Sklkov seminr SDIAP 2014 prpad 501 Ondi O

  • Slides: 33
Download presentation
Sklíčkový seminár SD-IAP, 2014 prípad č. 501 Ondič O. , Bioptická laboratoř, Plzeň

Sklíčkový seminár SD-IAP, 2014 prípad č. 501 Ondič O. , Bioptická laboratoř, Plzeň

Klinické údaje • Žena, vek 48 rokov • Operovaná pre „zápalový tumor adnex“

Klinické údaje • Žena, vek 48 rokov • Operovaná pre „zápalový tumor adnex“

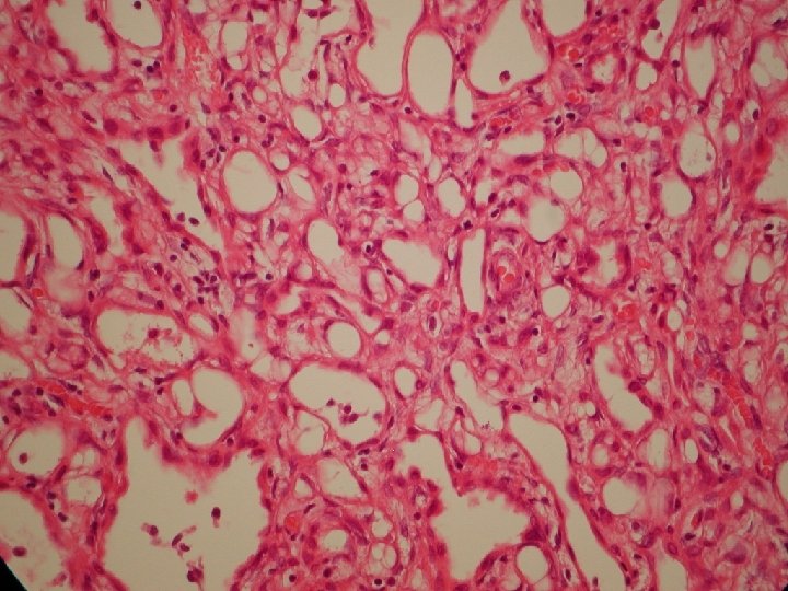
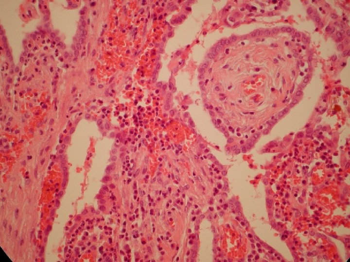
Mikroskopický obraz

Mikroskopický obraz

Adenomatoidný tumor vajcovodu

Adenomatoidný tumor vajcovodu

Popis a relevantné publikácie • Thread-like bridging strands: a morphologic feature present in all

Popis a relevantné publikácie • Thread-like bridging strands: a morphologic feature present in all adenomatoid tumors. Hes O, Perez-Montiel DM, Alvarado Cabrero I, Zamecnik M, Podhola M, Sulc M, Hora M, Mukensnabl P, Zalud R, Ondic O, Michal M. Ann Diagn Pathol. 2003 Oct; 7(5): 273 -7. • An immunohistochemical study of adenomatoid tumors of the uterus and fallopian tube. Terada T. Appl Immunohistochem Mol Morphol. 2012 Mar; 20(2): 173 -6. • Adenomatoid tumors of the female and male genital tracts: a clinicopathological and immunohistochemical study of 44 cases. Sangoi AR, Mc. Kenney JK, Schwartz EJ, Rouse RV, Longacre TA. Mod Pathol. 2009 Sep; 22(9): 1228 -35. doi: 10. 1038/modpathol. 2009. 90. Epub 2009 Jun 19.

Prečo tento prípad

Prečo tento prípad

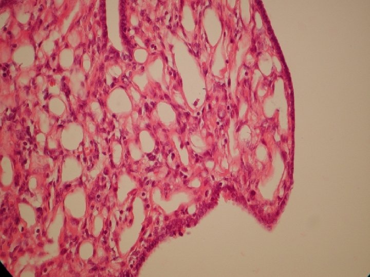
Malé skupiny lymfocytov

Malé skupiny lymfocytov

Iný prípad

Iný prípad

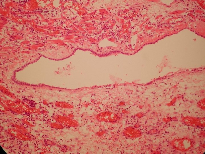
Lumen tuby - detail

Lumen tuby - detail

Serózy tuby - detail

Serózy tuby - detail

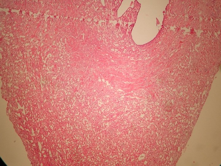
„Solídne areály“

„Solídne areály“

Florídna mezoteliálna hyperplázia Manuscript Number: AJSP-D-13 -00949 R 1 Full Title: Florid mesothelial hyperplasia

Florídna mezoteliálna hyperplázia Manuscript Number: AJSP-D-13 -00949 R 1 Full Title: Florid mesothelial hyperplasia Article Type: Letter to the Editor Keywords: florid mesothelial hyperplasia; tunica vaginalis; Fallopian tube Corresponding Author: Michal, MD Sikl's Department of Pathology, Charles University Medical Faculty Hospital

Florídna mezoteliálna hyperplázia “mesothelial glandular structures”

Florídna mezoteliálna hyperplázia “mesothelial glandular structures”

Florídna mezoteliálna hyperplázia “mesothelial glandular structures” ( AE 1/AE 3)

Florídna mezoteliálna hyperplázia “mesothelial glandular structures” ( AE 1/AE 3)

Mezoteliálne žľazové štruktúry Michal M. , Hes O. , Kazakov D. V. : Mesothelial

Mezoteliálne žľazové štruktúry Michal M. , Hes O. , Kazakov D. V. : Mesothelial glandular structures within pseudosarcomatous proliferative funiculitis-A diagnostic pitfall. Report of 17 cases. International Journal of Surgical Pathology 2008; 16: 48 -56.

Imunohistochémia – prezentovaný prípad

Imunohistochémia – prezentovaný prípad

AE 1/AE 3

AE 1/AE 3

D 2 -40

D 2 -40

Calretinin

Calretinin

CK 5/6

CK 5/6

p 53

p 53

MIB 1

MIB 1

Aktin-S

Aktin-S

 • Pozitívna expresia antigénov: AE 1/AE 3, D 2 -40, Calretinin, slabá pozitivita

• Pozitívna expresia antigénov: AE 1/AE 3, D 2 -40, Calretinin, slabá pozitivita CK 5/6, p 53, MIB 1

Ďakujem za pozornosť

Ďakujem za pozornosť