T Epiteliale Ghiandolare Parte a Ghiandole Originano per






















- Slides: 22
T. Epiteliale Ghiandolare Parte a
Ghiandole • Originano per migrazione di cellule epiteliali nel connettivo sottostante • Sintetizzano ed accumulano in granuli di secrezione • Ormoni proteici (Ipofisi) • Mucinogeno (Caliciformi) • Latte o combinazione di proteine, lipidi e carboidrati (Ghiandola Mammaria)
Sviluppo delle Ghiandole Epitelio Dotto Escretore Cellule epiteliali iniziano a proliferare e ad approfondarsi nel connettivo Si accrescono sottostante sempre più nel connettivo sottostante Ghiandola Esocrina. Porzione Secretoria Il prodotto di secrezione viene rilasciata sulla superficie dell’epitelio. Epitelio Lo “stelo” degenera La porzione secretoria viene circondata da capillari Si sviluppa una ghiandola Endocrina Ghiandola Endocrina. Il prodotto di secrezione viene rilasciato nel sangue.
Esocrine • Secernono nei dotti • r. ER abbondante • Minor presenza di s. ER • Grossi granuli di zimogeno • Abbondanti mitocondri • Golgi esteso Endocrine • Secernono nel sangue • Leggera basofilia • r. ER scarso • Ribosomi liberi • Golgi scarso • Piccoli grani secretori
Classificazione delle Ghiandole Esocrine • Natura del secreto • • • Mucose, secernono muco (Cellule Mucipare). Sierose, secernono fluido ricco di enzimi (Pancreas). Miste, acini che producono muco ed acini che producono materiale sieroso. Il medesimo acino può contenere entrambi i tipi di cellule (Sottolinguale e Sottomandibolare) Modalità di secrezione. Numero di cellule • Unicellulari o multicellulari.
Tipi di secrezione Secrezione sebacea cellule precursori devono moltiplicarsi per rimpiazzare quelle perse Il più comune, Poco comune, alcune ghiandole secrezione di sudoripare. Proteine. Il prodotto lascia la cellula Nessuna perdita di racchiuso in una membrana citoplasma
Cellula secretoria
L’uso dell’autoradiografia per mettere In evidenza i siti di sintesi ed il successivo Trasporto delle proteine di secrezione
Membrane formation Secretory granule lysosome Transfer vesicles Medial Cis
Cellule secernenti e Ghiandole Unicellulari
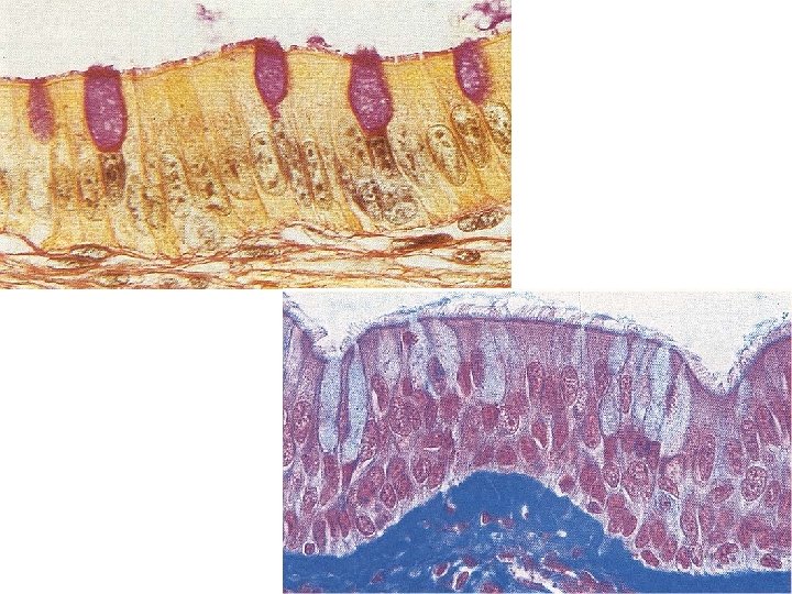
Cellule Caliciformi • Secernono mucina, protettiva e lubrificante • Intersperse tra cellule ciliate della trachea e dei bronchi • Intersperse tra le altre cellule secernenti ed assorbenti del trato gastro-intestinale • Rimpiazzate dopo ogni ciclo di attività Microvilli Teca Granuli di mucinogeno Stelo Nucleo
Caliciformi dell’ileo.
Cellule del Paneth • Raggrupate sul fondo delle cripte di Lieberkuhn nell'intestino tenue • Granuli apicali eosinofili • Defensine e Lisozima – Peptidi antimicrobici
Classificazione morfologica delle Ghiandole Esocrine
• Non sono tubi passivi • Circondati da epitelio cubico o colonnare • Cellule generalmente acidofile • Cellule striate del dotto si osservano mitocondri basali Dotti Salivare switch • Trasporto attivo in modo da modulare la secrezione • Concentrazione e composizione • Dotti attivi vengono detti secretori o striati • Dotti meno attivi vengono detti escretori – colonnare da semplice a stratificato Sarebbe qui!
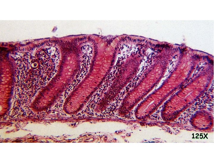
Tubulari Semplici • Intestino tenue e crasso • Ampia varietà di cellule circondano la ghiandola 50 X
125 X
Tubulari Semplici Ramificate • Principalmente nello stomaco • Cellule mucose non caliciformi 50 X
150 X
Tubulari Semplici a Gomitolo • Ghiandole sudoripare – Porzione del dotto • Epitelio cubico stratificato – Porzione secretoria • Epitelio cubico semplice 80 X
100 X