Tejidos Tejidos Conjunto de clulas similares que suelen




















































- Slides: 52
Tejidos
Tejidos �Conjunto de células similares que suelen tener un origen embrionario común y que funcionan en asociación para desarrollar actividades especializadas. �Formados por células y la matriz extracelular producida por ellas. �Cuatro tejidos básicos: epitelial, conjuntivo, muscular y nervioso.
Tejido Epitelial �También epitelio �Cubre superficies corporales y reviste cavidades: �Capa externa de la piel �Revestimiento de tubo digestivo �Vías respiratorias �Cavidades excretorias y reproductivas
�Consiste en células firmemente ajustadas entre sí que forman una capa continua o lámina de células. �Dos superficies: � 1. suele estar libre porque recubre una cavidad (luz del intestino) o cubre el cuerpo (capa externa de la piel). � 2. Unida al tejido subyacente por una membrana basal acelular, compuesta por: - Fibras y polisacaráridos
�Funciones: ü Protección ü Absorción ü Secreción ü Sensación
Clasificación de células epiteliales �Por su forma: � 1 - Escamosas Células delgadas y aplanadas � 2 - Cuboideas Cilindros cortos, aspecto cúbico como dados 3 - Cilíndricas o columnares Aspecto cilíndrico o como columnas, el núcleo cerca de la base de la célula •
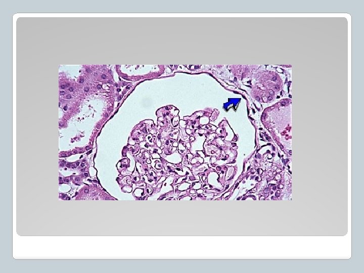
Clasificación del Tejido Epitelial � 1 - Simple ü Una sola capa de células ü Localización: sitios de secreción, excreción o absorción de sustancias. ü Ej. Revestimiento de túbulos renales
� 2 - Estratificado ü Dos o más capas de células ü Localización: donde se requiere protección. Ej. Capa externa de la piel, boca � 3 - Pseudoestratificado �Dan falsa impresión de formar capas �Las células descansan sobre la membrana basal, no todas se extienden a la superficie libre del tejido. �Ej. Parte de vías respiratorias
� Descripción: formado por células planas y dispuestas en una capa. � Localizaciones principales: Ø Sacos aéreos pulmonares Ø Revestimiento de vasos sanguíneos � Funciones: � Paso de materiales en sitios donde se requiere poca o ninguna protección y donde la difusión es la principal forma de transporte Epitelio Escamoso Simple
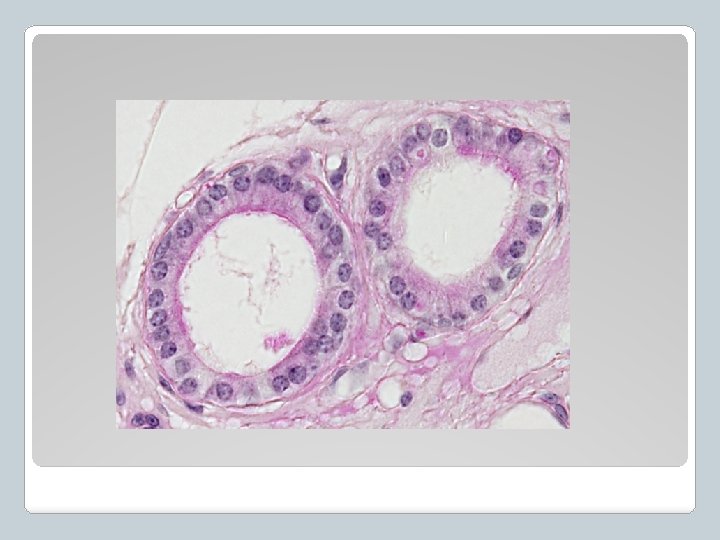
�Descripción: una capa de células, las células tienen forma de cilindros cortos, a veces microvellosidades para absorción. �Localizaciones principales: Ø Revestimiento de túbulos renales Ø Conductos glandulares �Funciones: �Secreción y absorción Epitelio cuboideo simple
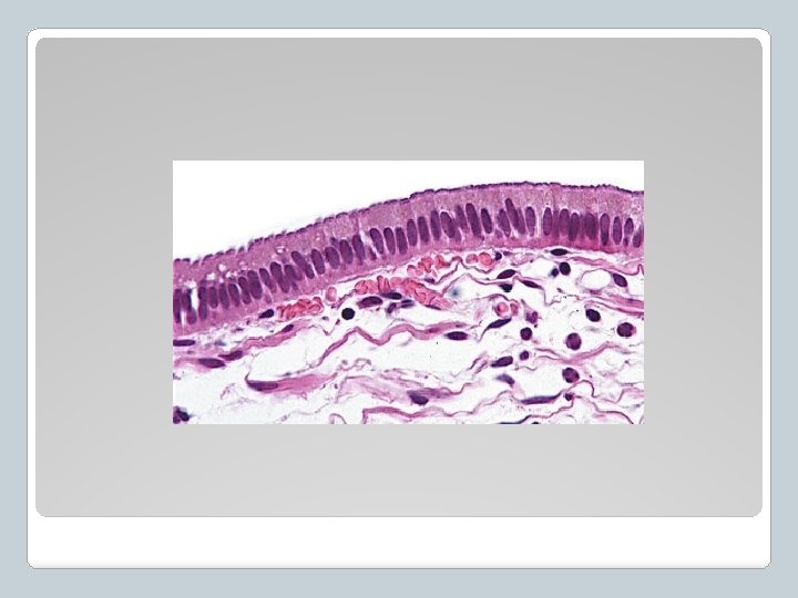
� Descripción: formado por una capa de células columnares, a menudo son ciliadas, tienen el complejo de Golgi muy desarrollado � Funciones: Ø Ø Secreción, especialmente de moco Absorción Protección Movimiento de la capa mucosa • Localizaciones principales: � Revestimiento de gran parte del tubo digestivo y vías respiratorias superiores Epitelio cilíndrico simple
Descripción: formado por varias capas de células, aplanadas y delgadas. Funciones: Protección Escaso transporte de materiales y absorción La capa externa se descama continuamente, es repuesta desde abajo Localizaciones principales: Piel, revestimiento de la boca, revestimiento vaginal Epitelio Escamoso Estratificado
Descripción: células ciliadas, se diferencia del epitelio cilíndrico en que no todas las células tienen la misma altura. Funciones: Protección Secreción Movimiento de moco Localizaciones principales: Algunas vías respiratorias, conductos de muchas glándulas Epitelio Cilíndico Pseudoestratificado
Glándula: una o más células epiteliales especializadas en la producción y secreción de una sustancia: Moco, sudor, leche, cera, saliva, hormonas o enzimas Clasificación de las glándulas 1. Exocrinas 2. Endocrinas Glándulas
Glándulas Exocrinas Secretan sus productos a una superficie epitelial libre, a través de un conducto o tubo. üCélulas caliciformes: células especializadas secretoras de moco, el cual lubrica las superficies y facilita el desplazamiento de materiales. üGlándulas sudoríparas Glándulas Endocrinas • Liberan sus productos (hormonas) en el líquido intersticial o la sangre, de aquí son transportadas en la sangre por el sistema circulatorio. • Carecen de conductos Clasificación
Ejemplos: üGlándula pituitaria üHipotálamo üTimo üGlándula pineal üTestículos üOvarios üTiroides üGlándulas adrenales üParatiroides üPáncreas
üLámina de tejido epitelial y una capa de tejido conectivo subyacente. Clasificación 1. Mucosa 2. Serosa Membrana Mucosa Reviste una cavidad corporal que se abre al exterior, como el tubo digestivo o vías respiratorias La capa epitelial secreta un moco que lubrica el tejido y protege de la desecación. § Tubo digestivo y vías respiratorias Membrana Epitelial
Membrana Serosa ü Reviste una cavidad corporal que no se abre al exterior del cuerpo. ü Epitelio escamoso simple sobre una capa delgada de tejido conjuntivo laxo. ü Secreta líquido en la cavidad que reviste. Ejemplos: • • • Membranas pleurales: revisten las cavidades pleurales de los pulmones Membranas pericárdicas: revisten la cavidad pericárdica del corazón Peritoneo: recubre la cavidad abdominal Membrana Epitelial
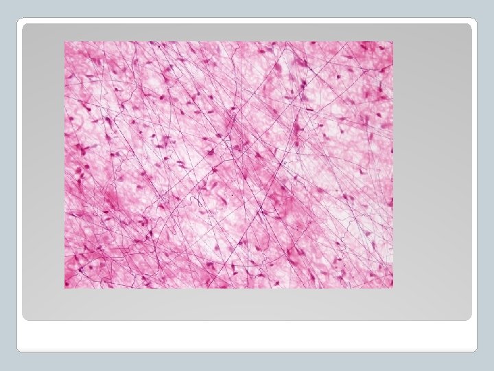
ü Conjuntivo ü Contienen relativamente pocas células ü Formado por una extensa sustancia intercelular que consisten en fibras disperas en una matriz (gel compuesto de polisacáridos). ü Las células de los distintos tipos de tejidos conectivos difieren en forma y estructura, tipo de fibras y matriz que secretan. Tejido Conectivo
Clasificación 1. 2. 3. 4. 5. 6. 7. 8. 9. Tejido conectivo denso Tejido conectivo laxo Tejido conectivo elástico Tejido conectivo reticular Tejido adiposo Cartílago Hueso Sangre Linfa Clasificación
Contiene tres tipos de fibras: 1. Elásticas 2. Colágeno 3. Reticulares ü Fibras de Colágeno • Tipo más numeroso • Formadas por colágeno (proteínas más abundantes en el cuerpo), proporcionan capacidad de resistencia a la tensión. • Onduladas y flexibles, permite permanecer intactas al estirarse Tipos de Fibras
ü Fibras elásticas • • • Se ramifican y fusionan para formar redes Regresan a su tamaño y forma original después de ser estiradas por una fuerza Formadas por proteína: elastina, componente estructural importante de estructuras que experimentan estiramiento. ü Fibras Reticulares • • Fibras ramificadas que forman redes muy pequeñas Compuestas de colágeno y glucoproteína • Conforma el armazón de órganos como hígado y ganglios linfáticos.
ü Fibroblastos • • • Producen fibras, los complejos de proteína y carbohidrato de la matriz. Liberan componentes proteínicos que pasan a formar parte de las fibras. Más activas en tejido en desarrollo Importantes para la cicatrización de heridas. Tejidos maduros: disminuye el número y actividad de los fibroblastos. ü Plasmocitos o células plasmáticas • • Se desarrollan a partir de los linfocitos B (glóbulo blanco). Secretan anticuerpos: proteínas que atacan o neutralizan sustancias extrañas en el cuerpo humano. Células especializadas del T. Conectivo
ü Macrófagos • • Células necrófagas del organismo. Vagan por los tejidos conectivos, limpiándolos de detritos celulares y fagocitando materia extraña y bacterias. ü Adipocitos • • • Células adiposas o células grasas Almacenan triglicéridos (grasa) Bajo la piel y alrededor de órganos como corazón y riñones. ü Mastocitos • • • Células cebadas Abundantes en los vasos que distribuyen sangre en el T. conectivo Producen histamina como respuesta a reacciones alérgicas o infecciones
Funciones Sostén Depósito de líquido y sales Envuelve nervios, vasos sanguíneos y músculos Junto con el tejido adiposo forma la capa subcutánea que une la piel a los músculos y otras estructuras subyacentes. Composición Fibras en todas direcciones Matriz semilíquida Tejido Conectivo laxo
Se encuentra en la capa inferior de la piel Muy fuerte Menos flexible que el T. conectivo laxo Funciones Sostén, transmisión de fuerzas mecánicas Composición Fibras de colágeno Tejido Conectivo Denso
Funciones Proporciona elasticidad Composición Haces de fibras elásticas paralelas Localización Estructuras que deben expandirse y recuperar su tamaño original. Ej. Pulmones, paredes de grandes arterias Tejido Elástico
Funciones Sostén Composición Fibras reticulares enlazadas Localización Forma el estroma de sostén de muchos órganos, como hígado, bazo y ganglios linfáticos. Tejido Conectivo Reticular
Funciones Almacenamiento de energía, aislamiento, soporte de órganos como glándulas mamarias, riñones. Composición Células adiposas o adipocitos: almacenan grasa y la liberan cuando se necesita combustible. Localización Capa subcutánea Tejidos que actúan como amortiguadores de impacto para órganos internos. Tejido Adiposo
Funciones Sostén flexible Reducción de la fricción en superficies de rozamiento Composición Células: condrocitos, secretan matriz dura alrededor y fibras de colágeno Lagunas: cavidades de la matriz donde están depositados los condrocitos Localización Esqueleto de sostén en tiburones, mantarrayas, en mamíferos y algunos vertebrados: forman la porción distal de los huesos, oído externo, punta de la nariz, anillos de sostén en las paredes de vías respiratorias Tejido Cartilaginoso
Funciones Sostén y protección de órganos internos Depósito de calcio Sitio de inserción de los músculos esqueléticos Composición • • • Células: osteocitos Capa externa : hueso compacto osteonas: vaso sanguíneo central, láminas circundantes (matriz) y osteocito. Capa interna: hueso esponjoso Médula amarilla (grasa) Médula roja (Glóbulos rojos) Osteoclastos Localización Estructura esquelética de vertebrados Hueso
Funciones Transporte de oxígeno, nutrientes, desechos Composición • • Glóbulos rojos Glóbulos blancos Plaquetas Plasma: líquido acelular de la sangre, contiene: agua, proteínas, sales, sustancias como hormonas Localización Dentro del corazón y los vasos sanguíneos del sistema circulatorio Sangre
Funciones • Recolectar y devolver el líquido intersticial a la sangre. • Defender el cuerpo contra los organismos patógenos. • Absorber los nutrientes del aparato digestivo y volcarlos en las venas subclavias. Composición Líquido claro pobre en proteínas y rico en lípidos, parecido a la sangre, pero con la diferencia de que las únicas células que contiene son los glóbulos blancos que, migran de los capilares o proceden de los ganglios linfáticos. Localización líquido corporal que recorre los vasos linfáticos Linfa
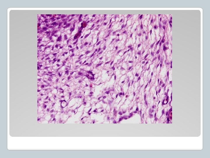
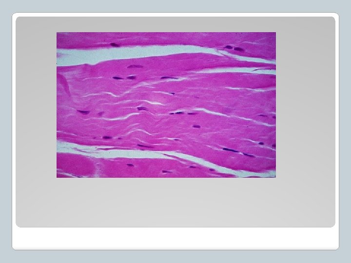
Composición Células musculares = fibras musculares miofibrillas Proteínas: miosina y actina contracción muscular Tipos • • • Liso Esquelético Cardíaco Tejido Muscular
Funciones • • • Motora Integradora Sensitiva Composición • • Neuronas Células gliales • Sitios de unión: sinapsis • Nervio: unión de neuronas por tejido conectivo Tejido Nervioso