SUMMARY OF HIP IMAGING Indications of Imaging Pain

  • Slides: 19
Download presentation
SUMMARY OF HIP IMAGING Indications of Imaging : * Pain *Swelling * Trauma *

SUMMARY OF HIP IMAGING Indications of Imaging : * Pain *Swelling * Trauma * Inflammation/Tumor SCAN PROTOCOL MRI Axial "Both Hips" Scout T 1 & T 2 Axials T 1 - STIR Coronal T 1 o T 2 for disased Sagital If + Contrast Ax. – Sag. – Cor T 1 Slice Thickness 5 mm FOV 30 -42 MANDATORY CORONAL STIR = LOOK FIRST TO CORONAL T 1 , if abnormality seen Look at CORONAL STIR Then search in other sequences ANATOMY * 95 % of Femoral Neck is intra-articular By A. M. Abodahab – Ass. Lecturer of Radiology - Sohag University

SUMMARY OF HIP IMAGING 3 Muscles are important in Coronal scan Obturator Internus &

SUMMARY OF HIP IMAGING 3 Muscles are important in Coronal scan Obturator Internus & '' '' Externous & Adductor Brevis , …………… as injury is common ITEMS TO BE EVALUATED o o o Avascular Necrosis "Commonest" Transient osteoporosis Perthes Disease Slipped capital Femoral Epiphysis Trauma & Muscle injury Others : - Labral Tears - Loos Bodies - Femoral Neck Anteversion - Bursitis 1. AVASCULAR NECROSIS Site : Femoral Head , Any site , – Anterolateral aspect is commonest Causes : - Steroids "commonest" - Radiation - Collagen Dis. - Trauma - Alcoholism - Pancreatitis -Sickle Cell By A. M. Abodahab – Ass. Lecturer of Radiology - Sohag University

SUMMARY OF HIP IMAGING Late - Collapse Early - Just Irregularities Late - Collapse

SUMMARY OF HIP IMAGING Late - Collapse Early - Just Irregularities Late - Collapse By A. M. Abodahab – Ass. Lecturer of Radiology - Sohag University

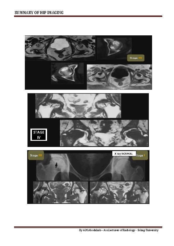
SUMMARY OF HIP IMAGING MRI FINDING II NB. Stage I is not written in

SUMMARY OF HIP IMAGING MRI FINDING II NB. Stage I is not written in Report , but described as "Bone Marrow edema" When Advanced AVN is diagnosed By X-ray No need of MRI Prognosis is related to : o size of lesion < 25 % of head = Good prognosis o Site : Medial Or central better AVN Vs Osteoarthritis In AVN…… Acetabulum & Superior Joint space are not affected. By A. M. Abodahab – Ass. Lecturer of Radiology - Sohag University

SUMMARY OF HIP IMAGING STAGE IV X ray NORMAL By A. M. Abodahab –

SUMMARY OF HIP IMAGING STAGE IV X ray NORMAL By A. M. Abodahab – Ass. Lecturer of Radiology - Sohag University

SUMMARY OF HIP IMAGING 2 TRANSIENT OSTEOPOROSIS"Migratory Osteoporosis" Key. IT AFFECT femoral HEAD &

SUMMARY OF HIP IMAGING 2 TRANSIENT OSTEOPOROSIS"Migratory Osteoporosis" Key. IT AFFECT femoral HEAD & NECK , Hot Uptake as seen in MRI & BONE SCAN Extension Side Bone Scan MRI AVN Part of Head Frequent Bilateral NO UPTAKE "Avascular" STAGES Transient osteoporosis Head & Neck Usually Unilateral HOT UPTAKE EDEMA STEROID Causative Treatment When AVN Vs TOP is Equivocal DO BONE SCAN To Differentiate NB. AFTER RESOLVING T. O. P. may Line = Suggest That T. O. P is precursor of AVN By A. M. Abodahab – Ass. Lecturer of Radiology - Sohag University

SUMMARY OF HIP IMAGING 3. SUBCHONDRAL FRACTURE Etiology : -In Young Stress Fr. –

SUMMARY OF HIP IMAGING 3. SUBCHONDRAL FRACTURE Etiology : -In Young Stress Fr. – In elder Osteoporosis Finding : Line "of Fracture" + Bone Marrow Edema "Extensive" - Bone scan Hot UPTAKE D. D. - "AVN " No Uptake in Bone scan" - "TOP" Hot Uptake - Rapid Destructive Osteoarthritis By A. M. Abodahab – Ass. Lecturer of Radiology - Sohag University

SUMMARY OF HIP IMAGING 4. PERTHES DISEASE Etiology : Unknown Pathology : Avascular Necrosis

SUMMARY OF HIP IMAGING 4. PERTHES DISEASE Etiology : Unknown Pathology : Avascular Necrosis of femoral Epiphysis in Children M: F =4: 1 "4 : 9 y" NB. CHILD WITH KNEE PAIN MUST BE EXAMINED FOR HIP PATHOLOGY STAGES of Perthes Disease Site Stage I II IV Epiphysis Metaphysis Ant. Aspect Metaphyseal reaction All Epiphysis +/- Metaphyseal reaction FLATTENING & COLLAPSE Several Months or Years for Complete cure MRI : Can Give more details about signal changes , fissures But X – Ray is quite enough for diagnosis By A. M. Abodahab – Ass. Lecturer of Radiology - Sohag University

SUMMARY OF HIP IMAGING 5. RAPIDLY DESTRUCTIVE OSTEOARTHERITIS Rare Old women mainly Finding of

SUMMARY OF HIP IMAGING 5. RAPIDLY DESTRUCTIVE OSTEOARTHERITIS Rare Old women mainly Finding of Osteoartheritis but Rapid & destructive Usually Unilateral Decrease J. Space Sub articular sclerosis Osteophytes Psudocystic Changes By A. M. Abodahab – Ass. Lecturer of Radiology - Sohag University

SUMMARY OF HIP IMAGING 6. SLIPPED CAPITAL FEMORAL EPIPHYSIS Etiology : Unknown …May Trauma,

SUMMARY OF HIP IMAGING 6. SLIPPED CAPITAL FEMORAL EPIPHYSIS Etiology : Unknown …May Trauma, Obesity Pathology : Femoral epiphysis displacement Posterior & Inferior Lead to AVN in 15 % Side : 20 : 25 % Bilateral = CT is the best For diagnosis, Can diagnosed by X-ray "Lines are non reliable" = MRI Less sensitive than CT , but important if AVN is suspected Normal Slipped BEST SEEN BY CT By A. M. Abodahab – Ass. Lecturer of Radiology - Sohag University

SUMMARY OF HIP IMAGING 7. MUSCLES INJURY I II III STAGES OF MUSCLES &

SUMMARY OF HIP IMAGING 7. MUSCLES INJURY I II III STAGES OF MUSCLES & INJURU Lesion Muscle Morphology Edema + Preserved Morphology Preserved Up to 50 % of Fibers replaced by Hematoma Preserved Complete Ms. Tear Retraction or Atrophy By A. M. Abodahab – Ass. Lecturer of Radiology - Sohag University

SUMMARY OF HIP IMAGING HIP FRACTURES (Best evaluated By CT)…. Easily Missed in X

SUMMARY OF HIP IMAGING HIP FRACTURES (Best evaluated By CT)…. Easily Missed in X ray = You need to determine while fracture is : Intra-capsular Femoral Head Subcapital Trans-cervical Extra-capsular inter-trochanteric Subtrochanteric Acetabular Ant Column Quadrilateral Plate Post. Column Retained -/+Fragments = Associated AVN is evaluated by MRI. -/+Retained Fragments = Stress Fracture of the neck is best seen by MRI "Edema = Line" , it may not seen By CT. NB. ANY BONE MARROW EDEMA IS ENHANCING WITH CONTRAST So Donot Rash To Diagnose Mets. Or Biopsy Complaint in one side , can be due to pathology in other side Subtle Finding in X-ray or CT , May = Grave Finding in MRI, So Donot ignore complaint or finding By A. M. Abodahab – Ass. Lecturer of Radiology - Sohag University

SUMMARY OF HIP IMAGING MR ARTHROGRAM INDICATIONs: L O L By A. M. Abodahab

SUMMARY OF HIP IMAGING MR ARTHROGRAM INDICATIONs: L O L By A. M. Abodahab – Ass. Lecturer of Radiology - Sohag University

SUMMARY OF HIP IMAGING LABRUM DEGENERATION & TEARS Abnormal Intermediate signal = Degeneration Fluid

SUMMARY OF HIP IMAGING LABRUM DEGENERATION & TEARS Abnormal Intermediate signal = Degeneration Fluid signal or Cyst = Tear SNAPPING HIP SYNDROME Pain & Click on Hip Motion. Etiology : Snapping of Muscle over bone +/- Loss bodies o Internal Causes o External Cause Better seen by Dynamic MRI By Conventinal MRI You can seen Bursitis o Bursa: Sac of synovial tissue prevent friction of bone & soft tissue. o Around Hip , 15 – 20 bursa o Ilio-psoas is the largest allover the body , Located medial to ilio-psoas ms. By A. M. Abodahab – Ass. Lecturer of Radiology - Sohag University

SUMMARY OF HIP IMAGING Bursitis = Effusion in bursa +/- enhancing margins Large Effusion

SUMMARY OF HIP IMAGING Bursitis = Effusion in bursa +/- enhancing margins Large Effusion due to RA may decompressed in bursa FEMRO-ACCETABULAR IMPINGMENT 2 types Cam & Pincer…. . or Combined By A. M. Abodahab – Ass. Lecturer of Radiology - Sohag University

SUMMARY OF HIP IMAGING Seen by X-ray or CT If cartilaginous , BY MR

SUMMARY OF HIP IMAGING Seen by X-ray or CT If cartilaginous , BY MR & MR Arthrogram Pain + click = Snap By A. M. Abodahab – Ass. Lecturer of Radiology - Sohag University

SUMMARY OF HIP IMAGING Pathology : synovial metaplasia cartilaginous bodies M 2 : 1

SUMMARY OF HIP IMAGING Pathology : synovial metaplasia cartilaginous bodies M 2 : 1 F - 40 th - Any Joint (Knee > Hip > Elbow) Finding : o Wide joint space o Loss bodies o Bone erosion o 2 ndry OA FEMRAL NECK ANTEVERSION ANGLE Angle between Line of Neck & Line of femoral condyles By A. M. Abodahab – Ass. Lecturer of Radiology - Sohag University

SUMMARY OF HIP IMAGING DEVELOPMENTAL DYSPLASIA OF THE HIP Def: Abnormal relation of femoral

SUMMARY OF HIP IMAGING DEVELOPMENTAL DYSPLASIA OF THE HIP Def: Abnormal relation of femoral head to accetabulum Etiology : - Lax ligaments - Abnormal fetus position - Oligohydramnios Incidence : 20 / 1000 M 8 : 1 F Diagnosis : confirmed by US Fate : Resolve spontaineously in 6 – 8 wweks Finding: Smaller size of Epiph. - Abnormal Location Normal capital Femoral Epiph. Is seen at lower medial quadrant of this lines By A. M. Abodahab – Ass. Lecturer of Radiology - Sohag University

SUMMARY OF HIP IMAGING Donot Forget Angle of Over Coverage By A. M. Abodahab

SUMMARY OF HIP IMAGING Donot Forget Angle of Over Coverage By A. M. Abodahab – Ass. Lecturer of Radiology - Sohag University