Studio ecocolordoppler dellasse splenoportale La vena porta origina






































- Slides: 38
Studio ecocolordoppler dell’asse splenoportale
La vena porta origina dalla confluenza della vena splenica con la mesenterica superiore posteriormente alla testa del pancreas. La vena splenica origina dalla confluenza, in prossimità della coda del pancreas, delle vene dell’ilo splenico, delle vene gastriche brevi e delle vene tributarie del pancreas, la vena gastroepiploica sx entra nella vena splenica vicino alla milza. La vena mesenterica inferiore, che drena sangue dal retto e colon sx, si anastomizza alla splenica al terzo medio, mentre la gastrica sx (o coronaria) si unisce alla porta vicino alla sua origine, anche la coronaria dx è tributaria della vena porta. Il flusso venoso di scarico del fegato attraverso i sinusoidi giunge nelle vene epatiche che, a loro volta, confluiscono nella vena cava inferiore
L’ipertensione portale Si distinguono forme sinusoidali, presinusoidali e postsinusoidali. Le presinusoidali sono legate a pileflebite , piletrombosi o a compressioni della porta. Le sinusoidali sono legate a forme mieloproliferative, fibrosi epatica congenita, cirrosi biliare primitiva, sarcoidosi e schistosomiasi, Comprendono anche le forme da iperafflusso (da fistola AV splenica, da malattie infiammatorie e gravi splenomegalie). Le postsinusoidali comprendono la sindrome di Budd Chiari, la pericardite costrittiva e lo scompenso cardiaco destro
In Europa la causa prevalente d’ipertensione portale è la cirrosi epatica, mentre in Asia e sudamerica prevalgono schistosomiasi , la fibrosi portale non cirrotica e la trombosi extrepatica della vena porta.
Effetti dell’ipertensione portale a) Dilatazione vasi portali extraepatici b) Formazione di circoli collaterali portosistemici c) Rallentamento del flusso venoso portale
Modificazioni del flusso portale Nella norma il flusso in inspirazione diminuisce, mentre il calibro degli assi portali aumenta, per la pressione del diaframma sul fegato, l’inverso avviene nell’espirazione. Anche nella vena cava in espirazione il flusso aumenta per la negativizzazione della pressione intratoracica. Questi caratteri di flusso si alterano per l’aumento della pressione intravasale con riduzione o perdita di tali aspetti, sia per la rigidità dei vasi, che per la fibrosi epatica. Queste alterazioni si studiano a livello della vena splenica o della mesenterica superiore. La dilatazione portale negli atti respiratori si riduce o scompare (sensibiltà 80%)
Misurazione della vena porta Si effettua lungo l’asse longitudinale del vaso , in scansione sottocostale obliqua destra, nel tratto medio, all’incrocio con l’arteria epatica (valori compresi tra 10 e 16 mm di diametro) o nel tratto subito sopra la confluenza tra vena splenica e mesenterica superiore (diametro < a 12 mm). Un calibro > di 15 mm è comunque indicativo d’ipertensione portale, mentre > di 17 è indicativo di rischio di emorragia da varici esofagee. Può esistere ipertensione portale in assenza di dilatazione dell’asse venoso. I vasi intraepatici maggiori possono essere dilatati ed i rami secondari tortuosi per la compressione da noduli
Anche la vena splenica e la mesenterica superiore possono essere dilatate (il loro calibro normale è tra 10 e 12 mm). Una dilatazione maggiore di 10 mm della splenica a livello del corpo del pancreas è indicativa d’ipertensione portale e si associa costantemente a splenomegalia, più specifica la dilatazione della vena mesenterica superiore.
Valutazione ecocolordoppler del flusso portale Il CD ed il PD consentono una valutazione diretta del flusso, che va rilevato in corrispondenza del repere ecografico all’incrocio con l’arteria epatica, il volume campione deve corrispondere al 50% del vaso. La velocità media è compresa tra 12 e 20 cm/sec, nel cirrotico tra 8 e 13. La trombosi portale e la sua trasformazione cavernomatosa alterano la velocità del flusso fino alla scomparsa.
Caratteri flussimetrici Normalmente il flusso portale è continuo con oscillazioni modulate dagli atti respiratori (diminuisce in inspirazione e aumenta in espirazione). Nell’ipertensione portale il flusso rallenta e diventa continuo. Nello scompenso cardiaco destro si osserva pulsazione della vena porta, associata a dilatazione delle vene sovraepatiche.
Direzione del flusso Normalmente il flusso procede dalla vena splenica verso la vena porta ed i suoi rami, flusso epatopeto. In forme molto avanzate di ipertensione portale, in assenza di efficaci shunt portosistemici (vena ombelicale ecc. ) il flusso può invertirsi e diventa epatofugo. Nelle trombosi complete c’è assenza di flusso, nelle parziali e nel cavernoma il flusso è in genere rallentato e può essere invertito a monte (vena splenica e mesenterica superiore).
Cause principali trombosi portale Cirrosi epatica Tumori epatobiliari Pancreatite Malattie mieloproliferative Difetti genetici coagulazione Colecistiti Infarto intestinale tumori gastrici e pancreatici Postumi chirurgici
Diagnosi ecocolordoppler trombosi portale Assenza di flusso al DP o flusso ridotto all’interno del vaso, possibile immagine iperecogena nelle forme croniche Assenza di colore o colore irregolare e ridotto nelle forme parziali
Cavernoma portale Si origina come conseguenza di una trombosi portale completa per la formazione di vasi collaterali intorno al vaso ostruito. L’aspetto ecografico è caratterizzato da formazioni ecogene circondate da numerose piccole formazioni vascolari tortuose anecogene presenti all’ilo epatico lungo il decorso della vena porta. All’ecodoppler si evidenzia un flusso venoso turbolento all’interno di questi vasi neoformati, che al CD appaiono come chiazze di colore.
Splenomegalia Si associa costantemente all’ipertensione portale, tanto da esserne un indizio sospetto. Può tuttavia essere secondaria a patologie infettive, neoplastiche, mieloproliferative e immunopatie. La misurazione del diametro splenico si effettua con scansione intercostale sx secondo un piano passante per l’ilo splenico, negli assi longitudinale, trasversale e dello spessore. Valori superiori a 12, 6 e 4 -5 cm sono da considerare patologici. Nell’ipertensione portali è costante la presenza di varici all’ilo splenico.
Circoli collaterali porto-sistemici L’apertura di collaterali porto-sistemici è un tentativo di compenso dell’ipertensione portale mediante la deviazione del flusso ematico dal distretto portale a circoli alternativi a minor pressione. Nelle malattie in cui si determina tale ipertensione, per prima la cirrosi, si creano circoli varicosi a livello della vena gastrica sinistra e delle gastriche brevi con rischio emorragico secondario alla loro rottura o a quella delle varici esofagee collegate. Spesso si ricanalizza la vena paraombelicale (aspetto a caput medusae), si determinano varici retroperitoneali ed emorroidarie (dalla mesenterica inferiore).
Conseguenze formazione circoli collaterali Oltre che l’emorragia secondaria alla rottura delle varici si possono determinare la formazione di versamento ascitico, splenomegalia, gastropatia ed encefalopatia portosistemica
Visualizzazione circoli collaterali All’ecografia si evidenziano immagini ipoecogene tondeggianti o nastriformi, secondo la sezione in cui vengono esplorati, del diametro variabile da pochi mm a 2 -3 cm, che all’ED mostrano un flusso continuo di carattere venoso, con analogo aspetto al CD. Il circolo paraombelicale è costituito dalla vena paraombelicale, che decorre tra III e IV segmento e spesso può essere seguita fino alla parete addominale in sede paraombelicale o in fossa iliaca. Il flusso di questa vena è epatofugo.
Il circolo della vena gastrica sx origina dalla vena porta o dalla splenica e, attraverso le vene azygos collega il circolo portale con il circolo della vena cava superiore. Tale circolo è visibile posteriormente al lobo epatico sinistro in sezioni sagittali all’epigastrio. La vena gastrica può evidenziarsi all’anastomosi con la porta o la splenica, se di calibro > di 7 mm è indicativa di varici esofagee.
I circoli splenorenali collegano rami della splenica con la vena renale sinistra, e si visualizzano in posizione inferomediale rispetto al polo inferiore della milza, con aspetto varicoso. E’ raro vedere l’anastomosi con la vena renale. Rappresentano un valido sistema di compenso con discreta portata e si associano ad inversione del flusso portale. I circoli delle vene gastriche brevi sono visualizzati tra la milza e la parete gastrica e sono correlati a presenza di varici esofagee. Circoli collaterali meno evidenti sono pericolecistico e peripancreatico, onfaloiliocavali, splenoretroperitoneali e splenoportali.
Scansione sottocostale obliqua destra. Visualizzazione della vena porta lungo il suo asse longitudinale, con rilievo di calibro ectasico (diametro 16 mm), misurato al punto di incrocio con l’arteria epatica).
Metodologia di valutazione del tronco portale con duplex Doppler
Circolo collaterale porstosistemico in cirrosi. Vena ombelicale, situata tra III e IV segmento epatico lungo il ligamento rotondo, con flusso epatofugo.
Circolo collaterale portosistemico in cirrosi. Vene gastriche brevi, identificabili dall’ilo splenico verso il polo superiore della milza. Appaiono come strutture serpiginose anecogene all’interno delle quali è presente flusso continuo di tipo venoso.
Vena ombelicale
connessione diretta tra vena splenica e vena renale sinistra (shunt spleno-renale spontaneo in cirrosi) milza rene
Flusso continuo, abbondante e turbolento all’interno di ampi e tortuosi circoli collaterali porto-sistemici spleno-renali, visualizzabili all’ilo splenico in prossimità dell’ilo renale.
Trombosi ramo portale destro Trombo
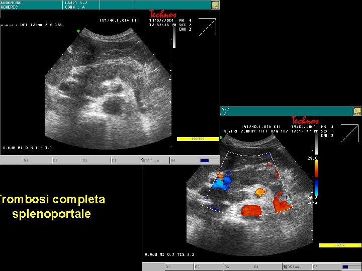
Trombosi completa splenoportale
Cavernoma portale, che appare al B-mode come struttura anecogena tubuliforme serpiginosa nella sede dei vasi portali, con flusso (rilievo Color) al suo interno.
Scansione sottocostale obliqua destra con rilievo Doppler del flusso portale (all’incrocio con l’arteria epatica) che appare rallentato (vel media delle massime 15 cm/s) con allargamento dello spettro.
Inversione di flusso nel ramo portale sinistro. Il tracciato arterioso contiguo è ad alta resistenza (RI 0. 96) come da epatopatia cronica in evoluzione cirrotica.
Scansione intercostale destra in cirrosi scompensata. Inversione di flusso (colore blu in questa scansione) nel sistema portale destro. Spiccata ipertrofia del sistema arterioso.
Inversione flusso vena splenica
Fistola artero-portale in HCC trattato con TACE. Presenza di flusso molto turbolento, con elevata velocità e bassa impedenza in corrispondenza di “matassa” di colore Nel ramo arterioso afferente alla fistola vi è flusso di bassa impedenza (basso RI); nel ramo portale adiacente si determina una inversione con flusso fasico, con velocità massima raggiunta poco dopo la comparsa del picco sistolico nell’arteria
Fistola artero-venosa splenica. All’interno della struttura ectasica all’ilo splenico non si rileva flusso piatto venoso come da circolo collaterale, ma flusso elevatissimo e molto turbolento, con fasicità arteriosa e basse impedenze, suggestivo per fistola AV. 2 m/s