The Connective Tissue Dr Nabil Khouri MD Ms
ØThe Connective Tissue Dr. Nabil Khouri. MD, Ms. C, Ph. D
The Connective Tissue Ø Found throughout the body; most abundant and widely distributed in primary tissues l Connective tissue proper l Cartilage l Bone l Blood
Characteristics of Connective Tissue • CT Functions • Binding and support • Protection • Insulation • Transportation Ø Connective tissues have: l Mesenchyme as their common tissue of origin l Varying degrees of vascularity l Nonliving extracellular matrix, consisting of ground substance and fibers
Fundamental Cells Type Ø Ø Fibroblasts – connective tissue proper Chondroblasts – cartilage Osteoblasts – bone Hematopoietic stem cells – blood • White blood cells (WBCs) • plasma cells • Macrophages • mast cells
Connective Tissue cells Figure 4. 6
CT cells from Mesenchyme
Structural Elements of Connective Tissue • Ground substance: – unstructured material that fills the space between cells • Fibers: – collagen, elastic, or reticular • Cells: – fibroblasts, chondroblasts, osteoblasts, and hematopoietic stem cells
Ground Substance Interstitial (tissue) fluid l Adhesion proteins: fibronectin and laminin l Proteoglycans: glycosaminoglycans (GAGs) l Functions: • As a molecular sieve through which nutrients diffuse between blood capillaries and cells Ø Fibers l Collagen – tough; provides high tensile strength l Elastic – long, thin fibers that allow for stretch l Reticular – branched collagenous fibers that form delicate networks Ø
Loose CT in mesentery (areolar CT) Collagen Elastin Mesothelial cell
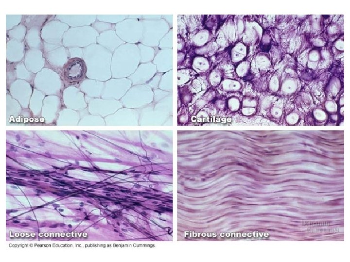
Adipose CT
Areolar CT
Reticular CT
Dense Regular Figure 4. 8 e
Dense irregular CT The only nuclei visible here are fibroblasts & fibrocytes NOTE that collagen fibers are wider than nuclei
Dense Irregular Fibrous CT Figure 4. 8 f
Dense irregular & regular CT NOTE fibrocytes in rows
Compare loose to dense in the dermis Loose CT Dense CT
Bones and Cartilages of the Human Body Figure 6. 1
Cartilage Ø Ø Ø Contains no blood vessels or nerves Surrounded by the perichondrium (dense irregular CT) that resists outward expansion Three types – hyaline, elastic, and fibro-cartilage
Connective Tissue: Cartilage Ø Hyaline cartilage l Amorphous, firm matrix with imperceptible network of collagen fibers l Chondrocytes lie in lacunae l Supports, reinforces, cushions, and resists compression l Forms the costal cartilage l Found in: embryonic skeleton, the end of long bones, nose, trachea, and larynx
Connective Tissue: 1. Hyaline Cartilage
Hyaline cartilage
Connective Tissue: 2. Elastic Cartilage Figure 4. 8 h
Elastic Cartilage
Fibro-cartilage Ø Highly compressed with great tensile strength Ø Contains collagen fibers Ø Found in menisci of the knee and in intervertebral discs
Connective Tissue: 3. Fibro-cartilage Figure 4. 8 i
Bone tissue (osseous tissue)
Connective Tissue: Bone (Osseous Tissue)
Compact Bone 2 1 3 4
Nervous Tissue Figure 4. 10
Muscle Connective tissue: 1. Skeletal Muscle
Skeletal muscle
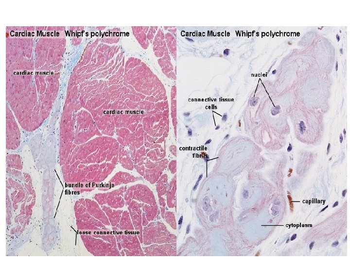
2. Cardiac Muscle Figure 4. 11 b
Cardiac muscle
3. Smooth Muscle Figure 4. 11 c
Smooth muscle
Cells derived from hematopoiesis
Connective Tissue: Blood Figure 4. 8 k
White blood cells found in CT Lymphocyte Eosinophil Neutrophil Monocyte
- Slides: 46