Tejido nervioso Tejido nervioso La clula nerviosa o

  • Slides: 24
Download presentation
Tejido nervioso

Tejido nervioso

Tejido nervioso La célula nerviosa o neurona es la unidad funcional del tejido nervioso

Tejido nervioso La célula nerviosa o neurona es la unidad funcional del tejido nervioso y está compuesta por un cuerpo celular o soma (que contiene el núcleo) y muchas prolongaciones de longitud variable. Las células de sostén, neuroglia o glía son células no conductoras que están en estrecha relación con las neuronas. Cumplen con varias funciones como dar sostén físico a las neuronas, aislar eléctricamente a los somas y las prolongaciones de neuronas y participar en mecanismos de intercambio metabólico

NEURONA MULTIPOLAR

NEURONA MULTIPOLAR

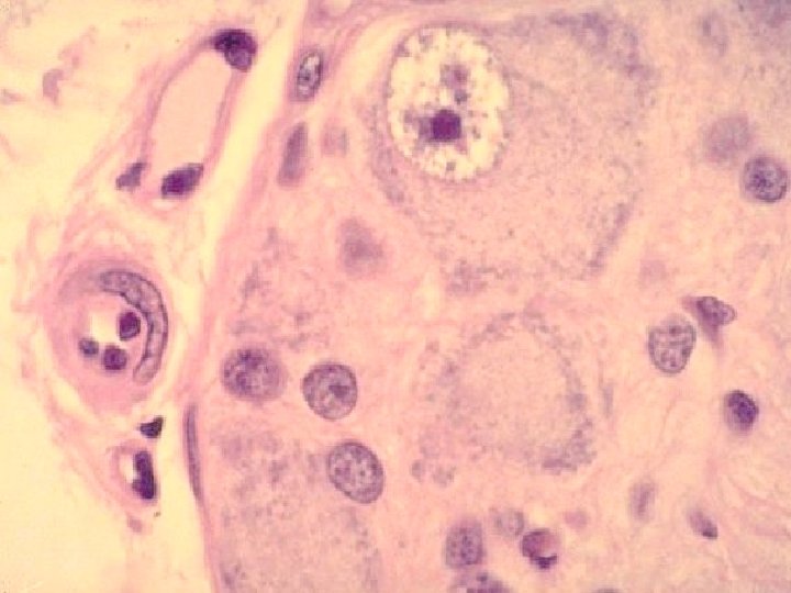
Neuronas multipolares con Nissl

Neuronas multipolares con Nissl

Terminales axónicas y sinapsis La sinapsis es la zona especializada de contacto donde tiene

Terminales axónicas y sinapsis La sinapsis es la zona especializada de contacto donde tiene lugar la transmisión del impulso eléctrico, mediada por un neurotransmisor. Un neurotransmisor es una sustancia química liberada por exocitosis en la sinapsis de una terminal nerviosa como reacción ante el potencial de acción del axón, y que transmite la señal a otra célula que puede ser otra neurona u órgano efector, que debido a ello es excitada o inhibida.

 Las sinapsis entre neuronas se pueden clasificar mor- fológicamente en axodendríticas (entre axón

Las sinapsis entre neuronas se pueden clasificar mor- fológicamente en axodendríticas (entre axón y dendritas), axosomáticas (entre axones y soma neuronal), axoaxónicas (entre axón y axón) y dendrodendríticas (entre dendritas, son excepcionales).

Clasificación de las sinapsis Sinapsis química: en ella la conducción de los impulsos se

Clasificación de las sinapsis Sinapsis química: en ella la conducción de los impulsos se consigue por la liberación de sustancias químicas denominadas neurotransmisores. Sinapsis eléctricas: no son muy comunes en los humanos (solo ocurren en la retina) pero si en invertebrados. Están compuestas por uniones en hendidura (nexos) que permiten el movimiento de iones entre las células y posibilitan la propagación directa de una corriente eléctrica de una célula a otra.

Neuroglia

Neuroglia

ASTROCITOS OLIGODENDROCITOS

ASTROCITOS OLIGODENDROCITOS

ASTROCITOS

ASTROCITOS

EPENDIMOCITOS

EPENDIMOCITOS

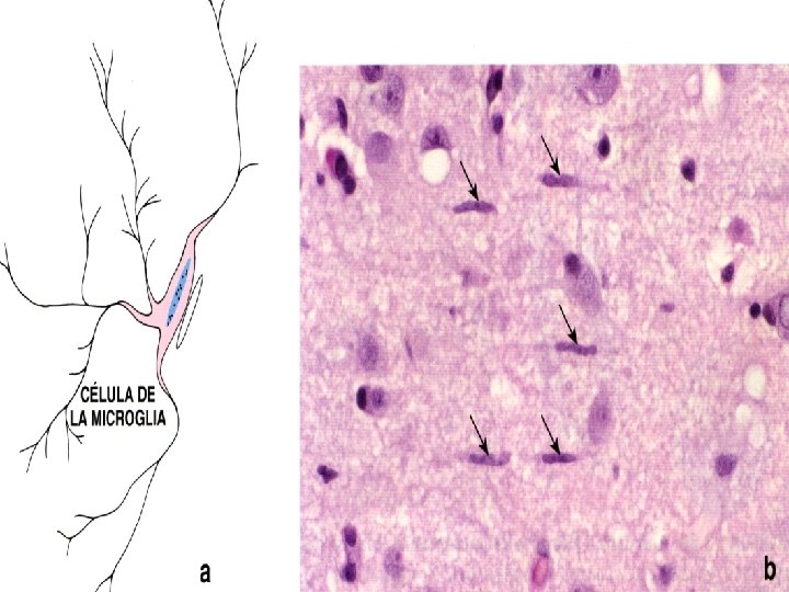
MICROGLIA

MICROGLIA

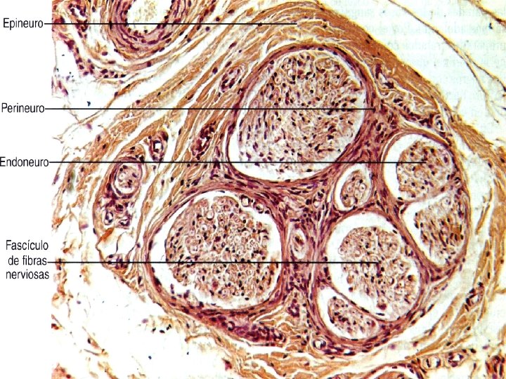
Axones y nervios

Axones y nervios

Axón mielínico

Axón mielínico