Sydmen MRI peruskurssi 4 2 2009 HUS Meilahden








































































- Slides: 72
Sydämen MRI – peruskurssi 4. 2. 2009 HUS Meilahden sairaala Aortan ja aorttaläppävuodon arviointi magneettikuvauksella Petri Sipola, LT Kliininen opettaja, Kuopion yliopisto, Radiologian yksikkö Radiologi, Kuopion yliopistollinen sairaalaa, Kliinisen radiologian osasto
Aortan koarktaation poissulku
Scout kuvat Aksiaali paikannussarja
Aortan koaktaation poissulku
Pitkän akselin kuvat (kine)
Diastole Systole
Lyhyen akselin kuvat (esim. useamman leikkeen kine)
Varjoainetta ei tarvita
Aortan rekoarktaatio – esitiedot ennen MRI: tä • 52 -vuotias mies • 1969 operoitu aortan koarktaatio • RR mitattu 210/100 mm. Hg -tasoa yläraajoista • Merkittävä paine-ero alaraajoihin verrattuna • Ekossa LVH (Septum 18 mm) • Ekossa jugulumin päältä laskevaa aorttaa kohti mitattu gradientti koholla 14 mm
MRI tekniikat ja löydökset • • • Kine-kuvaus pitkän akselin suunnassa Kine-kuvaus lyhyen akselin suunnassa Flow-kuvaus pitkän akselin suunnassa Flow-kuvaus lyhyen akselin suunnassa MRI-angiografia ja MPR-rekonstruktio
HASTE-paikannuskuvat (20 sec)
Tekniikat ja löydökset • • • Kine-kuvaus pitkän akselin suunnassa Kine-kuvaus lyhyen akselin suunnassa Flow-kuvaus pitkän akselin suunnassa Flow-kuvaus lyhyen akselin suunnassa MRI-angiografia ja MPR-rekonstruktio
Paikka retrospektiivisesti geitatulle True-Fisp yksittäisleikekuvalle
Diastolinen ja systolinen True-Fisp kuva
Molemmat pitkät akselit
Kaksoisviisto lyhyen akselin halkaisijan määrittämiseksi
Tekniikat ja löydökset • • • Kine-kuvaus pitkän akselin suunnassa Kine-kuvaus lyhyen akselin suunnassa Flow-kuvaus pitkän akselin suunnassa Flow-kuvaus lyhyen akselin suunnassa MRI-angiografia ja MPR-rekonstruktio
Koarktaation lyhyt akseli 12 mm
Tekniikat ja löydökset • • • Kine-kuvaus pitkän akselin suunnassa Kine-kuvaus lyhyen akselin suunnassa Flow-kuvaus pitkän akselin suunnassa Flow-kuvaus lyhyen akselin suunnassa MRI-angiografia ja MPR-rekonstruktio
Leikepaikka entisistä pitkän akselin kinekuvista
Tekniikat ja löydökset • • • Kine-kuvaus pitkän akselin suunnassa Kine-kuvaus lyhyen akselin suunnassa Flow-kuvaus pitkän akselin suunnassa Flow-kuvaus lyhyen akselin suunnassa MRI-angiografia ja MPR-rekonstruktio
Leikesuunta entisistä lyhyen akselin kinekuvista
Aliaising Virtausnopeus asetettu liian alhaiseksi
Aliaising, sekvenssiin asetettu huippunopeus ollut liian pieni Vmax= 3, 04 m/s = gradientti 37 mm. Hg Hengityspidätys, noin 20 näytettä RR-intervallista
Vmax= 3, 41 m/s Vapaa hengitys, noin 40 näytettä RR-intervallista
Vmax= 3, 04 m/s Vmax= 3, 41 m/s = gradientti 37 mm. Hg = gradientti 47 mm. Hg
Tekniikat ja löydökset • • • Kine-kuvaus pitkän akselin suunnassa Kine-kuvaus lyhyen akselin suunnassa Flow-kuvaus pitkän akselin suunnassa Flow-kuvaus lyhyen akselin suunnassa MRI-angiografia ja MPR-rekonstruktio
20 ml varjoainetta 4 ml/sec Keuhkoihin ilmaa, hengittämättä Käynnistä
Etsitään koarktaation kapein lyhyt akseli
3 D-rekonstruktion teko MIP
6 v 9 kk Turnerin syndrooma, vastasyntyneenä koakrtaatio Man Emi 1301401000018069
18 -vuotias tyttö, Co. A, kerran aiemmin reoperoitu Ham Ell 1301101000014578
18 -vuotias nainen, Co. A hoidettu 3 kk iässä Ruu Eli 1301401000025808
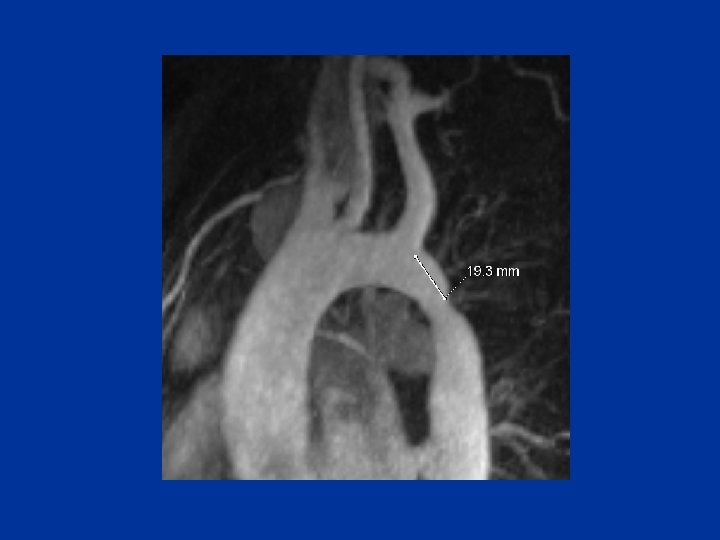
Aortan dilataation kuvantaminen • Samat periaatteet kuin kaventumassa • Varjoainetta jos operaatioharkinta tai muutosta • Mittaa maksimidimensiot vakiopaikoista suonen lyhyen akselin suunnassa http: //www. uku. fi/~psipola/Nousevan%20 a ortan%20 dilataation%20 kuvantaohje%202 00207. doc
Aorttadissekaatio magneetissa • 80 -VUOTIAS MIES. VIIMEYÖSTÄ REPIVÄÄ RINTAKIPUA, THX-RTG: SSÄ MEDIASTINUM HIVENEN LEVENTYNYT, ENTSYYMIT JA EKG KIVUN AIKANA NORMAALIT. POTILAS NYT ALKANUT UUDESTAAN VOIMAKKAASTI RINTAKIPUILEMAAN. CT: TÄ EI JODIALLERGIAN VUOKSI PYSTYTTY TEKEMÄÄN. • P. K. AORTAN MRI-TUTKIMUS DISSEKAATION POISSULKEMISEKSI Suh Paa 1301901000052443
--41 -year-old man with acute aortic dissection Le. Page, M. A. et al. Am. J. Roentgenol. 2001; 177: 207 -211 Beak sign (arrowheads) is present in false lumen. Copyright © 2007 by the American Roentgen Ray Society
Aorttadissekaatio magneetissa Kos Jar 1301101000080347 Kine Gd-angio MIP T 1 -TSE Gd-angio MPR Gd-angio VRT
66 -vuotias nainen Esofaguskossa dissekaatioepäily Ei-EKG-tahdistettu CT EKG-tahdistettu MRI radial kine EKG-tahdistettu CT Operaatio: Ei dissekaatiota TEE Peroperatiivi UÄ 1301901000226682
1301101000108816 2 mm Aksiaalikinekuvassa vuoto kirkas
Pitkän akselin kuvassa turbulentti flow mustaa
Aorttaläppävuoto • 44 -vuotias mies (Pu. Ka) • Yli 10 v. seurannassa aorttaläppävuodon vuoksi LVOT
Vasemman kammion koon ja funktion arviointi Short axis = Munkkirinkilä MR Cine
LVH (septum 20 mm) LV dilataatio (LVEDD 80 mm)
Aorttaläppätaso
Eur Radiol (2004) 14: 1813– 1822
Vasemman kammion taso
Aortan taso
70 -vuotias nainen, aorttaläppävuodon merkittävyys? • Aikaisemmat sairaudet: Pleurapaksunnoksia, taustalla aiemmin benigni fibroottinen mesoteliooma, hengitysfunktion restriktio • Nykysairaus: rintakipua oireet ja hengenahdistusta, angiografiassa ei merkittävää sepelvaltimotautia. Aorttaruiskutuksessa gr II vuoto aorttaläpässä. • Ekko: Vasen kammio dilatoitunut 7. 3 - 7. 4/6 cm. Vasen kammiosupistelee kauttaaltaan huonosti, vasempaan haarakatkokseen sopien liikehäiriö. EF simpsonilla luokkaa 30%. Aorttaläpässä reilusti yli 50% ulosvirtauskanavan leveydestä oleva aorttaläppävuoto. Puoliintumisajaksi 600 ms. Vuoto vaikuttaa tulevan ohuena liuskamaisena poikkileikekuvassa, joten projektiosta riippuen saattaa jäädä vaikutelma liian vaikesta vuodosta. • Pyydetään kohteliaimmin sydämen magneetti kiireellisenä. Aorttaruiskutuksessa ja uä-löydöksessä epäsuhtaa. Onko aorttaläppävuoto vaikea, ts. selittääkö vuoto vasemman kammion dilatoitumista?
LV tason tilanne
Kolmekammiokuva (aorttaläppä, mitraaliaukon keskusta ja LV apex)
Dilatoiva kardiomyopatia
Pulmonaaliläppävuoto • 26 -vuotias nainen, raskaana (An Tu) • Kongenitaali pulmonaaliatresia • 7 -vuotiaana asetettu homografti pulmonaalirunkoon RVOT
4 -kammio
Eur Radiol (2004) 14: 1813– 1822
>150 ml/m 2 → Riski palautumattomaan RV remodellaatioon kasvaa Kiitoksia mielenkiinnosta