Suarez J Torres J Naranjo L Torres Viera

























- Slides: 25
Suarez J*, Torres J**, Naranjo L*, Torres Viera C**, Abdul S**, Rios A***, Franciosi J****, Dolande M *****, Rodríguez S, Zerpa N y Capino J****** *Hospital J. M. de los Ríos **Instituto de Medicina Tropical. UCV ***Servicio de Micología. Hospital Vargas, ****Servicio de Emergencia Pediátrica. Policlínica Metropolitana *****Instituto Nacional de Higiene. MSDS ******Sociedad Venezolana de Espeleología
HISTOPLASMOSIS Introducción *Enfermedad granulomatosa causada por un hongo dimórfico Histoplasma capsulatum, el cual se adquiere por inhalación de conidias, que se transforman en el hospedero en levaduras
HISTOPLASMOSIS Introducción *Condiciones ambientales en las cuevas -20 cms superior a la capa superficial del suelo -Terrenos ácidos con alto contenido de nitrógeno -Acumulación de excrementos de pájaros y murciélagos (Nichos Ecológicos o microfocos), usualmente guano en descomposición y mezclado con el suelo
HISTOPLASMOSIS Introducción *Condiciones ambientales en las cuevas -Las aves no son naturalmente infectadas -Los murciélagos pueden albergar el hongo en su tracto digestivo -Las partículas infectantes se liberan con la remoción de la capa superficial del terreno
HISTOPLASMOSIS Manifestaciones Clínicas H. capsulatum infección Diseminada Primaria Aguda Residual Sub-clínica Crónica
Histoplasmosis asociada a cueva en Venezuela Objetivo: *Describir un inusual brote de histoplasmosis pulmonar aguda en pacientes inmunocompetentes, asociados a una exposición única durante una visita a una caverna.
Histoplasmosis asociada a cueva en Venezuela Materiales y Métodos: *34 estudiantes y un profesor penetraron en la Cueva “Alfredo Jahn”, permaneciendo en ella aprox. 20 min. *28 pudieron ser evaluados desde el punto de vista clínico, radiológico e inmunológico.
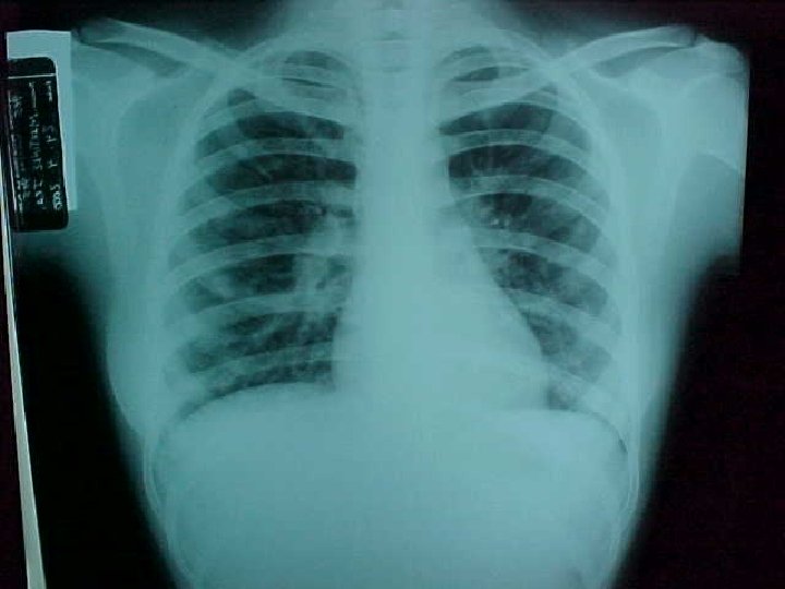
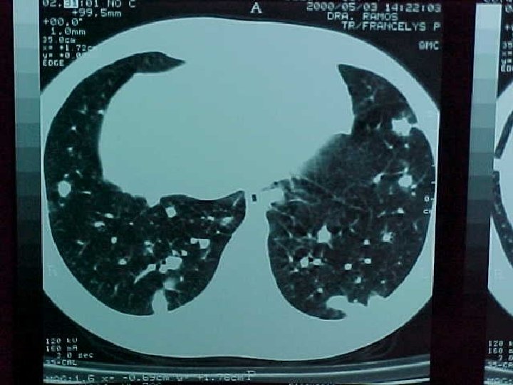
Histoplasmosis asociada a cueva en Venezuela Resultados: 28 estudiantes (17 hembras y 11 varones; rango de edad entre 15 -18 años con una media de 17 años) *20 (71. 4%) desarrollaron enfermedad aguda -64. 3% dentro de los 10 -28 días (mediana 14 días) posterior a la exposición. *2 (7. 1%) asintomáticos, tuvieron alteraciones radiológicas y en la serología para histoplasmosis.
Histoplasmosis asociada a cueva en Venezuela Resultados: 20 estudiantes enfermos-síntomas *Fiebre (77. 7%) *Dolor abdominal (38. 8%) *Tos no productiva (72. 2%) *Astenia (33. 3%) *Cefalea (66. 6%) *Dolor torácico (22. 2%) *Nauseas y vómitos (50%) *Disnea (16. 6%) *Rash (38. 8%) *Mialgias (16. 6%) *Eritema Nodoso (5. 5%)
Histoplasmosis asociada a cueva en Venezuela Resultados: *46. 4% de los 28 estudiantes y el 65% de aquellos que desarrollaron anormalidades clínicas o de laboratorio mostraron un test de inmunodifusión doble en gel específico positivo dentro de las siguientes 6 -12 semanas.
Histoplasmosis asociada a cueva en Venezuela Resultados: *7 pacientes recibieron tratamiento ambulatorio con Itraconazol VO 200 mg/día por 4 -6 semanas, debido a la severidad y/o persistencia de las manifestaciones clínicas originales, o el desarrollo de complicaciones, con remisión completa de los síntomas en las primeras dos semanas de tratamiento
Histoplasmosis asociada a cueva en Venezuela Discusión: • Isbister, J. , Elliot, M. and Nogrady, S. Histoplasmosis: an outbreak occurring among young men who visited one cave. Med J Aust 1976, 14: 243 -8 • Johnson J, et al. International Notes Cave-Associated Histoplasmosis—Costa Rica. MMWR may 27, 1988, 37: 312 -3. • Noel, M. , Levenes, H. , Duval, P. , Barbe C, Ramognino P and Verhaegen F. Epidemic of pulmonary histoplasmosis after visiting a cave in New Caledonia. Sante 1995, 5: 219 -25.
Histoplasmosis asociada a cueva en Venezuela Discusión: • Wolff, M. Outbreak of Acute Histoplasmosis in Chilean Travelers to the Ecuadorian Jungle: An Example of Geographic Medicine. Rev Med Chil 1999, 127: 1359 -64 • Storch G, Burford JG, George RB, et al. Acute histoplasmosis: Description of an outbreak in northern Louisiana. Chest. 1980, 77: 38 -42. • Wergin WP. Outbreak of histoplasmosis associated with the 1970 Earth Day activities. Am J Med. 1973, 54: 333 -342.
Histoplasmosis asociada a cueva en Venezuela Cueva Alfredo Jahn -Localizada a 4 Km de Birongo y a 7 Km de Curiepe, Edo Miranda. -Descubierta en 1953 -Posee 15 entradas y tiene una longitud horizontal de 4. 292 mts, Desnivel de 67 mts.
Histoplasmosis asociada a cueva en Venezuela Cueva Alfredo Jahn -Atravezada por la Quebrada Cambural -Temperatura entre 22 -26 o. C -Fauna: 3 especies de murciélagos: Desmodus rotundus, Pterotnotus parnellii y Phylostomus hastatus -El suelo contiene una considerable cantidad de guano
Histoplasmosis asociada a cueva en Venezuela Conclusiones 1. -Aunque la cueva no es ambientalmente favorable para la transmisión de Histoplasmosis, por su elevada humedad interna predominante durante gran parte del año, el gran porcentaje de personas del grupo estudiado que desarrolló infección y enfermedad clínica en relación con una exposición ambiental relativamente breve, es indicativo de la ocurrencia de un elevado inóculo 2. -Este reporte constituye el más grande de los registrados en la literatura mundial
Histoplasmosis asociada a cuevas en Venezuela Conclusiones 3. - Se resaltan las dificultades para el diagnóstico etiológico de la forma pulmonar aguda de la enfermedad, en los casos en los cuales no es posible identificar una exposición franca a la infección 4. -En vista de que la Cueva Alfredo Jahn es frecuentemente visitada por venezolanos y extranjeros, por su alto atractivo turístico y sus bellezas naturales, se recomienda orientar a los visitantes sobre el riesgo de adquirir histoplasmosis con el fín de que se tomen las medidas preventivas necesarias