental space is very narrow
• The flap utilizes the following incisions: 1 - A crevicular incision is made around each tooth with no incisions across the interdental papilla. 2 -A lingual semilunar incision across the interdental papilla: the incision dips apically from the line angles of the tooth so that the papillary incision is at least 5 mm from the crest of the papilla.
• An Orban knife is then introduced into the semilunar incision and the papilla is severed from its base. • The papilla is then elevated from the lingual or palatal aspect and elevated intact with the facial flap.
THANK YOU