TESTIKEL BITESTIKEL och SDESLEDARE Kryptorchism Testiklarna stannar upp
TESTIKEL , BITESTIKEL och SÄDESLEDARE
Kryptorchism • Testiklarna stannar upp i sin vandring från bukhålan till pungen • Oftast på ena sidan • Bör sättas på plats av kirurg innan pojken fyllt 2 år, annars…
ATROFI • Minskat antal groddceller • Hyalin förtjockning av basalmembranen • Interstitiell fibros och till slut även av tubuli • Testikeln vill ha 35 grader varmt, inte 37!!!
NEOPLASIRISK!! • En retenerad testikel löper 35 gånger så stor risk att drabbas av groddcellscancer som en i normalläge • Risken ökar även för den andra testikeln • Ju högre upp testikeln fastnar, desto större är risken för tumörutveckling
INFEKTIONER • ORCHIT och EPIDIDYMIT • Orsakas av bakterier och virus • • • Tuberkelbacillen Spirocheter (syfilis) Gonococcer Colibakterier Chlamydia Påssjukevirus • Icke-bakteriell, granulomatös
TORKVERING
VARICOCELE
INFERTILITET • • • ORCHIT VARICOCELE CRYPTORCHISM STRÅLNING ALKOHOL INSEKTSMEDEL UREMI, SVÄLT, DIABETES VASEKTOMI MEDFÖDD SÄDESLEDARATRESI
GRODDCELLSTUMÖRER • 95 % av testistumörerna • Intratubulär grodcellsneoplasi (ITGCNU) är ekvivalent med cancer in situ i andra organ • Drabbar oftast 25 – 50 åringar • Vanligast i västvärlden, speciellt i Schweiz och Danmark
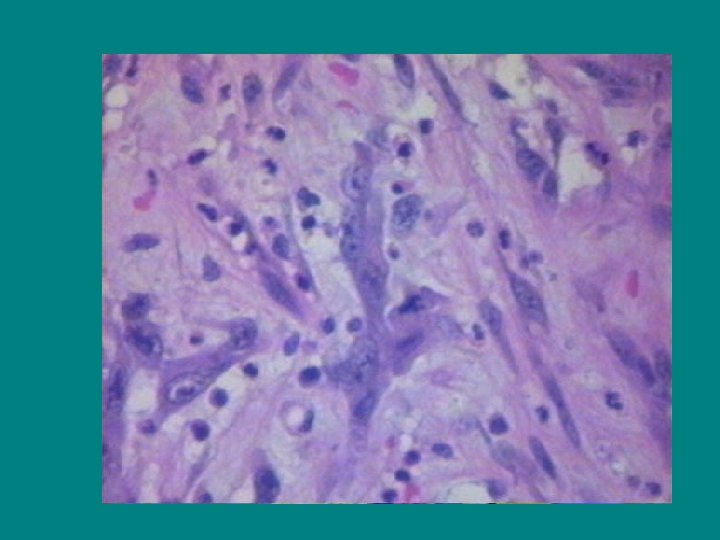
ITGCNU
ITGCNU
4 Huvudgrupper : • SEMINOM • EMBRYONAL CANCER • EXTRASOMATISKA • Gulsäckstumör • Choriocarcinom • SOMATISKA • Omogna och mogna teratom
SEMINOM • Solid, homogen, utan cystor eller större nekroser • Välavgränsad, men kan vara multifokal • Både strål- och cytostatikakänslig • Kan metastasera som annan typ av groddcellstumör
EMBRYONAL CANCER • Oftast som komponent i blandtumör • Cytostatikakänslig ; differentierar ut till moget teratom under behandling
CHORIOCARCINOM • Ovanlig, mycket aggressiv tumörkomponent • Kan tillbakabildas (ärr) i testikeln medan den metastaserar till lungor, hjärna och skelett
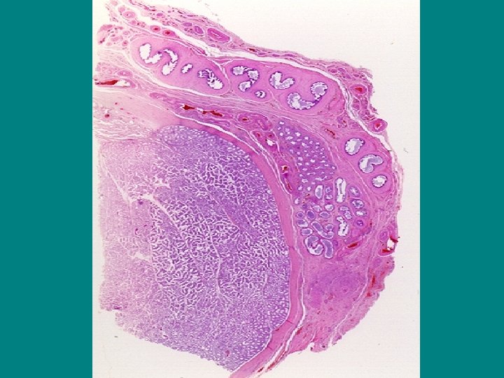
GULSÄCKSTUMÖR • Den vanligaste testistikeltumören hos pojkar upp till 9 år, då orelaterad till kryptorchism. Annars oftast komponent i blandtumör • Schiller. Duvalkropp
TERATOM: mogna omogna Kvinnor i alla åldrar BEN MAL Prepubertala pojkar BEN Postpubertala män MAL
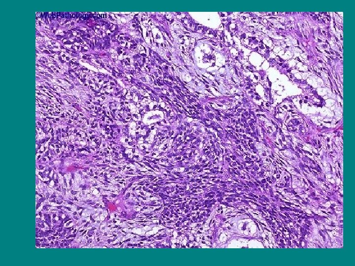
OMOGET TERATOM
OMOGET TERATOM
- Slides: 30