SUMMARY OF LARYNX IMAGING SCAN PROTOCOL MRI Scout

  • Slides: 6
Download presentation
SUMMARY OF LARYNX IMAGING SCAN PROTOCOL MRI Scout Axials Sagital Slice Thickness FOV MANDATORY

SUMMARY OF LARYNX IMAGING SCAN PROTOCOL MRI Scout Axials Sagital Slice Thickness FOV MANDATORY CT Axial "Both Hips" T 1 & T 2 & PD Scout Position Scan Lateral Supine – Hyperextended neck Tounge base : Trachea Windows = Soft Tissue "main" = Bone Cartilage Invasion 2 – 3 mm T 1 o T 2 for disased 5 mm 20 cm FAT SUPREES Pre & post Contrast LESIONS OF THE LARYNX 1. LARYNGEOCELE ىﺮﻻ – ﻧﻮﻳﻠﺒﺎﻥﺑﻴﺒﻂ. ﺩ ﻣﺴﺎ ﻳﻠﻊ Voice abuse Dilated laryngeal sacule Contains : air – fluid or air/fluid Three Types : Internal - External - Maixed 15 % + Cancer 40% Cyst Inside Larynx 16% Outpouch through thyro-hyoid membrane 44% Cyst on both sides of thyroid membrane By A. M. Abodahab – Ass. Lecturer of Radiology - Sohag University

SUMMARY OF LARYNX IMAGING Air fluid level in External & Mixed 2. CANCER LARYNX

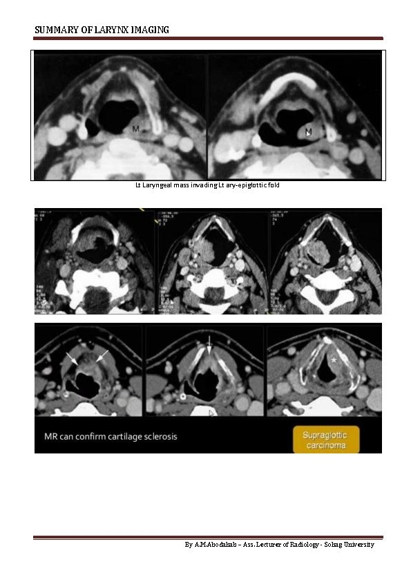
SUMMARY OF LARYNX IMAGING Air fluid level in External & Mixed 2. CANCER LARYNX Mostly Squamous cell carcinoma Incidence Supra-glotic 70 : 60 % Glottic 25 : 35% Sub Glottic 5 % Transglottic Involve 3 levels Lymphatic spread 30 % 1% 30 % Role of Imaging : o CT & MRI Assess site & extension of Mass o In supraglottic lesions : Extension to pre epiglottic space & Para Glottic Space & Ant. Commisure By A. M. Abodahab – Ass. Lecturer of Radiology - Sohag University

SUMMARY OF LARYNX IMAGING Lt Laryngeal mass invading Lt ary-epiglottic fold By A. M.

SUMMARY OF LARYNX IMAGING Lt Laryngeal mass invading Lt ary-epiglottic fold By A. M. Abodahab – Ass. Lecturer of Radiology - Sohag University

SUMMARY OF LARYNX IMAGING 3. OTHERS HAMANGIOMA POLYP Voice Abuse By A. M. Abodahab

SUMMARY OF LARYNX IMAGING 3. OTHERS HAMANGIOMA POLYP Voice Abuse By A. M. Abodahab – Ass. Lecturer of Radiology - Sohag University

SUMMARY OF LARYNX IMAGING By A. M. Abodahab – Ass. Lecturer of Radiology -

SUMMARY OF LARYNX IMAGING By A. M. Abodahab – Ass. Lecturer of Radiology - Sohag University

SUMMARY OF LARYNX IMAGING By A. M. Abodahab – Ass. Lecturer of Radiology -

SUMMARY OF LARYNX IMAGING By A. M. Abodahab – Ass. Lecturer of Radiology - Sohag University