TAVI Catch me if you can Eberhard Grube
TAVI „Catch me if you can!“
Eberhard Grube, MD § Honoraria: § Boston Scientific Corporation § Biosensors International § Consulting Fees: § Medtronic Core. Valve § Boston Scientific Corporation § Cordis Corporation § Johnson & Johnson § Abbott Vascular
Eberhard Grube, MD § Ownership Interest (Stocks, Stock Options, or other Ownership Interest): § Medtronic Core Valve § Biosensors International My presentation will include off-label discussions: Off-label use of Stents and Valve Prosthesis
Patient characteristics Patient Demographics Past Surgical History Age: 79 years Gender: male Pacemaker implantation (2006) PCI LMS/RCX (2006) PCI D 1 (Oct 2011) Past Medical History Non-Hodgkin lymphoma (2001) Ischemic stroke (2005) Coronary artery disease Chronic renal failure (e. GFR 35 m. L/min) Atrial fibrillation COPD Pulmonary hypertension (s. PAP 60 mm. Hg) Upper GI-bleeding (Oct 2011) Clinical Presentation Dyspnea NYHA IV Acute cardiac decompensation with pleural effusions
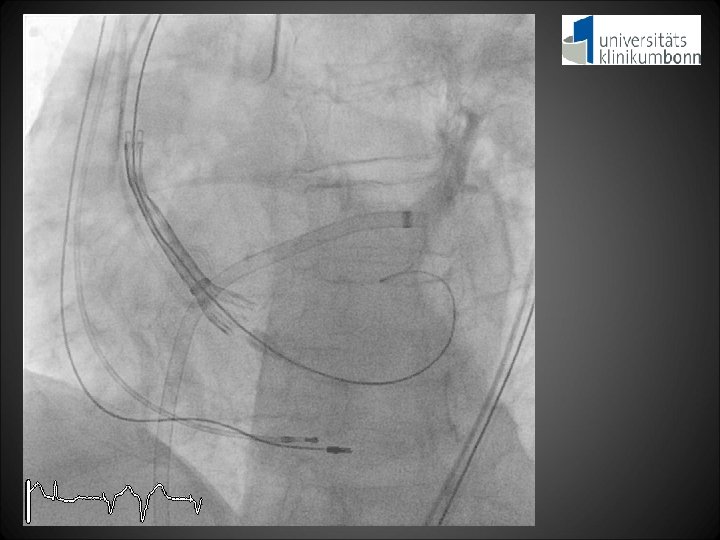
Screening Imaging Studies Heart catheterization: 2 -vessel-CAD with patent stents in LMS, RCX and D 1 CT scan: Aortic annulus 27. 9 x 23. 5 mm 2, perimeter 81 mm Sufficient diameter of aortoiliac vessels for transfemoral access Echo: Severe aortic stenosis, AVA 0. 9 cm 2, annulus 28 mm, AR 2, MR 1 Procedural Strategy Transfemoral TAVI (31 mm prosthesis) with cerebral protection device Clinical Indication 1. Severe aortic stenosis with comorbidities 2. High surgical risk (STS score 9. 3%, log. Euro. SCORE 37. 4%)
Aortic annulus Max. diameter: 27. 9 mm Min. diameter: 23. 5 mm Perimeter: 81 mm
RRsys 110 mm. Hg RRdia 37 mm. Hg LVEDP 7 mm. Hg Aortic regurgitation Index = [(RRdia – LVEDP) / RRsys] x 100 = [(35 - 7) / 110] x 100 = 25. 5
11. 74 mm 10. 83 mm
Clinical course post-TAVI • Patient stable without need for catecholamines after the procedure • Development of acute kidney injury on day 2 • Acute cardiorenal syndrome with pleural effusions and dyspnea NYHA IV
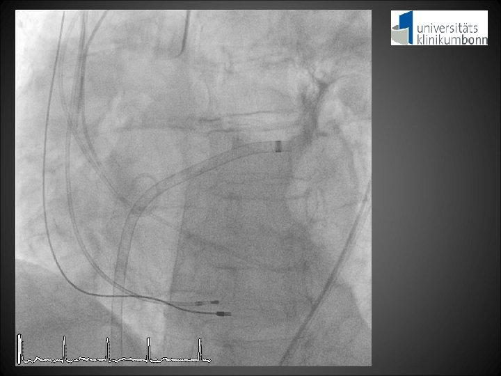
RRsys 120 mm. Hg RRdia 40 mm. Hg LVEDP 20 mm. Hg Aortic regurgitation Index = [(RRdia – LVEDP) / RRsys] x 100 = [(40 – 20) / 120] x 100 = 16. 7
13. 20 mm +1. 5 mm 12. 33 mm +1. 5 mm
4. 18 mm -9. 0 mm 3. 16 mm -9. 2 mm
RRsys 150 mm. Hg RRdia 60 mm. Hg LVEDP 15 mm. Hg Aortic regurgitation Index = [(RRdia – LVEDP) / RRsys] x 100 = [(60 - 15) / 150] x 100 = 30. 0
Moderate/Severe periprosthetic AR Blue: Medtronic Core. Valve Green: Edwards-SAPIEN
Periprosthetic Aortic Regurgitation Sinning, Grube, et al. , JACC in press
Impact of peri-AR on 1 -year survival Sinning, Grube, et al. , JACC in press
Hemodynamics of mild peri AR
Moderate/Severe peri AR Sinning, Grube, et al. , JACC in press
AR index and severity of peri. AR Sinning, Grube, et al. , JACC in press
Impact of AR Index on 1 -year survival Sinning, Grube, et al. , JACC in press
Thank you very much
- Slides: 33