Stati di minima coscienza stato vegetativo persistente e






















- Slides: 22
Stati di minima coscienza, stato vegetativo persistente e morte cerebrale Carlo Olivieri SCDU Anestesia, Rianimazione e Terapia Intensiva Università del Piemonte Orientale “Amedeo Avogadro” Azienda Ospedaliera Universitaria “Maggiore della Carità” – Novara
a zz ole ap ev ns co Condizione clinica - Quadro clinico
Coscienza cum scio = conoscenza consapevolezza di se stessi e del mondo oggettivo
Coma Κωμα = sonno profondo Sindrome clinica caratterizzata da una mancata risposta a qualsiasi profondo stato di incoscienza stimolo esterno o bisogno interno Mancata risposta ai comandi, assenza di apertura degli occhi e di verbalizzazione perdita della coscienza e sospensione dello stato di coscienza e dalla contestuale perdita di delle funzioni della vita di ogni capacità motoria e sensitiva relazione durevole perdita di coscienza, della motilità e della sensibilità
Sopore offuscamento della coscienza, in cui il soggetto resta indifferente all'ambiente Delirium de lira = fuori dal solco alterazione della percezione e della cognizione
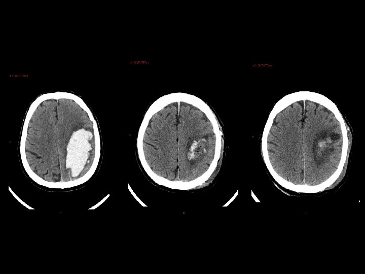
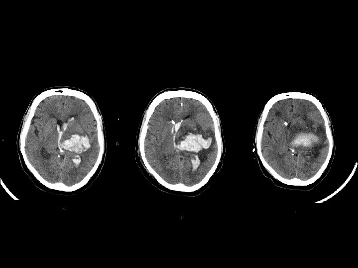
Morte cerebrale Cessazione irreversibile di tutte le funzioni dell’encefalo - Stato di incoscienza - Assenza di riflessi corneale, fotomotore, oculo-cefalico e oculovestibolare; assenza di reazione a stimoli dolorifici portati nel territorio di innervazione del trigemino, del riflesso carenale e assenza di respirazione spontanea dopo sospensione di quella artificiale fino al raggiungimento di ipercapnia accertata di 60 mm. Hg con p. H ematico minore di 7, 4. - Silenzio elettrico cerebrale, documentato da EEG Legge 578/93
Morte del cervello Doppler Trans-cranico Angiografia cerebrale
Stato vegetativo • completa perdita della coscienza di sé e della consapevolezza dell’ambiente; • recupero di ciclicità del ritmo sonno-veglia; • conservazione più o meno completa delle funzioni ipotalamiche e troncoencefaliche autonomiche. American Congress of Rehabilitation of Medicine, Arch. Phys. Med. Rehabil. 1995
Nessuna evidenza di: • coscienza di sé o consapevolezza dell’ambiente; incapacità a interagire con gli altri; • comportamenti durevoli, riproducibili, finalizzati o volontari in risposta alle stimolazioni; • produzione o comprensione verbale. Presenza di: • apertura degli occhi • pattern sonno-veglia EEG più o meno rudimentale; • funzioni vitali autonome (respiro, circolo, etc. ); • incontinenza vescicale e rettale; • deficit di vario grado della funzionalità dei nervi cranici; • presenza variabile di riflessi troncoencefalici e spinali. • motilità oculare assente o erratica. • rarità dell’ammiccamento • schemi motori primitivi • rigidità-spasticità • posture patologiche
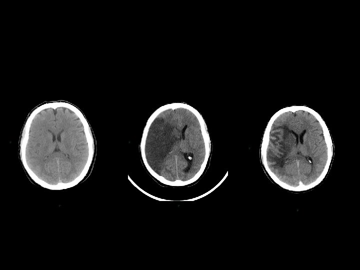
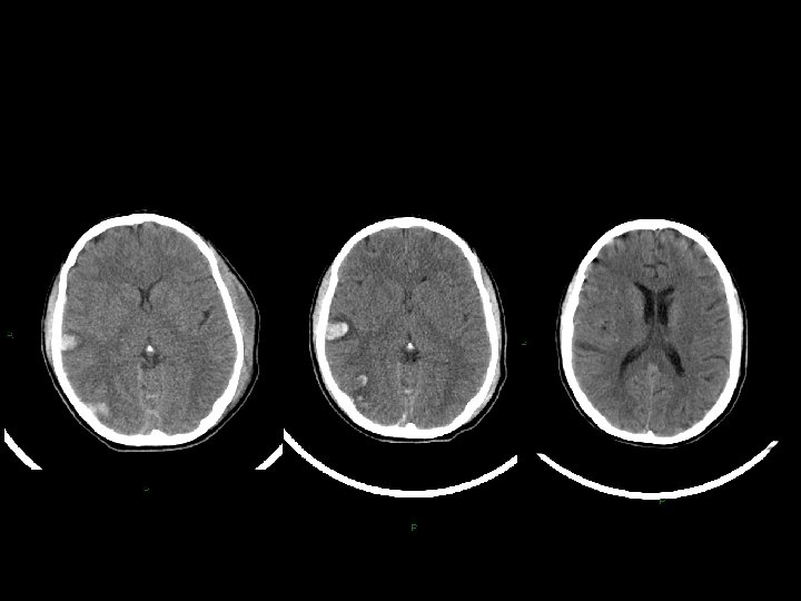
Stato vegetativo • giace, apparentemente incosciente, anche ad occhi aperti; • presenta funzioni cardiocircolatorie e respiratorie, termoregolazione, funzioni renali e gastrointestinali conservate; • non necessita di tecnologie di supporto; • mostra, alla TC e alla RMN, segni più o meno marcati di danno focale o diffuso; • presenta alla SPECT gradi variabili di riduzione sovratentoriali di perfusione cerebrale; • evidenzia, alla PET, variabile topografia e gradi variabili di riduzione del metabolismo del glucosio; • mostra alterazioni variabili dell’attività EEG.
Stato di minima coscienza presenza minima di comportamenti caratterizzati da risposte o manifestazioni cognitive che, seppur inconsistenti, sono riproducibili e di una tale durata da differenziarli dai comportamenti riflessi. Aspen Consensus Group
Presenza di: • Apertura spontanea degli occhi • Ritmo sonno-veglia • Range di vigilanza : ottundimento / normalità • Percezione riproducibile, ma inconsistente • Abilità comunicativa riproducibile, ma inconsistente • Range di comunicazione: nessuna risposta / risposta si/no inconsistente / verbalizzazione / gestualità • Attività motoria finalistica, riproducibile, ma inconsistente • Inseguimento con lo sguardo • Comportamenti ed azioni intenzionali (non attività riflessa) sulla stimolazione ambientale • Comunicazione funzionale interattiva:
Diagnosi differenziale
Grazie per l’attenzione