Stem cell and regenerative medicine 5 9 2016
























































- Slides: 56
Stem cell and regenerative medicine 5 -9 -2016
Why we need stem cells in our body? In embryo development: to increase cell number and to differentiate into different cell types. In adult body: to continuously supply short lived somatic cells and to replace damaged cells
Stem Cells • Stem cells have two defining attributes: – The capacity for self-renewal. – The ability to differentiate into many different cell types.
Stem Cells • Niche of stem cells
Adult stem cells in tissue are thought to reside in niches
Patterns of stem-cell differentiation.
Transcriptional network regulating pluripotency of ES cells.
Embryonic stem (ES) cells can be maintained in culture and can form differentiated cell types.
Embryonic stem cells in the dish
Intestinal stem cells: how to iden.
Regeneration of the intestinal epithelium from stem cells can be demonstrated in pulse-chase experiments.
Three modes of neurogenesis during cortical development. RG in cortex generate neurons
Neural stem cell niche in the adult brain.
Formation of blood cells from hematopoietic stem cells in the bone marrow.
The original question: Do all cells in the body have the same sets of genes?
Two alternative hypothesis: or
PNAS 1952 38 (5) 455463
John Gurdon Kt DPhil DSc FRS Distinguished Group Leader in the Wellcome Trust/CRUK Gurdon Institute in Cambridge
Why should Gurdon repeat this experiment?
Two technical innovations: 1, 用Zenopus的卵 (big size!) 2, 用UV來破壞卵中的染色體和去除外層保護的膠質
Late stage embryonic cell nuclei still can develop an viable frog! How about a fully differentiate cell nuclei?
完全分化的體細胞仍然擁有完整的遺傳資訊 ! Gurdon, J. B. & Uehlinger, V. Nature 210, 1240– 1241 (1966)
What is next?
Is somatic cell nuclear transfer (SCNT) also true for mammalian animal?
Dolly, 1997
Is Dolly a scientific breakthrough?
What are signals in the cytoplasma of egg to trigger reprogramming of silenced genetic program in somatic cell nuclei?
Could we identify cytosolic factors which can convert a somatic cell nuclei into a embryonic stem cell with totipotent as a fertilized egg ? A mission impossible!
• • Shinya Yamanaka 1962年出生. 1987年在 Kobe University 得到MD. 1993在Osaka City University 得到Ph. D. 1993 -96 在UCSF作博士後研究 1996 – 99 Osaka City University 助理教授. 1999– 2003 Nara Institute of Science and Technology 副 教授. • 2004 -10 Institute for Frontier Medical Sciences教授 • 現任京都大學教授和 i. PS Cell研究與應用中心主任
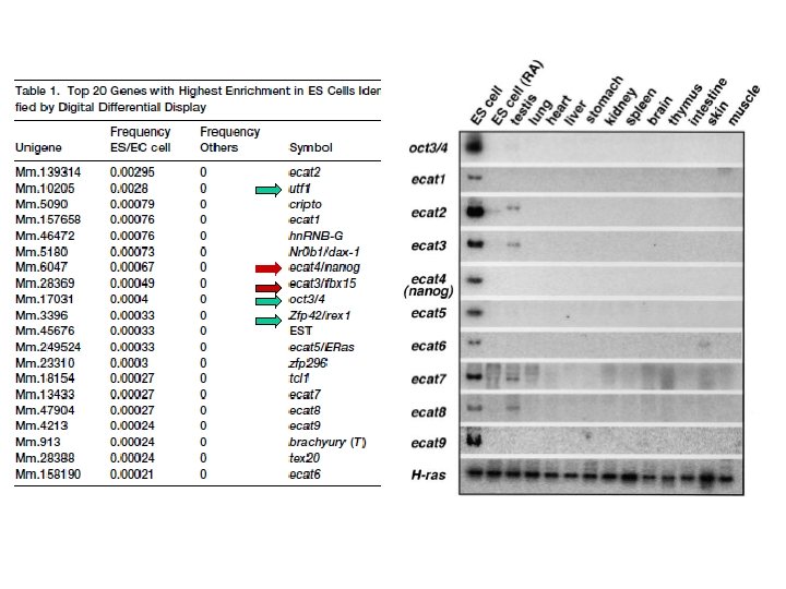
Identification of ES cell associated transcripts by digital differential display To compare expressed sequence (EST) libraries from mouse ES cells (3 libraries; 33, 077 clones) and those from various somatic tissues (103 libraries; 1, 040, 493 clones) and to identify genes overrepresented in ES cell-derived libraries. http: //www. ncbi. nlm. nih. gov/Uni. Gene
Transgenic fibroblasts with a knock-in gene at the Fbx 15 locus. The knock-in was βgeo: a fusion of Lac. Z gene and neomycin-R gene Normally, Fbx 15 is highly expressed in ES cells, but not expressed in fibroblasts
24 genes were selected as candidates to induce pluripotency in somatic cells, For bcatenin, c-Myc, and Stat 3, they used active forms, S 33 Y-b-catenin, T 58 A-c-Myc and Stat 3 -C, respectively. Because of the reported negative effect of Grb 2 on pluripotency, they also included its dominant-negative mutant Grb 2 DSH 2 as 1 of the 24 candidates.
Are they really pluripotent stem cells ? Teratoma formation and germ line differentiation in vivo Embryoid body formation and differentiation in vitro
Induction of Pluripotent Stem Cells from Mouse Embryonic and Adult Fibroblast Cultures by Defined Factors Kazutoshi Takahashi and Shinya Yamanaka Cell 126, 663– 676; 2006
Elite vs Stochastic model
Reprogramming occurs in two phases
Stoichiometry of factors is important for reprogramming
Two major application of i. PS Personalized drug screening Personalized cell therapy
How to directly demonstrate that the i. PS cells is totipotent?
Tetraploid complementation
PS cells produce viable mice through tetraploid complementation Nature 461, 86 -90 (3 September 2009)
What are the future directions? 1, From 24 to Zero? 2, Virus? Plasmid? Small Molecule? 3, Fibroblasts? Hepatocytes? Blood Cells? 4, Induced Somatic Stem/Progenitor Cells? A Fresh Look at i. PS Cells by Shinya Yamanaka Cell 137, April 3, 2009 page 13 -17
Pluripotent Stem Cells Induced from Mouse Somatic Cells by Small-Molecule Compounds Science 341: 651 -
VPA, CHIR 99021(CHIR), 616452, Forskolin, [3 deazaneplanocin A (DZNep)