ST SOLUNUM YOLU ENFEKSYONLARI 03 12 2013 Dr

























































- Slides: 57
ÜST SOLUNUM YOLU ENFEKSİYONLARI 03. 12. 2013 Dr. Günay YILDIZ
n Farenjit/Tonsillit n Peritonsiller Apse n Erişkin Epiglottiti (Supraglottit) n Retrofaringeal Apse n Odontojenik Apse n Ludwig Anjini n Nekrotizan Enfeksiyonlar n Rinosinüzit
ANATOMİ
PATOFİZYOLOJİ Bakteri virus Direkt el teması İnhalasyonla buruna giriş Damlacık Burun kılları bazı patojenleri tutar Geçebilenler mukusla kaplanıp tutulur Burun kökü ve posterior farinkse kadar ulaşanlar siliyalı hücrelerle farinks üst bölümünden mideye gönderilir Adenoid ve tonsillerde immun yanıt gelişir Nötrofiller, makrofajlar, monositler, inflamatuar sitokinler Ödem, şişme Eritem Artan mukus sekresyonu Öksürük Ateş Üşüme titreme Mukozanın direkt invazyonu ve toksinlerin salınması Nazofarenjit Nazofarenksteki enfeksiyonun yayılması Rinosinüzit Farenjit Larenjit Trakeit
RİSK FAKTÖRLERİ n Kalabalık ortamlar, yakın temas n Sigara içimi n İmmün baskılanma n Anatomik bozukluklar n Soğuk ve kuru hava
FARENJİT/TONSİLLİT n Ayaktan tedavi edilenlerden en sık akut hastalık n Tüm yaş gruplarında görülüyor n Hastalık nedenli izinlerin %40 n Bakteriyel nedenler: -En sık Grup A β-hemolitik streptokoklar (GABHS) etken n Viral nedenler: -En sık rinovirüs etken -corona virüs(3) -adeno virüs(3, 4, 7, 14, 21) -HSV(1. 2)
Viral Farenjit n Klinik ► Daha çok ateş , boğaz ağrısı, yutma güçlüğü, halsizlik ve genel vücut ağrısı ön plandadır. n FM► Yumuşak damak ve tonsiller üzerinde hiperemi, veziküller ve peteşiler görülebilir. Tonsiller eksuda veya servikal LAP yoktur. n İnfluenza, EMN ve akut retroviral sendrom dışında spesifik tanı testi gerekli değil!
Viral Farenjit n Enfeksiyöz mononükleoz: -EBV’nin neden olduğu, ateş-farenjit-LAP triadı ile gelir. -Amoksisilin ve ampisilin kullanımı makülopapüler döküntüye yol açar. n CMV ve HHV-6, mononükleoz benzeri hastalıkların en sık nedeni. n HIV-1’in erken akut retroviral sendromu mononükleozu taklit edebilir. -HIV-1 ile birincil enfeksiyonların %90’ı akut retroviral sendrom ile ilişkilidir. Farenjit belirtileri maruziyetten 2 -4 hf sonra gelişir ve 2 haftada düzelir. -Tanı ►HIV RNA
Viral Farenjit n Tedavide amaç; Spesifik antimikrobiyal ajana ihtiyacı olan hastaları belirlemek ve bu ajanların gelişigüzel kullanımını en aza indirgemektir. n Bakteriyel olmayan farenjitte sadece * ılık tuzlu su ile gargara, * antipiretikler, * analjezikler, * oral alımın devamı ve dinlenmek yeterlidir. n Oral alamayanlarda sıvı hidrasyonu iv yoldan sağlanmalıdır. n Şiddetli boğaz ağrısı için lokal anestezik etkili pastiller kullanılabilir. ***Tek doz PO 10 mg deksametazon bakteriyel patojenin belirlendiği hastalarda şiddetli farengeal inflamasyon ağrısını azaltır; ancak rutin tedavide yeri yoktur.
GABHS Farenjiti n S. Pyogenes (GABHS), farenjitin -erişkinlerde %5 -15’inden, -çocuklarda %30’undan sorumlu n Klinik ► 2 -5 günlük inkubasyon dönemini takiben ani başlayan boğaz ağrısı, ağrılı yutma, titreme ve ateş ortaya çıkar. Baş ağrısı, bulantı -kusma sıktır. n FM ► Tonsiller eritem-eksüda, büyümüş ve hassas ant. servikal lenf nodları ve uvula ödemi vardır. n Ateş, myalji görülebilir. n Rinore-öksürük-konjuktivit yoktur.
GABHS Tedavi Centor Kriterleri: n 1 -tonsiller eksuda n 2 -hassas anterior servikal adenopati n 3 -öksürüğün yokluğu n 4 -ateş öyküsü ***Kriterlerden hiçbiri olmayan ya da sadece 1 tanesi olan hastalara antibiyotik önerilmemektedir.
GABHS Tedavi n 2 ya da daha çok kriteri olanlar için: 1 ► 2 veya 3 kriteri mevcut ise hızlı antijen testini kullanarak tetkik edilip, pozitif olanlara antibiyotik (AB) başlanmalıdır(ABD enfek. hast. derneği) 2 ► 4 kriterede sahip olanlara AB başla 3 ► Hiçbir antijen testi kullanılmayan, 3 ya da 4 kriteri olan hastalara AB başlanmalı -ancak bu yaklaşım %43. 8 oranında gereksiz antibiyotik kullanımı ile sonuçlanır.
GABHS Tedavi n Tedavi edilmeyen GABHS enfeksiyonu 7 -10 gün sürer; hastalar akut dönem ve buna ilave 1 hafta bulaştırıcıdır. n Tedavi bulaştırıcılığı 24 saat kısaltır, belirtilerin süresini 1 gün azaltır ve komplikasyonların çoğunu önler. n Ancak ilaç direnci antibiyotiklerin aşırı kullanılmasıyla doğrudan ilişkilidir ve büyümekte olan bir problemdir.
GABHS Tedavi: n GABHS, nadiren penisiline dirençlidir; tedavide İLK SIRA ilaç olarak gösterilmektedir. n Erişkin→ * Tek doz im 1. 2 mü benzatın pen-G veya 10 günde 2 -3 kez 500 mg po pen-VK *Pen. alerjisi olanlarda makrolid grubu AB veya klindamisin kullanılabilir, makrolid direnci %5 -8’dir. n Birinci kuşak SS’ler B laktamazlara dirençli pen dirençli hastalarda kullanılabilir. ***Tek doz PO/im deksametazon immun yetmezlikli farenjitli hastalarda ağrı kesicinin erken etkinliğinin ortaya cıkmasını sağladığı ve ağrı süresini kısalttığını göstermiştir.
GABHS Tedavi n Grup C ve G B hem streptokoklar akut farenjite neden olabilirler; ancak ARA’ya neden olmazlar, tedavileri şart değildir. n Gonokokal farenjit genital enfeksiyonla ilişkilidir ve onun tedavisi yeterlidir benzer olduğu için. n Difteri yavaş ilerleyen ve düşük ateşin olduğu bir tablodur. FM’de tonsillere ve farengeal yüzeylere sıkıca yapışmış gri membranlar görülür.
PERİTONSİLLER APSE n Peritonsiller apse (PTA), tonsiller kapsül ile sup. konstriktör ve palatofaringeus kasları arasında polimikrobiyal pürülan materyalin toplanmasıdır.
PTA n Risk faktörleri: -periodontal hastalıklar -sigara içme -kr. tonsillit -çok sayıda oral AB kullanımı -eski PTA öyküsü
PTA n Patofizyoloji► Tonsiller üzerinde yer alan debrislerin temizlenmesi ve sıkışmış gıda parçacıklarının sindirimini sağlayan bir tükrük bezi olan Weber bezlerinin inflamasyonu, lokal selülite yol açar. İlerlemesiyle tıkanma olur ve apse oluşur. n Kış ve erken ilkbaharda streptokokal farenjit artışıyla birlikte ortaya çıkar.
PTA n Klinik► * ateş * boğaz ağrısı, * yutma güçlüğü * kulak ağrısı * halsizlik n FM► * trismus, * boğuk ses(sıcak patetes sesi), * enfekte tonsillerin inf-med yer değiştirmesi, * şişen uvulanın karşı tarafa yer değiştirmesi * palatal ödem, * hassas servikal LAP, * salya akması * dehidrtasyondur
PTA n Tanı ► Öykü ve FM ile konur. - Şüphelenildiği zaman: > pürülan materyalden iğne aspirasyonu, > kontrastlı BT, > transkutanöz veya intraoral USG tanıyı doğrulamak için yardımcıdır. - Peritonsiller boşluğun ilerisine yayılıyorsa BT veya MR endikedir. - Bilateral PTA tanısı için BT şarttır. n Ayırıcı tanı ► EMN, HSV tonsillti, retrofarengeal apse, neoplazm, yabancı cisim ve internal karotid arter anevrizması
PTA Tedavisi n İğne aspirasyonu n İnsizyon ve drenaj(İ&D) n Nadiren acil tonsillektomi ► İğne asp ve drenaj karşılaştırıldığında sonuçlarda farklılık gözlenmemiştir. ► İğne asp daha az ağrılıdır ve hastaların %90’ında tek bir aspirasyon yeterli olmaktadır ► Apse tonsillektomi sadece uyku apne, tekrarlayan tonsillit veya peritonsiller apsede düşünülmelidir; çünkü postop artmış kanama riski vardır.
İğne aspirasyonu nasıl yapılmalı? n Lidokain jel veya sprey, benzokain-tetrakain sprey apsenin üzerindeki mukozaya uygulanır. n Sonra 1 -2 ml epinefrinli lidokain, ant. tonsiller pilikanın mukozasına doğru 25 gauge iğne kullanılarak enjekte edilir. n Yeterli anestezi elde edilince 18 g iğne ile tonsilin hemen lateralinden girilir, Uvulanın tabanı ile maksiller alveolar çıkıntı arasında apse kavitesine kadar ilerlenir ve pü aspire edilir. ►iğne 1 cm. den daha derine batırılmamalıdır; çünkü ICA sıklıkla lateral olarak ve tonsilin post köşesinden posteriora doğru uzanır. ► Apseyi bulmak için çok sayıda aspirasyon gerekebilir. ► Boynun BT taraması, iğne asp negatif olduğunda ve şüpheli parafarengeal/retrofarengeal alan tutulumu varsa
PTA Tedavisi n AGBHS’lar en yaygın belirlenen organizmalardır. n Baslangıç ted ► 10 gün amoksisilin/klavulonik asit 875 mg 2*1, ► penisilin VK 500 mg 4*1 ve ► metranidazol 500 mg 4*1 n Pen alerjisi olanlarda klindamisin 50 mg 4*1 ► AB ve drenaja ilave olarak iv tek doz yüksek KS (metpred 125 mg) ağrının süre ve şiddetini azaltır. ► Hastada düzelme yoksa aspirasyonun tekrarı ve KBB konsultasyonu veya tanıyı doğrlamak için BT cekılmesı gerekir.
PTA Komplikasyonları n Havayolu tıkanıklığı n Apse rüptürü n Karotid duvar erozyonuna ikincil kanama n Retrofarengeal apse n Mediastinit n Poststreptokokal sekel
ERİŞKİN EPİGLOTTİTİ(SUPRAGLOTTİT) n Epiglotun inflamatuar bir tablosudur. n Havayolu tıkanıklığı hızla ortaya çıkabildiği için otolaringolojik bir acil olarak kabul edilir. n H. Inf tip B için konjuge aşının sunulmasından sonra olguların çoğu 46 yaş ortalamasına sahiptir. n Sıklıkla herhangi bir organizma izole edilememesine karşın streptokoklar, stafilokoklar, virüsler ve mantarlar etkendir.
Epiglottit klinik n Özellikle yatar pozisyonda, 1 -2 gün içinde kötüleşen solunum sıkıntısı, yutma güçlüğü ve ağrılı yutma n Ateş, taşikardİ, servikal LAP, larenks ve trakeada nazik palpasyonla ağrı n İnspiratuar stridor (yumusak ve tiz) ***Hastalar sıklıkla dik oturup öne uzanmış, ağız açık, baş öne uzanmış ve nefese pozisyondadır.
Epiglottit tanı n Öykü , FM, radyografi, transnazal fiberoptik laringoskopi ile konur. n Lat. servikal yumuşak doku radyografisinde vallekulanın tıkanması, ariepiglottik kıvrımlarda şişme, prevertebral ve retrofarengeal yumuşak dokuda ödem ve hipofarinksin balonlaşması görülür. Epiglot büyümüş ve parmak şeklindedir. n Laringoskopi direk tanıyı koydurur; ancak ani manevralardan uzak durmak gerekir. ***Yatar pozisyonda solunum sıkıntısı kötüleşen hastalar BT’ye gönderilmemelidir. ***Epiglottit tanısını koymak için boyun BT gerekli değildir.
Epiglottit
Epiglottit tedavi n Epiglottit şüphesi olan hastalardan hemen KBB konsultasyonu istenmelidir. n Acil hekimi kalıcı havayolu için hazırlıklı olmalıdır. n Hasta yalnız bırakılmamalı, dik oturtulmalıdır. n Başlangıç ted ► * nemlendirilmiş oksijen, * iv hidrasyon, * kardiyak monitorizasyon, nabız oksimetri, * iv AB ***Nemlendirme ve oksijenizasyon havayolunda kabuklanmayı azaltır; ani havayolu blokajını önler. ***Helioks havayolu direncini geçici azaltmak için
Epiglottit tedavi n Acil serviste havayolu tıkanıklığı olan hastalara endotrakeal entübasyon denenmelidir; ancak zor entübasyon için hazırlıklı olunmalıdır; krikotirotomi ve iğne krikotirotomi gerekebilir. n Ameliyathanede acil uyanık fiberoptik entübasyon yapılır. n AB ted. ► 2 gr iv seftriakson ► ampisilin –sulbaktam ► sefataksim ► pen alerjisi olanlarda piperasilin-tazobaktam ***KS’ler yine kullanılabilir.
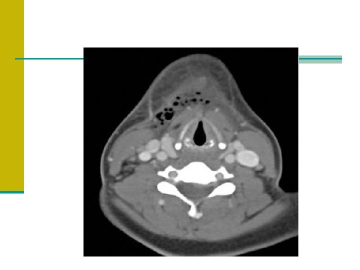
RETROFARINGEAL APSE n Retrofarengeal alan , prevertebral fasyanın önünde, kafa tabanından trakeal bifurkasyona dek uzanan, içinde nazofarenks, adenoid ve post nazal sinüsleri boşaltan Rouviere nodlarını içeren potansiyel bir boşluktur. n Çocuklarda genellikle baş ve boyun bölgesindeki enfeksiyona sekonder oluşur. n Erişkinlerde Ludwig anjini gibi komşu bir bölgeden pürülan materyalin doğrudan uzanmasıyla oluşur. ***Bu yüzden retrofarengeal apseler erişkinlerde mediastene doğru daha fazla uzanır.
RETROFARINGEAL APSE n Çoğunlukla etken anaeroblardır -Bacteriodes ve peptostreptokok n Aeroblardan -S. Pyogenes ve S. Viridans
RFA klinik n boğaz ağrısı(%76), n ateş(%65) n tortikollis(%37) n yutma güçlüğü(%35) n boyun ağrısı, servikal LAP, bozulmuş oral alım, boğuk ses, solunum sıkıntısı ***stridor ve boyunda ödem çocuklarda görülür; erişkinlerde gözlenmez.
RFA tanı n Boynun kontrastlı BT’si gold standarttır. -Erken dönemde reaktif , nonsüpüratif ödem, doku planlarında hafif yağlanma, çizgisel sıvı, minimal kitle etkisi gözlenir. -Kontrast tutulumu yoktur. -Apse merkezinde düşük atenüasyon ve etrafında halka tarzında kontrast tutan nekrotik dokulardan oluşur. n Orta derece servikal ekstansiyon ile inspirasyon sırasında çekilen boynun lat yumuşak doku radyografisi retrofarengeal duvarın protruzyonunu ve kalınlaşmasını gösterebilir. *****Havayolu sıkıntısı olan hasta BT’ye gözlemcisiz gönderilmemelidir.
RFA
RFA tedavisi n Hemen KBB konsultasyonu istenmelidir. n AB tedavisi ve iv hidrasyona acil serviste başlanmalıdır. ► iv 600 -900 mg klindamisin veya iv 2 gr sefoksitin ► Alternatif piperasilin-tazobaktam veya ampisilinsulbaktam ****Küçük apse kavitesi iv AB ile ted edilebilirken, çoğu hastaya transoral-transservikal İ&D cerrahi ted gerekir.
RFA komplikasyonu n Enfeksiyonun mediastene doğru yayılıp, direk basınçla üst havayolunda asfiksiye neden olması ya da apsenin ani rüptür sonucunda aspirasyonunu içerir.
ODONTOJENİK APSE n Çoğunlukla diş enfeksiyonu veya diş çekimi sonrası ortaya çıkar. n Enfeksiyon gelişim süreci diş ağrısının ortaya çıkmasından sonra <1 gün ile 1 -3 hf sonra AB alınmasına rağmen ortaya çıkabilir. n Etkenler çoğunlukla polimikrobiyaldir S. viridans en sık etkendir. n Anaeroblardan gr+ koklar, peptostreptokoklar, gr- çomaklar, prevotella ve bacterıodesi içerir.
ODONTOJENİK APSE KLİNİK: n Diş pulpasının enfeksiyonu maksilla ya da mandibulanın ilik boşluğuna lokalize kalabilir. n Maksiller diş enfeksiyonları yüzün potansiyel boşluklarına yayılıp boyun ve mediastene doğru genişleyebilir. n Mandibular diş enfeksiyonları (2. ve 3. ) sublingual boşluğa girme eğilimindedirler. Ağız tabanında ödemle birlikte ekstraoral şişme gözlenir.
ODONTOJENİK APSE KLİNİK: n Boyunda kitle, trismus, ateş, lökositoz, yutma güçlüğü ve nefes darlığı görülebilir. n Derin boyun enfeksiyonlarının çoğu odontojenik ve çoğunlukla da mandibular dişlerden kaynaklanır n Nekrotizan fasiit, desenden nekrotizan mediastinit, orbital enfeksiyonlar ve hematojen uzak organ yayılımı komplikasyonlarıdır.
LUDWİG ANJİNİ n Submental, sublingual ve submandibular boşlukların bilateral enfeksiyonudur. n Çoğunlukla hastalarda kötü diş hijyeni, yutma güçlüğü, ağrılı yutma, trismus, boyun ve ağız tabanının üst-orta hattında ödem görülür.
LUDWİG ANJİNİ n FM. de tüm boyun ve ağız tabanında ödem görülür. n Enfeksiyon hızla ilerleyip dili arkaya iterek havayolunu kapatabilir. n Havayolu yönetimi uyanık fiberoptik entübasyon veya uyanık trakeostomi ile sağlanır. n Stridor, siyanoz geç bulgulardır, acil entübasyon gerektirir.
LUDWİG ANJİNİ n Sistemik AB. ler kesin havayolu yönetiminin yerini tutmaz. n AB ile ödemin çözülmesi 1 haftadan daha fazla zaman alabilir.
NEKROTİZAN ENFEKSİYONLAR n Nekrotizan enfeksiyonu olan hastalar genel durumu kötü hastalardır. n FM. de cilt üzerinde renk değişikliği, cilt altı dokuda krepitasyon, ateş, taşikardi, hipotansiyon gibi bulgular gözlenir. n BT cilt altı amfizemi, derin dokularda gazı ve süpüratif boşlukları gösterir. n Ted. acil geniş lokal debritmanlı fasyotomi ile cerrahi müdahale ve geniş spektrumlu iv AB. lerdir.
NEKROTİZAN ENFEKSİYONLAR n Riskli hastalarda büyük damar erozyonu, retroperitoneal yayılım, plevral apse, perikardiyal efüzyon ve sepsise yol açabilmesi nedeniyle mediastinel yayılım önemlidir. Mortalite oranı %25 -40’tır. n Havayolu tıkanıklığı gelişirse acil trakeostomi gerekebilir. n Cerrahi hayat kurtarıcıdır.
Boynun nekrotizan enfeksiyonlarında tanı ve tedavi n Boynun kontrastlı BT’si apse, nekrotizan fasiit araştırılırken acil cerrahiye ihtiyacı olan hastaları ayırır. n Tedavi uygun AB ve apsenin cerrahi drenajını içerir. ► amoksisilin/klavulonik asit klindamisin, sefuroksim, levofloksasin *** Derin boyun enfeksiyonu olanlarda İV AB gerekir; ►amp/sulbaktam, piperasilin/tazobaktam, imipenem/silastatin, ertapenem
SİNÜZİT ve RİNOSİNÜZİT n Sinüzit paranazal sinüslerin içini kaplayan mukozanın inflamasyonudur. n Maxiller frontal etmoid ve frontal sinüsler bulunmaktadır. n Rinitis her zaman sinüzite eşlik ettiği için rinosinüzit tanımı tercih edilir. n RİNOSİNÜZİT: - akut <4 hafta - subakut 4 -12 hafta - kronik >12 hafta
SİNÜZİT ve RİNOSİNÜZİT PATOFİZYOLOJİ: n Paranazal sinüsler genellikle 12 yaşına kadar tam alarak gelişmezler. n Sinüs mukozasının enflamasyonu sonucunda deliklerin tıkanması ile süreç başlar ve sinüs içinde negatif basınç oluşturarak semptomatik olmaya başlar. n Akut enfensiyonlarda etken sıklıkla viraldir. n Kr. enfeksiyonlada ise genellikle anaeroblar, Gr (–) bakteriler, S aureustur. n İnmünsüpresiflerde mantar enfeksiyonları sıktır.
SİNÜZİT ve RİNOSİNÜZİT KLİNİK n Akut rinosinüzit belirtilerin iki yada daha fazla olması ile tanımlanır. * Burun tıkanıklığı ve konjesyonu * Yüz ağrısı, baskı hissi * Hiposmi * Posterior veya anterior nazal akıntı ***Öne eğilince sinüs baskısı, ateş, diş ağrısı gibi diğer şikayetler olabilir.
SİNÜZİT ve RİNOSİNÜZİT FİZİK MUAYENE n Sinüs üzerinde perküsyonla hassasiyet ve ağrı olabilir. n Yabancı cisim ve anotomik anomalilik için burun muayene edilmelidir. n Hastalığın yaygınlığını ve komplikasyonlarını değerlendirmek için nörolojik muayene ve başın tam muayenesi yapılmalıdır.
SİNÜZİT ve RİNOSİNÜZİT n KOMPLİKASYONLARI - Menenjit - Kavernöz sinüs trombozu - İntrakranial abse - Orbital selülit - Osteomiyelit
SİNÜZİT ve RİNOSİNÜZİT TANI n Komplikasyonsuz akut rinosinüzit tanısı kliniktir. n BT toksik hastalarda komplikasyonları teşhis etmede ve intrakranial yayılımı göstermede kullanılabilir. n Kr. rinosinüzitli ve tekrarlayan akut rinosinüziti olan hastalara ayaktan BT istenebilir.
SİNÜZİT ve RİNOSİNÜZİT TEDAVİ n Akut komplikasyonsuz rinosinüzitte: * Nazal dekonjestan(oksimetazolin 3 gün) * Serum fizyolojik * Topikal steroid * Analjezik n Antibiotikler genel olarak 7 günden daha fazla süren ciddi belirtileri ve pürülan akıntısı olan hastalara verilmelidir. * Amoksisilin ilk secenektir. * Penisilin alerjisi olan hastalara eritromisin veya trimetoprim-sulfametaksazol verilebilir. * 4 -6 hafta içinde AB alan hastalara florokinolon yada amoksisilin-klavikulanat verilmesi düşünülebilir. n Kronik sinüzitte cerrahi tedavi yapılabilr.
n Tintinalli Teşekkürler………