SYNDROME PARENCHYMTEUX Dr ACHOUR CHU CONSTANTINE SERVICE DE



























- Slides: 27
SYNDROME PARENCHYMTEUX Dr. ACHOUR CHU CONSTANTINE SERVICE DE PNEUMOLOGIE
PLAN • Définition • Étiologies à évoquer • Description radiologique • Conclusion
Définition • C’est l’ensemble des manifestations radiologiques témoignant d’une atteinte parenchymateuse( bronches, alvéoles, vaisseaux, interstitium) • Le siège parenchymateux est confirmé lorsque la lésion est entourée de tout part du parenchyme pulmonaire et lorsque son raccordement avec la paroi se fait en pente brusque (angle fermé)
Etiologies Devant une lésion parenchymateuse on peut évoquer: • La tuberculose: caverne infiltrat tuberculome • Emphysème: bulleux diffus hernie diaphragmatique • Tumeurs: bénignes malignes primitives ou métastatiques
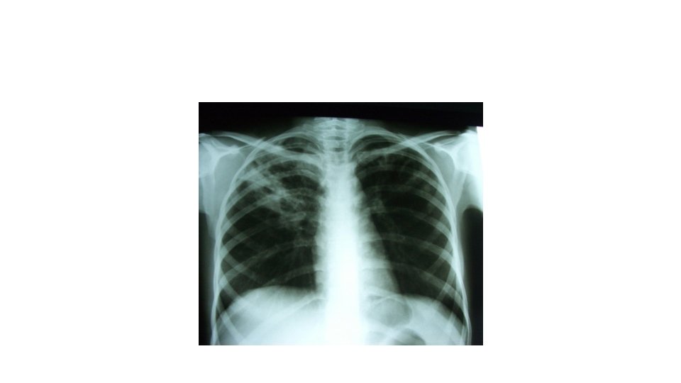
Tuberculose • La caverne c’est une clarté La région X de l’hémi thorax X set le siège d’une image cavitaire grossièrement arrondie mesurant environ ……cm ou ovalaire à grand axe (vertical, horizontal, oblique)à paroi épaisse à limite interne nette régulière et à limite externe flou Il faut préciser: unique ou multiple, associée ou non à un infiltrat, se continue avec la région hilaire par une bande claire réalisant l’image dite en raquette
Tuberculose • Infiltrat Opacités micro et macro nodulaires confluentes par endroits cernant des clartés correspondant à une perte de substance réalisant l’aspect dit ulceéro nodulaire
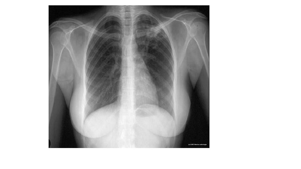
Tuberculose • Tuberculome opacité apicale dense homogène de tonalité hydrique grossièrement arrondie ou ovalaire à limite nette se raccordant avec la paroi par un angle fermé renfermant généralement des calcifications
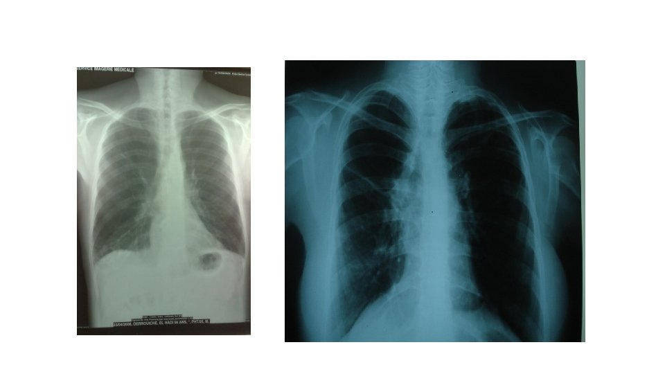
L’emphysème • L’emphysème bulleux Clarté par raréfaction de la trame broncho vasculaire arrondie ou ovalaire mesurant entourée d’une paroi finese raccordant avec l paroi par angle fermé d’ou son appartenance parenchymateuse, à sa partie sus ou sous jacente on note une accentuation de la trame broncho vasculaire correspondant au parenchyme tassé Avec ou sans fond liquidien( hémorragie, infection)
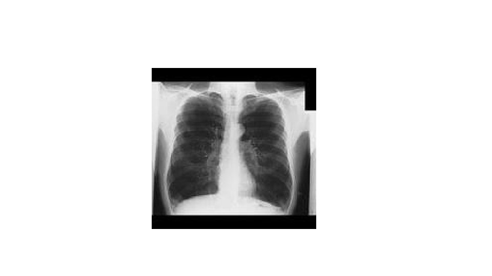
L’emphysème • L’emphysème diffus Les 2 hémi champs pulmonaires sont le siège de clartés par raréfaction de trame broncho vasculaire diffuses sans limites décelables avec signes de distension
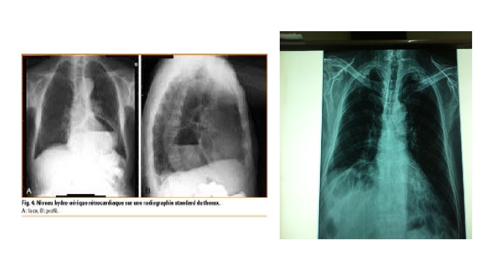
L’emphysème • L’hernie diaphragmatique L’hémi thorax gauche est le siège de clartés arrondies avec niveau hydro aérique occupant la base semblant en continuité avec des clartés digestives visibles à travers l’ombre cardiaque effaçant l’hémi coupole diaphragmatique
Tumeurs bénignes: kyste hydatique du poumon • Kh sain
Tumeurs bénignes: kyste hydatique du poumon • Kh fissuré
Tumeurs bénignes: kyste hydatique du poumon • Kh rompu nénuphar
Tumeurs bénignes: kyste hydatique du poumon • Image en grlot
Tumeurs bénignes: abcès du poumon
Les tumeurs malignes: tumeurs primitives • Image en patte de crabe
• Opacité ronde à limite irrégulière
• Opacité apicale
• Opacité excavée( image en plage, image cavitaire, image mixte à limite interne anfractueuse, image en cadre)
Les tumeurs malignes: métastases • Image en lacher de ballon
• Miliaire atypique