Tecido Epitelial e Conjuntivo Objetivos da aula descrever
Tecido Epitelial e Conjuntivo • Objetivos da aula – descrever e reconhecer o tecido epitelial e o tecido conjuntivo comum • descrever as características gerais, os constituintes e as funções de cada tecido • classificar os diferentes tipos de tecido de acordo com sua estrutura e/ou função • descrever a relação funcional entre os tecidos epitelial e conjuntivo comum • relacionar estrutura e funções dos tecidos • identificar semelhanças e diferenças entre os diferentes tecidos TECIDOS = CÉLULAS + MATRIZ EXTRACELULAR 1
Características gerais Tecido Epitelial – células justapostas – semelhança morfológica e/ou funcional – densidade celular – matriz extracelular 2
Características gerais Tecido Epitelial – coesão – especializações 3
Características gerais Tecido Epitelial – polarização – avascular 4
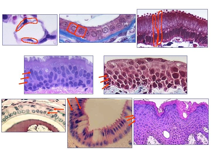
Classificação Funcional dos Epitélios – Epitélio de Revestimento – Epitélio Glandular 5
Epitélio de Revestimento – Funções • proteção • absorção – injúrias mecânicas e microbianas » órgãos tubulares » digestório, respiratório, urogenital – pulmões – intestinos – túbulos renais » seletiva e específica – desidratação, irradiação UV » superfície corporal » espessamento e pigmentação 6
• Classificação dos epitélios de revestimento – nº camadas x forma da célula – simples – pavimentoso, cúbico, colunar – pseudoestratificado – pavimentoso, cúbico, colunar – epitélio de transição 7
• Epitélio Glandular • Função • secreção exócrina – – endócrina – homeostase digestão proteção / lubrificação termorregulação nutrição 9
Classificação das glândulas exócrinas • Critérios – morfologia • tubular • acinosa 10
Classificações das glândulas exócrinas • Critérios – tipo de substância • • mucosa serosa mista sebácea 11
Classificações das glândulas endócrinas • Critérios – disposição das células • cordonais • vesiculares 12
Tecido Conjuntivo • Características gerais – – – células distintas células separadas densidade celular matriz extracelular vascularizado • Funções – conexão e sustentação de tecidos / órgãos – preenchimento de espaços – transporte / nutrição – defesa – reparação 13
• Componentes – Células • fibroblasto / fibrócito • células de defesa • adipócitos macrófago mastócito plasmócito 14
• Componentes – Matriz extracelular • Fibras – colágeno – elastina • SFA – glicoproteínas – líquido tissular 15
fibras colágenas fibras elásticas 16
Tipos de tecido conjuntivo comum ou propriamente dito • Frouxo • células – fibroblastos 90% – macrófagos » digestivo, respiratório • fibras – colágenas entrecruzadas • características – baixa resistência à tração – maciez e maleabilidade • função – preenchimento – suporte • localização – apoio a epitélios, entre fibras musculares, nervosas, em torno de vasos, dentro de órgãos 17
Tipos de tecido conjuntivo comum ou propriamente dito • Denso – menos células, mais colágeno • maior resistência mecânica / tração – Tipos • Não-modelado – trama grosseira de fibras espessas e onduladas s/ direção definida – resistência à tração em qq direção » derme, cápsula de órgãos • Modelado – fibras paralelas, ordenadas » direcionamento uniforme – resistência à tração em uma direção » tendões, ligamentos 18
denso não modelado denso modelado frouxo 19
Tecido Epitelial e Conjuntivo • Quais as características gerais, os constituintes e as funções dos tecidos epitelial e conjuntivo comum? • Quais as diferentes classificações de cada um dos tecidos? • Qual a relação funcional entre os tecidos epitelial e conjuntivo comum? • Qual a relação entre a estrutura/características dos tecidos com sua função? Ex. tecido epitelial glandular e secreção • Quais as semelhanças e diferenças entre os tecidos epitelial e conjuntivo comum? 20
Tarefas para a próxima aula • Ler os capítulos referentes aos tecidos apresentados na aula do livro J&C ou outro livro de histologia • Responder às questões do último slide • Ler os capítulos referentes aos tecidos da próxima aula – adiposo, cartilaginoso e ósseo • http: //quizlet. com/4808693/tissue-level-of-organization-flashcards/ 21
- Slides: 21