Stage T 4 tumor Tumor Stage T 1tumor

  • Slides: 47
Download presentation

胃癌累及左肝 Stage T 4 tumor

胃癌累及左肝 Stage T 4 tumor

Tumor Stage • T 1:tumor invades the lamina propria or submucosa • T 2:

Tumor Stage • T 1:tumor invades the lamina propria or submucosa • T 2: tumor invades the muscularis propria or subserosa • T 3: tumor penetrates serosa without invasion of adjacent structures • T 4: tumor invades adjacent structures

Criteria of diagnosis No palpable superficial lymph nodes are seen Chest radiographic findings is

Criteria of diagnosis No palpable superficial lymph nodes are seen Chest radiographic findings is normal The white blood cell count is normal At laparotomy, the alimentary lesion is predominantly involved, with the lymph node involvement (if any) confined to the drainage area of the involved segment of gut • There is no involvement of the liver and spleen • •

胃肠间质瘤 • Express the KIT protein (CD 117, stem cell factor receptor) • Defined

胃肠间质瘤 • Express the KIT protein (CD 117, stem cell factor receptor) • Defined as spindle cell, epithelioid, or pleomorphic mesenchymal tumors

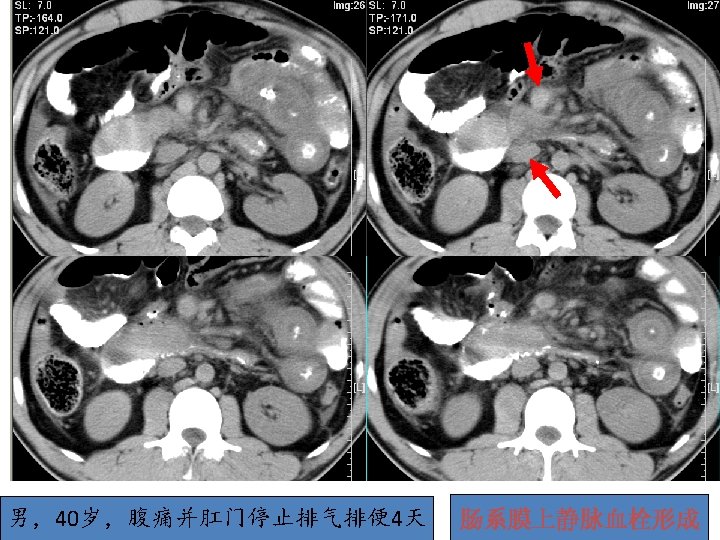
Target sign A 27 -year-old male presented with abdominal pain of 10 hours duration

Target sign A 27 -year-old male presented with abdominal pain of 10 hours duration 肠系膜上静脉血栓形成

粘连性肠梗阻 fat notch sign

粘连性肠梗阻 fat notch sign

阑尾炎的CT征象 • • • > 7 mm Appendiceal wall thickening and enhancement An appendicolith

阑尾炎的CT征象 • • • > 7 mm Appendiceal wall thickening and enhancement An appendicolith Circumferential or focal apical cecal thickening Pericecal fat stranding Adjacent bowel wall thickening Free peritoneal fluid Mesenteric lymphadenopathy Intraperitoneal phlegmon, or abscess

Dream is what makes you happy, even when you are just trying. 梦想就是一种� 你感到�

Dream is what makes you happy, even when you are just trying. 梦想就是一种� 你感到� 持就是幸福的� 西。

Never frown, because you never know who is falling in love with your smile.

Never frown, because you never know who is falling in love with your smile. � 愁眉不展,因� 你不知道� 会� 上你的笑容。